美容整形の症例写真(美容整形) 新着
症例写真一覧
表示件数:318671件 / 348377件
二重・二重整形 / クイックコスメティーク・ダブルNeo No.360611
外科専門医による目元に合わせたバランスの良い上質な二重術
豊胸・バストの修正 / コンデンスリッチ(脂肪注入豊胸) 他 No.360610
【豊胸・バストの修正】【脂肪注入豊胸】脂肪注入豊胸症例数No.1獲得!(2025年度上半期SBC内北海道・東北)札幌院・院長梶山による【コンデンスリッチ豊胸】
豊胸・バストの修正 / 培養脂肪幹細胞豊胸(培養豊胸) 他 No.360609
DR.中村の美バスト症例 ≪脂肪幹細胞培養豊胸(培養豊胸)アキーセル併用/術前→3ヶ月目≫
二重・二重整形 / タルミ取り併用全切開法二重 他 No.360608
20代女性 タルミ取り併用全切開法二重/目尻切開/下眼瞼下制(結膜切開/タレ目/たれ目/グラマラスライン)
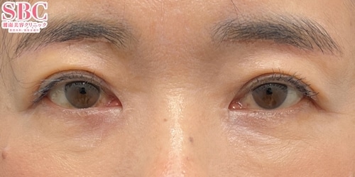
二重・二重整形 / タルミ取り併用全切開法二重 他 No.360607
20代女性 タルミ取り併用全切開法二重/目尻切開/下眼瞼下制(結膜切開/タレ目/たれ目/グラマラスライン)
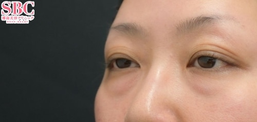
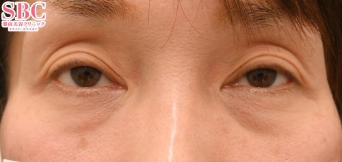
若返り / 切開ハムラ(表ハムラ)法 他 No.360606
【若返り】【30代症例】☆症例数第1位!(アイバックリムーブ/2025年上半期/東日本)☆【切開ハムラ】切る・切らない二つの視点からお客様にとって最適な治療を提案します!目の下のたるみ・クマをなくして-5歳に印象チェンジ!【施術後1か月経過】
脂肪吸引 / 美ボディ脂肪吸引 No.360605
40代女性 二の腕肩脂肪吸引
AGA薄毛治療 / 自毛植毛 他 No.360604
スマートFUE植毛 650グラフト 40代男性 12ヶ月後
脂肪吸引 / 根こそぎVASER脂肪吸引 他 No.360603
★最優秀症例8度受賞!150000件以上の圧倒的執刀数 美容外科医歴25年以上の超ベテラン・プレミアムDr.須田陽一が叶える、くびれ!★新宿本院主任医長・脂肪吸引エグゼクティブDr. VASER脂肪吸引認定医☆吸引量・デザインへのこだわり★腹部+ウエスト+腰★3ヶ月後
脂肪吸引 / Aquicell(アキーセル)脂肪吸引 他 No.360602
★最優秀症例8度受賞!150000件以上の圧倒的執刀数 美容外科医歴25年以上の超ベテラン・プレミアムDr.須田陽一が叶える、美脚!★新宿本院主任医長・脂肪吸引エグゼクティブDr. VASER脂肪吸引認定医☆吸引量・デザインへのこだわり★太もも・臀部・膝★1ヶ月後
二重・二重整形 / クイックコスメティーク・ダブルNeo No.360601
★☆Dr.東の韓流二重★☆【当院人気No.1QCW】★☆目頭切開中部1位[2024下半期SBC内症例数]/全切開法二重術中部3位[2024下半期SBC内症例数]/フォーエバー二重術全国1位[2022下半期SBC内症例数]☆★目周り症例実績多数!カウセ当日施術可能★韓国出身Dr…
脂肪吸引 / 根こそぎVASER脂肪吸引 No.360600
50代女性 太もも脂肪吸引
脂肪吸引 / 美ボディ脂肪吸引 No.360599
10代女性 ベイザー脂肪吸引 糸リフト併用なし
脂肪吸引 / 小顔用脂肪吸引注射 No.360598
20代女性 脂肪吸引注射 糸リフト
脂肪吸引 / 小顔用脂肪吸引注射 No.360597
30代女性 脂肪吸引注射頬あご下 VOVリフト10本
AGA薄毛治療 / AGA治療薬 他 No.360595
M字を自毛植毛で少し狭くする
二重・二重整形 / クイックコスメティーク・ダブルNeo No.360594
【目元症例2000件以上/症例実績多数】【10代/クイックコスメティークダブルNeo】あなたにあった自然な二重幅で作り上げる小泉佑太のナチュ映え二重
美容歯科 / ダイヤモンドクラウン(ジルコニア) No.360593
【ダイヤモンドクラウン】気になるところを部分的に改善!
美容歯科 / ダイヤモンドオーダーセラミック No.360592
【ダイヤモンドオーダーセラミック】全く印象を変えるセラミック矯正
美容歯科 / プレミアムダイヤモンドセラミック No.360591
【プレミアムダイヤモンドセラミック】自然な歯と差がないほどのクオリティー





















































