症例写真(No.85695)
当院の症例写真は、画像処理により形や大きさをかえるような処理は一切おこなっておりません。
長谷川裕之 医師
No.85695【若返り】★北日本人気No.1★ 札幌院院長&新宿院 若返り専門 グッドデザインDr.長谷川プロデュース ☆理想の若返りシリーズ☆ 顔に傷なし裏側アプローチ法 & 繊細な3次元デザイン 「切らない目の下のたるみ取りプレミアムセット」 翌日からメイク可能 わずか30分、目の下のくま、スッキリ♪ 北海道を日本一の美男美女エリアに!
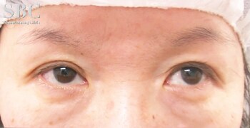
施術前
【術前】 <font color="#ff9900"><b>「疲れて暗い印象に見られてしまう目元を治したい!」</b></font>と、私の元へご相談に来られ、大切なお顔を託して下さった50代女性。 両目とも眼窩脂肪の内側&中間が過剰の為、膨らんでいます。 両側ともに膨らみの下に深い凹みも出てしまっています。 毎日のオペ症例のうち、モニター制度を御利用されるお客様は意外と少ないですが、このように通常価格と<font color="#ff9900"><b>同様のクオリティ</b></font>に仕上げていますのでご安心下さい♪
施術後
【術後約1週間】 <font color="#ff3399"><b>最高の仕上がりを毎回追求</b></font>し、デザインは細かすぎるほど繊細に、手術操作は常に妥協せず集中して丁寧に。 腫れや内出血が最小限になるよう<font color="#ff9900"><b>様々なテクニック</b></font>を駆使しています。 顔表面の傷はほほの外側にある左右1ヵ所ずつの針穴のみですから、<font color="#ff3399"><b>翌日からメイク可能♪</b></font> 手術時間は、<font color="#ff9900"><b>わずか約30分 ☆</b></font> 美しく若返り、前向きで幸せな人生を歩んで頂けたら嬉しいです。 長谷川院長プロデュース、<font color="#ff3399"><b>若返りグッドデザイン</b></font>をご体感下さい!!
すべての画像を見る
施術した院
部位
施術
施術回数
数量
性別


施術担当者からのコメント