美容整形の症例写真(美容整形) 新着
症例写真一覧
表示件数:320218件 / 350214件
アートメイク / mocci眉アートメイク(2Dパウダー) No.360911
mocci眉
豊胸・バストの修正 / VASER併用コンデンスリッチ(脂肪注入豊胸) 他 No.360910
■脂肪注入豊胸■脂肪豊胸症例数 東日本エリア3年連続女医1位 ※2022-24年!安心の女医・多田彩子(一般外科出身)による脂肪注入豊胸都心で経験豊富!要らない脂肪をお胸に移して、コンプレックス解消★
若返り / 目の下の切らないクマ・たるみ(ふくらみ)取り 他 No.360909
【若返りMuse】もえか先生の若返り術|お客様一人ひとりに合わせたパーソナルプランで自然な若返り?
AGA薄毛治療 / AGA治療薬 他 No.360908
20代男性 毛根再生注射1回+AGA治療薬 3か月後 (その2)
AGA薄毛治療 / AGA治療薬 他 No.360907
20代男性 毛根再生注射1回+AGA治療薬 3か月後 (その1)
脂肪吸引 / 美ボディ脂肪吸引 No.360906
美ボディ脂肪吸引 あご下+糸リフト |【美ボディ脂肪吸引 関東エリアNo1(2024年上半期SBC内)】ダウンタイム最小限で別人級の輪郭に【3ヶ月後】
若返り / 切開ハムラ(表ハムラ)法 No.360905
【若返り】【30代症例】☆症例数第1位!(アイバックリムーブ/2025年上半期/東日本)☆【切開ハムラ】切る・切らない二つの視点からお客様にとって最適な治療を提案します!目の下のたるみ・クマをなくして-5歳に印象チェンジ!【施術後1か月経過】
若返り / 切開ハムラ(表ハムラ)法 他 No.360904
【クマ取り】【大宮西口】切開ハムラ クマとりならベテラン女医にお任せ★スピーディに美しく!
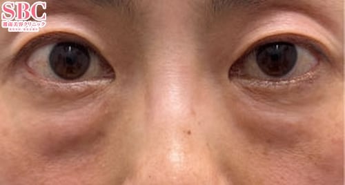
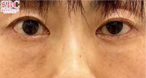
若返り / 裏ハムラ法 No.360903
【クマ取り裏ハムラ】★裏ハムラ全国女医No.1☆2025年上半期SBC内症例数★
若返り / ナチュラル脂肪注射コンデンスリッチ No.360902
◆◆美容外科専門医 名倉が叶える 美顔術!! へこみを無くして美しい輪郭へ!! ◆脂肪注入(額)1ヶ月後のお写真
若返り / ベビーコラーゲン(ヒューマラジェン/ベビーダーム) No.360901
【若返り】【美容皮膚科】【40代女性】☆SBC技術指導医 池内院長の若返り術☆「ベビーコラーゲン」で目元の若返りをかなえる!
脂肪吸引 / Aquicell(アキーセル)脂肪吸引 No.360900
★脂肪吸引症例数4年連続全国No1(2021-2024年)!※SBC内 No.1ドクター 名倉俊輔が叶える、ほっそりした太もも!★秋葉原院院長・他院長歴任 脂肪吸引・ボディーメイク専門 名倉俊輔 VASER脂肪吸引認定医 ☆吸引量・デザインへのこだわり☆ 脂肪吸引の真骨頂!!…
脂肪吸引 / Aquicell(アキーセル)脂肪吸引 他 No.360899
★脂肪吸引症例数4年連続全国No1(2021-2024年)※SBC内!No.1ドクター 名倉俊輔が叶える、ほっそりとした二の腕!★秋葉原院院長・他院長歴任 脂肪吸引・ボディーメイク専門 名倉俊輔 VASER脂肪吸引認定医 ☆吸引量・デザインへのこだわり☆ 脂肪吸引の真骨頂!!…
若返り / 眉下リフト(眉下切開) No.360898
◆◆目元切開厳選医師の名倉が叶える -5歳!! 眉下リフト◆◆瞼のたるみでお悩みの方必見!!3ヶ月後のお写真
若返り / ナチュラル脂肪注射コンデンスリッチ 他 No.360897
◆◆美容外科専門医 名倉が叶える -5歳!! 目の下のたるみ取り+脂肪注入(目の下~ゴルゴ線)◆◆目の下のぷっくり、クマでお悩みの方必見!!◆3ヶ月後のお写真
若返り / プリマリフト No.360896
◆◆美容外科専門医 名倉が叶える小顔術!!糸リフト6年連続全国1位 (2019年~2024年)!※SBC内◆◆プリマリフト+脂肪吸引(頬+顎下)◆ 8ヶ月後のお写真
脂肪吸引 / Aquicell(アキーセル)脂肪吸引 他 No.360895
★顔の脂肪吸引 7年連続全国No.1 (2018~2024年)!※SBC内 脂肪吸引エキスパートドクターによる輪郭整形 ★脂肪吸引(頬+顎下)+ジョールファット★3ヶ月後のお写真★顔の脂肪吸引 7年連続全国No.1 (2018~2024年)!※SBC内 脂肪吸引エキスパートド…
若返り / 裏ハムラ法 No.360894
目の下の切らないクマ治療、裏ハムラ法で圧倒的若返り体験を!
豊胸・バストの修正 / SBC幹細胞脂肪注入豊胸 他 No.360893
DR.中村の美バスト症例 ≪SBC幹細胞脂肪注入豊胸 アキーセル併用 コールマン式 /術前→1ヶ月目≫
美容歯科 / ダイヤモンドクラウン(ジルコニア) No.360892
【歯科統括院長 前田純】上4本ダイヤモンドクラウン(ジルコニア)





















































