症例写真(No.363278)

当院の症例写真は、画像処理により形や大きさをかえるような処理は一切おこなっておりません。

坂西寛信 医師

No.363278【若返り】【クマ取り/切開(表)ハムラ法症例数全国No.1〈2025年上半期SBC内〉】統括技術指導医/美容外科専門医/プレミアムドクター坂西執刀(横浜東口院)★クマ取りはベテランドクターにお任せください!『切開ハムラ法+ミッドフェイスリフト+貴族ヒアル』

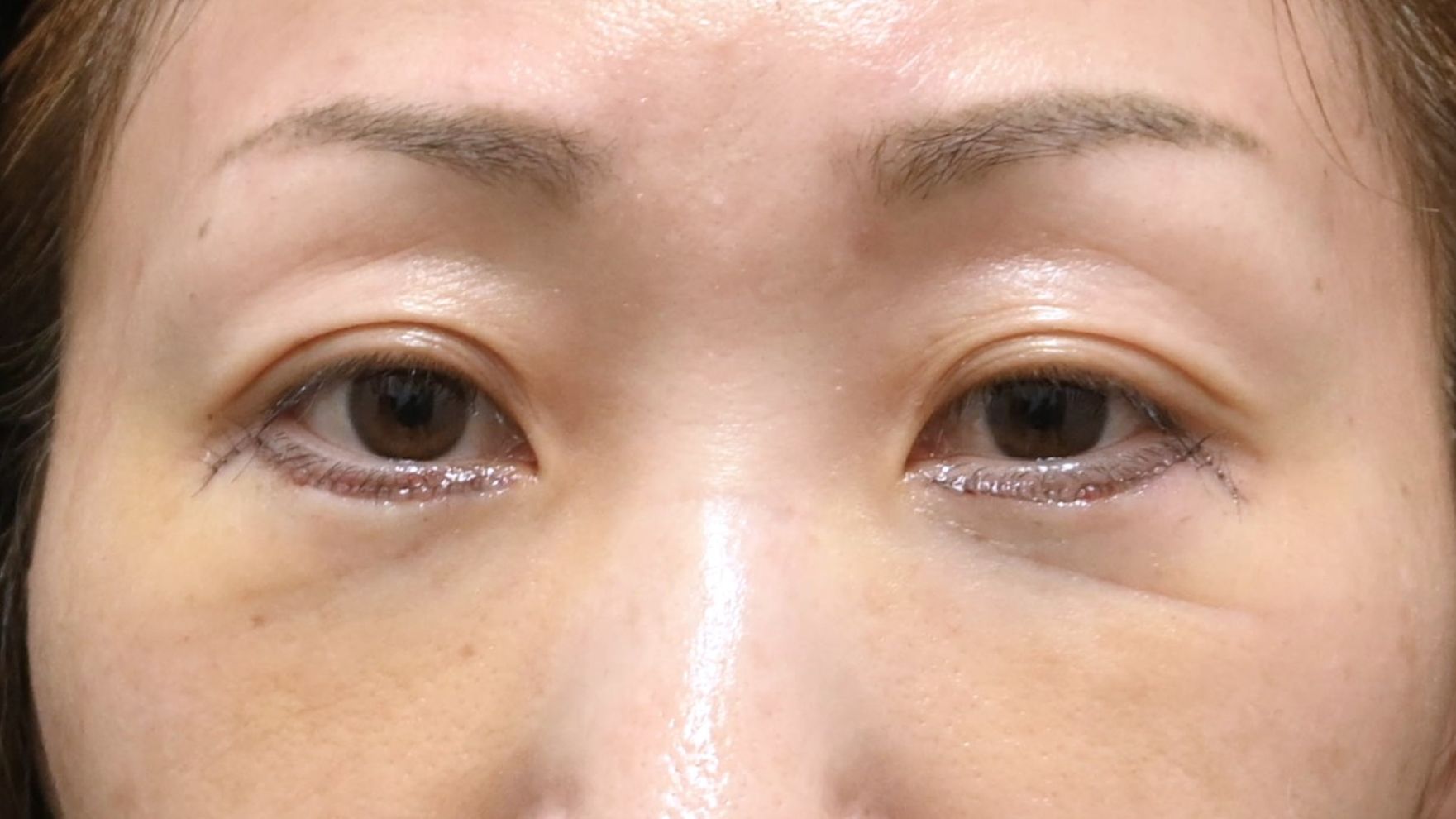
施術前

目の下のクマの影響で老けて見えてしまいます。
→

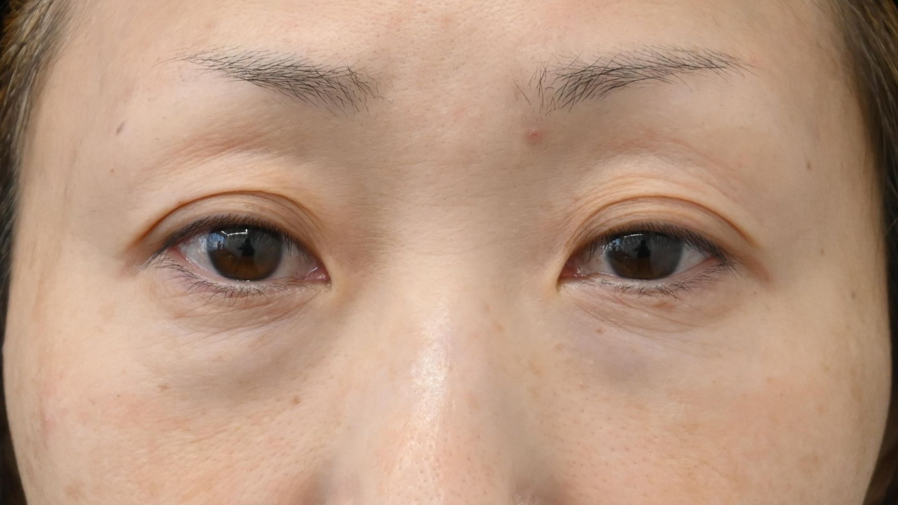
施術後3ヶ月後

傷跡と目の下のしわは目立たなくなってきました。
すべての画像を見る

施術した院

部位

施術

施術回数

数量

性別

関連症例写真

術前
術直後
3日後
1週後
1か月後
3か月後

施術担当者からのコメント

SBCメディカルグループ 技術教育統括/統括技術指導医

美容外科専門医/プレミアムドクター 坂西ドクター執刀

【クマ取り/切開(表)ハムラ法症例数全国No.1〈2025年上半期/下半期SBC内〉】

全国No.1の症例数という実績とベテランドクターとしてのキャリアを重視する方は

是非、ご相談ください。

坂西医師は、湘南美容クリニックを代表するレジェンドドクターの1人。

実績・センスから多くのお客様に指名される高度な技術を持つドクター。

医師400名以上在籍する湘南美容クリニックの統括技術指導医として技術教育を統括しています。

「目元切開」と「鼻整形」の分野において、湘南美容クリニックの中でも症例数の最も多い経験豊富な厳選医師としても紹介されています。

日本美容外科学会でも数多くの発表を行い、日本の美容医療の発展に貢献しているドクターです。

ーーーーーーinfoーーーーーーー
■無料カウンセリンクのご案内■
店名:湘南美容クリニック 横浜東口院
電話:0120-955-799
09:00~23:00 (土・日・祝日も対応)



×

当院におけるワクチン接種後の治療間隔(ガイドライン)

美容皮膚科、美容外科小手術

前後3日(手術日は含まず)、自覚する副反応がなければ可
安心麻酔を使用するものは接種後1週間は空ける

美容外科中、大手術

前後1週間
副反応が残っている場合は延期
接種部位と手術部位が同じ場合は2週間は空ける

×

お急ぎの方はお電話ください

0120-489-100

受付時間 / 10:00~23:00