美容整形の症例写真(美容整形)
症例写真一覧
表示件数:321001件 / 351038件
若返り / 裏ハムラ法 他 No.363370
【クマ取り 症例件数No.2の実績】元大学病院外科医による自然な目元の若返り☆ ※2025上期 SBC内中四国
AGA薄毛治療 / 毛根再生注射 他 No.363369
30代男性 AGA治療薬+毛根再生注射+C-PRPメソセラピー1クール 3カ月目 (その4)
AGA薄毛治療 / 毛根再生注射 他 No.363368
30代男性 AGA治療薬+毛根再生注射+C-PRPメソセラピー1クール 3カ月目 (その3)
AGA薄毛治療 / 毛根再生注射 他 No.363367
30代男性 AGA治療薬+毛根再生注射+C-PRPメソセラピー1クール 3カ月目 (その2)
AGA薄毛治療 / 毛根再生注射 他 No.363366
30代男性 AGA治療薬+毛根再生注射+C-PRPメソセラピー1クール 3カ月目 (その1)
豊胸・バストの修正 / ハイブリッド豊胸 他 No.363365
LAST CALL神ドクター豊胸部門DR.中村の美バスト症例 ハイブリッド豊胸(Motivaエルゴノミックス2 右270cc/左270cc使用)/術前→1ヶ月目
若返り / ウルセラプライム No.363364
【ウルセラプライム】頬・フェイスライン・目元のたるみ改善&リフトアップ!
若返り / ウルセラプライム No.363363
【ウルセラプライム】頬・フェイスライン・目元のたるみ改善&リフトアップ!
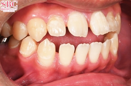
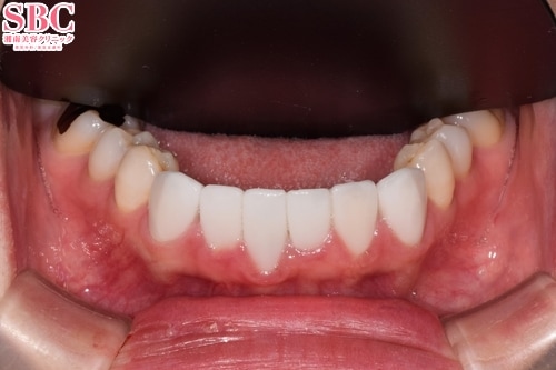
美容歯科 / マウスピース矯正 No.363362
★歯のガタツキ改善★
二重・二重整形 / クイックコスメティーク・ダブルNeo No.363361
【埋没二重】自然でバレない仕上がり|症例多数・元大学病院外科医 茂木医師が担当
豊胸・バストの修正 / ハイブリッド豊胸 他 No.363360
LAST CALL神ドクター豊胸部門DR.中村の美バスト症例 ハイブリッド豊胸(Motivaエルゴノミックス2 右270cc/左270cc使用)/術前→1ヶ月目
若返り / 裏ハムラ法 他 No.363359
【クマ取り 症例件数No.2の実績】元大学病院外科医による自然な目元の若返り☆ ※2025上期 SBC内中四国
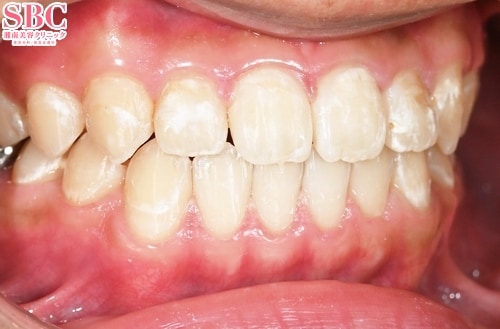
美容歯科 / マウスピース矯正 No.363358
【マウスピース矯正】噛み合わせ(開咬)も隙間も改善!
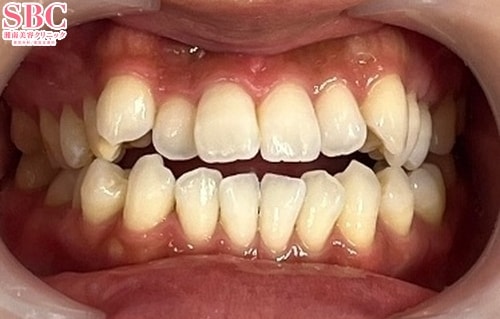
美容歯科 / マウスピース矯正 No.363357
オープンバイト(開咬)をマウスピース矯正で改善!インビザラインモデレート
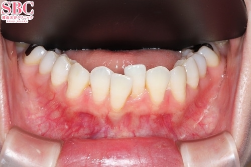
美容歯科 / プレミアムダイヤモンドセラミック 他 No.363356
整形シンデレラファイナリスト担当Drが貴方に贈る 「あなたの笑顔を最高の笑顔に。」〜The Perfect Smile〜 ジルコニアダイヤモンドセラミック
豊胸・バストの修正 / Aquicell(アキーセル)併用コンデンスリッチ(脂肪注入豊胸) No.363353
■脂肪注入豊胸■ 【 脂肪豊胸症例数 東日本エリア3年連続女医1位 ※2022-24年】安心の女医・多田彩子(一般外科出身)による脂肪注入豊胸都心で経験豊富!要らない脂肪をお胸に移して、コンプレックス解消★
脂肪吸引 / Aquicell(アキーセル)脂肪吸引 No.363351
★最優秀症例8度受賞!150000件以上の圧倒的執刀数 美容外科医歴25年以上の超ベテラン・プレミアムDr.須田陽一が叶える小顔!★新宿本院主任医長・脂肪吸引エグゼクティブDr. VASER脂肪吸引認定医☆吸引量・デザインへのこだわり★あご下の脂肪吸引+糸リフト★6ヶ月後
AGA薄毛治療 / 毛根再生注射 他 No.363350
毛根再生注射1回、臍帯幹細胞上清液メソ6回、HRタブレットセット、30代男性、14ヶ月後
美容歯科 / プレミアムダイヤモンドセラミック 他 No.363349
整形シンデレラファイナリスト担当Drが貴方に贈る 「あなたの笑顔を最高の笑顔に。」〜The Perfect Smile〜 ジルコニアダイヤモンドセラミック
豊胸・バストの修正 / ハイブリッド豊胸 他 No.363348
LAST CALL神ドクター豊胸部門DR.中村の美バスト症例 ハイブリッド豊胸(Motivaエルゴノミックス2 右270cc/左270cc使用)/術前→1ヶ月目




















































