症例写真(No.87994)
当院の症例写真は、画像処理により形や大きさをかえるような処理は一切おこなっておりません。
本田賢治 医師
No.87994【若返り】目元のクマ・タルミに永遠の別れを告げる 『切らない目の下のタルミ取りプレミアム』 「ダウンタイム最小」・「CM出演院長」・「仕上がり第一」 品川院院長Dr.本田 珠玉の若返り
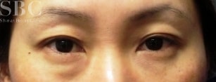
施術前
術前、40代女性のお客様です。目元のクマ、タルミでずっと悩まれていたそうです。根治的に解決を図りたいとのご希望でしたので、切らない目の下のタルミ取り+コンデンスリッチフェイス目の下+PRP血小板治療の3つ組施術 『切らない目の下のタルミ取りプレミアム』をすることとなりました。
すべての画像を見る
施術した院
部位
施術
施術回数
数量
性別



施術担当者からのコメント