美容整形の症例写真(美容整形) 新着
症例写真一覧
表示件数:320188件 / 350190件
脂肪吸引 / 根こそぎVASER脂肪吸引 No.361515
30代女性【二の腕/肩の脂肪吸引】
美容歯科 / マウスピース矯正 No.361514
前歯の捻じれを治したい!
脂肪吸引 / 根こそぎVASER脂肪吸引 No.361513
30代女性【二の腕・肩 脂肪吸引】
脂肪吸引 / 小顔用脂肪吸引注射 No.361512
【イテウォン 小顔】下膨れ解消!すっきり卵型ラインへ!イテウォンビューティークリニック恵比寿院
豊胸・バストの修正 / Motivaエルゴノミックス2(バッグ豊胸) 他 No.361511
LAST CALL神ドクター豊胸部門DR.中村の美バスト症例 シリコンバッグ豊胸(Motivaエルゴノミックス2 右270cc/左270cc使用)/術前→3ヶ月目
美容歯科 / マウスピース矯正 No.361509
【マウスピース矯正】インビザラインGoですきっ歯は半年以内に治る
AGA薄毛治療 / 毛根再生注射 他 No.361508
毛根再生注射1回、C-PRPメソ2回、ジェットメソ(ミノキ+BENEV)9回、HRタブレット&スプレーセット、30代男性、9ヶ月後
AGA薄毛治療 / 毛根再生注射 他 No.361507
20代男性 AGA治療薬+毛根再生注射+エレクトロポレーションメソ5回 5カ月目 (その2)
AGA薄毛治療 / 毛根再生注射 他 No.361506
20代男性 AGA治療薬+毛根再生注射+エレクトロポレーションメソ5回 5カ月目 (その1)
美容歯科 / マウスピース矯正 No.361505
【マウスピース矯正】インビザラインモデレートで気になる突出感(出っ歯)の悩みを解決!
美容歯科 / マウスピース矯正 No.361504
【マウスピース矯正】部分矯正で前歯のガタつき解消!
脂肪吸引 / 根こそぎVASER脂肪吸引 他 No.361503
4つの美容外科を回って根こそぎ竹田先生に決めました!おなかの脂肪吸引の術後1ヶ月目
豊胸・バストの修正 / SBC幹細胞脂肪注入豊胸 他 No.361502
LAST CALL神ドクター豊胸部門 DR.中村の美バスト症例 ≪SBC幹細胞脂肪注入豊胸 アキーセル併用 /術前→6ヶ月目≫
脂肪吸引 / Aquicell(アキーセル)脂肪吸引 他 No.361501
★最優秀症例8度受賞!150000件以上の圧倒的執刀数 美容外科医歴25年以上の超ベテラン・プレミアムDr.須田陽一が叶える、くびれ!★新宿本院主任医長・脂肪吸引エグゼクティブDr. VASER脂肪吸引認定医☆吸引量・デザインへのこだわり★腹部+ウエスト+腰★6ヶ月後
脂肪吸引 / Aquicell(アキーセル)脂肪吸引 他 No.361500
★最優秀症例8度受賞!150000件以上の圧倒的執刀数 美容外科医歴25年以上の超ベテラン・プレミアムDr.須田陽一が叶える、美脚!★新宿本院主任医長・脂肪吸引エグゼクティブDr. VASER脂肪吸引認定医☆吸引量・デザインへのこだわり★太もも・臀部・膝★6ヶ月後
鼻整形 / SBCナチュラルフィットプロテーゼ 他 No.361499
「鼻の正面がキレイに!」(SBCナチュラルフィットプロテーゼ+鼻尖形成3D法+鼻尖部耳介軟骨移植+鼻中隔延長+小鼻縮小(内側法+締め付け縫合))
豊胸・バストの修正 / コンデンスリッチ(脂肪注入豊胸) No.361498
■脂肪注入豊胸■ 脂肪豊胸症例数 東日本エリア3年連続女医1位 ※2022-24年!安心の女医・多田彩子(一般外科出身)による脂肪注入豊胸都心で経験豊富!要らない脂肪をお胸に移して、コンプレックス解消★
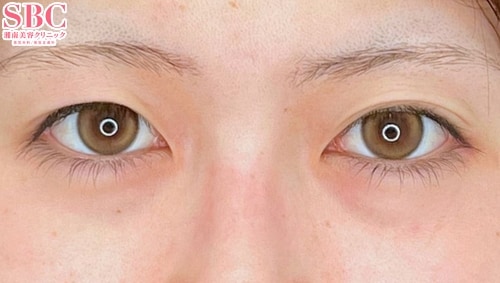
二重・二重整形 / クイックコスメティーク・ダブルNeo No.361497
【目元症例2000件以上/症例実績多数】【20代/クイックコスメティークダブルNeo】あなたにあった自然な二重幅で作り上げる小泉佑太のナチュ映え二重
AGA薄毛治療 / AGA治療薬 他 No.361496
20代男性:AGA治療薬+CPRP+FOLIX:2か月で圧倒的変化
AGA薄毛治療 / AGA治療薬 他 No.361495
20代男性:AGA治療薬+CPRP+FOLIX:2か月で圧倒的変化























































