美容整形の症例写真(美容整形)
症例写真一覧
表示件数:320999件 / 351036件
美容歯科 / プレミアムダイヤモンドセラミック 他 No.363410
整形シンデレラファイナリスト担当Drが貴方に贈る 「あなたの笑顔を最高の笑顔に。」〜The Perfect Smile〜 ジルコニアダイヤモンドセラミック
医療レーザー外来 / モフィウス8 No.363409
SBC内症例数全国No.1(2025年上半期、下半期) モフィウス8で切らずに目元のクマ、まぶたのたるみ、小じわを改善!
医療レーザー外来 / サーマクールFLX No.363408
サーマクールSBC内症例数全国No.1(2025年上半期、下半期) サーマクールFLXの2ヶ月後の着実な引き締め効果
医療レーザー外来 / サーマクールFLX No.363407
サーマクールSBC内症例数全国No.1(2025年上半期、下半期) サーマクールFLXの2ヶ月後の着実な引き締め効果
医療レーザー外来 / サーマクールFLX No.363406
サーマクールSBC内症例数全国No.1(2025年上半期、下半期) サーマクールFLXの2ヶ月後の着実な引き締め効果
医療レーザー外来 / サーマクールFLX No.363405
サーマクールSBC内症例数全国No.1(2025年上半期、下半期) サーマクールFLXの着実な引き締め効果
アートメイク / リップ No.363403
【AGA新宿本院】アートメイク リップ 初回
豊胸・バストの修正 / Motivaエルゴノミックス2(バッグ豊胸) No.363402
LAST CALL神ドクター豊胸部門 DR.中村の美バスト症例 ≪シリコンバッグ豊胸(エルゴノミクス2 左右335cc使用)/術前→1ヶ月目≫
豊胸・バストの修正 / Motivaエルゴノミックス2(バッグ豊胸) No.363401
LAST CALL神ドクター豊胸部門 DR.中村の美バスト症例 ≪シリコンバッグ豊胸(エルゴノミクス2 左右335cc使用)/術前→1ヶ月目≫
AGA薄毛治療 / AGA治療薬 他 No.363400
30代男性 毛根再生注射、臍帯幹細胞上清液メソセラピー3回 AGA薬併用 12か月の経過
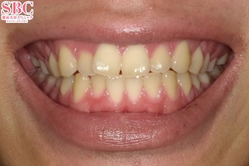
美容歯科 / マウスピース矯正 No.363399
【インビザライン GO】正面からの印象が変わるマウスピース矯正!
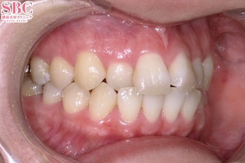
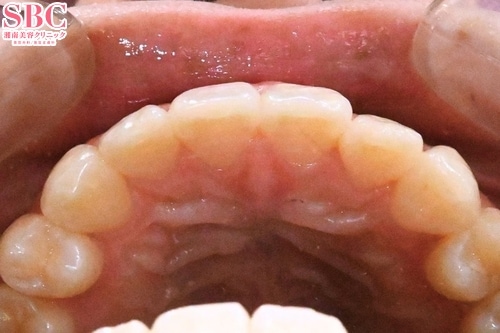
美容歯科 / マウスピース矯正 No.363398
【インビザライン GO】ねじれを解消することで綺麗な歯列ラインに
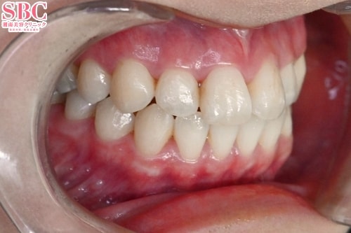
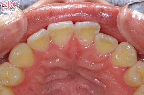
美容歯科 / マウスピース矯正 No.363397
【インビザライン GO】前歯のがたつきを綺麗にして自然な並び方へ!
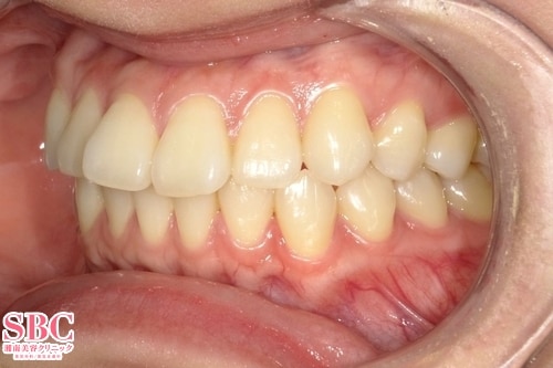
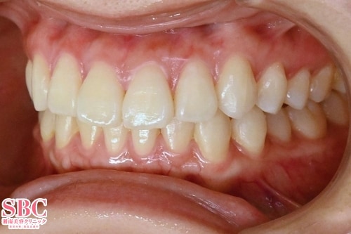
美容歯科 / マウスピース矯正 No.363396
【インビザライン GO】前歯のちょっとしたがたつきを改善??
AGA薄毛治療 / 毛根再生注射 他 No.363395
毛根再生注射1回、臍帯幹細胞上清液メソ6回、HRタブレットセット、30代男性、14ヶ月後
医療ダイエット / クールスカルプティング(R)・ エリート(クルスカダブル) 他 No.363393
【オンダリフトボディxクールスカルプティング】
医療ダイエット / クールスカルプティング(R)・ エリート(クルスカダブル) 他 No.363392
【オンダリフトボディxクールスカルプティング】
医療ダイエット / クールスカルプティング(R)・ エリート(クルスカダブル) 他 No.363391
【オンダリフトボディxクールスカルプティング】
医療ダイエット / クールスカルプティング(R)・ エリート(クルスカダブル) 他 No.363390
【オンダリフトボディxクールスカルプティング】
医療ダイエット / クールスカルプティング(R)・ エリート(クルスカダブル) 他 No.363389
【オンダリフトボディxクールスカルプティング】

















































