【若返り治療・クマ取りの名医】銀座一丁目院・岩砂院長|ダウンタイムの経過も大公開


SBC銀座一丁目院の岩砂院長は、若返り治療の執刀数が年間約4,000例にも上ります。クマ取りには脂肪注入が必須と思われがちですが、お客様の骨格によってはクマ取りのみでお悩みが改善する可能性もあります!
そんな若返り治療・クマ取り名医の岩砂院長の症例写真や治療のこだわりをご紹介いたします。
外科医歴20年以上!ベテラン岩砂院長が執刀するクマ取り
PHOTO 01
これまで培ってきた知識と経験からなる仕上がりの美しさ
クマ取り名医に聞いた!脂肪注入は必須?
PHOTO 01
脂肪注入が必要なタイプ
この方は、骨格的に頬の位置が高く元々目がくぼんでおり、クマ取りのみだと目周りのへこみが余計に目立ってしまいます。
こういう場合は脂肪注入が必要となります。
PHOTO 02
脂肪注入が必要ないタイプ
この方は元々の頬の位置は高くなく、目元のへこみが目立ちません。
また、眼窩脂肪(クマ)の量も多くないことから脂肪注入は必要ないと判断しました。
QUESTION 03
術後でもへこみがあるのは失敗?
この筋は誰にでもあり、いくら上から脂肪を被せても少し出てきてしまう部分ですので100%消すことはできません。
クマ取りをした後に、目の内側にへこみがあって失敗かもしれないとお悩みの方はティアトラフである可能性が高いのでご安心ください。
クマ取りのダウンタイム
PHOTO 01
脂肪注入あり・なしで比較
思ったよりダウンタイムが少ないと思った方も多いのではないでしょうか??
術後1週間は、脂肪注入ありの方がむくみがありますがマスクで隠せる程度の腫れです。
※ダウンタイムには個人差がございます
POINT 02
若返り治療クマ取り名医・岩砂医師が選ばれる理由
手術時間を短縮することで術後の身体への負担を最小限に抑える工夫は、外科医歴20年以上のベテラン医師ならではの技術力です。
クマ取り・よくある質問
QUESTION 01
術後の痛みはどの程度ですか?
もし術後にお痛みを感じらる場合でも、鎮痛剤を飲むことでほとんどの方は問題なく過ごされますよ。
※ダウンタイムには個人差がございます
QUESTION 02
仕事のお休みは必要ですか?
麻酔の影響で翌日少しだるさが残る可能性がございますので、周りにバレても問題ない方は翌日のお休みがあると安心かと思います。
BEFORE AFTER施術前と施術後の変化
-
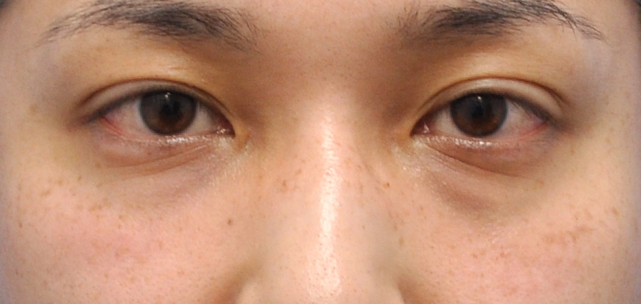
施術前

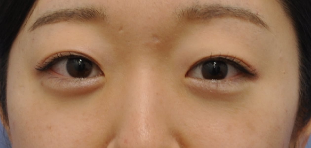
1 ヶ月後

-
施術前

1 ヶ月後

-
施術前

1 ヶ月後

-
施術前

1 ヶ月後

CLINICクリニック案内

女医在籍
モニター募集
駅チカ
| 所在地 | 〒104-0061 東京都中央区銀座1丁目3-9 マルイト銀座ビル2階 |
|---|---|
| 診療時間 |
AM10:00~PM7:00(最終カウンセリング予約PM5:30まで) ※休診日についてはお問い合わせください |
| アクセス | 〇東京メトロ有楽町線 銀座一丁目駅 3番出口 徒歩1分 〇東京メトロ有楽町線 有楽町駅 D9番出口 徒歩2分 〇JR有楽町駅 京橋口 徒歩5分 〇東京メトロ銀座線・丸ノ内線・日比谷線 銀座駅C8出口 徒歩5分 |
湘南美容クリニック銀座一丁目院では皮膚科治療を始め、
痩身、小顔治療、二重術、クマ取りなど幅広い施術を取り扱っております。
東京メトロ有楽町線「銀座一丁目駅」3番出口から徒歩1分です♪
まずはお気軽に、お電話若しくはメールにてお問い合わせください。
監修医師紹介







