症例写真(No.364168)

当院の症例写真は、画像処理により形や大きさをかえるような処理は一切おこなっておりません。

谷口雅彦 医師

No.364168【若返り】【目の下のクマ治療】【裏ハムラ+ナノリッチ】目の下の脂肪を移動させてクマ改善!!レジェンドDr.が認める次世代エース★谷口院長!!

施術前

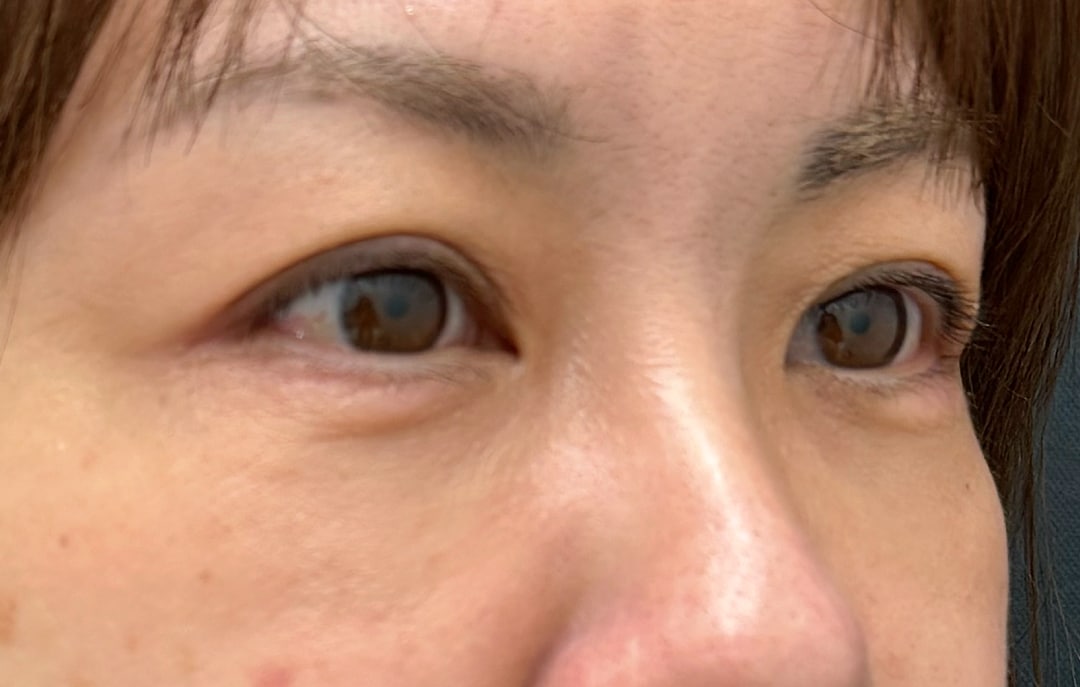
しっかり寝ても「疲れてる?」と聞かれるのがお悩みでした
→

施術後3ヶ月後

ふくらみを整えたら涙袋が復活!驚くほど自然な若見え目元へ
すべての画像を見る

施術した院

部位

施術

施術回数

数量

性別

関連症例写真

術直後
1週間後
1ヶ月後

施術担当者からのコメント

裏ハムラ法 × ナノリッチ で叶える「最上級のクマ解消」

目の下のクマやたるみの原因となる「眼窩脂肪」を移動させて平らな土台を作る【裏ハムラ法】。
そこに、ご自身の脂肪から抽出した極めて微細な脂肪を注入する【ナノリッチ】を組み合わせることで、単なるクマ取りを超えた、ハリのある若々しい目元が完成します。

?? なぜ、医師選びが重要なのか?
裏ハムラ法は術野が狭く、高度な技術と緻密な操作が求められる難易度の高い施術です。また、ナノリッチによる脂肪注入も、仕上がりの滑らかさを左右する「繊細なセンス」が不可欠です。
技術が未熟な場合、クマが残る、凹凸ができる、再発するといったリスクがあり、修正も非常に困難になります。

だからこそ、脂肪の扱いを知り尽くした経験豊富な医師を選ぶことが、後悔しないための絶対条件です。

〈小田原院 谷口院長が選ばれる理由〉
◯脂肪を「減らす」技術と「整える」技術。その両方で圧倒的な実績を誇ります。
◯ベイザー脂肪吸引 SBC内症例数 西日本エリアNo.2(2024年上半期)
◯SBCレジェンドドクター3名が認める「脂肪吸引」部門 西日本エリア選抜

「吸う」技術が高いからこそ、注入する脂肪の質にもこだわり抜き、裏ハムラ法との相乗効果で、どこから見てもフラットで自然な目元を作り上げます。

クマにお悩みの方、ぜひ一度、谷口院長の無料カウンセリングにお越しください!



×

当院におけるワクチン接種後の治療間隔(ガイドライン)

美容皮膚科、美容外科小手術

前後3日(手術日は含まず)、自覚する副反応がなければ可
安心麻酔を使用するものは接種後1週間は空ける

美容外科中、大手術

前後1週間
副反応が残っている場合は延期
接種部位と手術部位が同じ場合は2週間は空ける

×

お急ぎの方はお電話ください

0120-489-100

受付時間 / 10:00~23:00