お急ぎの方はお電話ください
WEB予約
メンズ専用
LINE登録
オンラインストア
SBC公式アプリ
SBC 採用サイト
医療機関検索サイトアイメッド
定額制セルフエステ
当院の症例写真は、画像処理により形や大きさをかえるような処理は一切おこなっておりません。
澁川直彦 医師
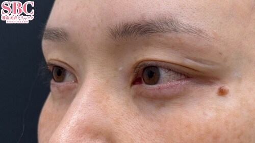
施術前
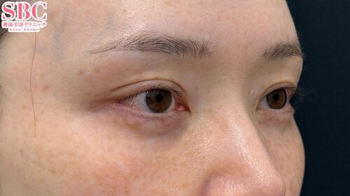
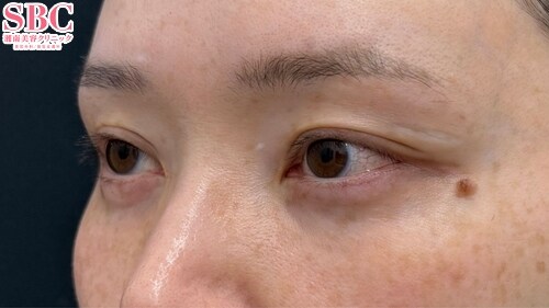
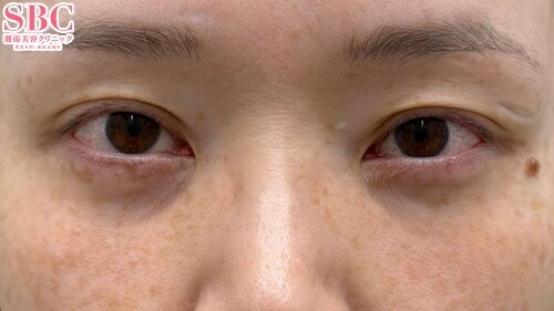
施術後1ヶ月後
施術した院
部位
施術
施術回数
数量
性別
この方は他院でクマ治療の経験がある方です。膨らみや凹みといった輪郭は改善しましたが、色味が残り改善目的にナノリッチと呼ばれる脂肪注入を目の下の気になる部分へ注入しました。ナチュラル脂肪注射ナノリッチは、ナチュラル脂肪注射コンデンスリッチをさらに研ぎ澄まし、ナノ化した脂肪注入の方法です。脂肪細胞に含まれる繊維組織を除去して滑らかにし、脂肪から極少量しか取れない研ぎ澄まされた良質な幹細胞と小さな脂肪からなる不純物の少ない極小脂肪を注入します。顔の浅いしわや色味、肌質の改善が期待できます。まぶたなどの薄い皮膚にも注入でき、目のくぼみや目の下のたるみ・クマに有効です。永続的な効果が期待できる究極の若返り術です。瞼や目元の若返り治療は形成外科専門医おしぶ先生にお任せください!ご希望に合わせて最適な施術をご提案させていただきます。まずはお気軽にカウンセリングでお悩みをご相談ください。
前後3日(手術日は含まず)、自覚する副反応がなければ可安心麻酔を使用するものは接種後1週間は空ける
前後1週間副反応が残っている場合は延期接種部位と手術部位が同じ場合は2週間は空ける
0120-489-100
受付時間 / 10:00~23:00
施術担当者からのコメント
この方は他院でクマ治療の経験がある方です。
膨らみや凹みといった輪郭は改善しましたが、色味が残り改善目的にナノリッチと呼ばれる脂肪注入を目の下の気になる部分へ注入しました。
ナチュラル脂肪注射ナノリッチは、ナチュラル脂肪注射コンデンスリッチをさらに研ぎ澄まし、ナノ化した脂肪注入の方法です。
脂肪細胞に含まれる繊維組織を除去して滑らかにし、脂肪から極少量しか取れない研ぎ澄まされた良質な幹細胞と小さな脂肪からなる不純物の少ない極小脂肪を注入します。顔の浅いしわや色味、肌質の改善が期待できます。
まぶたなどの薄い皮膚にも注入でき、目のくぼみや目の下のたるみ・クマに有効です。
永続的な効果が期待できる究極の若返り術です。
瞼や目元の若返り治療は形成外科専門医おしぶ先生にお任せください!
ご希望に合わせて最適な施術をご提案させていただきます。
まずはお気軽にカウンセリングでお悩みをご相談ください。