美容整形の症例写真(美容整形) 新着
症例写真一覧
表示件数:320182件 / 350183件
AGA薄毛治療 / 自毛植毛 No.361738
50代男性 前頭部M字 900G自毛植毛6ケ月後
二重・二重整形 / フォーエバー二重術(R) No.361737
10代女性【フォーエバー二重術】
二重・二重整形 / クイックコスメティーク・ダブルNeo No.361736
【二重・二重整形】【ナチュラル二重】ナチュラルデザイナーDr.中溝によるクイックコスメティーク・ダブルは整形感ゼロで大人気!
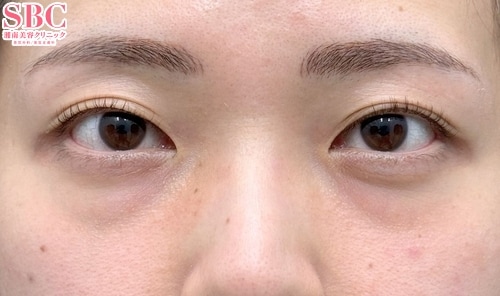
若返り / 裏ハムラ法 No.361735
【裏ハムラ法】目元治療のスペシャリストによるオーダーメイドのクマ取りで自然な若返り!アンチエイジングもDr.中溝におまかせ!
美容歯科 / マウスピース矯正 No.361734
【マウスピース矯正】内側に下げながら噛み合わせも一緒に改善!
AGA薄毛治療 / 自毛植毛 No.361733
50代男性 前頭部M字 900G自毛植毛6ケ月後
豊胸・バストの修正 / Aquicell(アキーセル)併用コンデンスリッチ(脂肪注入豊胸) No.361732
■脂肪注入豊胸■脂肪豊胸症例数 東日本エリア3年連続女医1位 ※2022-24年 安心の女医・多田彩子(一般外科出身)による脂肪注入豊胸都心で経験豊富!要らない脂肪をお胸に移して、コンプレックス解消★
アートメイク / 医療アートメイク 他 No.361731
【AGA横浜院】【MOCCIパウダー技法】
若返り / 裏ハムラ法 No.361730
【クマ取り】【ハムラ法】膨らんだ「眼窩脂肪」を凹みに移動してクマ解消!老け見え解消なら奥医師にお任せ!【施術1ヶ月後】【裏ハムラ法】
脂肪吸引 / 美ボディ脂肪吸引 No.361729
【27歳】可能な限り多く脂肪を取り除きたい方。脂肪吸引なら解決。
若返り / 目の下の切らないクマ・たるみ(ふくらみ)取り 他 No.361728
【若返り】【目の下の切らないクマ取り】クマ取りで圧倒的な若返りを!丁寧な術中操作でダウンタイムを最小限に抑えます!
若返り / 裏ハムラ法 No.361727
【30代:クマ取り】中部2位の裏ハムラ〈2025年上半期SBC内症例数〉SBC社員から指名殺到中の東医師のミニマムダウンタイムクマ取り!目の下のたるみは、たるみ特化型Dr「たるみソムリエ東」にお任せ!
わきが・多汗症 / ベイザーシェービング法 No.361726
根こそぎベイザーシェービング法開発者の竹田先生による根こそぎベイザーシェービング法!術後3日目
若返り / ナチュラル脂肪注射コンデンスリッチ No.361725
◆◆美容外科専門医 名倉が叶える 美顔術!! へこみを無くして美しい輪郭へ!! ◆脂肪注入(頬)3ヶ月後のお写真
脂肪吸引 / Aquicell(アキーセル)脂肪吸引 他 No.361724
★脂肪吸引症例数4年連続全国No1(2021-2024年)!※SBC内 No.1ドクター 名倉俊輔が叶える、ほっそりした太もも!★秋葉原院院長・他院長歴任 脂肪吸引・ボディーメイク専門 名倉俊輔 VASER脂肪吸引認定医 ☆吸引量・デザインへのこだわり☆ 脂肪吸引の真骨頂!!…
脂肪吸引 / Aquicell(アキーセル)脂肪吸引 他 No.361723
★脂肪吸引症例数4年連続全国No1(2021-2024年)※SBC内!No.1ドクター 名倉俊輔が叶える、ほっそりとした二の腕!★秋葉原院院長・他院長歴任 脂肪吸引・ボディーメイク専門 名倉俊輔 VASER脂肪吸引認定医 ☆吸引量・デザインへのこだわり☆ 脂肪吸引の真骨頂!!…
脂肪吸引 / 美ボディ脂肪吸引 No.361722
外科症例は1000件越え!ベイザー脂肪吸引症例数九州No.1(2025上半期) 太もも脂肪吸引は西村にお任せ下さい!
若返り / 眉下リフト(眉下切開) No.361721
◆◆目元切開厳選医師の名倉が叶える -5歳!! 眉下リフト◆◆瞼のたるみでお悩みの方必見!!2ヶ月後のお写真
若返り / ナチュラル脂肪注射コンデンスリッチ 他 No.361720
◆◆美容外科専門医 名倉が叶える -5歳!! 目の下のたるみ取り+脂肪注入(目の下~ゴルゴ線)◆◆目の下のぷっくり、クマでお悩みの方必見!!◆6ヶ月後のお写真
若返り / プリマリフト No.361719
◆◆美容外科専門医 名倉が叶える小顔術!!糸リフト6年連続全国1位 (2019年~2024年)!※SBC内◆◆プリマリフト+脂肪吸引(頬+顎下)◆ 4ヶ月後のお写真






















































