千葉県千葉市中央区新千葉1-4-2 ウェストリオ2 6F
・JR千葉駅西口 徒歩1分
0120-546-706
受付時間:AM10:00~PM11:00(土・日・祝日も対応)
 
			

千葉駅徒歩1分の歯医者!湘南歯科クリニック千葉院では、インビザライン矯正を行っています。
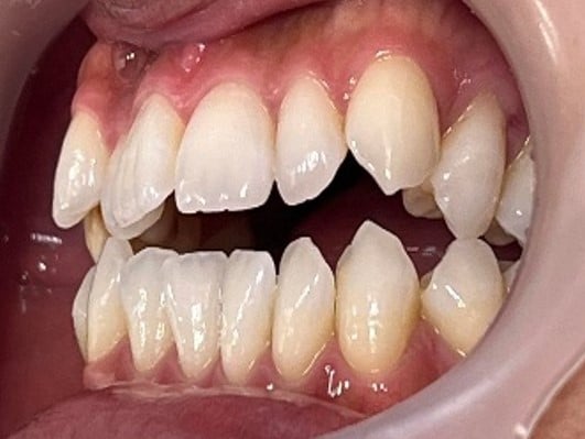
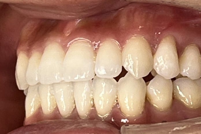
全体矯正がこの価格でできる!奥歯までしっかり動かせるプランの為部分矯正よりもより全体のバランスを整える事が可能です。
カウンセリング後最短1か月で治療スタートできます。早く綺麗になりたい方、是非ご相談ください!

  
   
 
透明に近いマウスピース型の矯正装置(アライナー)のため歯に装着しても目立つことなく歯並びを矯正することが出来ます。
    また、一人ひとりに合わせて矯正装置を作製いたします。治療の段階に合わせて新しい装置に交換しながら徐々に歯を動かし、歯並びを矯正していきます。
  
  
  
  
    
クリニック案内
モニター情報 No.102-0090
千葉県千葉市中央区新千葉1-4-2 ウェストリオ2 6F
・JR千葉駅西口 徒歩1分
0120-546-706
受付時間:AM10:00~PM11:00(土・日・祝日も対応)
必ずご確認ください
※お問い合わせの際にはモニター番号が必要になりますので、
				モニター番号をお控えの上、お問い合わせください。
違う条件でモニターを探す
