美容整形の症例写真(榎本格)
症例写真一覧
表示件数:143件 / 347349件
美容皮膚科 / ヒアルロン酸ジュビダームビスタ バイクロスシリーズ No.340694
『北陸でのヒアルロン酸も形成外科専門医にお任せください』形成外科医として症例多数!たくさんのご指名有難うございます☆ダウンタイム最小、直後から変われるヒアルロン酸の凄さを実感してください!
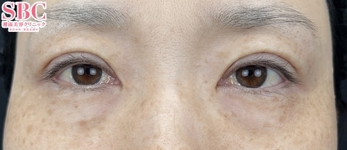
若返り / 裏ハムラ法 No.340700
『北陸でのクマ取りも形成外科専門医にお任せください』形成外科医としてクマ手術症例多数!たくさんのご指名有難うございます☆目元のスペシャリスト形成外科専門医えのもと医師にご相談ください!
脂肪吸引 / 小顔用脂肪吸引注射 No.340703
『北陸で脂肪吸引するなら形成外科専門医にお任せください』形成外科医として症例多数!たくさんのご指名有難うございます☆再建のスペシャリスト形成外科専門医えのもと医師にご相談ください!
豊胸・バストの修正 / 週末豊胸 -ピュアグラフト-(脂肪注入豊胸) No.338362
『北陸で脂肪豊胸するなら形成外科専門医にお任せください』形成外科医として症例多数!たくさんのご指名有難うございます☆乳房再建のスペシャリスト形成外科専門医えのもと医師にご相談ください!
脂肪吸引 / 根こそぎVASER脂肪吸引 No.338361
『脂肪吸引も形成外科専門医にお任せください』形成外科医として症例多数!たくさんのご指名有難うございます☆再建外科のスペシャリスト形成外科専門医えのもと医師にご相談ください!
二重・二重整形 / 眼瞼下垂 他 No.338356
『眼瞼下垂・切開二重術は形成外科専門医にお任せください』形成外科医として切開症例多数!たくさんのご指名有難うございます☆目元のスペシャリスト形成外科専門医えのもと医師にご相談ください!
豊胸・バストの修正 / 週末豊胸 -ピュアグラフト-(脂肪注入豊胸) No.332948
『バストアップも叶うダイエット』小さくたるんだバストでお悩みの方に朗報です!!金沢での脂肪注入豊胸は美容外科医×安心の形成外科専門医×誠実・丁寧のDr.えのもんにお任せください!
脂肪吸引 / 美ボディ脂肪吸引 他 No.332952
『金沢で小顔にするなら形成外科専門医榎本医師に決まり!』圧倒的な症例数!安心安全の形成外科専門医!が理想の小顔をご提案いたします☆
脂肪吸引 / 美ボディ脂肪吸引 他 No.332951
『金沢で小顔にするなら形成外科専門医榎本医師に決まり!』圧倒的な症例数!安心安全の形成外科専門医!が理想の小顔をご提案いたします☆
脂肪吸引 / 美ボディ脂肪吸引 No.324188
【お手頃な二の腕痩せ!美ボディ脂肪吸引】金沢での二の腕痩せは美容外科医×安心の形成外科専門医×誠実・丁寧のDr.えのもんにお任せください!
脂肪吸引 / 美ボディ脂肪吸引 No.324185
【お手頃な二の腕痩せ!美ボディ脂肪吸引】金沢での二の腕痩せは美容外科医×安心の形成外科専門医×誠実・丁寧のDr.えのもんにお任せください!
脂肪吸引 / 根こそぎVASER脂肪吸引 No.355989
『形成外科と美容外科(JSAPS)のダブルライセンス!確かな知識や技術と豊富な経験』形成外科/美容外科専門医(JSAPS)として脂肪吸引症例多数!たくさんのご指名有難うございます☆小顔整形のスペシャリストえのもと医師にご相談ください!
脂肪吸引 / 根こそぎVASER脂肪吸引 No.355988
『形成外科と美容外科(JSAPS)のダブルライセンス!確かな知識や技術と豊富な経験』形成外科/美容外科専門医(JSAPS)として脂肪吸引症例多数!たくさんのご指名有難うございます☆小顔整形のスペシャリストえのもと医師にご相談ください!
脂肪吸引 / 根こそぎVASER脂肪吸引 No.355987
『形成外科と美容外科(JSAPS)のダブルライセンス!確かな知識や技術と豊富な経験』形成外科/美容外科専門医(JSAPS)として脂肪吸引症例多数!たくさんのご指名有難うございます☆ボディメイクのスペシャリストえのもと医師にご相談ください!
二重・二重整形 / クイックコスメティーク・ダブルNeo No.355576
【腫れない二重・糸玉バレない二重】『九州での埋没二重は形成外科専門医にお任せください』形成外科医として眼瞼下垂や二重術、クマ手術症例多数!たくさんのご指名有難うございます☆目元のスペシャリスト形成外科専門医えのもと医師にご相談ください!
二重・二重整形 / クイックコスメティーク・ダブルNeo No.355315
【腫れない二重・糸玉バレない二重】『九州での埋没二重は形成外科専門医にお任せください』形成外科医として眼瞼下垂や二重術、クマ手術症例多数!たくさんのご指名有難うございます☆目元のスペシャリスト形成外科専門医えのもと医師にご相談ください!
脂肪吸引 / 小顔用脂肪吸引注射 No.353376
『形成外科専門医として確かな知識や技術と豊富な経験』形成外科医として小顔手術症例多数!たくさんのご指名有難うございます☆顔面手術のスペシャリスト形成外科専門医えのもと医師にご相談ください!
豊胸・バストの修正 / 週末豊胸 -ピュアグラフト-(脂肪注入豊胸) No.352141
【ママ特有のバストのお悩み改善します!】『北陸で脂肪豊胸するなら形成外科専門医にお任せください』形成外科医として症例多数!たくさんのご指名有難うございます☆乳房再建のスペシャリスト形成外科専門医えのもと医師にご相談ください!
脂肪吸引 / 根こそぎVASER脂肪吸引 No.351783
『北陸での脂肪吸引も形成外科専門医にお任せください』形成外科医として症例多数!たくさんのご指名有難うございます☆再建外科のスペシャリスト形成外科専門医えのもと医師にご相談ください!
二重・二重整形 / 眼瞼下垂 他 No.350248
『北陸での目元の手術も形成外科専門医にお任せください』形成外科医として切開症例多数!たくさんのご指名有難うございます☆目元のスペシャリスト形成外科専門医えのもと医師にご相談ください!










































