症例写真(若返り)
ドクターが選ぶ BEST SHOT AWARD
症例写真一覧
表示件数:52817件 / 347958件
若返り / 顎下すっきリフト(アンカーDXダブル) No.360366
60代のお客様【顎下すっきリフト】【糸リフト】自然な小顔若返り・しょうこ先生の“全層治療”【ダウンタイム最小限だからお休みが取れなくても安心!】
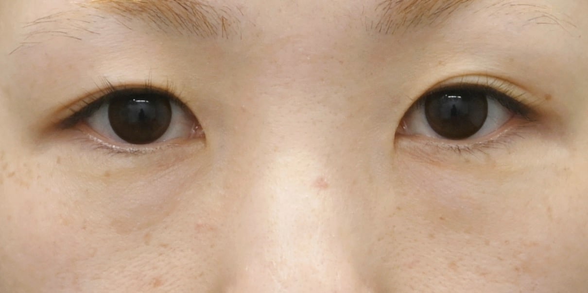
若返り / ベビーコラーゲン(ヒューマラジェン) 他 No.360354
【50代女性】目の下のクマ改善にべビーコラーゲンとヒアルロン酸を併用した症例写真です。
若返り / シークレットリフト 他 No.360353
【若返りMuse】もえか先生の若返り術|お客様一人ひとりに合わせたパーソナルプランで自然な若返り?
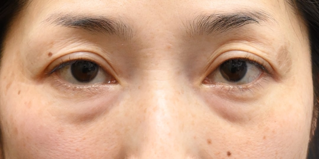
若返り / 裏ハムラ法 No.358780
【クマ取り】【ハムラ法】膨らんだ「眼窩脂肪」を凹みに移動してクマ解消!老け見え解消なら奥医師にお任せ!【施術1ヶ月後】【裏ハムラ法】
若返り / プリマリフト No.360311
◆◆美容外科専門医 名倉が叶える小顔術!!糸リフト6年連続全国1位 (2019年~2024年)!※SBC内◆◆プリマリフト+脂肪吸引(頬+顎下)◆ 7ヶ月後のお写真
若返り / VOV(ボブ)リフト 他 No.352254
【糸リフト】たるみ・もたつき改善!お悩みに合わせたアプローチで速攻若返り!【施術1ヶ月後】【VOVリフト】【シークレットリフト】
若返り / シークレットリフト 他 No.352964
【糸リフト】たるみ・もたつき改善!お悩みに合わせたアプローチで速攻若返り!【施術1ヶ月後】【VOVリフト】【シークレットリフト】
若返り / 目の下の切らないクマ・たるみ(ふくらみ)取り 他 No.360288
【春キャン??2026/3/31までMAX44%OF】二子玉川院院長の青柳萌花による目の下の切らないクマたるみ取り★若々しい目元に!
若返り / ヒアルロン酸ジュビダームビスタ ウルトラプラスXC 他 No.360270
【若返りMuse】もえか先生の若返り術|お客様一人ひとりに合わせたパーソナルプランで自然な若返り?
若返り / テスリフト 他 No.360249
【糸リフトSBC公式おすすめDr/テスリフトSBC内症例数中部No1※】【50代/糸リフト】切らない小顔のプロフェッショナル小泉による劇的Before&after ※2025年上半期
若返り / ベビーコラーゲン(ヒューマラジェン) No.360210
【ベビーコラーゲン】注射で目の下クマを解消!皮膚科のクマ治療も全国おすすめクマ治療Dr.選抜のDr.ルークひのきにお任せ!
若返り / コンデンスリッチフェイス脂肪注入全顔入れ放題 他 No.358646
【若返り】顔のコケとクマがなくなるだけで顔が明るい印象に!
若返り / 切開ハムラ(表ハムラ)法 他 No.360140
【クマ取り】【品川院】クマ取り症例7500件!症例数6年連続全国No.1 クマ取りプレミアムドクターの本田賢治医師による綺麗な表ハムラ法
若返り / 目の下の切らないクマ・たるみ(ふくらみ)取り No.359953
★外科医歴20年以上★【岩砂医師の大人気クマ取り!】安心の技術力で目元の若返り!【20代女性クマ取り(脂肪注入なし)】【術後1ヶ月】
若返り / 裏ハムラ法 他 No.359997
【40代/女性/クマ取り】SBC公式切らない若返りの神業医師 小泉佑太による違和感ゼロのクマ取り
若返り / ナチュラル脂肪注射ナノリッチ 他 No.359835
40代女性 目の下の切らないクマ・たるみ取り/ナチュラル脂肪注射コンデンスリッチフェイス(目の上・目の下・ゴルゴ) /ナチュラル脂肪注射ナノリッチ(目の下・ゴルゴ)
若返り / 裏ハムラ法 No.359550
【垢抜け必至!クマ取りひとつで若返る】『形成外科と美容外科(JSAPS)のダブルライセンス!確かな知識や技術と豊富な経験によるクマ取り』形成外科/美容外科専門医(JSAPS)として眼瞼下垂や二重術、クマ手術症例多数!目元のスペシャリストえのもと医師にご相談ください
若返り / 切開ハムラ(表ハムラ)法 No.359627
【切開ハムラ(表ハムラ)1か月後】形成外科出身医師による傷跡の目立ちにくい若返り術!
若返り / 切開ハムラ(表ハムラ)法 No.359548
【クマ取り】【40代】【クマとたるみを根本改善】切開ハムラ法【切開ハムラ症例数No.2 SBC内関東2025年上半期】
若返り / 裏ハムラ法 No.359549
【クマ取り】【30代】【クマとたるみを根本改善】裏ハムラ法






































































