美容整形の症例写真(美容整形) 新着
症例写真一覧
表示件数:318671件 / 348377件
脂肪吸引 / 根こそぎVASER脂肪吸引 他 No.360653
★最優秀症例8度受賞!150000件以上の圧倒的執刀数 美容外科医歴25年以上の超ベテラン・プレミアムDr.須田陽一が叶える、くびれ!★新宿本院主任医長・脂肪吸引エグゼクティブDr. VASER脂肪吸引認定医☆吸引量・デザインへのこだわり★腹部+ウエスト+腰★3ヶ月後
アートメイク / 医療アートメイク 他 No.360652
【AGA横浜院】【MOCCIパウダー技法】
脂肪吸引 / Aquicell(アキーセル)脂肪吸引 他 No.360651
★最優秀症例8度受賞!150000件以上の圧倒的執刀数 美容外科医歴25年以上の超ベテラン・プレミアムDr.須田陽一が叶える、美脚!★新宿本院主任医長・脂肪吸引エグゼクティブDr. VASER脂肪吸引認定医☆吸引量・デザインへのこだわり★太もも・臀部・膝★1ヶ月後
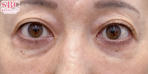
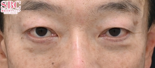
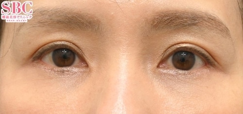
若返り / 裏ハムラ法 他 No.360650
【若返り】【裏ハムラ法・ナチュラル脂肪注射ナノリッチ30代女性】目の下の膨らんだ脂肪をずらすことで皮膚がなだらかに。ハの字の凹みがなだらかに改善しました!
脂肪吸引 / Aquicell(アキーセル)脂肪吸引 他 No.360649
【二の腕の脂肪吸引】【静岡院】Instagram指名多数!全国トップレベルの技術をお届け致します★静岡院院長/静岡エリア統括ドクター 飯田医師による二の腕脂肪吸引術
若返り / ナチュラル脂肪注射ナノリッチ 他 No.360648
【脂肪注入】静岡院院長/静岡エリア統括ドクター 飯田医師による目元の脂肪注入術で若々しく美しい印象に★施術前・術後3ヶ月
若返り / 目の下の切らないクマ・たるみ(ふくらみ)取り 他 No.360647
【眉下リフト(眉下切開)】【クマ取り】【脂肪注入】静岡院院長/静岡エリア統括ドクター 飯田医師による自然で美しい目元の若返り術★
二重・二重整形 / 眉下リフト(眉下切開) No.360646
【眉下リフト(眉下切開)】【クマ取り】【脂肪注入】静岡院院長/静岡エリア統括ドクター 飯田医師による自然で美しい目元の若返り術★
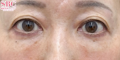
若返り / 裏ハムラ法 他 No.360645
【裏ハムラ法・ナチュラル脂肪注射ナノリッチ30代女性】目の下の膨らんだ脂肪をずらすことで皮膚がなだらかに。目元が若々しくなりました!
美容歯科 / プレミアムダイヤモンドセラミック 他 No.360644
整形シンデレラファイナリスト担当Drが貴方に贈る 「あなたの笑顔を最高の笑顔に。」〜The Perfect Smile〜 ジルコニアダイヤモンドセラミック
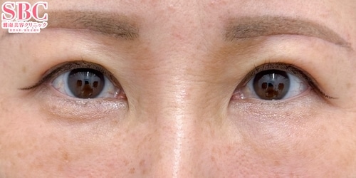
若返り / 裏ハムラ法 他 No.360643
【クマ取り】【ハムラ法】膨らんだ「眼窩脂肪」を凹みに移動してクマ解消!老け見え解消なら奥医師にお任せ!【施術1ヶ月後】【裏ハムラ法×ナノリッチ×眉下切開】
二重・二重整形 / クイックコスメティーク・ダブルNeo 他 No.360642
【二重埋没法】【静岡院】ドクターが選ぶBEST SHOT AWARD優秀賞受賞(2021年5月)★静岡院院長/静岡エリア統括ドクター 飯田医師による二重の食い込み&まばたきしても美しい自然な二重術★施術前→術後1週間→術後1ヶ月
美容歯科 / プレミアムダイヤモンドセラミック 他 No.360641
整形シンデレラファイナリスト担当Drが貴方に贈る 「あなたの笑顔を最高の笑顔に。」〜The Perfect Smile〜 ジルコニアダイヤモンドセラミック
二重・二重整形 / クイックコスメティーク・ダブルNeo 他 No.360640
【二重埋没法】【静岡院】ドクターが選ぶBEST SHOT AWARD優秀賞受賞(2021年5月)★静岡院院長/静岡エリア統括ドクター 飯田医師による二重の食い込み&まばたきしても美しい自然な二重術★施術前→術後1週間→術後1ヶ月
豊胸・バストの修正 / Motivaエルゴノミックス2(バッグ豊胸) No.360638
■シリコンバック豊胸■【バック豊胸症例数 全国女医症例数1位 2023年下期】経験豊富な女医・多田彩子(一般外科出身)による豊胸術!!シリコンバック豊胸術の綺麗な症例写真で人気◎ 脂肪注入豊胸、乳頭縮小術からバック豊胸まで出来る女医として選ばれています。
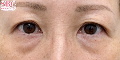
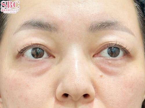
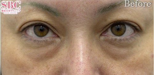
若返り / 目の下の切らないクマ・たるみ(ふくらみ)取り 他 No.360637
【若返りmuse】二子玉川院院長の青柳萌花による目の下の切らないクマたるみ取り★若々しい目元に!
若返り / ナチュラル脂肪注射コンデンスリッチ No.360636
◆◆美容外科専門医 名倉が叶える 美顔術!! へこみを無くして美しい輪郭へ!! ◆脂肪注入(額)1ヶ月後のお写真
脂肪吸引 / Aquicell(アキーセル)脂肪吸引 他 No.360635
★脂肪吸引症例数4年連続全国No1(2021-2024年)!※SBC内 No.1ドクター 名倉俊輔が叶える、ほっそりした太もも!★秋葉原院院長・他院長歴任 脂肪吸引・ボディーメイク専門 名倉俊輔 VASER脂肪吸引認定医 ☆吸引量・デザインへのこだわり☆ 脂肪吸引の真骨頂!!…
脂肪吸引 / Aquicell(アキーセル)脂肪吸引 他 No.360634
★脂肪吸引症例数4年連続全国No1(2021-2024年)※SBC内!No.1ドクター 名倉俊輔が叶える、ほっそりとした二の腕!★秋葉原院院長・他院長歴任 脂肪吸引・ボディーメイク専門 名倉俊輔 VASER脂肪吸引認定医 ☆吸引量・デザインへのこだわり☆ 脂肪吸引の真骨頂!!…
若返り / 眉下リフト(眉下切開) No.360633
◆◆目元切開厳選医師の名倉が叶える -5歳!! 眉下リフト◆◆瞼のたるみでお悩みの方必見!!3ヶ月後のお写真


















































