若返りの症例写真(若返り) 新着
ドクターが選ぶ BEST SHOT AWARD
症例写真一覧
表示件数:52945件 / 348466件
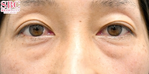
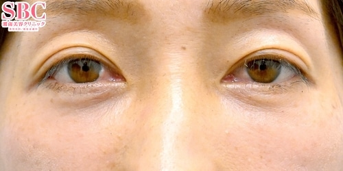
若返り / 裏ハムラ法 No.359532
【術後3ヵ月】-裏ハムラ- 外科専門医×芸術センスで目元を美しく若返り!
若返り / 裏ハムラ法 No.359531
【クマ取り】【ハムラ法】膨らんだ「眼窩脂肪」を凹みに移動してクマ解消!老け見え解消なら奥医師にお任せ!【施術1ヶ月後】【裏ハムラ法】
若返り / ナチュラル脂肪注射コンデンスリッチ No.359530
◆◆美容外科専門医 名倉が叶える 美顔術!! へこみを無くして美しい輪郭へ!! ◆脂肪注入(額)3ヶ月後のお写真
若返り / 眉下リフト(眉下切開) No.359527
◆◆目元切開厳選医師の名倉が叶える -5歳!! 眉下リフト◆◆瞼のたるみでお悩みの方必見!!3ヶ月後のお写真
若返り / ナチュラル脂肪注射コンデンスリッチ 他 No.359526
◆◆美容外科専門医 名倉が叶える -5歳!! 目の下のたるみ取り+脂肪注入(目の下~ゴルゴ線)◆◆目の下のぷっくり、クマでお悩みの方必見!!◆3ヶ月後のお写真
若返り / プリマリフト No.359525
◆◆美容外科専門医 名倉が叶える小顔術!!糸リフト6年連続全国1位 (2019年~2024年)!※SBC内◆◆プリマリフト+脂肪吸引(頬+顎下)◆ 1ヶ月後のお写真
若返り / 目の下の切らないクマ・たるみ(ふくらみ)取り 他 No.359509
【クマ取り 症例件数No.2の実績】元大学病院外科医による自然な目元の若返り☆ ※2025上期 SBC内中四国
若返り / ナチュラル脂肪注射コンデンスリッチ No.359499
◆◆美容外科専門医 名倉が叶える 美顔術!! へこみを無くして美しい輪郭へ!! ◆脂肪注入(頬)1ヶ月後のお写真
若返り / 裏ハムラ法 他 No.359498
目の下のクマを取ることで疲れた印象は老けこんだ印象が一気に解消されます!目元のお悩みの方はぜひ一度カウンセリングにお越しください。
若返り / 裏ハムラ法 他 No.359496
目の下の切らないクマ治療、裏ハムラ法で圧倒的若返り体験を!
若返り / 眉下リフト(眉下切開) No.359493
◆◆目元切開厳選医師の名倉が叶える -5歳!! 眉下リフト◆◆瞼のたるみでお悩みの方必見!!1ヶ月後のお写真
若返り / ナチュラル脂肪注射コンデンスリッチ 他 No.359492
◆◆美容外科専門医 名倉が叶える -5歳!! 目の下のたるみ取り+脂肪注入(目の下~ゴルゴ線)◆◆目の下のぷっくり、クマでお悩みの方必見!!◆1週間後のお写真
若返り / プリマリフト No.359491
◆◆美容外科専門医 名倉が叶える小顔術!!糸リフト6年連続全国1位 (2019年~2024年)!※SBC内◆◆プリマリフト+脂肪吸引(頬+顎下)◆6ヶ月後のお写真
若返り / 目の下の切らないクマ・たるみ(ふくらみ)取り 他 No.359488
【若返りmuse】二子玉川院院長の青柳萌花による目の下の切らないクマたるみ取り★若々しい目元に!
若返り / 切開ハムラ(表ハムラ)法 No.359487
【若返り】【50代症例】☆症例数第1位!(アイバックリムーブ/2025年上半期/東日本)☆【切開ハムラ】切る・切らない二つの視点からお客様にとって最適な治療を提案します!目の下のたるみ・クマをなくして-5歳に印象チェンジ!【施術後1か月経過】
若返り / ナチュラル脂肪注射コンデンスリッチ No.359486
【術後1ヵ月】外科専門医×芸術センスで綺麗なまんまるおでこに
若返り / 目の下の切らないクマ・たるみ(ふくらみ)取り 他 No.359485
【術後1ヵ月】外科専門医×芸術センスで目元を美しく若返り!
若返り / テスリフト 他 No.359470
【糸リフトSBC公式おすすめDr/テスリフトSBC内症例数中部No1※】【40代/糸リフト】切らない小顔のプロフェッショナル小泉による劇的Before&after ※2025年上半期
若返り / 切開ハムラ(表ハムラ)法 No.359466
【クマ取り】クマ取りを毎日のように執刀しているベテラン医師が切開ハムラ法単体でも若々しい目元に仕上げます!切開ハムラ法 SBC内症例数 全国No.1獲得! ※2024年下半期
若返り / 裏ハムラ法 他 No.359465
【クマ取り】膨らみの原因になっている脂肪を、切除せずに凹んでいる部分に再配置。クマ取りを毎日のように執刀しているベテラン医師にお任せください!
































































