美容整形の症例写真(美容整形) 新着
症例写真一覧
表示件数:320182件 / 350183件
若返り / 裏ハムラ法 No.361696
【若返り】【裏ハムラ】人気急上昇中のハムラもDr中溝におまかせ!あなたに最適な治療をご提案いたします。
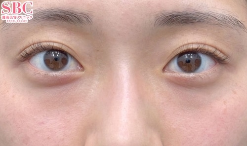
二重・二重整形 / フォーエバー二重術(R) No.361695
【フォーエバー二重術】【左右差改善】
若返り / ウルセラ 他 No.361694
【若返り】ウルセラで切らずにリフトアップ。ヒアルロン酸も併用して小顔とシャープなフェイスラインを実現!
若返り / 目の下の切らないクマ・たるみ(ふくらみ)取り No.361691
【47歳】【別角度あり】外科専門医による安心・安全のクマ取り【メンズクマ取り】
美容歯科 / プレミアムダイヤモンドセラミック 他 No.361690
整形シンデレラファイナリスト担当Drが貴方に贈る 「あなたの笑顔を最高の笑顔に。」〜The Perfect Smile〜 ジルコニアダイヤモンドセラミック
若返り / 目の下の切らないクマ・たるみ(ふくらみ)取り No.361689
【22歳】【☆★別角度あり★☆】外科専門医による安心・安全の切らないクマ取り
若返り / ナチュラル脂肪注射コンデンスリッチ No.361688
◆◆美容外科専門医 名倉が叶える 美顔術!! へこみを無くして美しい輪郭へ!! ◆脂肪注入(顎)1ヶ月後のお写真
脂肪吸引 / Aquicell(アキーセル)脂肪吸引 他 No.361687
★脂肪吸引症例数4年連続全国No1(2021-2024年)!※SBC内 No.1ドクター 名倉俊輔が叶える、ほっそりした太もも!★秋葉原院院長・他院長歴任 脂肪吸引・ボディーメイク専門 名倉俊輔 VASER脂肪吸引認定医 ☆吸引量・デザインへのこだわり☆ 脂肪吸引の真骨頂!!…
脂肪吸引 / Aquicell(アキーセル)脂肪吸引 他 No.361686
★脂肪吸引症例数4年連続全国No1(2021-2024年)※SBC内!No.1ドクター 名倉俊輔が叶える、ほっそりとした二の腕!★秋葉原院院長・他院長歴任 脂肪吸引・ボディーメイク専門 名倉俊輔 VASER脂肪吸引認定医 ☆吸引量・デザインへのこだわり☆ 脂肪吸引の真骨頂!!…
若返り / 眉下リフト(眉下切開) No.361685
◆◆目元切開厳選医師の名倉が叶える -5歳!! 眉下リフト◆◆瞼のたるみでお悩みの方必見!!2ヶ月後のお写真
若返り / ナチュラル脂肪注射コンデンスリッチ 他 No.361684
◆◆美容外科専門医 名倉が叶える -5歳!! 目の下のたるみ取り+脂肪注入(目の下~ゴルゴ線)◆◆目の下のぷっくり、クマでお悩みの方必見!!◆6ヶ月後のお写真
若返り / 目の下の切らないクマ・たるみ(ふくらみ)取り No.361683
【39歳】切らないクマ取りで疲れ顔解消!脂肪注入併用でチークトップ若返り!外科専門医による安心・安全のクマ取り。
豊胸・バストの修正 / Aquicell(アキーセル)併用コンデンスリッチ(脂肪注入豊胸) No.361682
■脂肪注入豊胸■脂肪豊胸症例数 東日本エリア3年連続女医1位 ※2022-24年安心の女医・多田彩子(一般外科出身)による脂肪注入豊胸都心で経験豊富!要らない脂肪をお胸に移して、コンプレックス解消★
若返り / プリマリフト No.361681
◆◆美容外科専門医 名倉が叶える小顔術!!糸リフト6年連続全国1位 (2019年~2024年)!※SBC内◆◆プリマリフト+脂肪吸引(頬+顎下)◆ 7ヶ月後のお写真
脂肪吸引 / Aquicell(アキーセル)脂肪吸引 他 No.361680
★顔の脂肪吸引 7年連続全国No.1 (2018~2024年)!※SBC内 脂肪吸引エキスパートドクターによる輪郭整形 ★脂肪吸引(頬+顎下)+ジョールファット★3ヶ月後のお写真★顔の脂肪吸引 7年連続全国No.1 (2018~2024年)!※SBC内 脂肪吸引エキスパートド…
若返り / 目の下の切らないクマ・たるみ(ふくらみ)取り No.361679
【19歳】【☆★別角度あり★☆】切らないクマ取りで疲れ顔解消!外科専門医による安心・安全のクマ取り。
美容歯科 / プレミアムダイヤモンドセラミック 他 No.361678
整形シンデレラファイナリスト担当Drが貴方に贈る 「あなたの笑顔を最高の笑顔に。」〜The Perfect Smile〜 ジルコニアダイヤモンドセラミック
脂肪吸引 / 小顔用脂肪吸引注射 No.361677
【28歳】【☆★全方向掲載★☆】外科専門医による安心・安全の脂肪吸引注射
若返り / 裏ハムラ法 他 No.361676
【調布院】裏ハムラ+ナノリッチで目の下のクマがすっきり
脂肪吸引 / 小顔用脂肪吸引注射 No.361675
【23歳】【☆★別角度あり★☆】花嫁美容にも!安全・確実に小顔になるなら外科専門医の白木先生にお任せ!

















































