お急ぎの方はお電話ください
WEB予約
メンズ専用
LINE登録
オンラインストア
SBC公式アプリ
SBC 採用サイト
医療機関検索サイトアイメッド
定額制セルフエステ
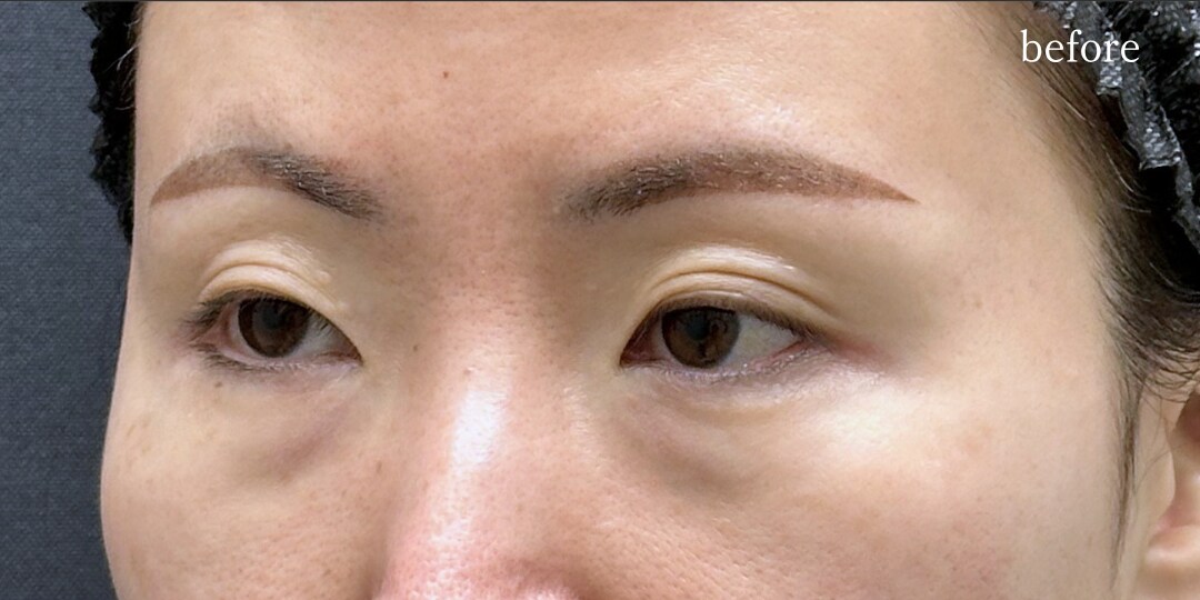
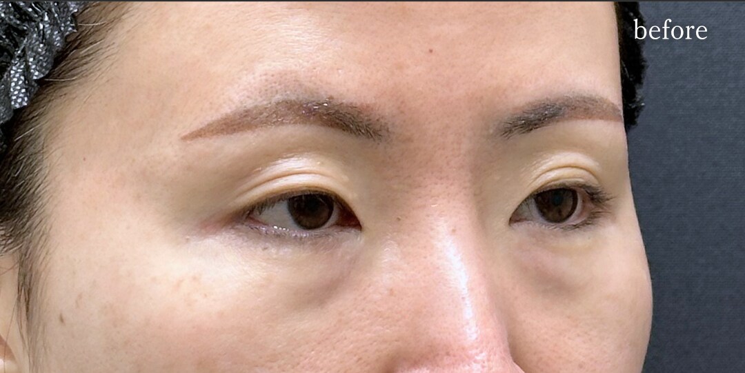
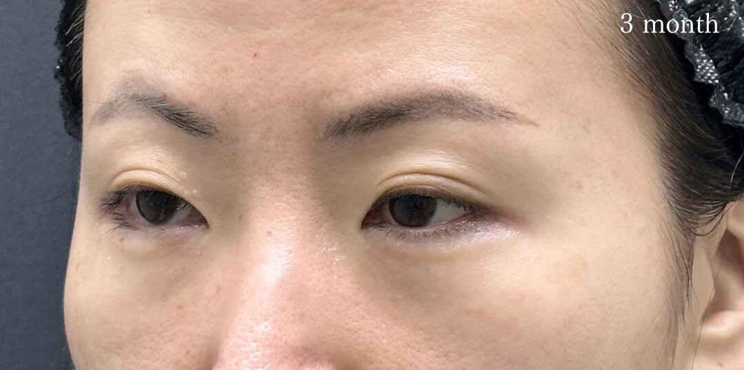
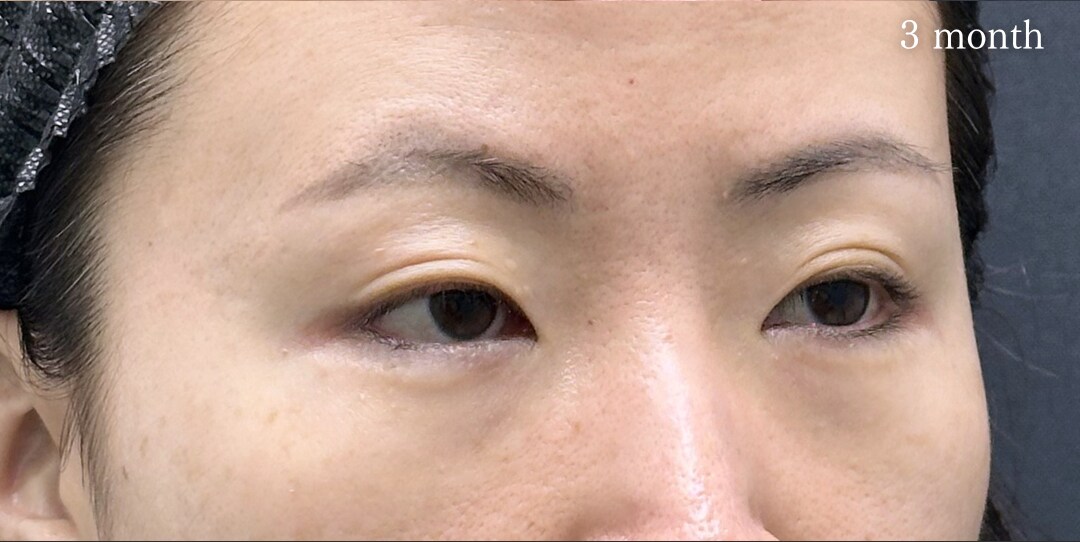
当院の症例写真は、画像処理により形や大きさをかえるような処理は一切おこなっておりません。
古澤雅史 医師
施術前
施術後3ヶ月後
施術した院
部位
施術
施術回数
数量
性別
目の下の切らないクマ・たるみ(ふくらみ)取り・脂肪注射部門でプレミアムドクター(厳選医師)に選ばれました!(400人以上のドクターの中から19名)施術名:裏ハムラ法※副作用(リスク)腫れ、内出血、血腫、左右差■裏ハムラ法とは?目の下のたるみやクマへの治療法で、下まぶた裏側(経結膜側)から、たるみの原因となる突出した脂肪を、クボミ部分に移動固定(再配置)し、目の下の凸凹を平らな状態にする治療法です。まぶたの裏側から施術を行うため、表面には傷が付かず、ダメージを最小限に抑えながら目元の凹凸によるクマを改善することができます。■Dr.古澤が選ばれる理由私が、6年連続で若返り施術で日本一を取り続けたのには、理由があります。美容外科歴17年以上の経歴から得た、デザイン力×技術×知識×経験です。お客様の希望を限りなく叶えるため、一切の妥協はしません。どのドクターよりも時間をかけ、丁寧に、そして、お客様が納得行くまでデザイン〜施術をしてます。究極に計算し尽くされた美容整形は私にお任せください!■料金&モニター割当院では、モニターの方を募集しております。○裏ハムラ法通常 380,000円→ 266,000円(税込)詳しくは無料カウンセリングでご相談ください!湘南美容クリニック池袋メトロポリタン口院○0120-232-377(AM10:00?PM11:00 土日祝日も対応)○診療時間AM10:00?PM7:00予約制(最終カウンセリング予約/17:30)○住所東京都豊島区西池袋1丁目10-8サン・グロウビル7F○池袋駅メトロポリタン口から徒歩2分
前後3日(手術日は含まず)、自覚する副反応がなければ可安心麻酔を使用するものは接種後1週間は空ける
前後1週間副反応が残っている場合は延期接種部位と手術部位が同じ場合は2週間は空ける
0120-489-100
受付時間 / 10:00~23:00
施術担当者からのコメント
目の下の切らないクマ・たるみ(ふくらみ)取り・脂肪注射部門でプレミアムドクター(厳選医師)に選ばれました!(400人以上のドクターの中から19名)
施術名:
裏ハムラ法
※副作用(リスク)
腫れ、内出血、血腫、左右差
■裏ハムラ法とは?
目の下のたるみやクマへの治療法で、下まぶた裏側(経結膜側)から、たるみの原因となる突出した脂肪を、クボミ部分に移動固定(再配置)し、目の下の凸凹を平らな状態にする治療法です。
まぶたの裏側から施術を行うため、表面には傷が付かず、ダメージを最小限に抑えながら目元の凹凸によるクマを改善することができます。
■Dr.古澤が選ばれる理由
私が、6年連続で若返り施術で日本一を取り続けたのには、理由があります。
美容外科歴17年以上の経歴から得た、デザイン力×技術×知識×経験です。
お客様の希望を限りなく叶えるため、一切の妥協はしません。
どのドクターよりも時間をかけ、丁寧に、そして、お客様が納得行くまでデザイン〜施術をしてます。
究極に計算し尽くされた美容整形は私にお任せください!
■料金&モニター割
当院では、モニターの方を募集しております。
○裏ハムラ法
通常 380,000円→ 266,000円(税込)
詳しくは無料カウンセリングでご相談ください!
湘南美容クリニック
池袋メトロポリタン口院
○0120-232-377
(AM10:00?PM11:00 土日祝日も対応)
○診療時間
AM10:00?PM7:00予約制
(最終カウンセリング予約/17:30)
○住所
東京都豊島区西池袋1丁目10-8
サン・グロウビル7F
○池袋駅メトロポリタン口から徒歩2分