美容整形の症例写真(美容整形) 新着
症例写真一覧
表示件数:318704件 / 348409件
豊胸・バストの修正 / コンデンスリッチ(脂肪注入豊胸) No.360482
■2次脂肪注入豊胸■ 脂肪豊胸症例数 東日本エリア3年連続女医1位 ※2022-24年!安心の女医・多田彩子(一般外科出身)による脂肪注入豊胸都心で経験豊富!要らない脂肪をお胸に移して、コンプレックス解消★
若返り / ナチュラル脂肪注射コンデンスリッチ No.360481
◆◆美容外科専門医 名倉が叶える 美顔術!! へこみを無くして美しい輪郭へ!! ◆脂肪注入(顎)1ヶ月後のお写真
脂肪吸引 / Aquicell(アキーセル)脂肪吸引 他 No.360480
★脂肪吸引症例数4年連続全国No1(2021-2024年)!※SBC内 No.1ドクター 名倉俊輔が叶える、ほっそりした太もも!★秋葉原院院長・他院長歴任 脂肪吸引・ボディーメイク専門 名倉俊輔 VASER脂肪吸引認定医 ☆吸引量・デザインへのこだわり☆ 脂肪吸引の真骨頂!!…
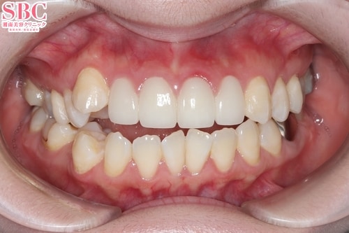
美容歯科 / プレミアムダイヤモンドセラミック 他 No.360479
整形シンデレラファイナリスト担当Drが貴方に贈る 「あなたの笑顔を最高の笑顔に。」〜The Perfect Smile〜 ジルコニアダイヤモンドセラミック
脂肪吸引 / Aquicell(アキーセル)脂肪吸引 他 No.360478
★脂肪吸引症例数4年連続全国No1(2021-2024年)※SBC内!No.1ドクター 名倉俊輔が叶える、ほっそりとした二の腕!★秋葉原院院長・他院長歴任 脂肪吸引・ボディーメイク専門 名倉俊輔 VASER脂肪吸引認定医 ☆吸引量・デザインへのこだわり☆ 脂肪吸引の真骨頂!!…
若返り / 眉下リフト(眉下切開) No.360477
◆◆目元切開厳選医師の名倉が叶える -5歳!! 眉下リフト◆◆瞼のたるみでお悩みの方必見!!1ヶ月後のお写真
美容歯科 / プレミアムダイヤモンドセラミック 他 No.360476
整形シンデレラファイナリスト担当Drが貴方に贈る 「あなたの笑顔を最高の笑顔に。」〜The Perfect Smile〜 ジルコニアダイヤモンドセラミック
若返り / ナチュラル脂肪注射コンデンスリッチ 他 No.360475
◆◆美容外科専門医 名倉が叶える -5歳!! 目の下のたるみ取り+脂肪注入(目の下~ゴルゴ線)◆◆目の下のぷっくり、クマでお悩みの方必見!!◆3ヶ月後のお写真
脂肪吸引 / 根こそぎVASER脂肪吸引 他 No.360474
★最優秀症例8度受賞!150000件以上の圧倒的執刀数 美容外科医歴25年以上の超ベテラン・プレミアムDr.須田陽一が叶える、くびれ!★新宿本院主任医長・脂肪吸引エグゼクティブDr. VASER脂肪吸引認定医☆吸引量・デザインへのこだわり★腹部+ウエスト+腰★1ヶ月後
脂肪吸引 / Aquicell(アキーセル)脂肪吸引 他 No.360473
★最優秀症例8度受賞!150000件以上の圧倒的執刀数 美容外科医歴25年以上の超ベテラン・プレミアムDr.須田陽一が叶える、美脚!★新宿本院主任医長・脂肪吸引エグゼクティブDr. VASER脂肪吸引認定医☆吸引量・デザインへのこだわり★太もも・臀部・膝★1ヶ月後
若返り / プリマリフト No.360472
◆◆美容外科専門医 名倉が叶える小顔術!!糸リフト6年連続全国1位 (2019年~2024年)!※SBC内◆◆プリマリフト+脂肪吸引(頬+顎下)◆ 2年11ヶ月後のお写真
脂肪吸引 / Aquicell(アキーセル)脂肪吸引 他 No.360471
★顔の脂肪吸引 7年連続全国No.1 (2018~2024年)!※SBC内 脂肪吸引エキスパートドクターによる輪郭整形 ★脂肪吸引(頬+顎下)+ジョールファット★3ヶ月後のお写真★顔の脂肪吸引 7年連続全国No.1 (2018~2024年)!※SBC内 脂肪吸引エキスパートド…
AGA薄毛治療 / AGA治療薬 他 No.360469
30代男性 毛根再生注射1回+AGA治療薬 3か月後 (その2)
AGA薄毛治療 / AGA治療薬 他 No.360468
30代男性 毛根再生注射1回+AGA治療薬 3か月後 (その1)
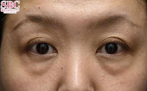
若返り / 目の下の切らないクマ・たるみ(ふくらみ)取り 他 No.360467
【若返り】【30代症例】☆症例数第1位!(アイバックリムーブ/2025年上半期/東日本)☆ 【目の下の切らないたるみ取り+ナノリッチ+コンデンスリッチフェイス】切る・切らない二つの視点からお客様にとって最適な治療を提案します!目の下のたるみ・クマをなくして-5歳に印象チェンジ…
豊胸・バストの修正 / SBC幹細胞脂肪注入豊胸 他 No.360466
DR.中村の美バスト症例 ≪SBC幹細胞脂肪注入豊胸 アキーセル併用 コールマン式 /術前→3ヶ月目≫
豊胸・バストの修正 / Aquicell(アキーセル)併用コンデンスリッチ(脂肪注入豊胸) No.360465
【 脂肪注入豊胸・症例数 4年連続 SBC内全国女医 No.1(2019~2022) ベテランDr.兼井 ようこ医師執刀】アキーセル併用コンデンスリッチ脂肪注入豊胸で、ぷるふわでバレない◎自然な美乳に
豊胸・バストの修正 / Aquicell(アキーセル)併用コンデンスリッチ(脂肪注入豊胸) No.360464
【 脂肪注入豊胸・症例数 4年連続 SBC内全国女医 No.1(2019~2022) ベテランDr.兼井 ようこ医師執刀】アキーセル併用コンデンスリッチ脂肪注入豊胸で、ぷるふわでバレない◎自然な美乳に
豊胸・バストの修正 / Aquicell(アキーセル)併用コンデンスリッチ(脂肪注入豊胸) No.360463
【 脂肪注入豊胸・症例数 4年連続 SBC内全国女医 No.1(2019~2022) ベテランDr.兼井 ようこ医師執刀】アキーセル併用コンデンスリッチ脂肪注入豊胸で、ぷるふわでバレない◎自然な美乳に
AGA薄毛治療 / 自毛植毛 他 No.360462
内服歴あり M字とこめかみに1400Gの植毛�B


















































