千葉県千葉市中央区新千葉1-4-2 ウェストリオ2 6F
・JR千葉駅西口 徒歩1分
0120-546-706
受付時間:AM10:00~PM11:00(土・日・祝日も対応)
 
			

千葉駅徒歩1分の歯医者!湘南歯科クリニック千葉院では「インビザラインGo(ゴー) システム」を採用しています。
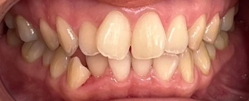
湘南歯科はセラミック矯正だけでなく、マウスピース矯正で、歯並びをきれいにいたします!
あなたの前歯に応じて、美しい口元をご提案いたします。お気軽にご相談ください。
 
 







 
クリニック案内
モニター情報 No.102-0088
千葉県千葉市中央区新千葉1-4-2 ウェストリオ2 6F
・JR千葉駅西口 徒歩1分
0120-546-706
受付時間:AM10:00~PM11:00(土・日・祝日も対応)
必ずご確認ください
※お問い合わせの際にはモニター番号が必要になりますので、
				モニター番号をお控えの上、お問い合わせください。
違う条件でモニターを探す
