美容整形の症例写真(美容整形)
症例写真一覧
表示件数:320722件 / 350757件
豊胸・バストの修正 / ハイブリッド豊胸 他 No.360139
LAST CALL神ドクター豊胸部門 DR.中村の美バスト症例 ≪アキーセル併用ハイブリッド豊胸(エルゴノミクス2 270cc使用)/術前→1ヶ月目≫
豊胸・バストの修正 / SBC幹細胞脂肪注入豊胸 他 No.360748
LAST CALL神ドクター豊胸部門 DR.中村の美バスト症例 ≪SBC幹細胞脂肪注入豊胸 アキーセル併用 コールマン式 /術前→1ヶ月目≫
AGA薄毛治療 / 毛根再生注射 No.363237
毛根再生注射 約10ヶ月後 40代男性
脂肪吸引 / 小顔用脂肪吸引注射 No.363236
糸リフトの魔術師Drとみやまたかひろ!糸リフト×脂肪吸引であなたのフェイスラインの美しさを約束します!!
美容歯科 / ダイヤモンドクラウン(ジルコニア) No.362602
【 かみ合わせまで整う セラミック治療 伊藤健】 ダイヤモンドクラウン 6本
美容歯科 / プレミアムダイヤモンドセラミック No.362763
歯科治療でフェイスラインが変わる
美容歯科 / ダイヤモンドクラウン(ジルコニア) No.362345
【 かみ合わせまで整う セラミック治療 伊藤健】 ダイヤモンドクラウン 6本
脂肪吸引 / 根こそぎVASER脂肪吸引 No.362972
★二の腕といえば佐々木|カリカリ二の腕脂肪吸引で見せたくなる腕へ★《二の腕全周+肩+肩甲骨横+副乳/3ヶ月後》
脂肪吸引 / 根こそぎVASER脂肪吸引 No.363234
★二の腕といえば佐々木|カリカリ二の腕脂肪吸引で見せたくなる腕へ★《二の腕全周+肩+肩甲骨横/6ヶ月後》
脂肪吸引 / 根こそぎVASER脂肪吸引 No.363233
★余分な脂肪を減らす|佐々木の脂肪吸引でスッキリした輪郭に★《頬+あご下/根こそぎVASER脂肪吸引/3ヶ月後》
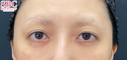
若返り / 目の下の切らないクマ・たるみ(ふくらみ)取り No.363225
◆◆美容外科専門医 名倉が叶える -5歳!! 目の下のたるみ取り+脂肪注入(目の下~ゴルゴ線)◆◆目の下のぷっくり、クマでお悩みの方必見!!◆1ヶ月後のお写真
若返り / プリマリフト No.363224
◆◆美容外科専門医 名倉が叶える小顔術!!糸リフト6年連続全国1位 (2019年~2024年)!※SBC内◆◆プリマリフト+脂肪吸引(頬+顎下)◆ 3ヶ月後のお写真
脂肪吸引 / Aquicell(アキーセル)脂肪吸引 他 No.363222
★顔の脂肪吸引 8年連続全国No.1 (2018~2025年)!※SBC内 脂肪吸引エキスパートドクターによる輪郭整形 ★脂肪吸引(頬+顎下)+ジョールファット★6ヶ月後のお写真
脂肪吸引 / 根こそぎVASER脂肪吸引 No.363215
【VASER脂肪吸引】二の腕の脂肪吸引 二の腕全周×肩 まるで生まれつきのような自然な華奢な上半身へ
二重・二重整形 / 週末二重(R) No.363212
メンズ二重はDrとみやまたかひろにお任せ!ナチュラルだけど、必ずかっこよく仕上げます!!
アートメイク / リップ 他 No.363210
リップアートメイク
アートメイク / 眉毛 他 No.363209
【眉】mocciパウダーアートメイク
アートメイク / 眉毛 他 No.363208
mocciパウダー
若返り / ナチュラル脂肪注射コンデンスリッチ 他 No.141256
『職場で「体調が悪い」って聞かれなくなりました(*^_^*)』★【この道25年の名人の若返り術】自然で違和感なく仕上がります!【湘南美容外科にも在籍16年し、新宿本院医長・立川院院長などを歴任のベテランDrによる安心治療で、あらゆる顔の悩みを一度に解決!】コンデンスリッチフェ…
若返り / ナチュラル脂肪注射コンデンスリッチ No.341242
『20歳若くみられた!』この症例をみて貴方もきっとしたくなる【湘南美容外科にも在籍15年しリッチフェイス治療 圧倒的症例数の元立川院院長・新宿本院医長歴任の25年目のベテランDrによる自然な若返り治療】【ゴルゴ線・ほうれい線・口角・ほほ】


















































