症例写真(若返り)
ドクターが選ぶ BEST SHOT AWARD
症例写真一覧
表示件数:52908件 / 348294件
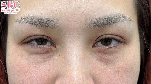
若返り / 目の下の切らないクマ・たるみ(ふくらみ)取り 他 No.355692
【若返り】【クマ取り】【ダウンタイム公開】自身も受けたから分かる的確なアプローチ!柏院院長Dr.上田将士のクマ取り治療★
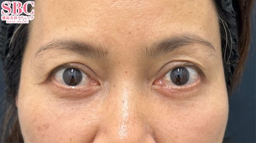
若返り / 目の下の切らないクマ・たるみ(ふくらみ)取り 他 No.360714
【若返り】【クマ取り】【ダウンタイム公開】自身も受けたから分かる的確なアプローチ!柏院院長Dr.上田将士のクマ取り治療★
若返り / ナチュラル脂肪注射コンデンスリッチ 他 No.354882
【27歳美容ナース】目の下のクマ取り+全顔脂肪注入
若返り / ベビーコラーゲン(ヒューマラジェン) 他 No.360712
手術せずにクマを改善★ベビーコラーゲン施術
若返り / 裏ハムラ法 No.358780
【クマ取り】【ハムラ法】膨らんだ「眼窩脂肪」を凹みに移動してクマ解消!老け見え解消なら奥医師にお任せ!【施術1ヶ月後】【裏ハムラ法】
若返り / VOV(ボブ)リフト 他 No.352254
【糸リフト】たるみ・もたつき改善!お悩みに合わせたアプローチで速攻若返り!【施術1ヶ月後】【VOVリフト】【シークレットリフト】
若返り / シークレットリフト 他 No.352964
【糸リフト】たるみ・もたつき改善!お悩みに合わせたアプローチで速攻若返り!【施術1ヶ月後】【VOVリフト】【シークレットリフト】
若返り / 切開ハムラ(表ハムラ)法 No.360704
【30代】【切開ハムラ】クマ取りNo.1ドクターによる、東大式クマ取り!
若返り / 裏ハムラ法 No.360701
【目の下のクマ治療】【裏ハムラ】目の下の脂肪を移動させてクマ改善!!レジェンドDr.が認める次世代エース★谷口院長!!
若返り / 裏ハムラ法 No.360700
【目の下のクマ治療】【裏ハムラ】目の下の脂肪を移動させてクマ改善!!レジェンドDr.が認める次世代エース★谷口院長!!
若返り / VOV(ボブ)リフト 他 No.360694
【若返りMuse】もえか先生の若返り術|お客様一人ひとりに合わせたパーソナルプランで自然な若返り?
若返り / 目の下の切らないクマ・たるみ(ふくらみ)取り No.360107
【【形成外科専門医おしぶ先生が担当】脂肪注入併用による切らないクマ・たるみ取り術!
若返り / 切開ハムラ(表ハムラ)法 No.359803
【表(切開)ハムラ6ヶ月後】目元の若返りなら澁川医師にお任せください【-5歳も夢ではありません!】
若返り / コンデンスリッチフェイス脂肪注入全顔入れ放題 他 No.360673
【全顔脂肪注入】顔の凹凸を解消して老け顔・疲れ顔卒業!女性らしい丸みのあるフェイスラインに。口コミ・紹介で人気の中谷医師にお任せください!【術後3ヶ月経過】
若返り / 目の下の切らないクマ・たるみ(ふくらみ)取り No.360470
目元スッキリ!膨らみがなくなり一気に若返り☆坂本龍亮医師による目の下の切らないクマ取り&ナチュラル脂肪注入!
若返り / 目の下の切らないクマ・たるみ(ふくらみ)取り 他 No.360658
【脱・おばあちゃん!外科専門医の化ける切らないクマ取りでマイナス10歳!】脱脂術×脂肪注入で圧倒的若返り。
若返り / プリマリフト No.360631
◆◆美容外科専門医 名倉が叶える小顔術!!糸リフト6年連続全国1位 (2019年~2024年)!※SBC内◆◆プリマリフト+脂肪吸引(頬+顎下)◆ 6ヶ月後のお写真
若返り / 目の下の切らないクマ・たるみ(ふくらみ)取り 他 No.360637
【若返りmuse】二子玉川院院長の青柳萌花による目の下の切らないクマたるみ取り★若々しい目元に!
若返り / JKリフト 他 No.360497
★ピックアップ症例★30代女性スタッフ 【片岡二郎先生が開発・監修しました】新宿本院でしか受けることの出来ない最新糸リフト・JKリフト+ボトックス 術後1ヶ月
若返り / コンデンスリッチフェイス法(額・こめかみ脂肪注入) 他 No.360483
【若返りMuse】もえか先生の若返り術|お客様一人ひとりに合わせたパーソナルプランで自然な若返り?





































































