美容歯科の症例写真(美容歯科)
症例写真一覧
表示件数:37747件 / 346549件
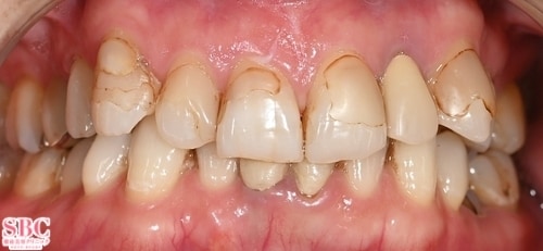
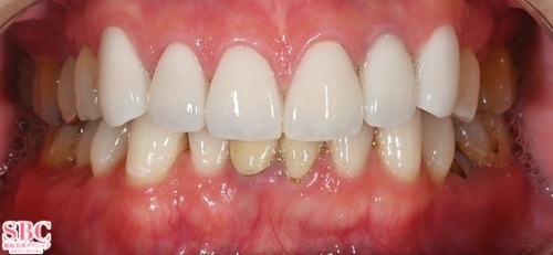
美容歯科 / プレミアムダイヤモンドセラミック No.358752
竹本先生があなたの笑顔をトータルデザイン!審美性と機能性を両立するセラミック矯正【プレミアムダイヤモンドセラミック】
美容歯科 / ダイヤモンドクラウン(ジルコニア) No.358731
【美容歯科】【美容歯科】■湘南歯科グループ技術指導医■見た目だけ綺麗にする治療は治療ではない!難症例のレスキュー医師☆柿野統史医師による【ダイヤモンドクラウン(ジルコニア)】
美容歯科 / マウスピース矯正 No.358659
【“似合う”歯並びをプロデュース】竹本先生があなたの笑顔をトータルデザイン!審美性と機能性を両立するマウスピース矯正【インビザラインGO(両顎)】
美容歯科 / ダイヤモンドクラウン(ジルコニア) No.358658
【ヒデキ感激セラミック】大人メンズの垢抜け術!/30代男性
美容歯科 / ダイヤモンドクラウン(ジルコニア) No.358622
【ヒデキ感激セラミック】放置してしまう率が高い!変色した被せ物!/40代女性
美容歯科 / ダイヤモンドクラウン(ジルコニア) No.358616
【美容歯科】■湘南歯科グループ技術指導医■見た目だけ綺麗にする治療は治療ではない!難症例のレスキュー医師☆柿野統史医師による【ダイヤモンドクラウン(ジルコニア)】
美容歯科 / マウスピース矯正 No.358615
【マウスピース矯正】インビザラインフルで歯のお悩みまとめて解決!
美容歯科 / マウスピース矯正 No.358601
上下の歯のガタツキ治したい!
美容歯科 / マウスピース矯正 No.358589
【歯科医師歴20年】ベテラン小岩先生にお任せ!最適解を診断致します!
美容歯科 / マウスピース矯正 No.358588
【歯科医師歴20年】ベテラン小岩先生にお任せ!最適解を診断致します!
美容歯科 / マウスピース矯正 No.358578
上下のガタツキやねじれが気になる!
美容歯科 / マウスピース矯正 No.358561
【満足度No.1クラス】 「もっと早くやればよかった!」の声多数!まゆゆ先生が手がける、結果重視のマウスピース矯正【クリアコレクトMINI】
美容歯科 / 歯肉整形 No.358560
歯をほどんど削らずにお悩みを改善!ダイヤモンドベニア
美容歯科 / ダイヤモンドクラウン(ジルコニア) No.358505
【ダイヤモンドクラウン(ジルコニア)】過去に入れた詰め物の黒ずみ・色味をセラミック矯正で改善し明るい口元へ!
美容歯科 / ダイヤモンドクラウン(ジルコニア) No.358502
【ダイヤモンドクラウン(ジルコニア)】歯並びを短期間で一気に明るい口元へ!
美容歯科 / ダイヤモンドクラウン(ジルコニア) No.358492
【ヒデキ感激セラミック】QOLを大きく高めるお口のトータルリノベーション/50代女性
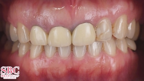
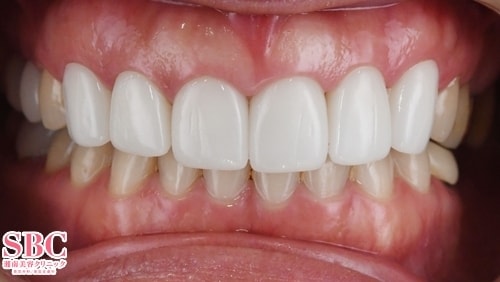
美容歯科 / プレミアムダイヤモンドセラミック No.358489
竹本先生があなたの笑顔をトータルデザイン!審美性と機能性を両立するセラミック矯正【プレミアムダイヤモンドセラミック】
美容歯科 / マウスピース矯正 No.358476
【満足度No.1クラス】 「もっと早くやればよかった!」の声多数!まゆゆ先生が手がける、結果重視のマウスピース矯正【インビザラインGO両顎】
美容歯科 / マウスピース矯正 No.358438
【インビザラインGO】歯の捻れを改善し横から見ても綺麗な歯並びに整えるマウスピース矯正!
美容歯科 / マウスピース矯正 No.358435
【インビザラインGO】捻れているところを部分矯正し綺麗なアーチ型に!


















































