若返りの症例写真(岩砂里美、若返り)
症例写真一覧
表示件数:274件 / 347578件
若返り / ナチュラル脂肪注射コンデンスリッチ No.330174
若返り治療年間4000例担当!外科医歴20年以上の岩砂医師による額の脂肪注入★【コンデンスリッチフェイス】【術後1ヶ月】
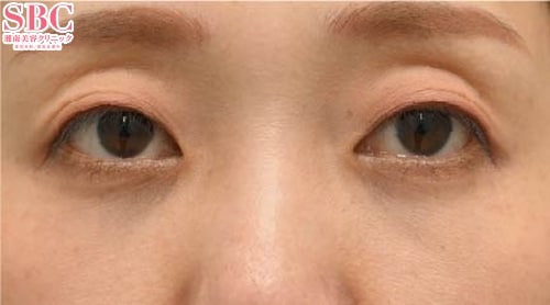
若返り / 目の下の切らないクマ・たるみ(ふくらみ)取り No.326769
若返り治療年間4000例担当!外科医歴20年以上の岩砂医師によるクマ取り★【目の下の切らないクマ・たるみ取り】【術後1ヶ月】
若返り / 目の下の切らないクマ・たるみ(ふくらみ)取り 他 No.325195
★外科医歴20年以上★【クマ取り+脂肪注入】安心の技術力で目元の若返り!【ナノリッチ】【コンデンスリッチ】【術後1ヶ月】
若返り / 目の下の切らないクマ・たるみ(ふくらみ)取り 他 No.324247
★クマ取り+脂肪注入★目の下が明るくなるだけで若返る!【ナノリッチ】【コンデンスリッチ】【術後1ヶ月】
若返り / シークレットリフト 他 No.307933
【もう悩まない】頬・顎のたるみ、ほうれい線、マリオネット線にさようなら♪
若返り / コンデンスリッチフェイス法(額・こめかみ脂肪注入) No.306693
「おでこ」のオーダーメイドは岩砂里美医師にお任せください♪
若返り / 目の下の切らないクマ・たるみ(ふくらみ)取り 他 No.306230
【若返り】老け顔・疲れ顔に悩んでいませんか?圧倒的美的センスと熟練の技術を併せ持つドクター岩砂だからできる目元の若返り術をご堪能あれ!
若返り / 目の下の切らないクマ・たるみ(ふくらみ)取り No.359670
★外科医歴20年以上★【岩砂医師の大人気クマ取り!】安心の技術力で目元の若返り!【30代クマ取り(脂肪注入なし)】【術後1ヶ月】
若返り / コンデンスリッチフェイス法(額・こめかみ脂肪注入) No.346208
【額・こめかみの脂肪注入】丸みのあるおでこで若々しく女性らしい印象UP♪【コンデンスリッチフェイス】【術後1ヶ月】
若返り / 目の下の切らないクマ・たるみ(ふくらみ)取り 他 No.338251
【若返り】★外科医歴20年以上★【クマ取り+脂肪注入】安心の技術力で目元の若返り!【ナノリッチ】【術後1ヶ月】
若返り / 目の下の切らないクマ・たるみ(ふくらみ)取り 他 No.328520
外科医歴20年以上のベテランが執刀する★クマ取り+脂肪注入★老け見えの原因を根本除去!【コンデンスリッチ】【術後1ヶ月】
若返り / 目の下の切らないクマ・たるみ(ふくらみ)取り No.311897
老け顔・疲れ顔に悩んでいませんか?圧倒的美的センスと熟練の技術を併せ持つドクター岩砂だからできる目元の若返り術
若返り / シークレットリフト No.311895
【小顔になりたい】頬・顎のたるみ、ほうれい線、マリオネット線にさようなら
若返り / 目の下の切らないクマ・たるみ(ふくらみ)取り 他 No.311230
老け顔・疲れ顔に悩んでいませんか?圧倒的美的センスと熟練の技術を併せ持つドクター岩砂だからできる目元の若返り術
若返り / 目の下の切らないクマ・たるみ(ふくらみ)取り 他 No.311229
老け顔・疲れ顔に悩んでいませんか?圧倒的美的センスと熟練の技術を併せ持つドクター岩砂だからできる目元の若返り術
若返り / 目の下の切らないクマ・たるみ(ふくらみ)取り 他 No.311226
老け顔・疲れ顔に悩んでいませんか?圧倒的美的センスと熟練の技術を併せ持つドクター岩砂だからできる目元の若返り術
若返り / 目の下の切らないクマ・たるみ(ふくらみ)取り 他 No.311224
老け顔・疲れ顔に悩んでいませんか?圧倒的美的センスと熟練の技術を併せ持つドクター岩砂だからできる目元の若返り術
若返り / 目の下の切らないクマ・たるみ(ふくらみ)取り 他 No.311223
老け顔・疲れ顔に悩んでいませんか?圧倒的美的センスと熟練の技術を併せ持つドクター岩砂だからできる目元の若返り術!
若返り / 目の下の切らないクマ・たるみ(ふくらみ)取り No.310393
老け顔・疲れ顔に悩んでいませんか?圧倒的美的センスと熟練の技術を併せ持つドクター岩砂だからできる目元の若返り術をご堪能あれ!
若返り / 目の下の切らないクマ・たるみ(ふくらみ)取り 他 No.310392
老け顔・疲れ顔に悩んでいませんか?圧倒的美的センスと熟練の技術を併せ持つドクター岩砂だからできる目元の若返り術をご堪能あれ!










































