症例写真(No.82750)
当院の症例写真は、画像処理により形や大きさをかえるような処理は一切おこなっておりません。
長谷川裕之 医師
No.82750【若返り】★北日本人気No.1★ 札幌院院長&新宿院 若返り専門 グッドデザインDr.長谷川プロデュース ☆理想の若返りシリーズ☆ 顔に傷なし裏側アプローチ法 & 繊細な3次元デザイン 「切らない目の下のたるみ取りプレミアムセット + SBCリッチフェイス 目の上」 翌日からメイク可能 わずか30分、目の下のくま、スッキリ♪ 北海道を日本一の美男美女エリアに!
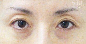
施術前
【術前】 <font color="#ff9900"><b>「みんなに疲れて見られてしまう暗い目元を、明るくしたい!」</b></font>と、私の元へご相談に来られ、大切なお顔を託して下さった40代女性。 両目とも眼窩脂肪の内側&中間が過剰の為、膨らんでいます。 眼窩脂肪が多いために涙袋がほとんどわかりません。 両側ともに目の下の凹みも高度で、目尻側まで広範囲に凹んでいます。 眼窩脂肪を取ってあげると、腫れぼったい目の下がすっきりし、可愛らしい涙袋も目立ちやすくなります。 目の上の凹みも深く、疲れた、老けた印象を与えてしまう為、同時に脂肪注入するプランとなりました。 毎日のオペ症例のうち、モニター制度を御利用されるお客様は意外と少ないですが、このように通常価格と<font color="#ff9900">同様のクオリティ</b></font>に仕上げていますのでご安心下さい♪
施術後
【術後約1ヶ月】 <font color="#ff3399"><b>最高の仕上がりを毎回追求</b></font>し、デザインは細かすぎるほど繊細に、手術操作は常に妥協せず集中して丁寧に。 腫れや内出血が最小限になるよう<font color="#ff9900"><b>様々なテクニック</b></font>を駆使しています。 顔表面の傷はほほの外側にある左右1ヵ所ずつの針穴のみですから、<font color="#ff3399">翌日からメイク可能♪</font> 手術時間は、<font color="#ff9900"><b>わずか約30分 ☆</b></font> 美しく若返り、前向きで幸せな人生を歩んで頂けたら嬉しいです。 長谷川院長プロデュース、<font color="#ff3399"><b>若返りグッドデザイン</b></font>をご体感下さい!!
すべての画像を見る
施術した院
部位
施術
施術回数
数量
性別


施術担当者からのコメント