美容整形の症例写真(美容整形) 新着
症例写真一覧
表示件数:320186件 / 350187件
AGA薄毛治療 / AGA治療薬 他 No.361556
40代男性 M字に植毛術 2125グラフト(ノンシェーブン) 6ヶ月の経過
二重・二重整形 / フォーエバー二重術(R) No.361555
【フォーエバー二重術】SBC表留めの最高峰!本来の二重により近い技法でナチュラルもパッチリも思いのまま!
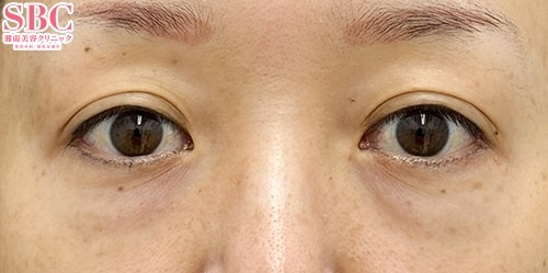
若返り / 眉下リフト(眉下切開) No.361554
【眉下リフト(眉下切開)】二重幅が狭くなった方必見!目元本来の美しさを引き出す若返り術
豊胸・バストの修正 / Motivaエルゴノミックス2(バッグ豊胸) 他 No.361553
LAST CALL神ドクター豊胸部門DR.中村の美バスト症例 シリコンバッグ豊胸(Motivaエルゴノミックス2 右270cc/左270cc使用)/術前→3ヶ月目
二重・二重整形 / クイックコスメティーク・トリプルNeo 他 No.361552
【二重・二重整形】インスタから指名多数!千葉センシティ院 Dr.高橋のまつ毛のキワ見せ二重術【クイックコスメティーク・トリプルNeo+目頭切開プレミアム】
鼻整形 / 鼻尖形成/鼻尖形成3D法(だんご鼻解消術) 他 No.361551
【鼻整形症例数 7年連続全国No.1!(2019年〜2025年 SBC内)】『整形感ゼロの鼻整形 ~ナチュラル忘れ鼻~』鼻尖形成術3D法+鼻尖部軟骨移植+鼻中隔延長術(鼻中隔軟骨) 術後1ヶ月 名古屋栄院院長中野達生
豊胸・バストの修正 / Motivaエルゴノミックス2(バッグ豊胸) 他 No.361550
LAST CALL神ドクター豊胸部門DR.中村の美バスト症例 シリコンバッグ豊胸(Motivaエルゴノミックス2 右270cc/左270cc使用)/術前→3ヶ月目
脂肪吸引 / Aquicell(アキーセル)脂肪吸引 No.361549
★最優秀症例8度受賞!150000件以上の圧倒的執刀数 美容外科医歴25年以上の超ベテラン・プレミアムDr.須田陽一が叶える、くびれ!★新宿本院主任医長・脂肪吸引エグゼクティブDr. VASER脂肪吸引認定医☆吸引量・デザインへのこだわり★腹部+ウエスト+腰★6ヶ月後
脂肪吸引 / Aquicell(アキーセル)脂肪吸引 他 No.361548
★最優秀症例8度受賞!150000件以上の圧倒的執刀数 美容外科医歴25年以上の超ベテラン・プレミアムDr.須田陽一が叶える、美脚!★新宿本院主任医長・脂肪吸引エグゼクティブDr. VASER脂肪吸引認定医☆吸引量・デザインへのこだわり★太もも・臀部・膝★6ヶ月後
美容歯科 / ダイヤモンドオーダーセラミック 他 No.361547
整形シンデレラファイナリスト担当Drが貴方に贈る 「あなたの笑顔を最高の笑顔に。」〜The Perfect Smile〜 ジルコニアダイヤモンドセラミック
AGA薄毛治療 / 毛根再生注射 他 No.361546
20代男性。毛根再生注射1回、臍帯幹細胞上清液メソ3回。3か月後の変化。
AGA薄毛治療 / 自毛植毛 他 No.361545
ノンシェーブン植毛 500グラフト 30代男性 1年後
アートメイク / 医療アートメイク 他 No.361544
【AGA横浜院】【メンズMOCCIパウダー技法】
若返り / 裏ハムラ法 No.361543
お疲れ目元改善!土田博之医師による【クマ治療・裏ハムラ法】目元切開で選ばれています!眉下リフト症例数関西No.2(※)(SBC内症例数 2023年上半期)
若返り / 裏ハムラ法 他 No.361542
お疲れ目元改善!土田博之医師による【クマ治療・裏ハムラ法】目元切開で選ばれています!眉下リフト症例数関西No.2(※)(SBC内症例数 2023年上半期)
若返り / テスリフト 他 No.361541
【土田式ハリウッド糸リフト】京都で切らない若返り・リフトアップならリテスリフト症例数関西No.2(※)の土田博之医師にお任せ!(SBC内症例数 2025年上半期・下半期)
若返り / テスリフト 他 No.361540
【土田式ハリウッド糸リフト】京都で切らない若返り・リフトアップならリテスリフト症例数関西No.2(※)の土田博之医師にお任せ!(SBC内症例数 2025年上半期・下半期)
若返り / ナチュラル脂肪注射コンデンスリッチ No.361539
◆◆美容外科専門医 名倉が叶える 美顔術!! へこみを無くして美しい輪郭へ!! ◆脂肪注入(額)1ヶ月後のお写真
脂肪吸引 / Aquicell(アキーセル)脂肪吸引 他 No.361538
★脂肪吸引症例数4年連続全国No1(2021-2024年)!※SBC内 No.1ドクター 名倉俊輔が叶える、ほっそりした太もも!★秋葉原院院長・他院長歴任 脂肪吸引・ボディーメイク専門 名倉俊輔 VASER脂肪吸引認定医 ☆吸引量・デザインへのこだわり☆ 脂肪吸引の真骨頂!!…
脂肪吸引 / Aquicell(アキーセル)脂肪吸引 他 No.361537
★脂肪吸引症例数4年連続全国No1(2021-2024年)※SBC内!No.1ドクター 名倉俊輔が叶える、ほっそりとした二の腕!★秋葉原院院長・他院長歴任 脂肪吸引・ボディーメイク専門 名倉俊輔 VASER脂肪吸引認定医 ☆吸引量・デザインへのこだわり☆ 脂肪吸引の真骨頂!!…






















































