30万件突破!美容整形・美容外科の症例写真を探す
掲載枚数347836件公開中!(随時更新中)
診療科目別 症例写真
ドクターが選ぶ BEST SHOT AWARD
今月のベスト症例写真
ベストショットはこちら 鼻整形の
ベストショットはこちら シミ・しわ・たるみの
ベストショットはこちら フェイスラインの
ベストショットはこちら 豊胸・バストの修正の
ベストショットはこちら 脂肪吸引の
ベストショットはこちら
メディカルサイズダウン
ベスト症例写真
-
クールスカルプティング部門
施術名:クールスカルプティング
施術部位:二の腕 4エリア
施術回数:1回
年代:50代
-
トゥルースカルプiD部門
施術名:トゥルースカルプiD
施術部位:お腹、腰 8エリア
施術回数:1回
年代:30代
コメント
もともと皮下脂肪がそこまで多くないお客様でしたが、施術後はさらにお腹が薄くなってくびれも目立つようになっているのが分かりますね。
トゥルースカルプiDは加熱して脂肪細胞を破壊する施術ですが、痛みの少なさと施術時間の短さ、皮膚の引き締め作用などが特徴のマシンです。クールスカルプティングの痛みや施術時間の長さが気になる方はトゥルースカルプiDでの施術をおすすめします! -
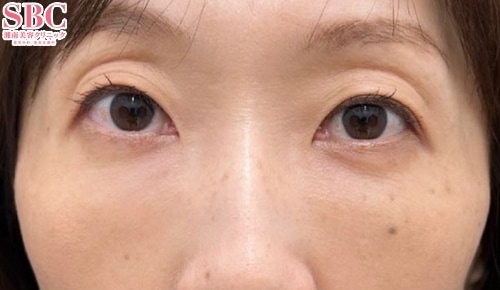
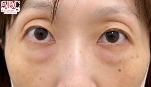
脂肪吸引注射部門
施術名:小顔用脂肪吸引注射
施術部位:顔 2エリア
施術回数:1回
年代:20代
コメント
ジョールファットの小顔用脂肪吸引注射2エリアのお客様です。
ダウンタイムをなるべく少なく、頬のふっくらした感じを減らしたい、脂肪吸引ほどはダウンタイムが取れないけれど、脂肪溶解注射より効果が早く現れる施術がよいとご希望され、小顔用脂肪吸引注射を選択されました。 ダウンタイムを最小限に、頬の印象が変わりました。 -
コンビネーション治療部門
施術名:クールスカルプティング、BNLS Ultimate
施術部位:顔(アゴ下)
クルスカ2エリア、BNLS Ultimateアゴ下10cc・フェイスライン10cc
施術回数:2回
年代:20代
コメント
脂肪吸引なしでも2回の治療でここまでの変化を出すことができます!
二重アゴが気になるけど脂肪吸引はダウンタイムが心配という方も一度ご相談ください。
クールスカルプティング単独でもある程度の効果は出すことができますが、脂肪溶解注射を併用することでより大きな変化を出すことができますので、なるべく早く少ない回数で変化を出したい方は併用がおすすめです!
SBC新規導入施術
症例写真一覧
豊胸・バストの修正 / Motivaエルゴノミックス2(バッグ豊胸) No.344295
【豊胸・バストの修正】★2023年下半期・2024年上半期 脂肪注入豊胸 SBC内執刀数東日本No.2★シリコンバック豊胸で確実にバストアップ!【シリコンバック豊胸】Motivaエルゴノミックス2【術後1ヶ月】左右:295ccずつ
脂肪吸引 / Aquicell(アキーセル)脂肪吸引 他 No.358585
【脂肪吸引】★Dr.葛島による小顔術!★カリカリフェイスラインで横顔美人に!【ベイザー併用アキーセル脂肪吸引】【頬・顎下 脂肪吸引+ジョールファット・バッカルファット除去+糸リフト】【術後6ヶ月】
脂肪吸引 / Aquicell(アキーセル)脂肪吸引 他 No.358583
【二の腕脂肪吸引】★二の腕脂肪吸引で直角肩の美しい二の腕へ★【二の腕全周+肩+肩甲骨横】【ベイザー併用アキーセル脂肪吸引】【術後3ヶ月】
若返り / テスリフト 他 No.360249
【糸リフトSBC公式おすすめDr/テスリフトSBC内症例数中部No1※】【50代/糸リフト】切らない小顔のプロフェッショナル小泉による劇的Before&after ※2025年上半期
美容歯科 / ダイヤモンドオーダーセラミック 他 No.360246
【ねじれ】歯グキからデザインするセラミック 前歯の捻転をスピード改善!
美容歯科 / マウスピース矯正 No.357732
【マウスピース矯正】インビザラインフルで歯のお悩みまとめて解決!
美容歯科 / ダイヤモンドクラウン(ジルコニア) No.359851
【セラミック治療】歯並び・歯の変色・銀歯もまとめてセラミックで解決
脂肪吸引 / Aquicell(アキーセル)脂肪吸引 他 No.359591
★最優秀症例8度受賞!150000件以上の圧倒的執刀数 美容外科医歴25年以上の超ベテラン・プレミアムDr.須田陽一が叶える、くびれ!★新宿本院主任医長・脂肪吸引エグゼクティブDr. VASER脂肪吸引認定医☆吸引量・デザインへのこだわり★腹部・ウエスト・腰★6ヶ月後
脂肪吸引 / Aquicell(アキーセル)脂肪吸引 他 No.359786
★最優秀症例8度受賞!150000件以上の圧倒的執刀数 美容外科医歴25年以上の超ベテラン・プレミアムDr.須田陽一が叶える、細腕!★新宿本院主任医長・脂肪吸引エグゼクティブDr. VASER脂肪吸引認定医☆吸引量・デザインへのこだわり★二の腕全周+肩★3ヶ月後
アートメイク / 医療アートメイク 他 No.360241
【AGA横浜院】【MOCCIパウダー技法】







































































コメント
二の腕のふりそでや付け根の部分の脂肪が気になると来院されたお客様です。
クールスカルプティングを用いて二の腕に4エリア施術を受けていただいた2ヶ月後のお写真です。
垂れ下がった印象だったふりそでがすっきりとしましたね!
脂肪のボリュームによっては満足いく結果が出るまでに複数回の施術が必要な場合がありますが、クールスカルプティングは脂肪吸引と比較し日常生活に制限なくお受けいただけるのがメリットです。