美容整形の症例写真(美容整形) 新着
症例写真一覧
表示件数:320195件 / 350197件
若返り / ジャルプロスーパーハイドロ No.361419
【待望の新治療 ジャルプロスーパーハイドロ】 コスパのいい治療で若返りを実現!
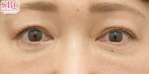
若返り / ジャルプロスーパーハイドロ No.361418
【待望の新治療 ジャルプロスーパーハイドロ】 コスパのいい治療で若返りを実現!
若返り / ジャルプロスーパーハイドロ No.361417
【待望の新治療 ジャルプロスーパーハイドロ】 コスパのいい治療で若返りを実現!
若返り / ジャルプロスーパーハイドロ No.361416
【待望の新治療 ジャルプロスーパーハイドロ】 コスパのいい治療で若返りを実現!
若返り / 眉下リフト(眉下切開) No.361415
【40代:眉下切開】☆★眉下切開中部No.1&西日本No.3獲得〈2025年下半期SBC内症例数〉★☆瞼のたるみは眉下切開で解決!【たるみ特化型Dr】瞼のたるみを改善、たるみソムリエ東の切開術。若返り治療は圧倒的技術力の東医師にお任せ!
美容皮膚科 / ボトックス(アラガン) No.361414
【額ボトックス】しわ改善で若返り!
AGA薄毛治療 / 自毛植毛 他 No.361413
ひげノンシェーブン植毛 421グラフト 20代男性 半年後
若返り / 眉下リフト(眉下切開) 他 No.361412
【クマ取り+脂肪注入】目元の若返りなら田中医師にお任せください!
アートメイク / 医療アートメイク 他 No.361411
【AGA横浜院】アイラインアートメイク
脂肪吸引 / Aquicell(アキーセル)脂肪吸引 他 No.361410
★最優秀症例8度受賞!150000件以上の圧倒的執刀数 美容外科医歴25年以上の超ベテラン・プレミアムDr.須田陽一が叶える、くびれ!★新宿本院主任医長・脂肪吸引エグゼクティブDr. VASER脂肪吸引認定医☆吸引量・デザインへのこだわり★腹部+ウエスト+腰★6ヶ月後
二重・二重整形 / クイックコスメティーク・ダブルNeo 他 No.361409
20代症例【クイックコスメティーク・ダブルNeo 自然癒着セット】
若返り / VOV(ボブ)リフト 他 No.361408
【若返りMuse】もえか先生の若返り術|お客様一人ひとりに合わせたパーソナルプランで自然な若返り?
脂肪吸引 / Aquicell(アキーセル)脂肪吸引 他 No.361407
★最優秀症例8度受賞!150000件以上の圧倒的執刀数 美容外科医歴25年以上の超ベテラン・プレミアムDr.須田陽一が叶える、くびれ!★新宿本院主任医長・脂肪吸引エグゼクティブDr. VASER脂肪吸引認定医☆吸引量・デザインへのこだわり★腹部+ウエスト+腰★6ヶ月後
二重・二重整形 / フォーエバー二重術(R) No.361406
【メイク映え二重】【フォーエバー二重術】
豊胸・バストの修正 / Motivaエルゴノミックス2(バッグ豊胸) No.361405
■シリコンバック豊胸■【バック豊胸症例数 全国女医症例数1位 2023年下期】経験豊富な女医・多田彩子(一般外科出身)による豊胸術!!シリコンバック豊胸術の綺麗な症例写真で人気◎ 脂肪注入豊胸、乳頭縮小術からバック豊胸まで出来る女医として選ばれています。
脂肪吸引 / Aquicell(アキーセル)脂肪吸引 他 No.361404
★脂肪吸引症例数4年連続全国No1(2021-2024年)!※SBC内 No.1ドクター 名倉俊輔が叶える、ほっそりした太もも!★秋葉原院院長・他院長歴任 脂肪吸引・ボディーメイク専門 名倉俊輔 VASER脂肪吸引認定医 ☆吸引量・デザインへのこだわり☆ 脂肪吸引の真骨頂!!…
脂肪吸引 / Aquicell(アキーセル)脂肪吸引 他 No.361403
★脂肪吸引症例数4年連続全国No1(2021-2024年)※SBC内!No.1ドクター 名倉俊輔が叶える、ほっそりとした二の腕!★秋葉原院院長・他院長歴任 脂肪吸引・ボディーメイク専門 名倉俊輔 VASER脂肪吸引認定医 ☆吸引量・デザインへのこだわり☆ 脂肪吸引の真骨頂!!…
若返り / 眉下リフト(眉下切開) No.361402
◆◆目元切開厳選医師の名倉が叶える -5歳!! 眉下リフト◆◆瞼のたるみでお悩みの方必見!!2ヶ月後のお写真
若返り / ナチュラル脂肪注射コンデンスリッチ 他 No.361401
◆◆美容外科専門医 名倉が叶える -5歳!! 目の下のたるみ取り+脂肪注入(目の下~ゴルゴ線)◆◆目の下のぷっくり、クマでお悩みの方必見!!◆1ヶ月後のお写真
若返り / プリマリフト No.361400
◆◆美容外科専門医 名倉が叶える小顔術!!糸リフト6年連続全国1位 (2019年~2024年)!※SBC内◆◆プリマリフト+脂肪吸引(頬+顎下)◆ 6ヶ月後のお写真





















































