美容整形の症例写真(美容整形) 新着
症例写真一覧
表示件数:320195件 / 350197件
脂肪吸引 / 美ボディ脂肪吸引 No.361439
30代女性 脂肪吸引 二の腕・肩・肩甲骨横
脂肪吸引 / 美ボディ脂肪吸引 No.361438
【BMI18】細腕をさらに細く。やせても減らない二の腕は脂肪吸引の出番です。
AGA薄毛治療 / ノンシェーブン植毛 他 No.361437
40代男性 M字に植毛術 2125グラフト(ノンシェーブン) 6ヶ月の経過
美容皮膚科 / 女優水光注射 No.361436
【女優水光注射】【リピーター続出の肌育治療】
美容皮膚科 / 女優水光注射 No.361435
【女優水光注射】【リピーター続出の肌育治療】
美容皮膚科 / 女優水光注射 No.361434
【女優水光注射】【リピーター続出の肌育治療】
美容皮膚科 / 女優水光注射 No.361433
【女優水光注射】【リピーター続出の肌育治療】
美容皮膚科 / 女優水光注射 No.361432
【女優水光注射】【リピーター続出の美肌治療】
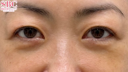
若返り / ナチュラル脂肪注射ナノリッチ No.361431
【形成外科専門医おしぶ先生が執刀】脂肪注入による目の下の若返り治療
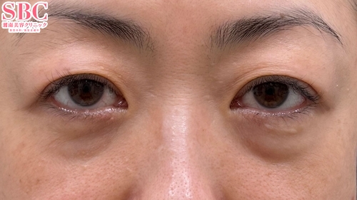
若返り / 裏ハムラ法 No.361430
【形成外科専門医おしぶ先生が執刀】裏ハムラ法による目の下の切らないクマ・たるみ治療
二重・二重整形 / タルミ取り併用全切開法二重 他 No.361429
たるみ取り併用全切開法二重+眼瞼下垂 術後1年半 詳細経過付き
若返り / 裏ハムラ法 他 No.361428
【クマ取り】【ハムラ法】膨らんだ「眼窩脂肪」を凹みに移動してクマ解消!老け見え解消なら奥医師にお任せ!【施術1ヶ月後】【裏ハムラ法×ナチュラル脂肪注射ナノリッチ/コンデンスリッチ】
AGA薄毛治療 / 毛根再生注射 他 No.361427
毛根再生注射1回、ジェットメソ(ミノキ+BENEV)6回、フィナステリド、ミノキシジル内服薬、外用薬、50代男性、6ヶ月後
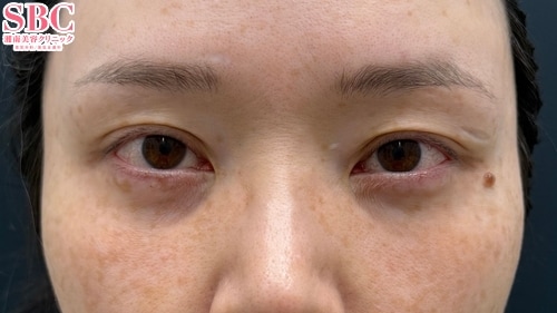
若返り / 裏ハムラ法 No.361426
【若返り】【20代症例】☆症例数第1位!(アイバックリムーブ/2025年上半期/東日本)☆ 【裏ハムラ】切る・切らない二つの視点からお客様にとって最適な治療を提案します!目の下のたるみ・クマをなくして-5歳に印象チェンジ!【施術後1か月経過】
二重・二重整形 / フォーエバー二重術(R) 他 No.361425
【メイク映え二重】【フォーエバー二重術】【目頭切開併用】
若返り / 切らないミッドフェイスリフト 他 No.361424
古澤医師限定施術【切らないミッドフェイスリフト】で中顔面短縮!
AGA薄毛治療 / 自毛植毛 他 No.361423
幼少期の熱傷による脱毛症。自毛植毛で解決!
AGA薄毛治療 / 自毛植毛 他 No.361422
傷跡の脱毛症には自毛植毛! 傷跡500G。
若返り / ナチュラル脂肪注射コンデンスリッチ No.361421
◆◆美容外科専門医 名倉が叶える 美顔術!! へこみを無くして美しい輪郭へ!! ◆脂肪注入(頬)3ヶ月後のお写真
若返り / ジャルプロスーパーハイドロ No.361420
【待望の新治療 ジャルプロスーパーハイドロ】 コスパのいい治療で若返りを実現!






















































