美容整形の症例写真(美容整形)
症例写真一覧
表示件数:320722件 / 350757件
二重・二重整形 / クイックコスメティーク・ダブルNeo No.363144
【埋没法二重術】 自然な仕上がりはお任せください!★Dr.上田による埋没二重術★ナチュラルミックスライン【柏院院長】
二重・二重整形 / クイックコスメティーク・ダブルNeo No.363101
20代女性 クイックコスメティーク・ダブルNeo/重瞼抜糸
二重・二重整形 / クイックコスメティーク・ダブルNeo 他 No.363100
20代女性 クイックコスメティーク・ダブルNeo/目頭切開プレミアム
二重・二重整形 / 目尻切開法 他 No.363099
20代女性 目尻切開/下眼瞼下制(結膜切開/タレ目/たれ目/グラマラスライン)
豊胸・バストの修正 / ハイブリッド豊胸 他 No.361985
■ハイブリッド豊胸■【バック豊胸症例数 全国女医症例数1位 2023年下期】経験豊富な女医・多田彩子(一般外科出身)による豊胸術!!シリコンバック豊胸術の綺麗な症例写真で人気◎ 脂肪注入豊胸、乳頭縮小術からバック豊胸まで出来る女医として選ばれています。
豊胸・バストの修正 / Aquicell(アキーセル)併用コンデンスリッチ(脂肪注入豊胸) 他 No.362187
■脂肪注入豊胸■ 脂肪豊胸症例数 東日本エリア3年連続女医1位 ※2022-24年 安心の女医・多田彩子(一般外科出身)による脂肪注入豊胸都心で経験豊富!要らない脂肪をお胸に移して、コンプレックス解消★
豊胸・バストの修正 / 豊胸インプラントバッグMESMO(メスモ) 他 No.363105
■シリコンバック豊胸■【バック豊胸症例数 全国女医症例数1位 2023年下期】経験豊富な女医・多田彩子(一般外科出身)による豊胸術!!シリコンバック豊胸術の綺麗な症例写真で人気◎ 脂肪注入豊胸、乳頭縮小術からバック豊胸まで出来る女医として選ばれています。
脂肪吸引 / 美ボディ脂肪吸引 No.354664
【美ボディ脂肪吸引】気になる顔周りの脂肪を取って憧れのフェイスラインを叶えます!【施術3ヶ月後】【美ボディ脂肪吸引×糸リフト】
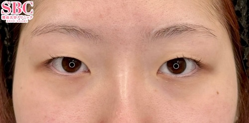
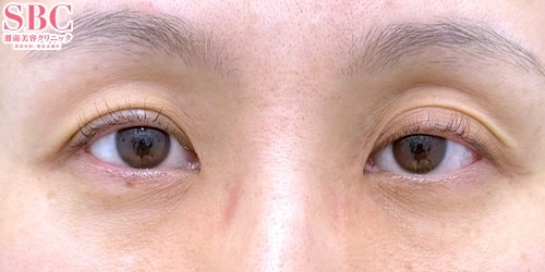
若返り / 裏ハムラ法 他 No.363137
【外科専門医の垢抜け裏ハムラ】目の下のクマのせいで、あなたの本来の美しさが隠れていませんか?お顔の印象を下げてしまうクマを、裏ハムラで無かったことに!
アートメイク / mocci眉アートメイク(2Dパウダー) No.363136
Mocci眉パウダー眉
アートメイク / 医療アートメイク 他 No.363134
mocci眉パウダー
鼻整形 / 鼻中隔延長術(耳介軟骨) 他 No.141535
外科医25年目の圧倒的な技術力の整鼻術!★★★【湘南美容外科にも在籍16年し、新宿本院医長・立川院院長などを歴任のベテランDrによる安心治療で、あらゆる鼻の悩みを一度に解決!】★★★【プロテーゼ・鼻尖形成・小鼻縮小・鼻中隔延長】
鼻整形 / 鼻尖形成/鼻尖形成3D法(だんご鼻解消術) 他 No.307125
【自然な仕上がりが得意】鼻尖形成3D法・小鼻縮小【湘南美容外科にも在籍16年し、25年目のベテラン中山Drによる安心治療】
鼻整形 / 鼻尖形成/鼻尖形成3D法(だんご鼻解消術) 他 No.323350
左右差のある小鼻を整える【自然な仕上がりが得意】鼻尖形成3D法・小鼻縮小【25年目のベテラン中山Dr 湘南美容外科にも在籍16年し、新宿本院医長・立川院院長などを歴任のベテランDrによる安心治療で、あらゆる鼻の悩みを一度に解決!】
AGA薄毛治療 / 自毛植毛 他 No.363116
ノンシェーブン植毛 800グラフト 30代男性 半年後
二重・二重整形 / 切らない眼瞼下垂 真崎式 No.363115
切らずに目の開き改善!切らない眼瞼下垂 真崎式で目元の若返り【Dr.ルークひのき】
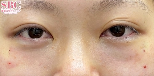
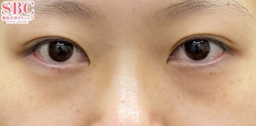
若返り / 裏ハムラ法 他 No.363104
【立川院】【クマ・たるみ改善】目の下のたるみ…膨らみと凹みを同時改善!
アートメイク / 医療アートメイク 他 No.363090
「汗で消えない眉毛が欲しい!」韓国発のmocci技法
脂肪吸引 / 根こそぎVASER脂肪吸引 No.363079
【脂肪吸引・二の腕】《極限まで脂肪を吸い取る!細く美しい脂肪吸引で魅せる抜群の美的センス》20代女性モニターさま Instagramからのドクター指名・脂肪吸引を受けられたお客様からの友人紹介を多数頂いております★こちらの女性は「ベイザー脂肪吸引二の腕全周+肩」の施術内容です…
鼻整形 / 鼻尖形成/鼻尖形成3D法(だんご鼻解消術) 他 No.363065
「横顔をキレイにしたい/小鼻を小さくしたい」(鼻尖部耳介軟骨移植+鼻尖形成3D法+小鼻(外側内側両方+締め付け縫合))






















































