岡山県倉敷市阿知1丁目1-1 さんすて倉敷2階
・倉敷駅下車すぐ
0120-170-423
受付時間:AM9:00~PM11:00(土・日・祝日も対応)


ご覧いただきありがとうございます。
湘南美容クリニック長崎院の中山正彦です。
『まちゃひこ先生』と呼んでください。
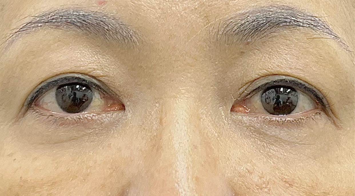
顔の印象を変えて若返りたい
写真を撮る時に目の下に線・影ができる
疲れてないのに疲れているように見られる
化粧してもクマを隠せない
クマを改善させるだけでもナチュラルに若返られます!
クマ取りにはさまざまな方法がありますので、お客様に合った施術をご提案いたします。

目の下の切らないクマ・たるみ(ふくらみ)取りはこの「くま」の原因となる眼窩脂肪を除去することにより目の下のたるみやふくらみを改善させ、目まわりの印象を若返らせる治療です。
目の下は、膨らみと凹みが混在しているため、タルミに見えやすい部位です。 目の上や下の余分な脂肪を取り除く事で、 膨らみの少ないスッキリした目元になれます!
アイバックリムーブ法は、目の下の余剰皮膚切除&眼窩脂肪除去を行い目袋と皮膚のたるみを改善する方法です。
下瞼を支える力が弱い人には、眼輪筋の引き上げ固定や、緩んだ下瞼の短縮手術などが必要です(追加には別途料金がかかります)。
下まぶたまつ毛の下の皮膚を切開するので、術後抜糸が必要です。
皮膚の切開線はまつ毛の際に隠しますので、お時間が経過すればほとんどわかりません。
コンデンスリッチフェイスでは、コンデンス(濃縮)技術により、死活・老化細胞のみを分離し、健全な脂肪のみを抽出します。そのため、リスクを抑えながらも多くの脂肪を注入することができ、定着量も多くなります。
従来の脂肪注入はもちろん、これまで最高峰といわれていた脂肪注入を大きく上回る脂肪定着量を実現しました。
ナノリッチは、コンデンスリッチフェイスをさらに研ぎ澄まし、ナノ化した脂肪注入の方法です。
脂肪細胞に含まれる繊維組織を除去して滑らかにし、脂肪から極少量しか取れない研ぎ澄まされた良質な幹細胞と小さな脂肪からなる不純物の少ない極小脂肪を注入します。顔の浅いしわや色味、肌質の改善が期待できます。
まぶたなどの薄い皮膚にも注入でき、目のくぼみや目の下のたるみ・クマにも有効です。
また、当院では複数の注入口から注入するクリスクロス法を採用しており、肌に生じる凸凹を防いで滑らかで自然に仕上げます。
永続的な効果が期待できる究極の若返り術です。
裏ハムラ法とは、目の下のふくらみの原因である「眼窩脂肪(がんかしぼう)」を移動させて、整える治療です。
目の下のクマ・たるみ(ふくらみ)は、眼窩脂肪という、眼球を支えている脂肪が前方に突出してくることで生じます。膨らんでいる部分からくぼんでいる部分に眼窩脂肪を移動させることで、膨らみと溝を同時に改善し、フラットな状態にすることができるため、眼窩脂肪を切り離すことなくクマを改善することができます。
目立ちづらい下まぶたのまつ毛の際から皮膚を切開し、膨らんでいる部分からくぼんでいる部分に眼窩脂肪を移動させることで、膨らみと溝を同時にフラットにすることができるため、眼窩脂肪を切り離すことなくクマを改善することができます。
同時に余分な皮膚も切除することができるので、膨らみが大きい方・皮膚の余りが気になる方にお勧めの施術です。


| 施術名 | モニター価格(税込) |
|---|---|
| ナチュラル脂肪注射コンデンスリッチ(コンデンスリッチフェイス作成料) | 57,750円 |
| ナチュラル脂肪注射コンデンスリッチ(目の下) | 57,750円 |
| ナチュラル脂肪注射コンデンスリッチ(目の下~ゴルゴ) | 86,620円 |
| ナチュラル脂肪注射ナノリッチ(ナノリッチ作成料) | 114,780円 |
| ナチュラル脂肪注射ナノリッチ(ほうれい線) | 57,750円 |
| ナチュラル脂肪注射ナノリッチ(ゴルゴ線) | 57,750円 |
| ナチュラル脂肪注射ナノリッチ(目の下) | 57,750円 |
| ナチュラル脂肪注射ナノリッチ(こめかみ) | 57,750円 |
| ナチュラル脂肪注射ナノリッチ(頬) | 86,620円 |
| ナチュラル脂肪注射ナノリッチ(口角) | 43,300円 |
| ナチュラル脂肪注射ナノリッチ(顎先) | 57,750円 |
| ナチュラル脂肪注射ナノリッチ(額) | 118,400円 |
| アイバックリムーブ法 | 126,170円 |
| 裏ハムラ法 | 266,000円 |
| 切開ハムラ(表ハムラ)法 | 266,000円 |
| 目の下の切らないクマ・たるみ(ふくらみ)取り(麻酔(局所麻酔)代が含まれています。※別途安心麻酔(静脈麻酔)代がかかります。 ) | 79,100円 |
クリニック案内
モニター情報 No.200-0113
必ずご確認ください
※お問い合わせの際にはモニター番号が必要になりますので、
モニター番号をお控えの上、お問い合わせください。
違う条件でモニターを探す
