美容整形の症例写真(美容整形) 新着
症例写真一覧
表示件数:318709件 / 348415件
豊胸・バストの修正 / Aquicell(アキーセル)併用コンデンスリッチ(脂肪注入豊胸) No.360465
【 脂肪注入豊胸・症例数 4年連続 SBC内全国女医 No.1(2019~2022) ベテランDr.兼井 ようこ医師執刀】アキーセル併用コンデンスリッチ脂肪注入豊胸で、ぷるふわでバレない◎自然な美乳に
豊胸・バストの修正 / Aquicell(アキーセル)併用コンデンスリッチ(脂肪注入豊胸) No.360464
【 脂肪注入豊胸・症例数 4年連続 SBC内全国女医 No.1(2019~2022) ベテランDr.兼井 ようこ医師執刀】アキーセル併用コンデンスリッチ脂肪注入豊胸で、ぷるふわでバレない◎自然な美乳に
豊胸・バストの修正 / Aquicell(アキーセル)併用コンデンスリッチ(脂肪注入豊胸) No.360463
【 脂肪注入豊胸・症例数 4年連続 SBC内全国女医 No.1(2019~2022) ベテランDr.兼井 ようこ医師執刀】アキーセル併用コンデンスリッチ脂肪注入豊胸で、ぷるふわでバレない◎自然な美乳に
AGA薄毛治療 / 自毛植毛 他 No.360462
内服歴あり M字とこめかみに1400Gの植毛�B
AGA薄毛治療 / 自毛植毛 他 No.360461
内服歴あり M字とこめかみに1400Gの植毛�B
AGA薄毛治療 / 自毛植毛 他 No.360459
内服歴あり M字とこめかみに1400Gの植毛�@
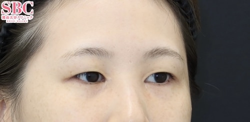
二重・二重整形 / クイックコスメティーク・ダブルNeo 他 No.360457
【二重・二重整形】★2025上期 自然癒着セット症例数 九州沖縄エリアNo.1★ご希望に合わせた二重ラインへ!【施術1ヶ月後】【クイックコスメティーク法×自然癒着セット】
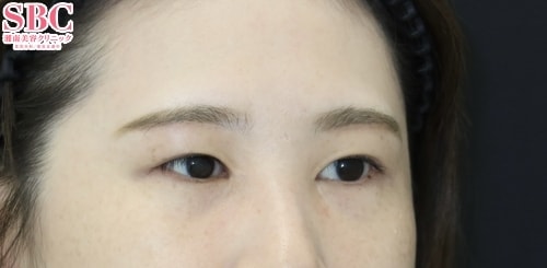
二重・二重整形 / クイックコスメティーク・ダブルNeo No.360456
【ナチュラル二重】整形感ゼロ!ナチュラル二重ならDr.中溝。二重のり卒業を応援します!
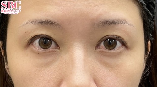
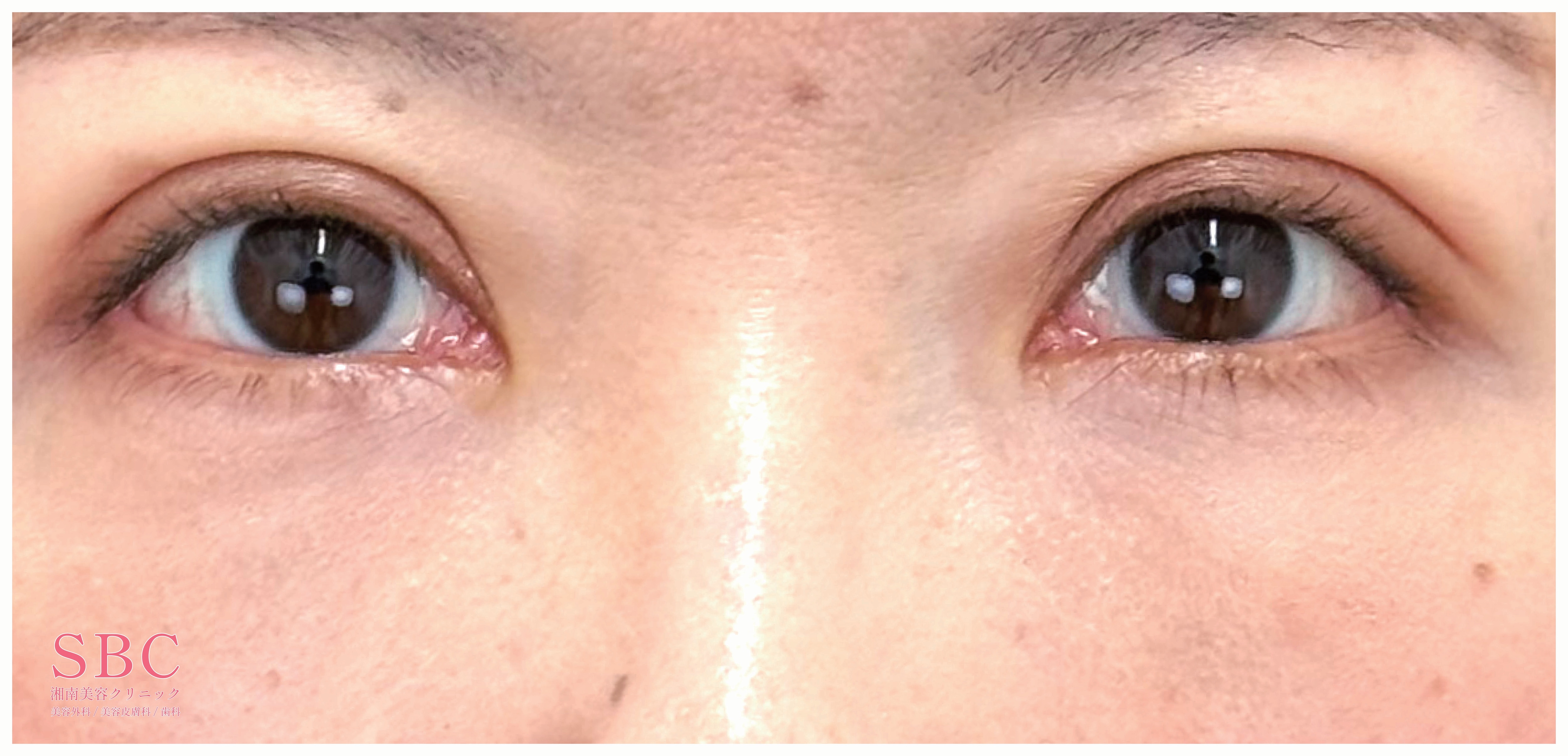
若返り / 裏ハムラ法 他 No.360455
【裏ハムラ】クマ取り+ナノリッチでシワ改善。目元年齢を下げる治療
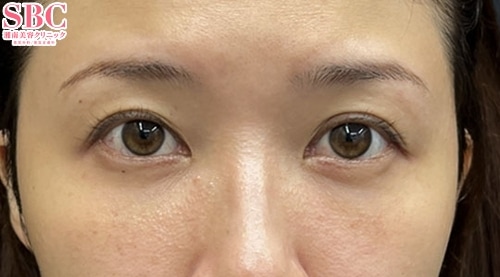
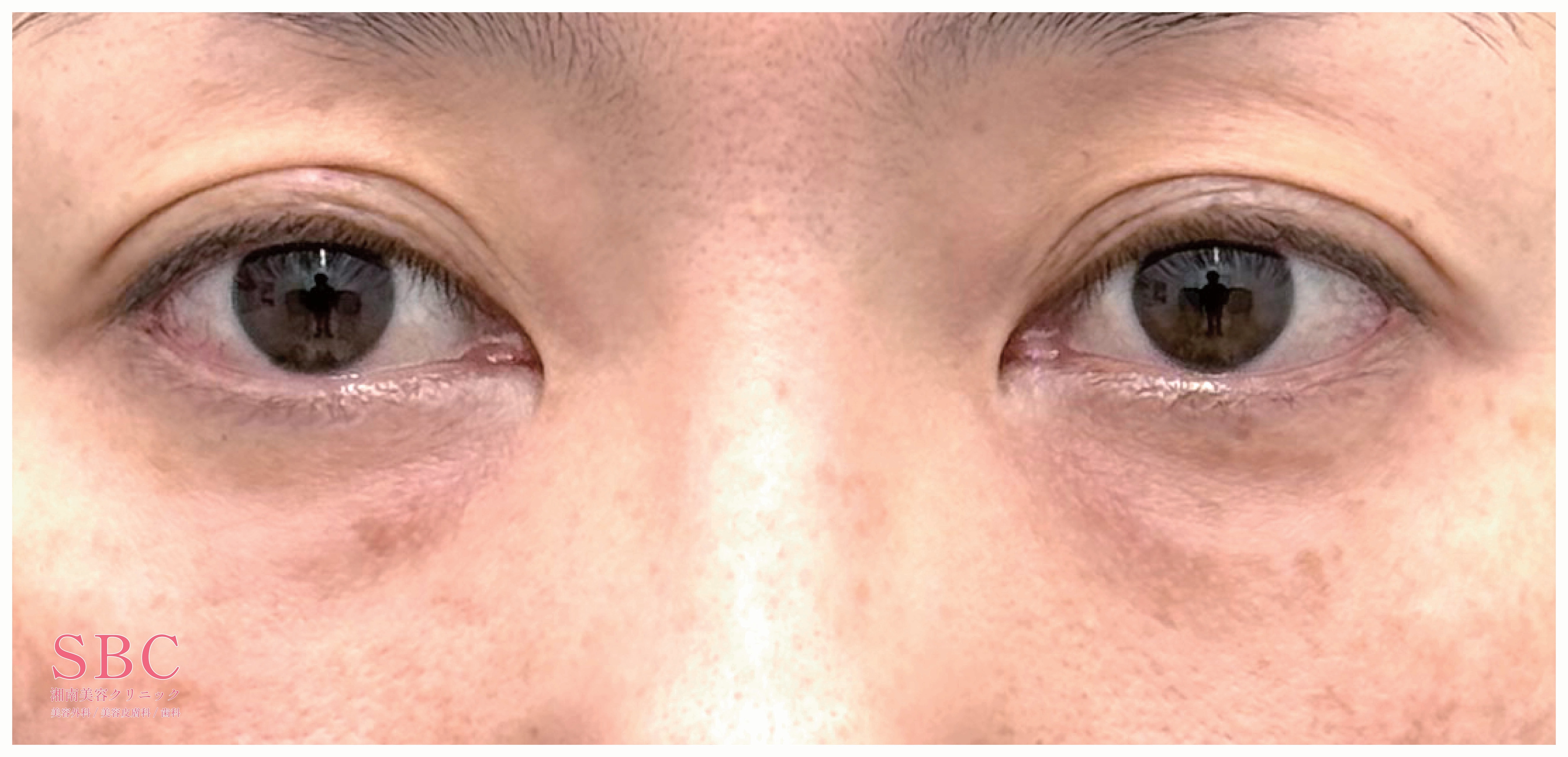
若返り / 裏ハムラ法 No.360454
【裏ハムラ】目の下の脂肪を移動させてクマを改善!八王子院の櫻井医師へお任せください!
美容歯科 / マウスピース矯正 No.360453
【インビザライン GO】内側に入ってしまった歯の改善
脂肪吸引 / Aquicell(アキーセル)脂肪吸引 他 No.360452
★最優秀症例8度受賞!150000件以上の圧倒的執刀数 美容外科医歴25年以上の超ベテラン・プレミアムDr.須田陽一が叶える、くびれ!★新宿本院主任医長・脂肪吸引エグゼクティブDr. VASER脂肪吸引認定医☆吸引量・デザインへのこだわり★腹部+ウエスト+腰★1ヶ月後
脂肪吸引 / Aquicell(アキーセル)脂肪吸引 他 No.360451
★最優秀症例8度受賞!150000件以上の圧倒的執刀数 美容外科医歴25年以上の超ベテラン・プレミアムDr.須田陽一が叶える、美脚!★新宿本院主任医長・脂肪吸引エグゼクティブDr. VASER脂肪吸引認定医☆吸引量・デザインへのこだわり★太もも・臀部・膝★1ヶ月後
美容歯科 / マウスピース矯正 No.360450
【インビザライン GO】前歯の突出感と隙間の改善
アートメイク / 医療アートメイク 他 No.360449
【AGA横浜院】リップアートメイク
美容歯科 / マウスピース矯正 No.360448
【インビザライン GO】前歯の隙間を改善!!
美容歯科 / プレミアムダイヤモンドセラミック 他 No.360446
整形シンデレラファイナリスト担当Drが貴方に贈る 「あなたの笑顔を最高の笑顔に。」〜The Perfect Smile〜 ジルコニアダイヤモンドセラミック
豊胸・バストの修正 / 豊胸インプラントバッグMESMO(メスモ) No.360445
■シリコンバック豊胸■【バック豊胸症例数 全国女医症例数1位 2023年下期】経験豊富な女医・多田彩子(一般外科出身)による豊胸術!!シリコンバック豊胸術の綺麗な症例写真で人気◎ 脂肪注入豊胸、乳頭縮小術からバック豊胸まで出来る女医として選ばれています。
美容歯科 / プレミアムダイヤモンドセラミック 他 No.360444
整形シンデレラファイナリスト担当Drが貴方に贈る 「あなたの笑顔を最高の笑顔に。」〜The Perfect Smile〜 ジルコニアダイヤモンドセラミック
若返り / ナチュラル脂肪注射コンデンスリッチ No.360443
◆◆美容外科専門医 名倉が叶える 美顔術!! へこみを無くして美しい輪郭へ!! ◆脂肪注入(額)1ヶ月後のお写真




















































