症例写真(No.363928)

当院の症例写真は、画像処理により形や大きさをかえるような処理は一切おこなっておりません。

中野達生 医師

No.363928【若返り】【若返り】【2019.01〜2024上半期[4年半連続]裏ハムラ法(再発しにくいクマ取り)症例数 全国No.1!(SBC内)】目の下の膨らみを改善!50代前半 裏ハムラ法+結膜ミッドフェイスリフト 術後3ヶ月目 栄院院長中野施術

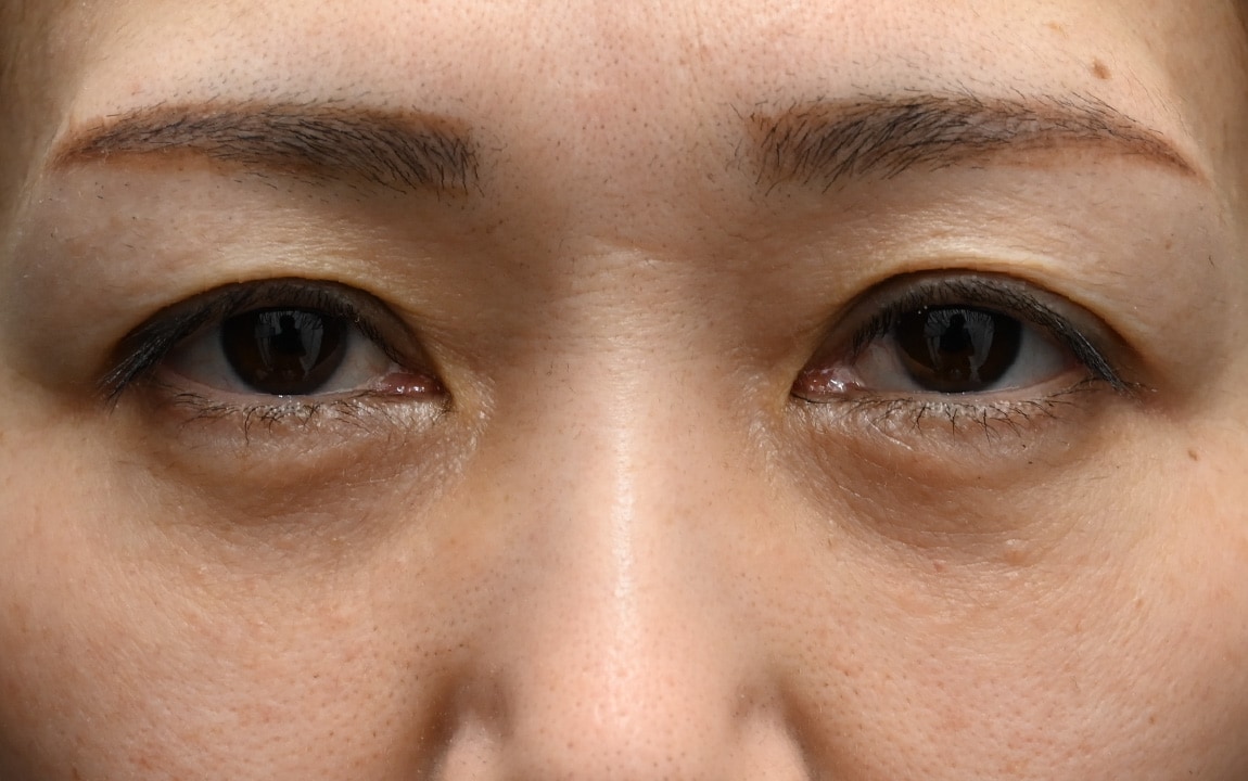
施術前

術前 眼窩脂肪の膨らみで目元の印象がかなり暗い
→

施術後3ヶ月後

目元に光が入り圧倒的に明るい印象へ変化
すべての画像を見る

施術した院

部位

施術

施術回数

数量

性別

関連症例写真

術直後 ここから3日ほどがダウンタイムのピーク
1週間後 内出血で黄色く変化してますが2週間ほどでかなり落ち着きます
1ヶ月後 ほとんど腫れも引いて自然な目元へ
術前 斜め
術後3ヶ月 斜め

施術担当者からのコメント

\目の下のクマ取り・たるみ取り、裏ハムラ法なら中野達生にお任せ!/

今回のお客様の施術
・裏ハムラ
・結膜ミッドフェイスリフト

眼窩脂肪で目元の影が目立つクマをお持ちのお客様。
クマがあるだけで老け顔&疲れて見えます。
クマ取りで本来の若々しい目元へ!

私、中野はこだわって施術をしております。
クマや目の周りが気になるけど治療法がわからない…という方、
名古屋栄院中野ドクターまでお気軽にご相談ください!

クマや目の周りが気になるけど治療法がわからない…という方、
名古屋栄院中野ドクターまでお気軽にご相談ください!

\無料カウンセリングのご予約は以下よりお待ちしております/
https://www.s-b-c.net/k_campaign/campaign072-0274.html

モニター応募のページになりますが、モニター希望ではない方もこちらお願いします。
希望なしの旨は直接お申し付けください。

\目の下のクマ取りは実績がしっかりとある医師にお任せください!/
★裏ハムラ法(再発しにくいクマ取り)症例数 全国NO.1【4年連続記録更新】(2019.01〜2022年・2023下半期*SBC内)
★クマ取り若返り症例数 中部エリアNO.1【4年半連続記録更新】(2019.01-2024上半期*SBC内)
 +西日本NO.1(2023年、2024年上半期*SBC内)
 +全国NO.2(2023年、2024年上半期*SBC内)
★若返り脂肪注入症例数 中部エリアNO.1(2019年、2021年上半期、2024年上半期*SBC内)
★SBC公認 クマ取りオススメドクター

クマ取り症例写真多数ございます!!
https://www.instagram.com/p/DB0pFG4TeQT/?img_index=1

あなたのお悩みを解決するお手伝いができる日を心よりお待ちしております★



×

当院におけるワクチン接種後の治療間隔(ガイドライン)

美容皮膚科、美容外科小手術

前後3日(手術日は含まず)、自覚する副反応がなければ可
安心麻酔を使用するものは接種後1週間は空ける

美容外科中、大手術

前後1週間
副反応が残っている場合は延期
接種部位と手術部位が同じ場合は2週間は空ける