症例写真(No.363933)

当院の症例写真は、画像処理により形や大きさをかえるような処理は一切おこなっておりません。

奥一誠 医師

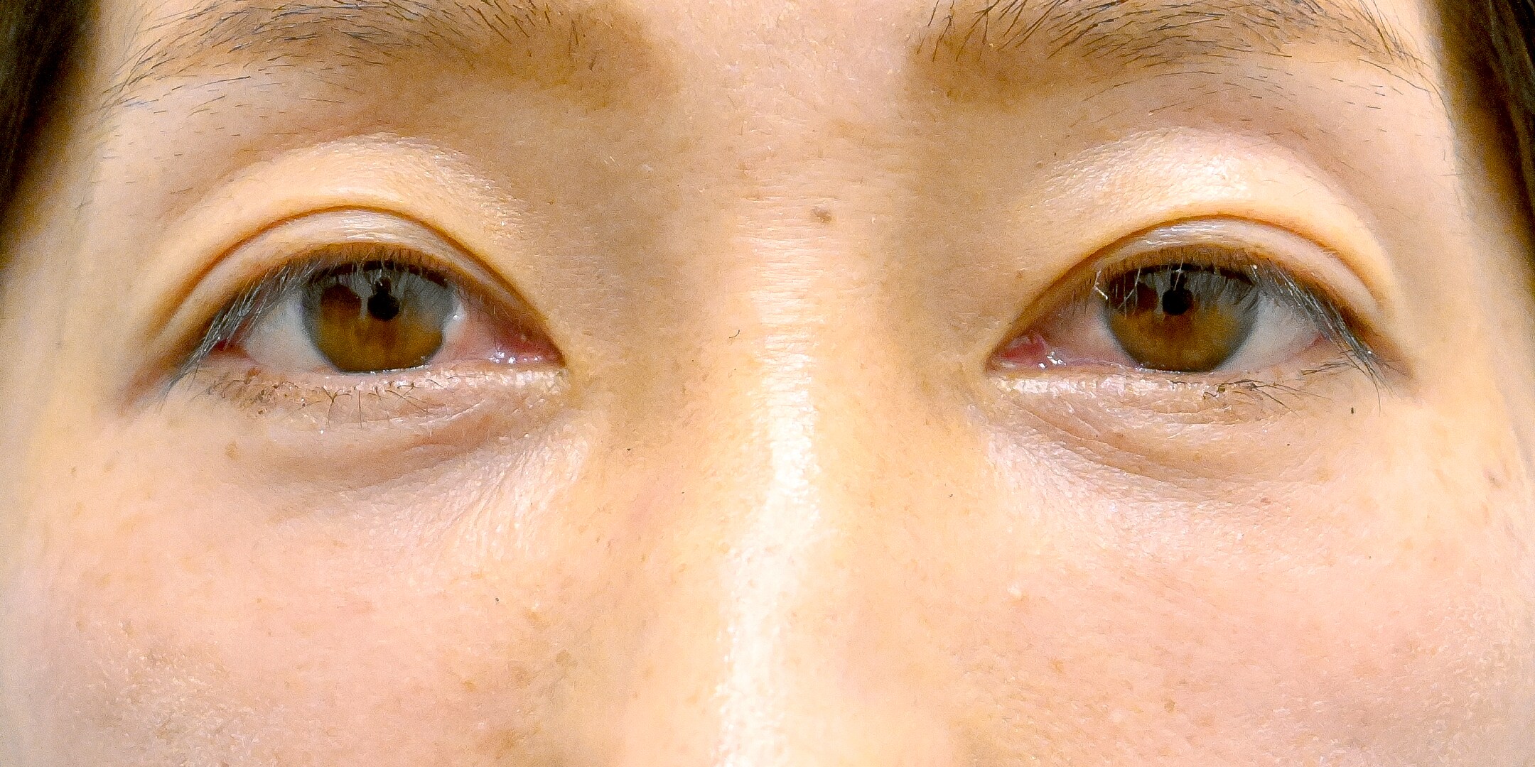
No.363933【若返り】【クマ取り】【ハムラ法】膨らんだ「眼窩脂肪」を凹みに移動してクマ解消!老け見え解消なら奥医師にお任せ!【施術3ヶ月後】【裏ハムラ法】

施術前

施術前の状態です。
→

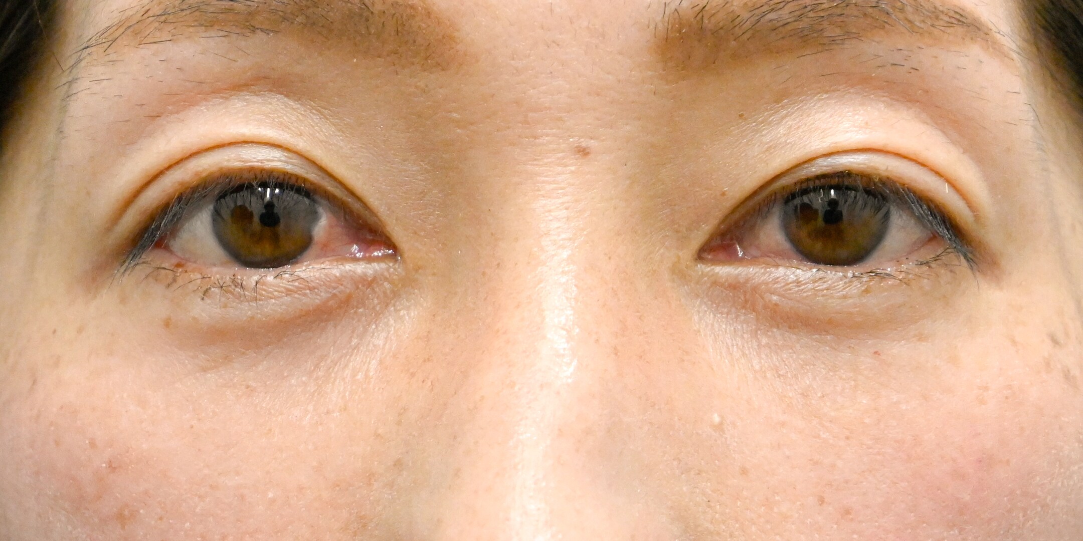
施術後3ヶ月後

術後3ヶ月、クマが改善し若々しい目元に!
すべての画像を見る

施術した院

部位

施術

施術回数

数量

性別

関連症例写真

術前
術直後
術後1週間
術後1ヶ月
術後3ヶ月

施術担当者からのコメント

脱脂から切開、脂肪注入まで全てのクマ取り治療の執刀が可能!
クマ取り施術なら奥医師にお任せください!

『涙袋の強調』『目袋の改善』『靭帯ヘコみの改善』『頬の陥凹の修復』が同時に叶ってしまう治療が、僕の裏ハムラです。
一般的に省略されることが多い靭帯処理や縫合固定ですが、当院ではしっかり手を抜かず行っておりますのでご安心ください。

==========================
【裏ハムラ法とは】
目の下の脂肪を取るのではなく、膨らんでいるところから窪んでいるところに移動させ、美しく整える方法です。
裏ハムラ法では下まぶたの裏側を切開して施術を行うため、
表面に傷が残ることはなく、外から見ても傷跡はわかりません。

★Dr.奥の二重術が選ばれる理由★
・スタッフ本人、ご家族、ご友人の施術を数多く担当
・親身なカウンセリング
・丁寧なデザイン
・美的センスの高さ
・称号多数の確かな技術力
丁寧な診察で、お一人お一人に合わせたデザインで施術させていただきます。
お気軽にご相談ください。

★instagram絶賛更新中★
【奥医師担当】
@sbc_oku

インスタグラムではリアルタイムで沢山の症例写真や
施術動画をあげています!



×

当院におけるワクチン接種後の治療間隔(ガイドライン)

美容皮膚科、美容外科小手術

前後3日(手術日は含まず)、自覚する副反応がなければ可
安心麻酔を使用するものは接種後1週間は空ける

美容外科中、大手術

前後1週間
副反応が残っている場合は延期
接種部位と手術部位が同じ場合は2週間は空ける