美容整形の症例写真(美容整形) 新着
症例写真一覧
表示件数:316987件 / 346631件
豊胸・バストの修正 / コンデンスリッチ(脂肪注入豊胸) 他 No.358289
DR.中村の美バスト症例 ≪コンデンスリッチ豊胸 ベイザー併用 /術前→3ヶ月目≫
脂肪吸引 / 根こそぎVASER脂肪吸引 他 No.358288
体重40kgちょっとの患者様の太ももをもうひと絞り!術後1ヶ月目
二重・二重整形 / クイックコスメティーク・ダブルNeo 他 No.358287
【二重・二重整形】★2025上期 自然癒着セット症例数 九州沖縄エリアNo.1★まつ毛の生え際が見えるパッチリ二重に!【施術1ヶ月後】【クイックコスメティーク法×SBCデカ目】
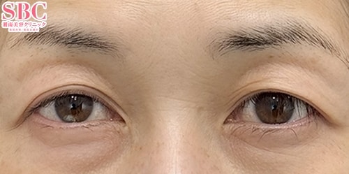
若返り / 眉下リフト+roof No.358286
【40代:眉下切開+ROOF切除】社員指名殺到中!瞼のたるみは眉下切開で解決!【たるみ特化型Dr】瞼のたるみ&脂肪を同時改善、たるみソムリエ東の切開術。若返り治療は圧倒的技術力の東医師にお任せ!
豊胸・バストの修正 / 豊胸インプラントバッグMESMO(メスモ) No.358285
■シリコンバック豊胸■【バック豊胸症例数 全国女医症例数1位 2023年下期】経験豊富な女医・多田彩子(一般外科出身)による豊胸術!!シリコンバック豊胸術の綺麗な症例写真で人気◎ 脂肪注入豊胸、乳頭縮小術からバック豊胸まで出来る女医として選ばれています。【MESMO(メスモ)…
AGA薄毛治療 / 毛根再生注射 他 No.358284
30代男性、毛根再生注射1回(2倍量)、タブレットセット、Fスプレー、3ヶ月後
美容皮膚科 / デューコラーゲン(Deusaderm) 他 No.358283
【デューサダーム】コラーゲン製剤注入によるナチュラルなリフトアップを実現
美容皮膚科 / デューコラーゲン(Deusaderm) 他 No.358282
【デューサダーム】コラーゲン製剤注入によるナチュラルなリフトアップを実現
美容皮膚科 / デューコラーゲン(Deusaderm) 他 No.358281
【デューサダーム】コラーゲン製剤注入によるナチュラルなリフトアップを実現
豊胸・バストの修正 / コンデンスリッチ(脂肪注入豊胸) 他 No.358280
DR.中村の美バスト症例 ≪コンデンスリッチ豊胸 ベイザー併用 /術前→3ヶ月目≫
若返り / アイバックリムーブ法 他 No.358279
【若返り】【50代症例】☆症例数第1位!(アイバックリムーブ/2025年上半期/東日本)☆ 【アイバックリムーブ+ナノリッチ+コンデンスリッチフェイス】切る・切らない二つの視点からお客様にとって最適な治療を提案します!目の下のたるみ・クマをなくして-5歳に印象チェンジ!【施術…
若返り / SBCプレミアムPRP皮膚再生療法 No.358278
【Dr.森川の『プレミアムPRP皮膚再生療法』 額、眉間】【横浜東口院】【美容皮膚科】
若返り / SBCプレミアムPRP皮膚再生療法 No.358277
【Dr.森川の『プレミアムPRP皮膚再生療法』 ゴルゴライン】【横浜東口院】【美容皮膚科】
若返り / 眉下リフト(眉下切開) No.358276
【眉下リフト】眉下リフトで目元の印象を明るく★瞼の厚みが気になる方は、サラ先生にお任せ★
若返り / 裏ハムラ法 No.358275
【クマ取り】【40代】【クマとたるみを根本改善】裏ハムラ法
若返り / 切開ハムラ(表ハムラ)法 No.358274
【クマ取り】【30代】【クマとたるみを根本改善】切開ハムラ法【切開ハムラ症例数No.2 SBC内関東2025年上半期】
二重・二重整形 / クイックコスメティーク・ダブルNeo No.358273
二重整形するなら、Dr.SHOにお任せください!SBC最高峰のクイックコスメティークダブルNeoでお顔に似合う二重にしてみせます!
AGA薄毛治療 / 毛根再生注射 No.358272
50代男性 術後3か月
若返り / 目の下の切らないクマ・たるみ(ふくらみ)取り 他 No.358271
【40代/女性/クマ取り】SBC公式切らない若返りの神業医師 小泉佑太による違和感ゼロのクマ取り
アートメイク / 医療アートメイク 他 No.358270
【AGA新宿本院】りっぷアートメイク























































