美容整形の症例写真(美容整形) 新着
症例写真一覧
表示件数:320182件 / 350183件
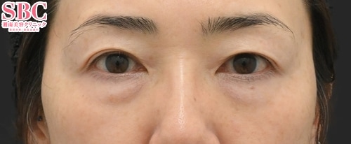
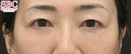
若返り / 裏ハムラ法 No.361573
【SBC統括技術指導医/横浜東口院】美容外科専門医ベテランドクターによる切らない目の下のクマ治療!症例写真8000枚超☆3年連続!!! SBC award 最優秀賞 受賞ドクター坂西執刀♪『裏ハムラ法(経結膜眼窩脂肪移動術/再配置)』
美容歯科 / プレミアムダイヤモンドセラミック No.361572
【プレミアムダイヤモンドセラミック】全体的に白く整えましょう
若返り / シークレットリフト 他 No.361571
【糸リフト・ヒアルロン酸】なんか垢抜けない…はフェイスラインが原因かも?豊田院・あき先生のカスタム糸リフトで垢抜け小顔に★
美容歯科 / マウスピース矯正 No.361570
【インビザライン モデレート】噛み合わせと歯列矯正
美容歯科 / マウスピース矯正 No.361569
【インビザライン モデレート】口角の上げ方から変えるマウスピース矯正
若返り / 目の下の切らないクマ・たるみ(ふくらみ)取り 他 No.361568
目元の若返りで疲れ顔から卒業!東海地方で若返るなら口コミ・SNSで指名多数のあき先生にお任せください!【術後3ヶ月】
若返り / 裏ハムラ法 No.361567
目元の若返りで疲れ顔から卒業!東海地方で若返るなら口コミ・SNSで指名多数のあき先生にお任せください!【術後3ヶ月】
若返り / 裏ハムラ法 No.361566
目元の若返りで疲れ顔から卒業!東海地方で若返るなら口コミ・SNSで指名多数のあき先生にお任せください!【術後1ヶ月】
若返り / 裏ハムラ法 No.361565
【若返り】【20代症例】☆症例数第1位!(アイバックリムーブ/2025年上半期/東日本)☆ 【裏ハムラ】切る・切らない二つの視点からお客様にとって最適な治療を提案します!目の下のたるみ・クマをなくして-5歳に印象チェンジ!【施術後1か月経過】
AGA薄毛治療 / ノンシェーブン植毛 他 No.361564
30代男性:内服薬で改善しない部位:1000グラフト植毛:9か月の変化
AGA薄毛治療 / 自毛植毛 他 No.361563
30代男性:内服薬で改善しない部位:1000グラフト植毛:9か月の変化
AGA薄毛治療 / 自毛植毛 他 No.361562
30代男性:内服薬で改善しない部位:1000グラフト植毛:9か月の変化
アートメイク / mocci眉アートメイク(2Dパウダー) No.361561
【AGA新宿本院】眉アートメイク mocciパウダー技法 初回
AGA薄毛治療 / 自毛植毛 他 No.361560
30代男性:内服薬で改善しない部位:1000グラフト植毛:9か月の変化
アートメイク / リップ No.361559
【AGA新宿本院】アートメイク リップ リタッチ
アートメイク / アイライン上 No.361557
【AGA新宿本院】アートメイク アイライン 初回
AGA薄毛治療 / AGA治療薬 他 No.361556
40代男性 M字に植毛術 2125グラフト(ノンシェーブン) 6ヶ月の経過
二重・二重整形 / フォーエバー二重術(R) No.361555
【フォーエバー二重術】SBC表留めの最高峰!本来の二重により近い技法でナチュラルもパッチリも思いのまま!
若返り / 眉下リフト(眉下切開) No.361554
【眉下リフト(眉下切開)】二重幅が狭くなった方必見!目元本来の美しさを引き出す若返り術
豊胸・バストの修正 / Motivaエルゴノミックス2(バッグ豊胸) 他 No.361553
LAST CALL神ドクター豊胸部門DR.中村の美バスト症例 シリコンバッグ豊胸(Motivaエルゴノミックス2 右270cc/左270cc使用)/術前→3ヶ月目


















































