症例写真(No.96636)

当院の症例写真は、画像処理により形や大きさをかえるような処理は一切おこなっておりません。

湘南美容クリニック 医師

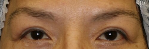
No.96636【若返り】【TVCM出演中】【女医】自然に劇的にまぶたのたるみを改善したい方へ!「眉下切開」で目元の若返り【No.279】術前→術後1週間

施術前

術前 目元にきずがつかないので、最終的には手術したことがバレない、違和感のない仕上がりを目指して。
→

施術後

術後1週間(抜糸直後)多少の腫れのため、目尻側はすこし引きつった感じがありますが、だんだん自然になってきます。
すべての画像を見る

施術した院

部位

施術

施術回数

数量

性別

施術担当者からのコメント



×

当院におけるワクチン接種後の治療間隔(ガイドライン)

美容皮膚科、美容外科小手術

前後3日(手術日は含まず)、自覚する副反応がなければ可
安心麻酔を使用するものは接種後1週間は空ける

美容外科中、大手術

前後1週間
副反応が残っている場合は延期
接種部位と手術部位が同じ場合は2週間は空ける