美容整形の症例写真(美容整形) 新着
症例写真一覧
表示件数:321736件 / 351781件
若返り / 眉下リフト(眉下切開) No.363766
◆◆目元切開厳選医師の名倉が叶える -5歳!! 眉下リフト◆◆瞼のたるみでお悩みの方必見!!3ヶ月後のお写真
若返り / 目の下の切らないクマ・たるみ(ふくらみ)取り No.363765
◆◆美容外科専門医 名倉が叶える -5歳!! 目の下のたるみ取り+脂肪注入(目の下~ゴルゴ線)◆◆目の下のぷっくり、クマでお悩みの方必見!!◆4ヶ月後のお写真
AGA薄毛治療 / 毛根再生注射 他 No.363764
毛根再生注射1回、臍帯幹細胞上清液メソ1回、ジェットメソ(2剤)3回、HRタブレットセット、HRアクアDスプレー、40代男性、3ヶ月後
若返り / プリマリフト No.363763
◆◆美容外科専門医 名倉が叶える小顔術!!糸リフト6年連続全国1位 (2019年~2024年)!※SBC内◆◆プリマリフト+脂肪吸引(頬+顎下)◆ 1ヶ月後のお写真
脂肪吸引 / Aquicell(アキーセル)脂肪吸引 他 No.363762
★顔の脂肪吸引 8年連続全国No.1 (2018~2025年)!※SBC内 脂肪吸引エキスパートドクターによる輪郭整形 ★脂肪吸引(頬+顎下)+ジョールファット★1ヶ月後のお写真
豊胸・バストの修正 / Aquicell(アキーセル)併用コンデンスリッチ(脂肪注入豊胸) 他 No.363761
■脂肪注入豊胸■【 脂肪豊胸症例数 東日本エリア3年連続女医1位 ※2022-24年】安心の女医・多田彩子(一般外科出身)による脂肪注入豊胸都心で経験豊富!要らない脂肪をお胸に移して、コンプレックス解消★
美容歯科 / マウスピース矯正 他 No.363760
【部分矯正】 八重歯卒業 × 白さ で叶える理想の口元 クリアコレクトMini
豊胸・バストの修正 / SBC幹細胞脂肪注入豊胸 他 No.363759
LAST CALL神ドクター豊胸部門 DR.中村の美バスト症例 ≪SBC幹細胞脂肪注入豊胸 /術前→1ヶ月目≫
若返り / 目の下の切らないクマ・たるみ(ふくらみ)取り 他 No.363758
【クマ取り+脂肪注入】目元の若返りなら田中医師にお任せください!
若返り / 目の下の切らないクマ・たるみ(ふくらみ)取り 他 No.363757
【クマ取り+脂肪注入】目元の若返りなら田中医師にお任せください!
脂肪吸引 / Aquicell(アキーセル)脂肪吸引 他 No.363756
【23歳】SNSから指名多数!マサ先生の脂肪吸引で華奢腕へ【ベイザー脂肪吸引(二の腕全周・肩・肩甲骨横・副乳)+エンブレイスRF(二の腕・背中)】
豊胸・バストの修正 / SBC幹細胞脂肪注入豊胸 他 No.363755
LAST CALL神ドクター豊胸部門 DR.中村の美バスト症例 ≪SBC幹細胞脂肪注入豊胸 /術前→1ヶ月目≫
若返り / 裏ハムラ法 他 No.363754
【クマ取り】【ハムラ法】膨らんだ「眼窩脂肪」を凹みに移動してクマ解消!老け見え解消なら奥医師にお任せ!【施術3ヶ月後】【裏ハムラ法×ナチュラル脂肪注射ナノリッチ/コンデンスリッチ】
脂肪吸引 / 根こそぎVASER脂肪吸引 No.363753
【自信が持てる横顔に♪】かおり先生の脂肪吸引+糸リフト
二重・二重整形 / クイックコスメティーク・ダブルNeo No.363752
【10代症例】医師歴30年!Dr.大野執刀 【クイックコスメティークダブルNeo】糸の結び目が表に出ず傷が出来ない!当日からのメイクも可能! 腫れづらくバレづらい二重術!【施術後1カ月経過】
若返り / 裏ハムラ法 他 No.363751
【クマ取り】≪全てのクマ治療に対応≫上岡利一先生のクマ取り症例
若返り / 裏ハムラ法 他 No.363750
【若返り】【20代症例】☆症例数第1位!(アイバックリムーブ/2025年上半期/東日本)☆【裏ハムラ】切る・切らない二つの視点からお客様にとって最適な治療を提案します!目の下のたるみ・クマをなくして-5歳に印象チェンジ!【施術後1ヶ月経過】
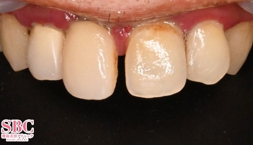
美容歯科 / プレミアムダイヤモンドセラミック No.363749
【歯科統括院長 前田純】上6本プレミアムダイヤモンドセラミック
二重・二重整形 / フォーエバー二重術(R) No.363748
【フォーエバー二重術】【左右差改善】
豊胸・バストの修正 / SBC幹細胞脂肪注入豊胸 他 No.363747
LAST CALL神ドクター豊胸部門 DR.中村の美バスト症例 ≪SBC幹細胞脂肪注入豊胸 /術前→1ヶ月目≫






















































