お急ぎの方はお電話ください
WEB予約
メンズ専用
LINE登録
オンラインストア
SBC公式アプリ
SBC 採用サイト
医療機関検索サイトアイメッド
定額制セルフエステ
当院の症例写真は、画像処理により形や大きさをかえるような処理は一切おこなっておりません。
上田将士 医師
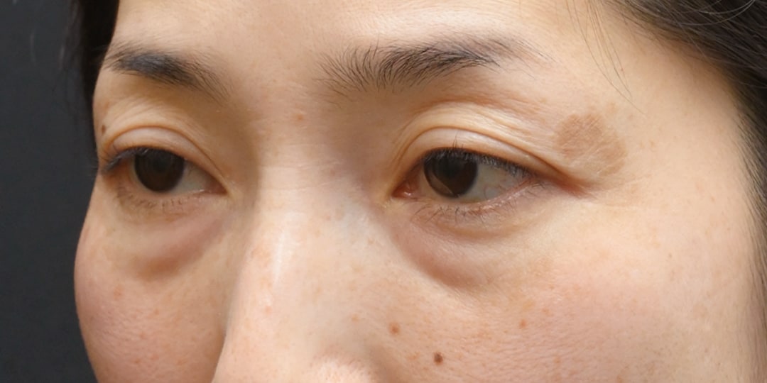
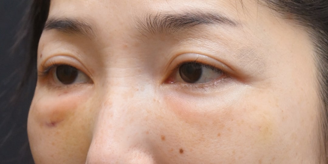
施術前
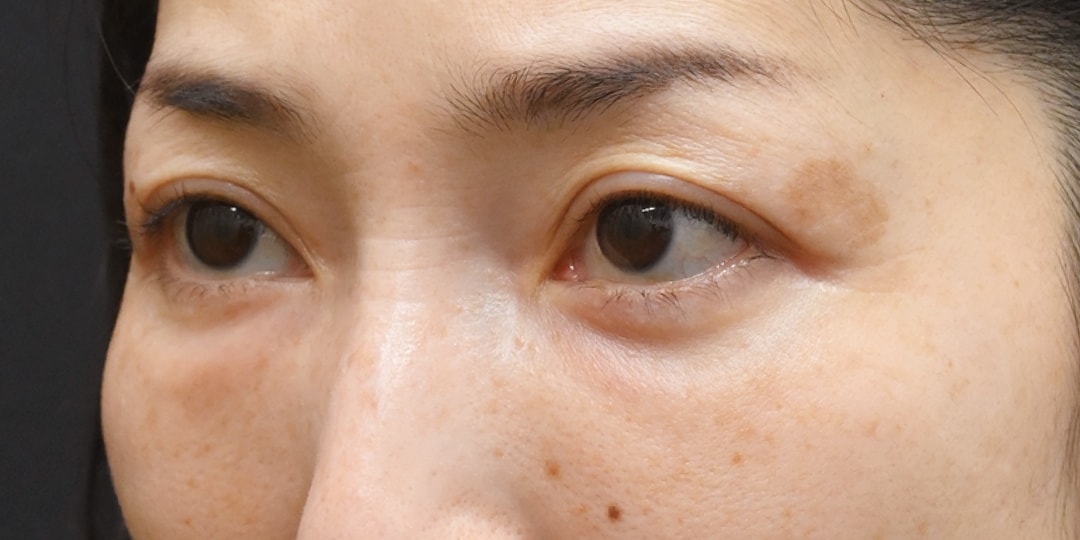
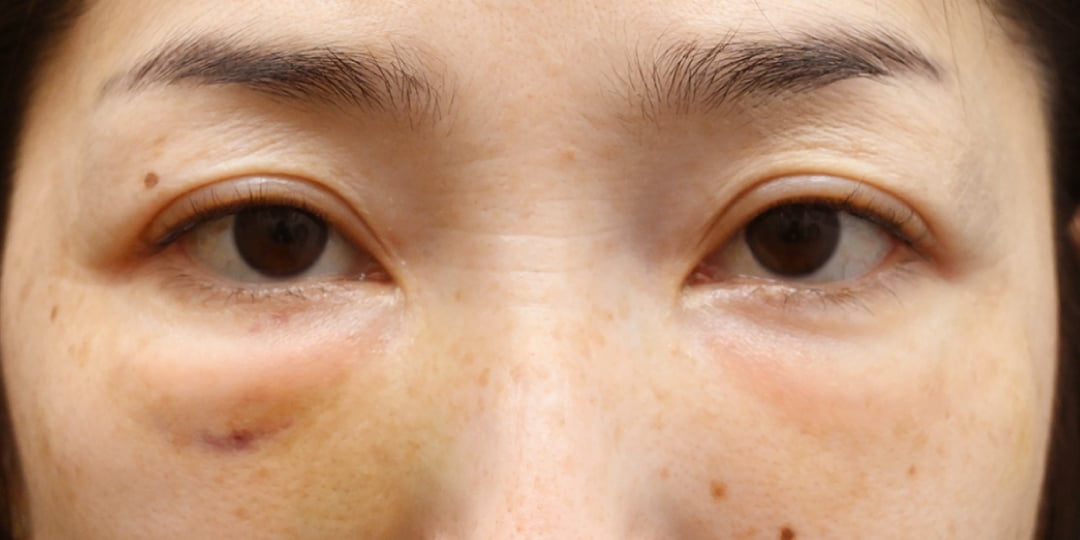
施術後3ヶ月後
施術した院
部位
施術
施術回数
数量
性別
切らないクマたるみ取り、脂肪注入を受けてくださった40代前半のお客様です。目の下の膨らみ(眼窩脂肪)が強く、頬の高さが少し低いため影クマが目立ちます。目の下の切らないたるみ取り+脂肪注入(コンデンスリッチフェイス)を行い、しっかりと頬の高さを出して明るい印象に変わりました。また、ナノリッチを組み合わせることで色味も明るく変わりました。また、涙袋もはっきりとしたので目周りの院長がかなり明るくなり若返りました。●目の下のクマのお悩みは年齢による変化だけではなく、遺伝などの要因によって10代や20代の方でもクマでお悩みの方から相談をいただきます。皮膚のたるみが少ないうちに治療することでより綺麗な仕上がりになります。丁寧で話しやすいカウンセリング、お悩みや理想に理想に合わせたベストな提案、ナチュラルで満足度の高い仕上がりをご提供させていただきます。是非、一度無料のカウンセリングへお越しください!柏院 上田将士その他の症例は↓Instagram↓から
前後3日(手術日は含まず)、自覚する副反応がなければ可安心麻酔を使用するものは接種後1週間は空ける
前後1週間副反応が残っている場合は延期接種部位と手術部位が同じ場合は2週間は空ける
施術担当者からのコメント
切らないクマたるみ取り、脂肪注入を受けてくださった40代前半のお客様です。
目の下の膨らみ(眼窩脂肪)が強く、頬の高さが少し低いため影クマが目立ちます。
目の下の切らないたるみ取り+脂肪注入(コンデンスリッチフェイス)を行い、しっかりと頬の高さを出して明るい印象に変わりました。また、ナノリッチを組み合わせることで色味も明るく変わりました。
また、涙袋もはっきりとしたので目周りの院長がかなり明るくなり若返りました。
●目の下のクマのお悩みは年齢による変化だけではなく、遺伝などの要因によって10代や20代の方でもクマでお悩みの方から相談をいただきます。
皮膚のたるみが少ないうちに治療することでより綺麗な仕上がりになります。
丁寧で話しやすいカウンセリング、お悩みや理想に理想に合わせたベストな提案、ナチュラルで満足度の高い仕上がりをご提供させていただきます。
是非、一度無料のカウンセリングへお越しください!
柏院 上田将士
その他の症例は↓Instagram↓から