症例写真(美容整形) 新着
症例写真一覧
表示件数:317039件 / 346704件
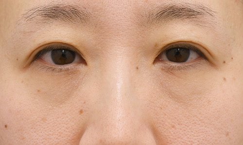
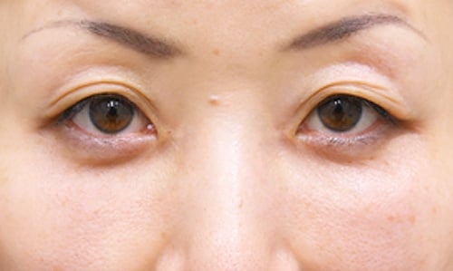
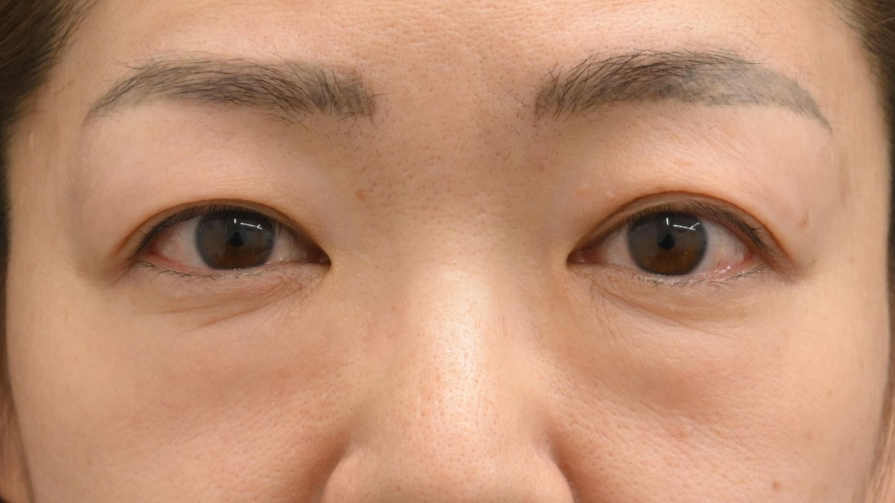
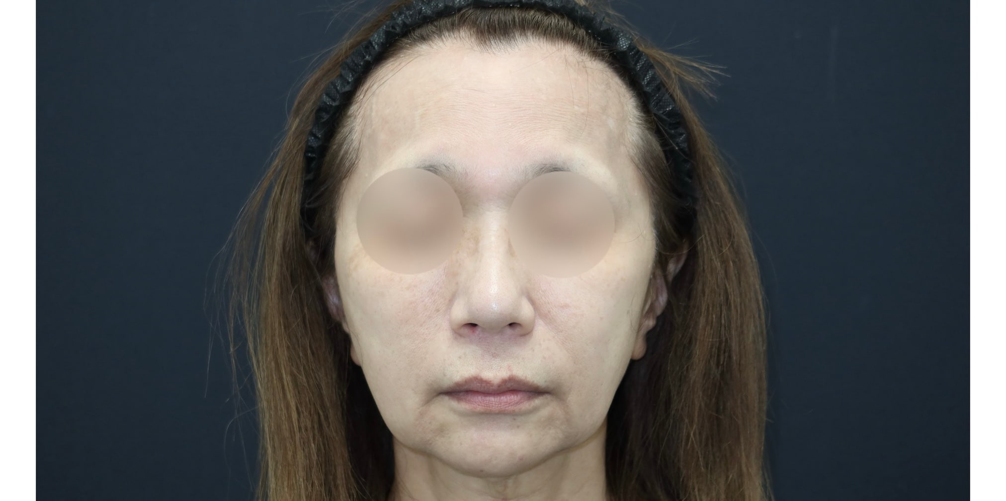
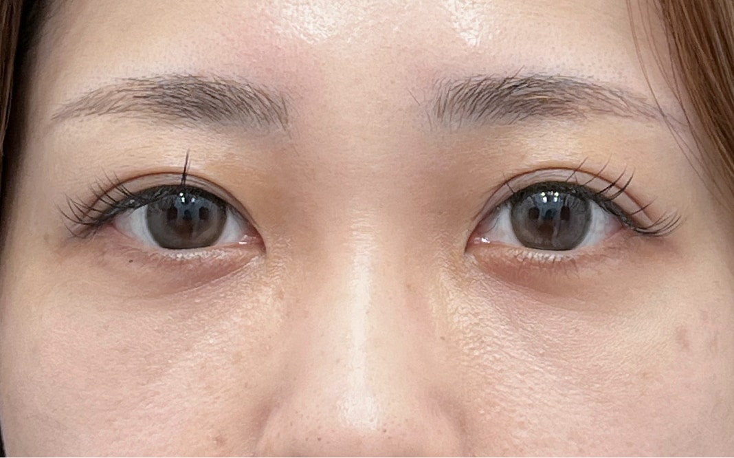
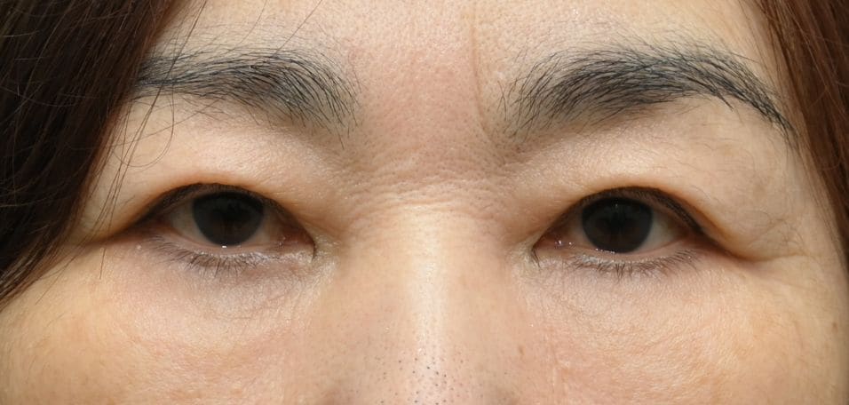
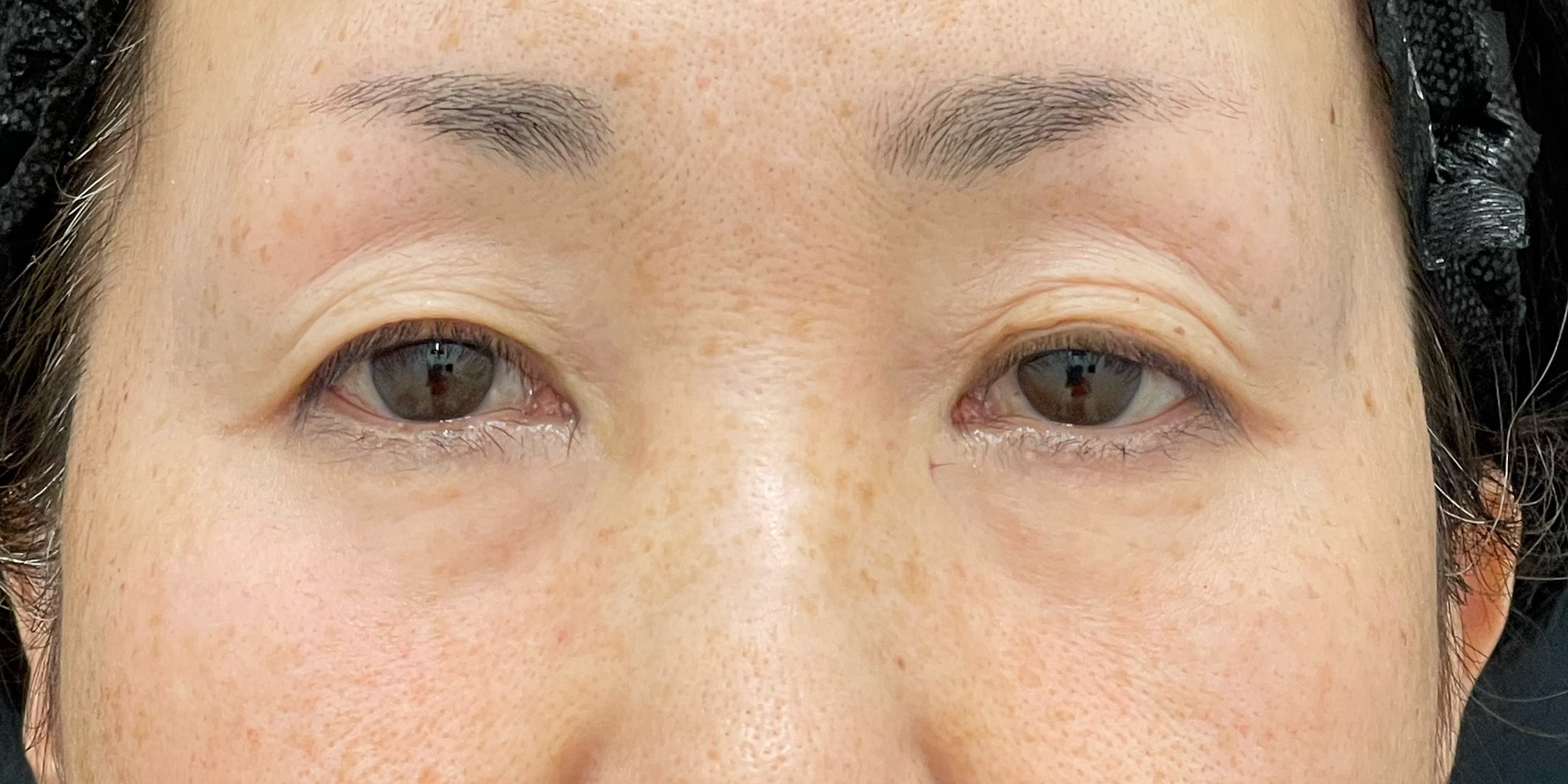
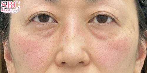
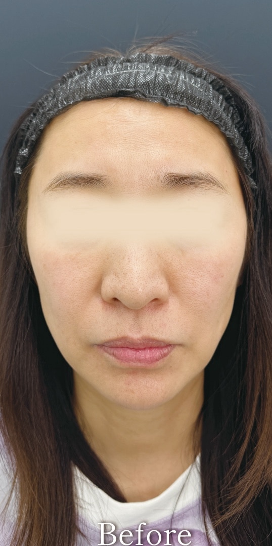
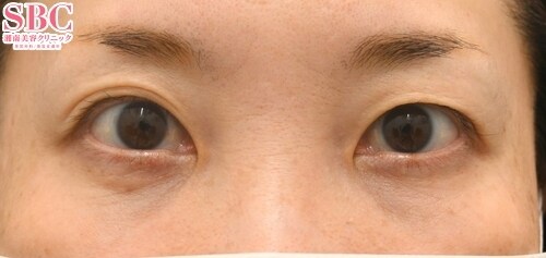
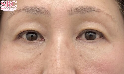
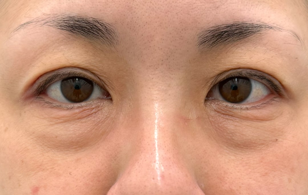
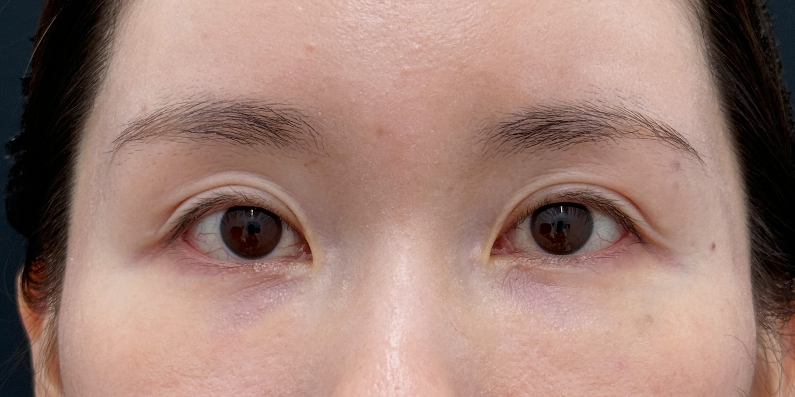
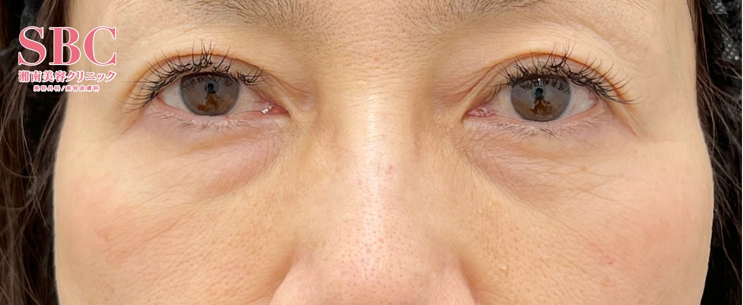
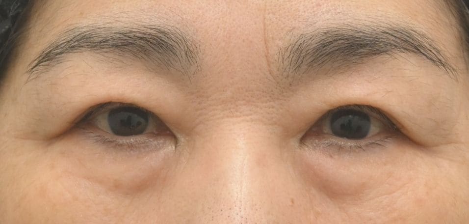
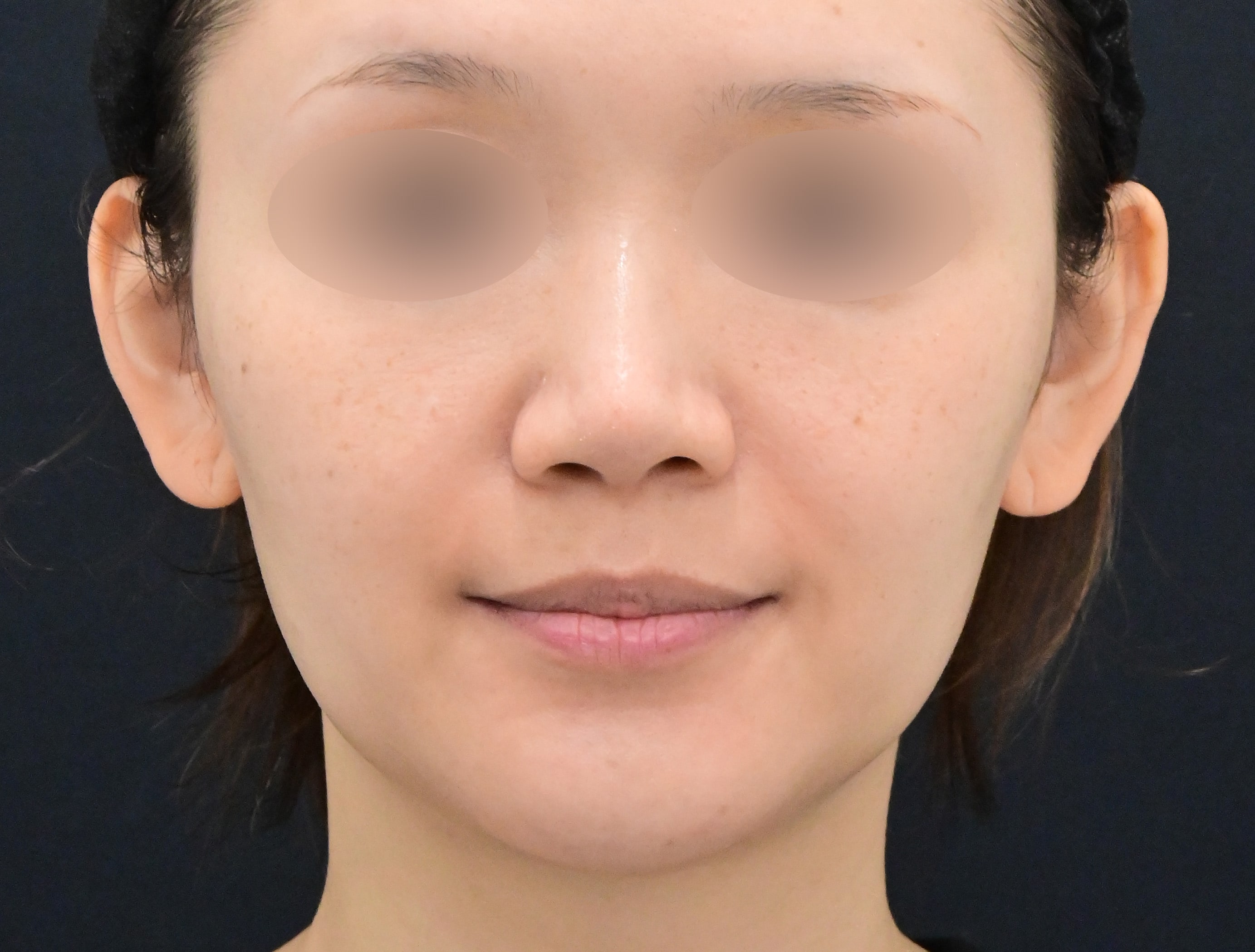
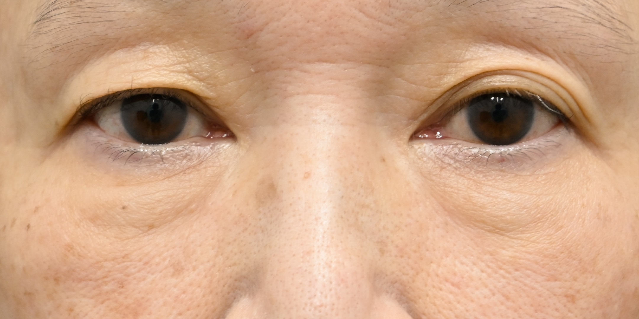
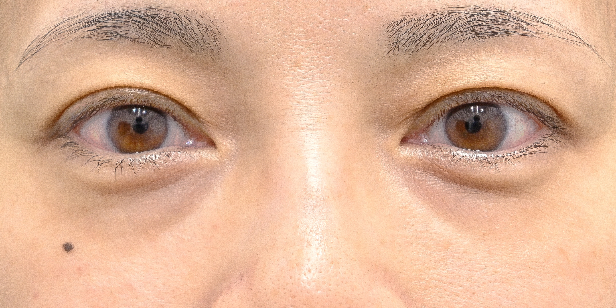
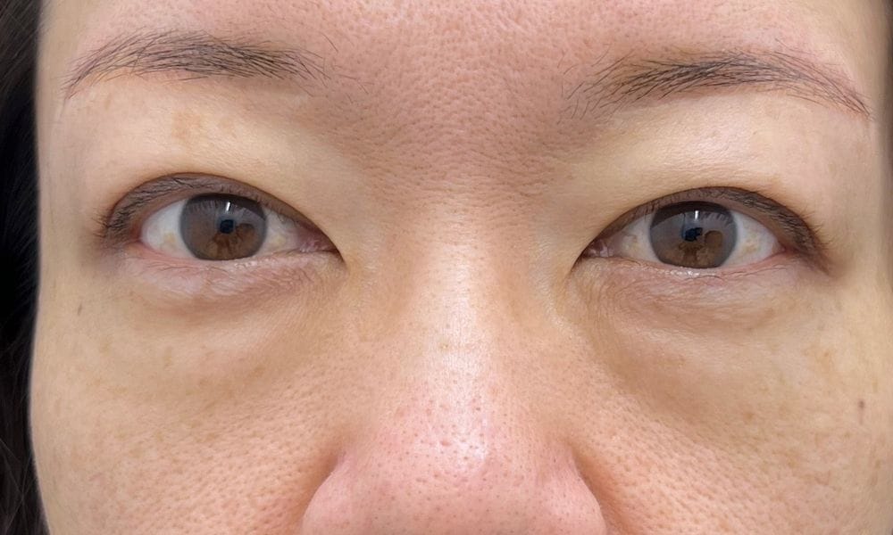
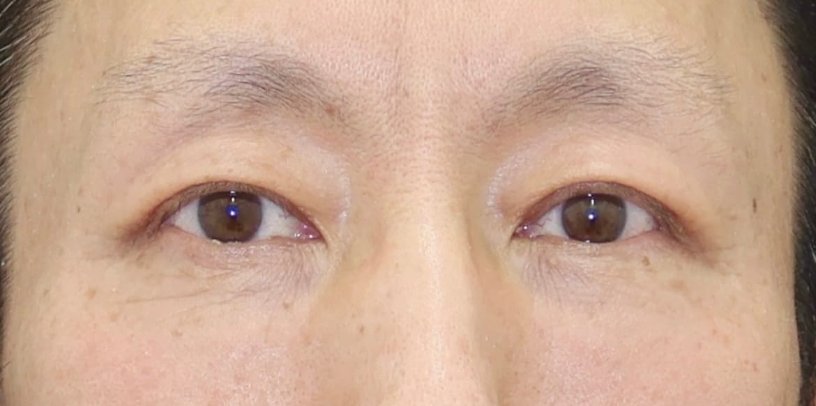
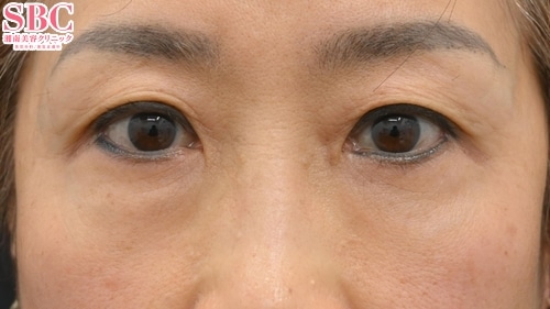
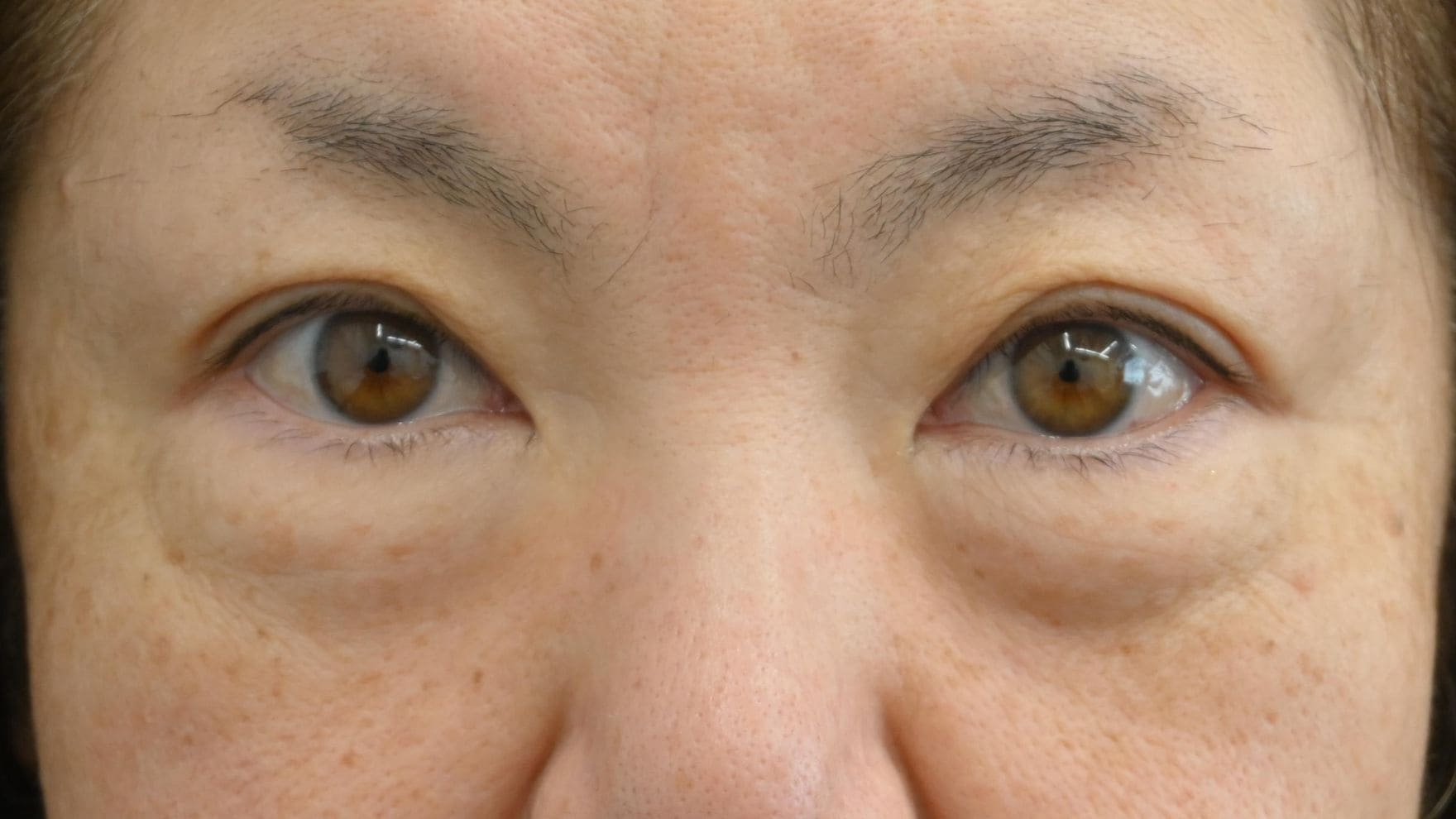
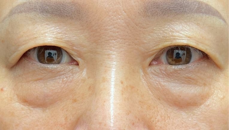
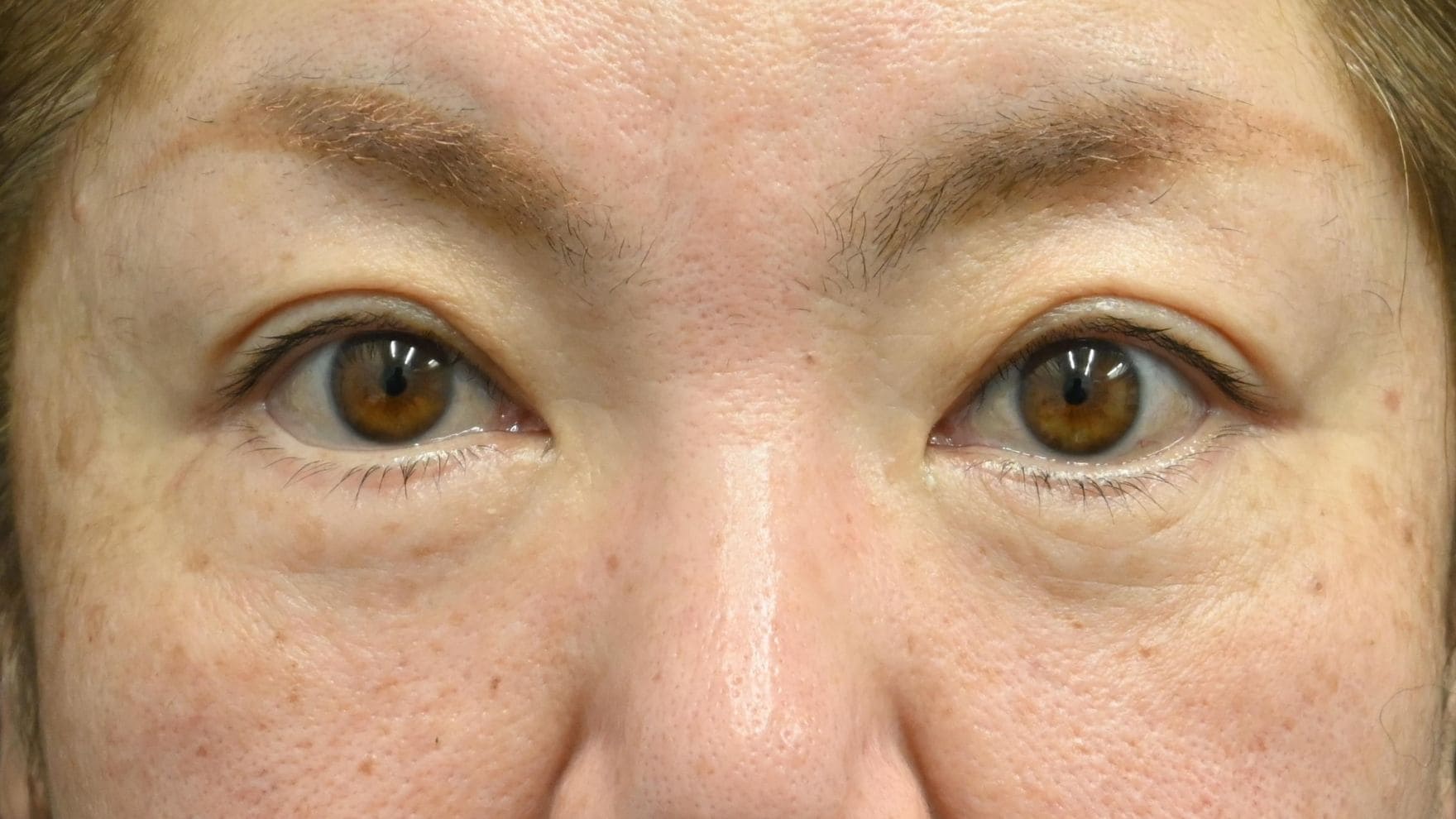
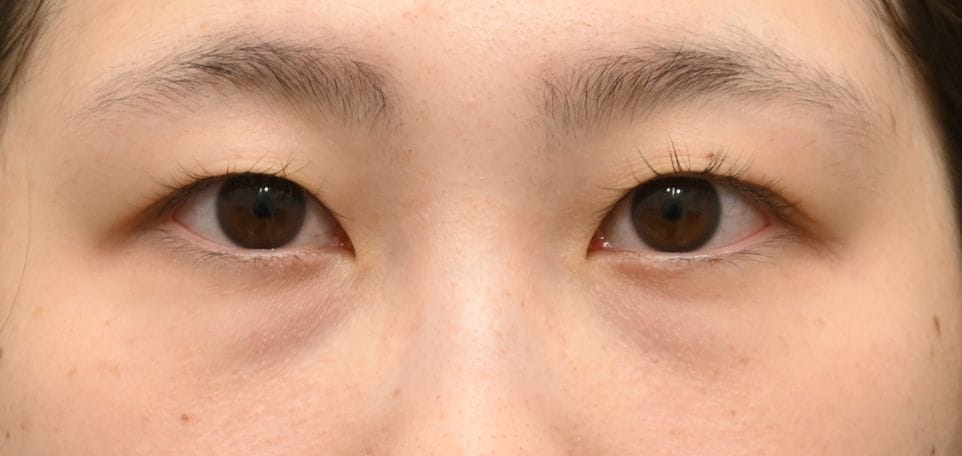
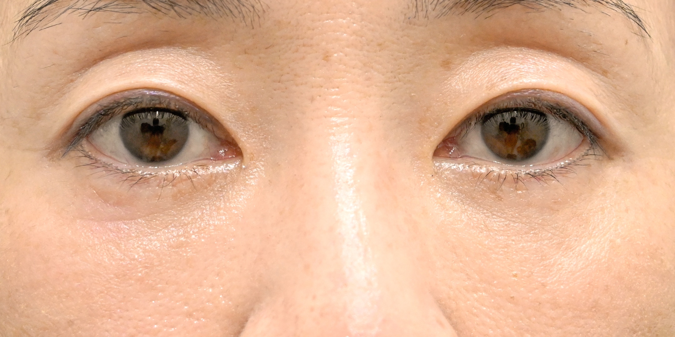
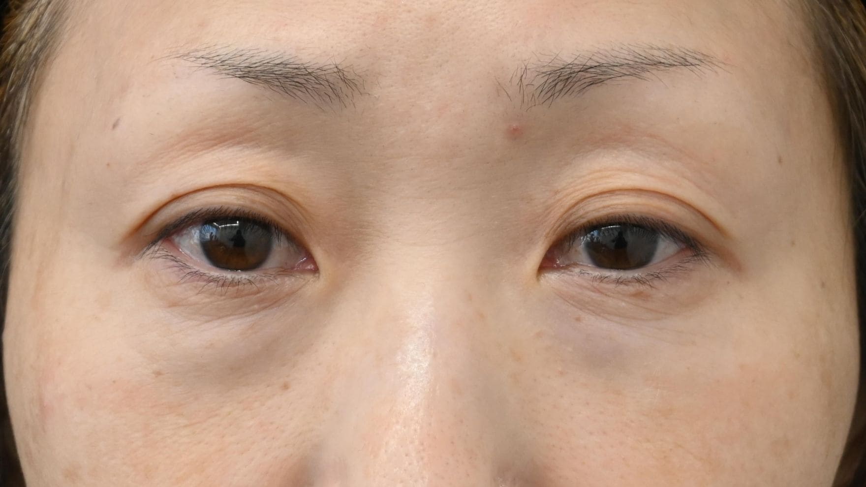
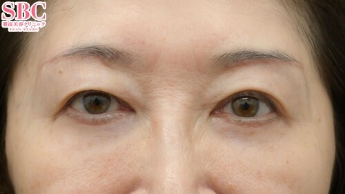
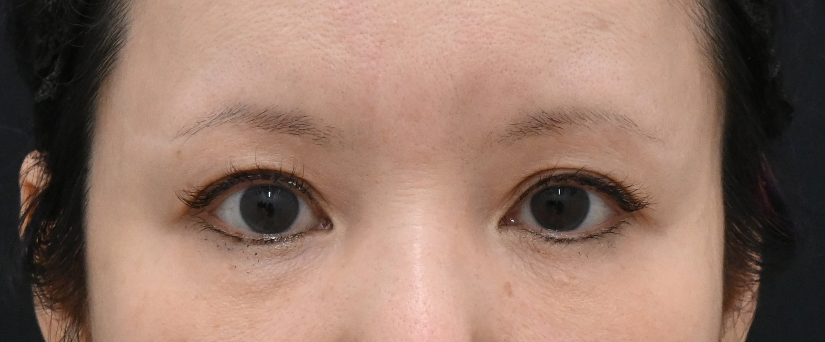
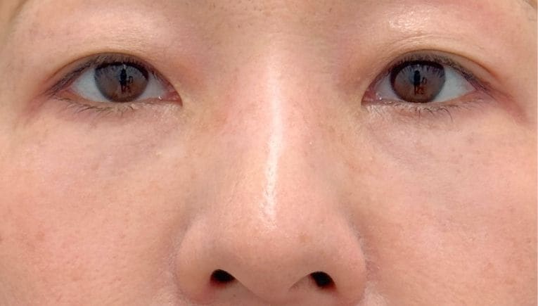
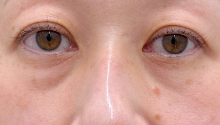
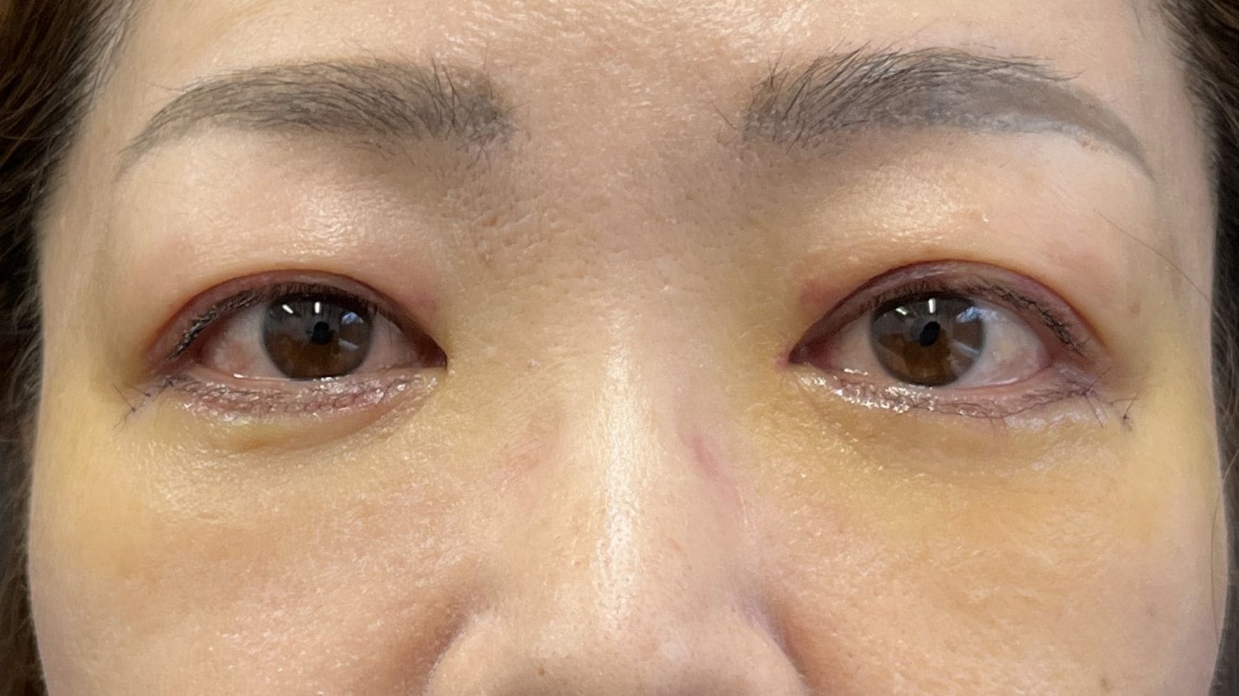
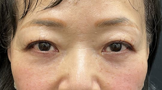
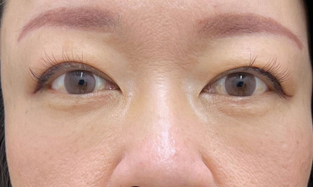
若返り / 目の下の切らないクマ・たるみ(ふくらみ)取り 他 No.359016
【51歳女性】目の下のクマ・たるみ取り+コンデンスリッチ(目の下・ゴルゴ)+ナノリッチ(目の下)+クイックコスメティークダブル
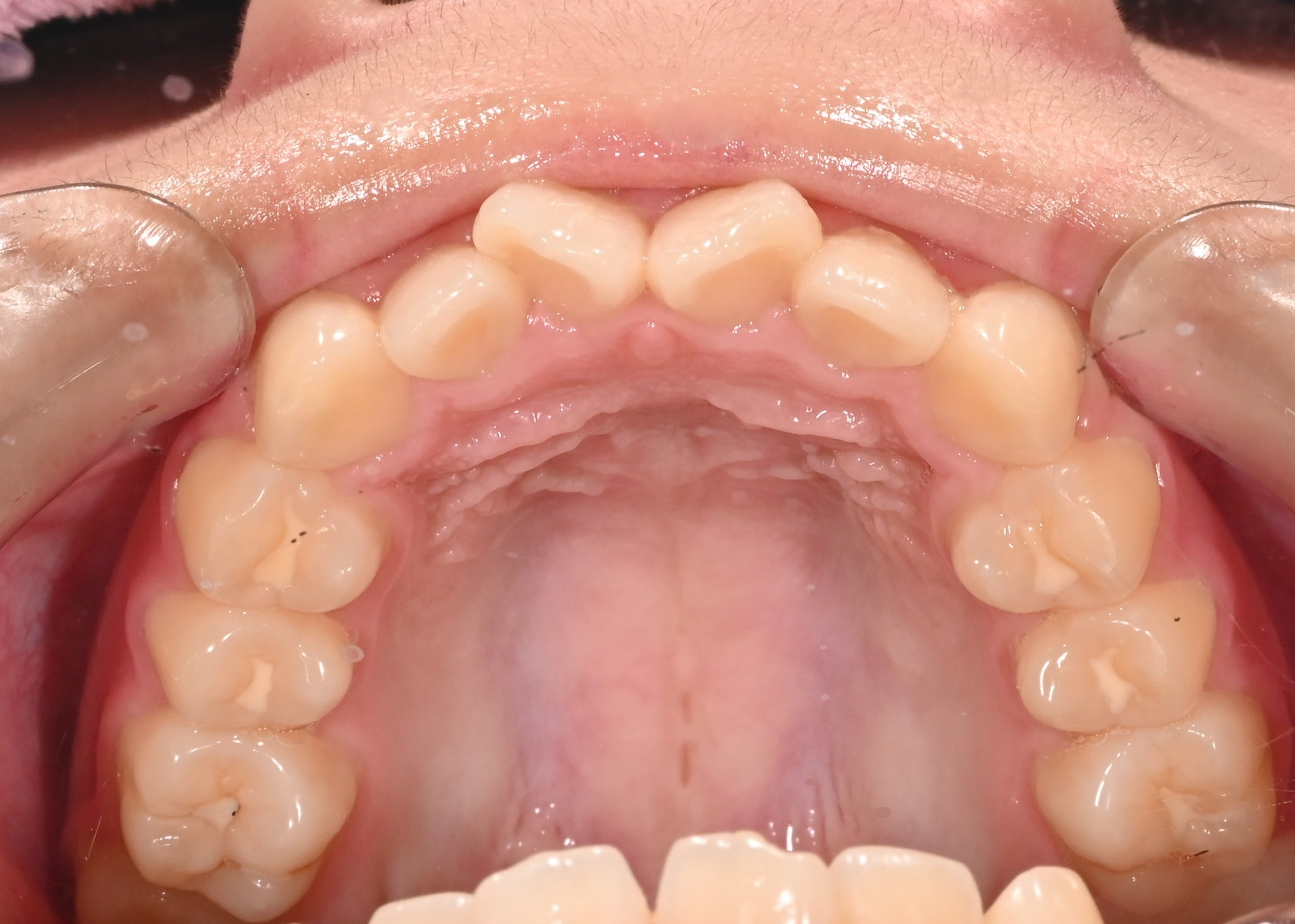
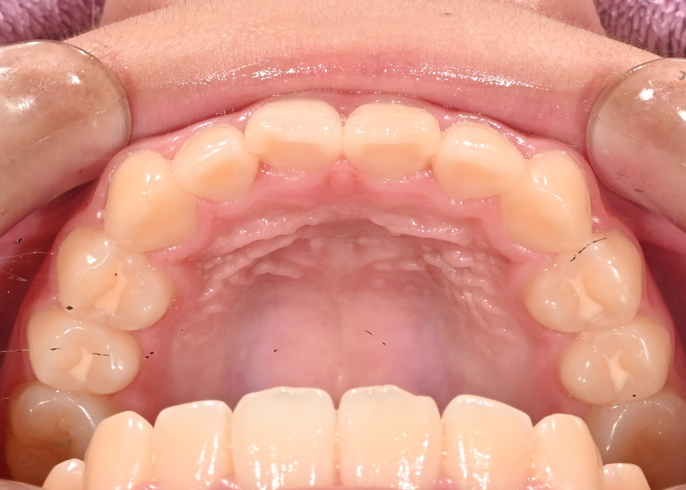
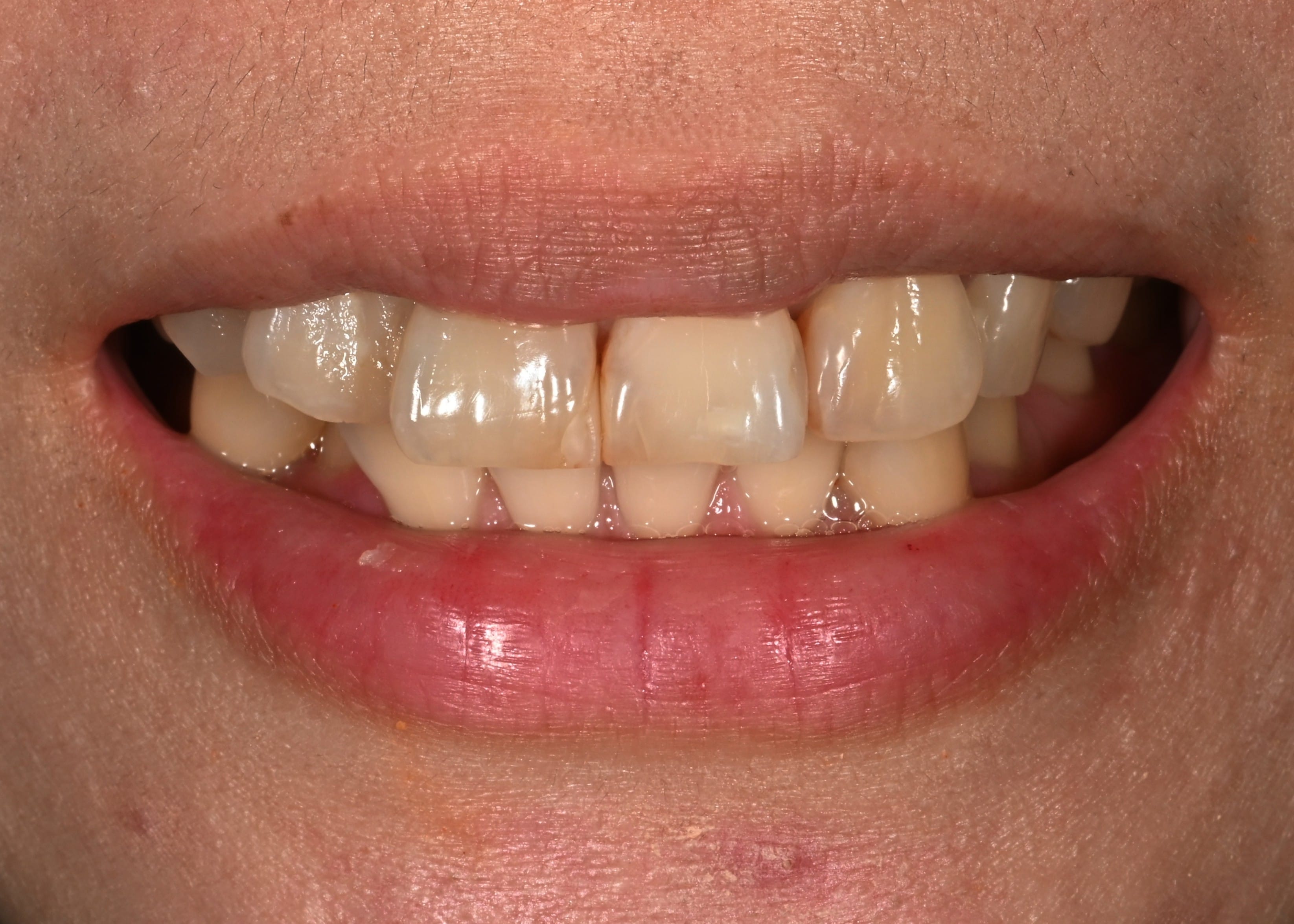
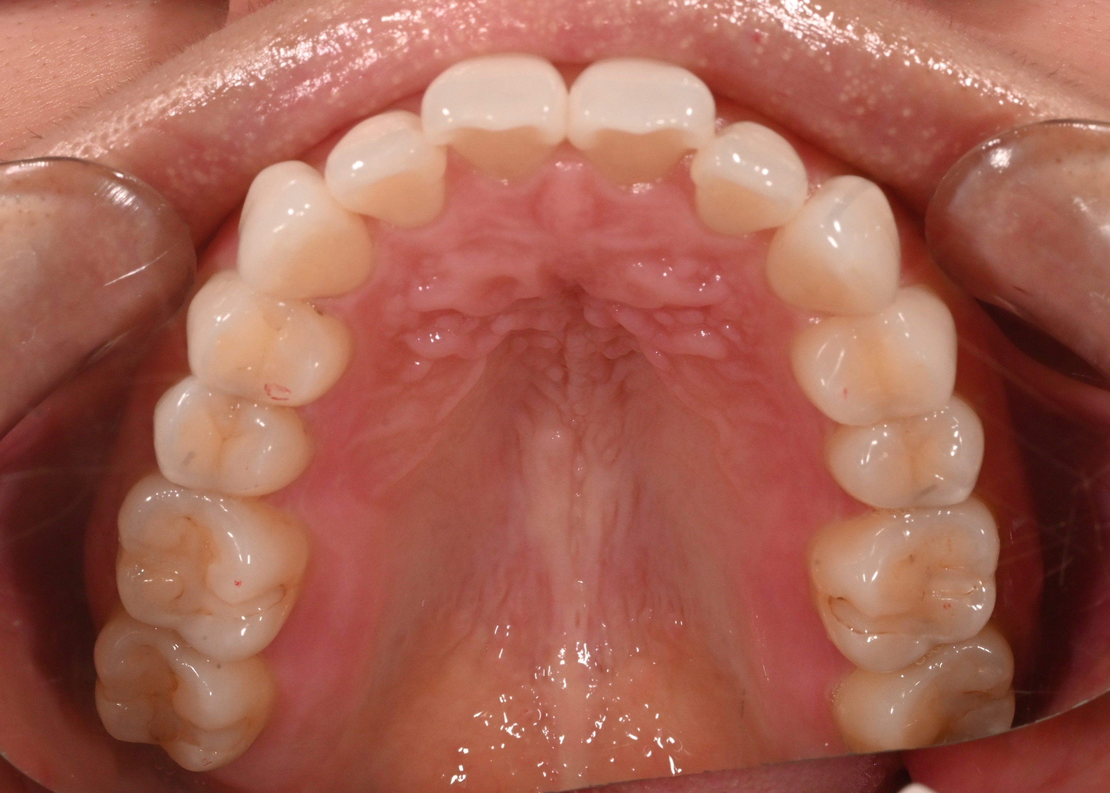
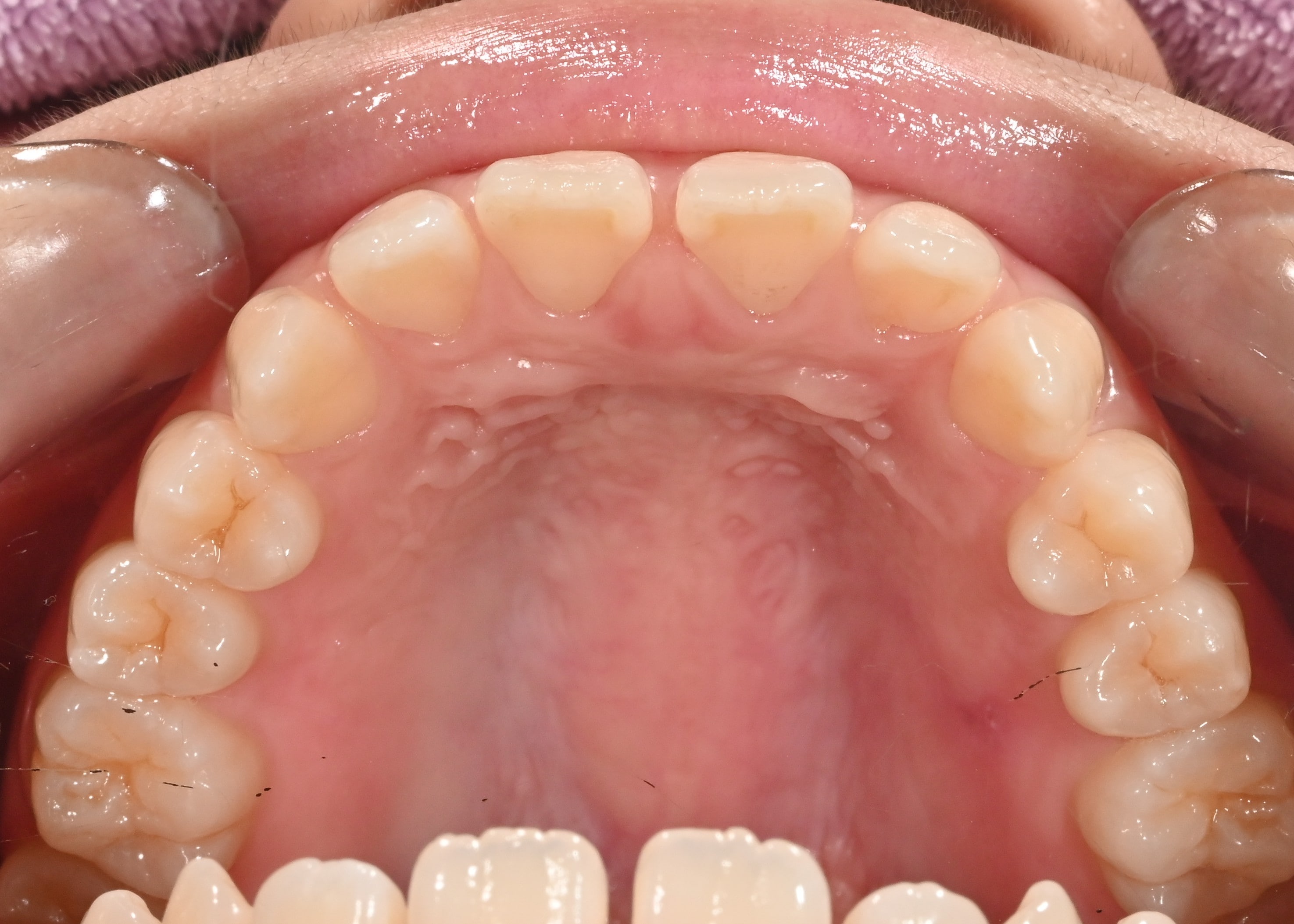
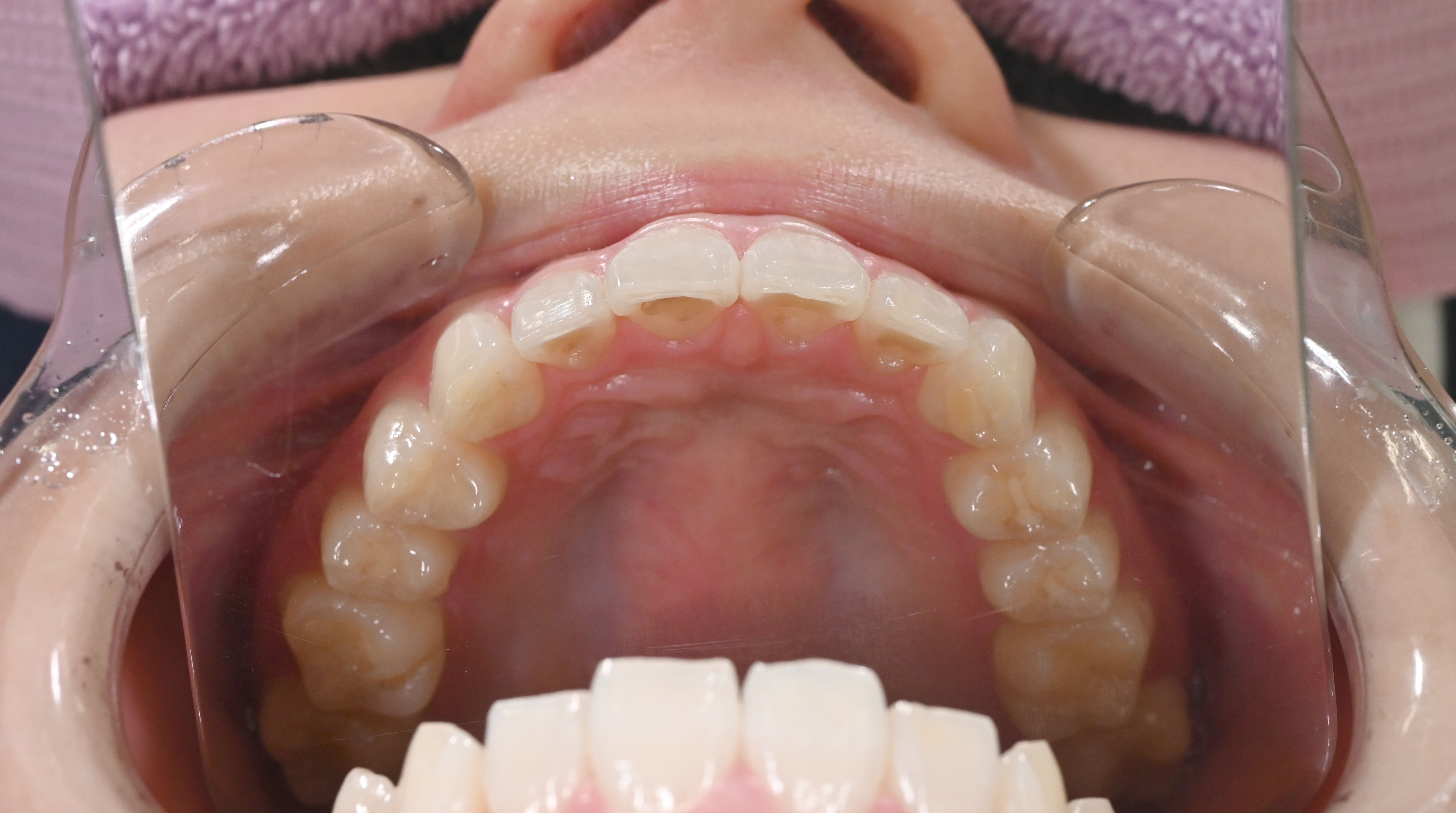
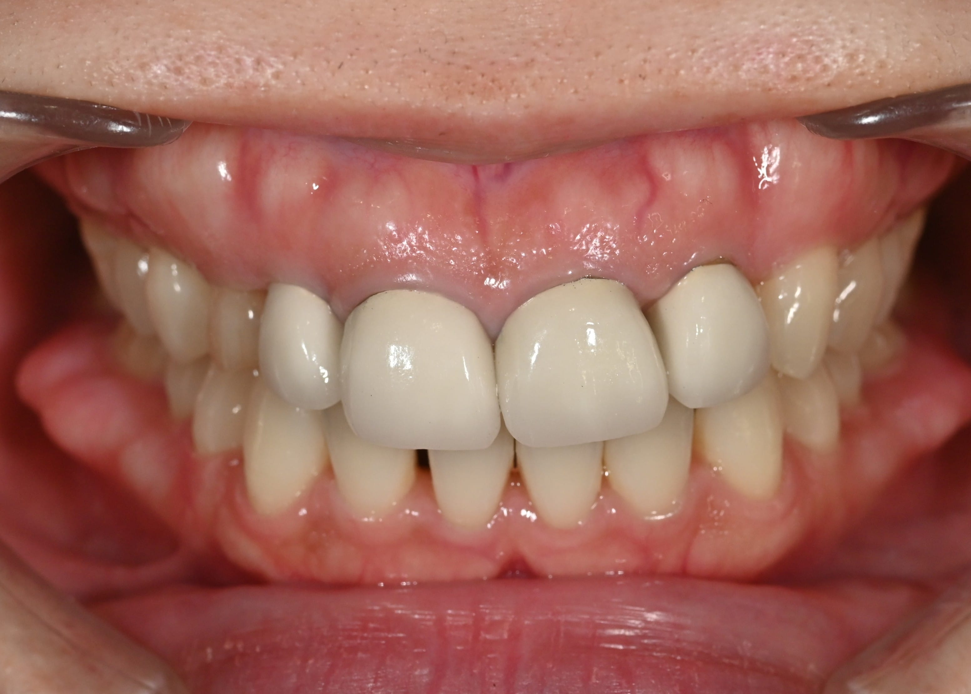
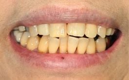
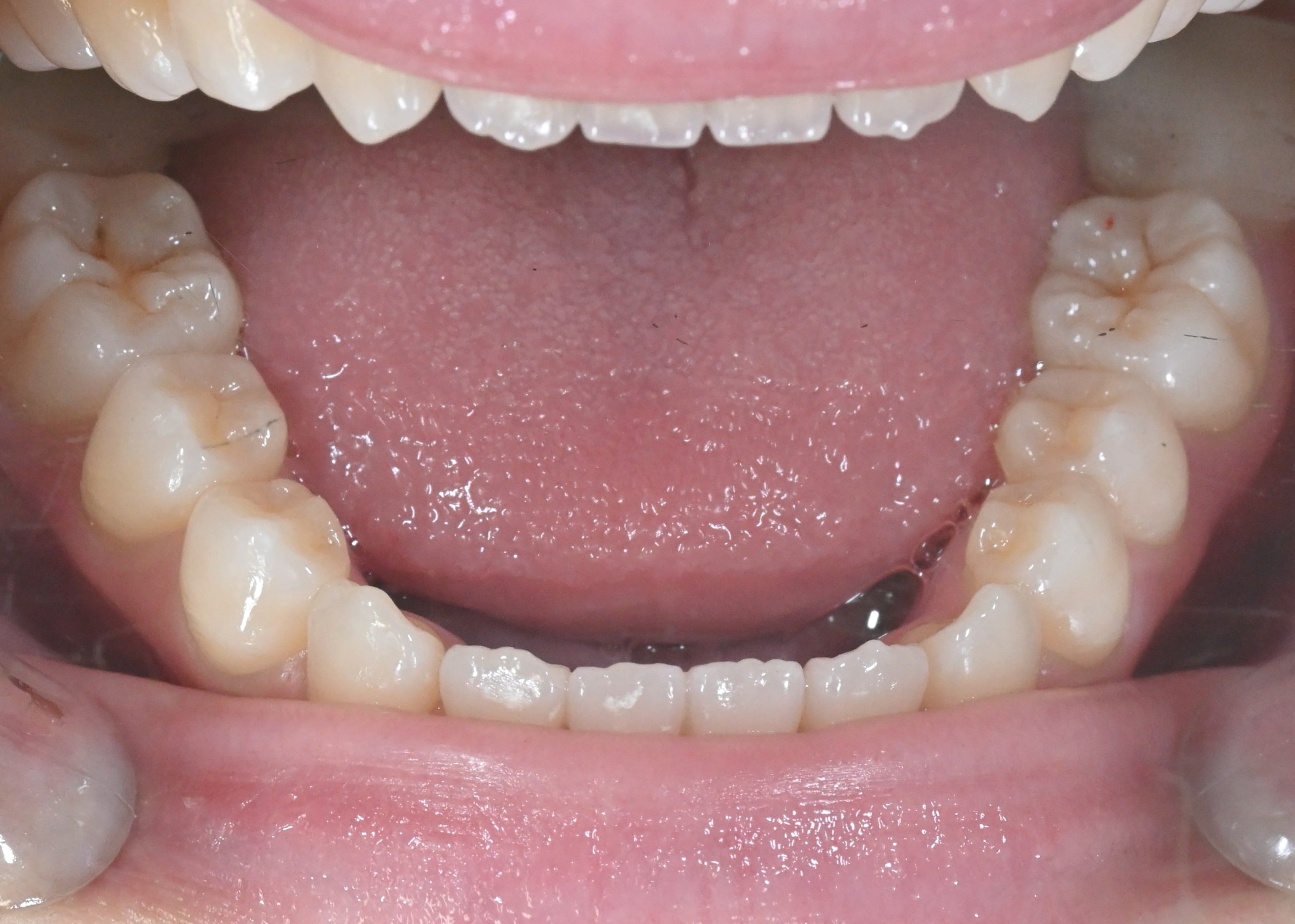
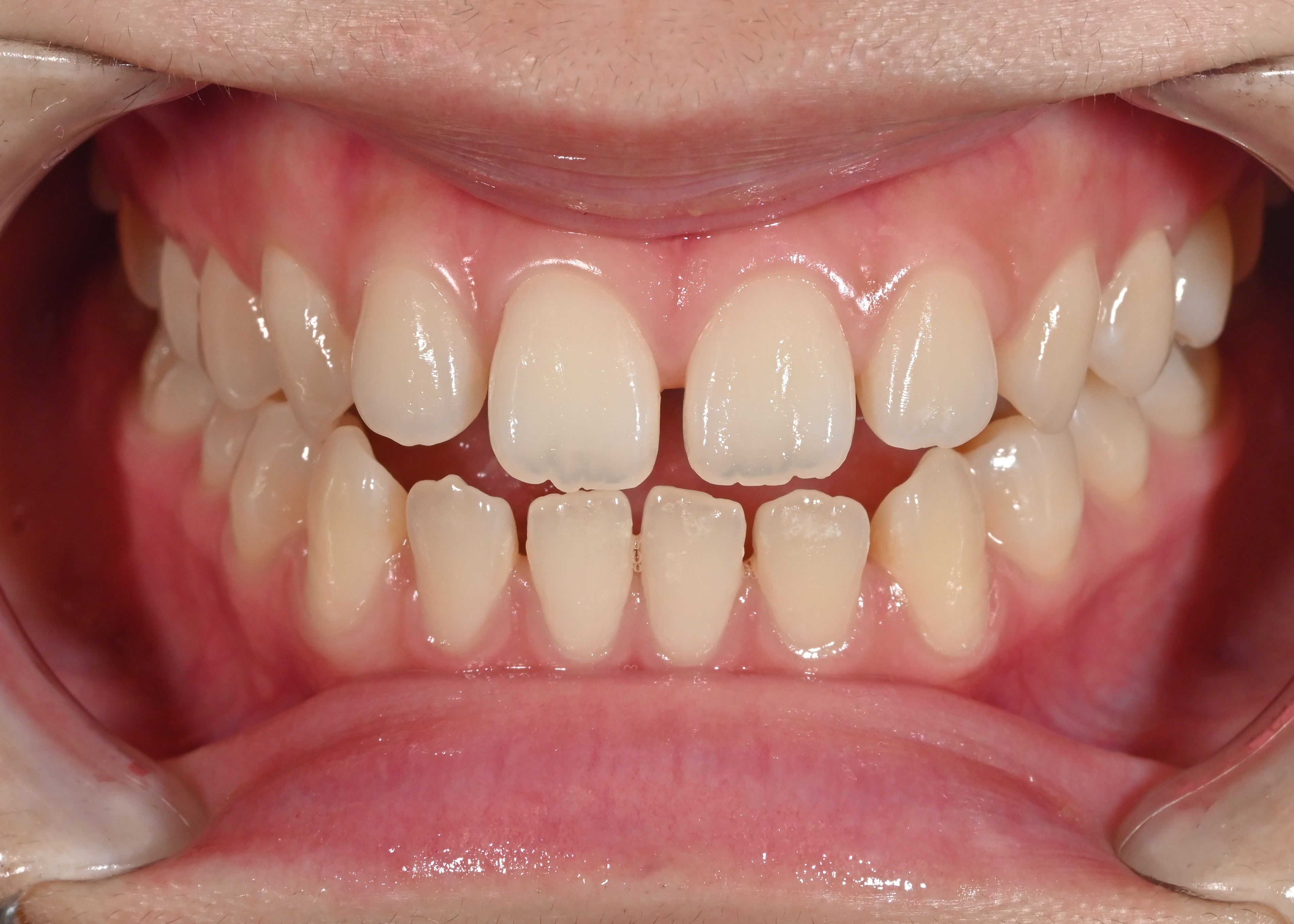
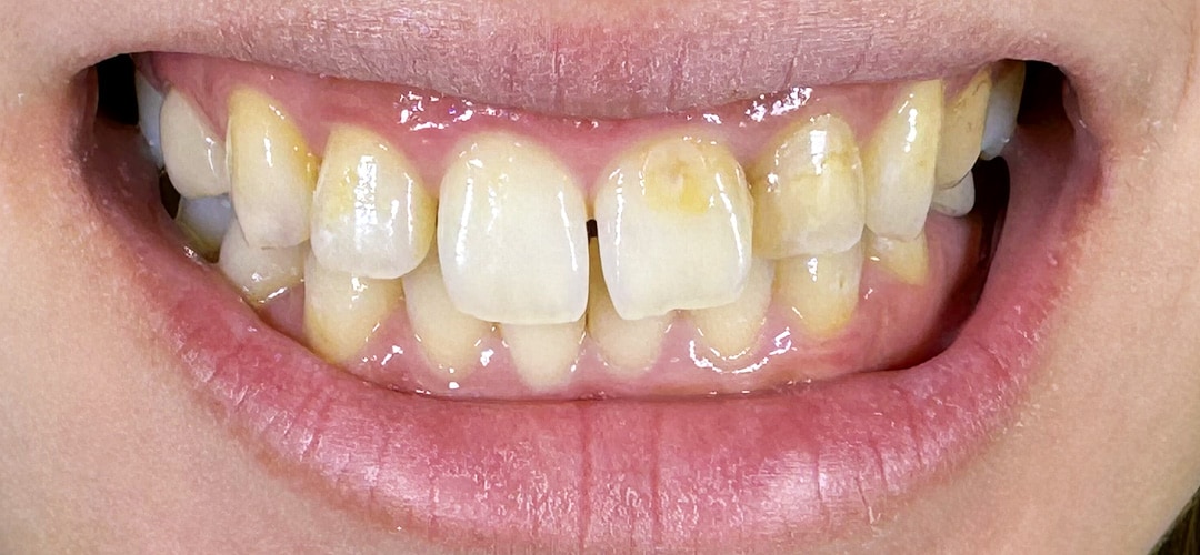
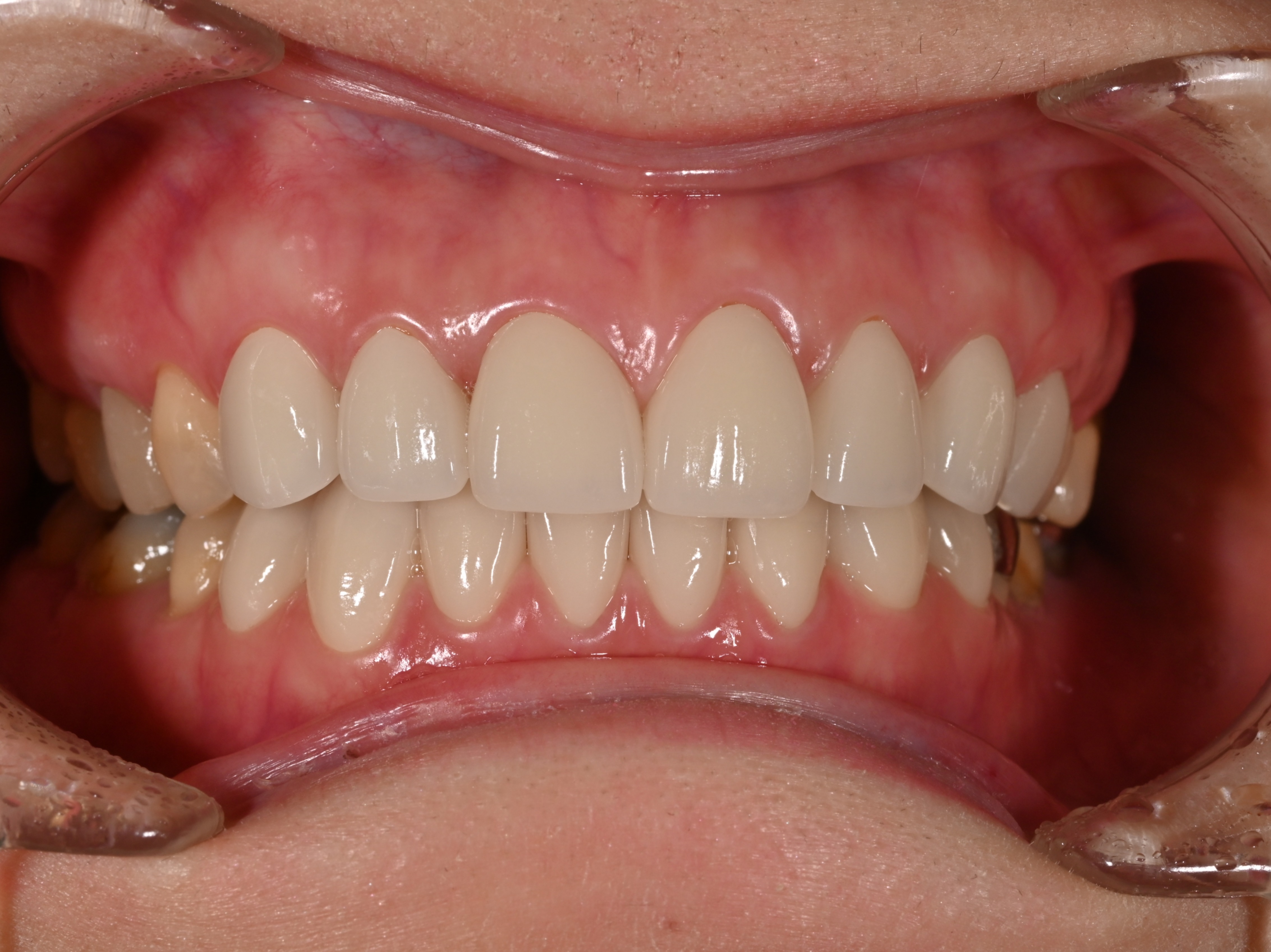
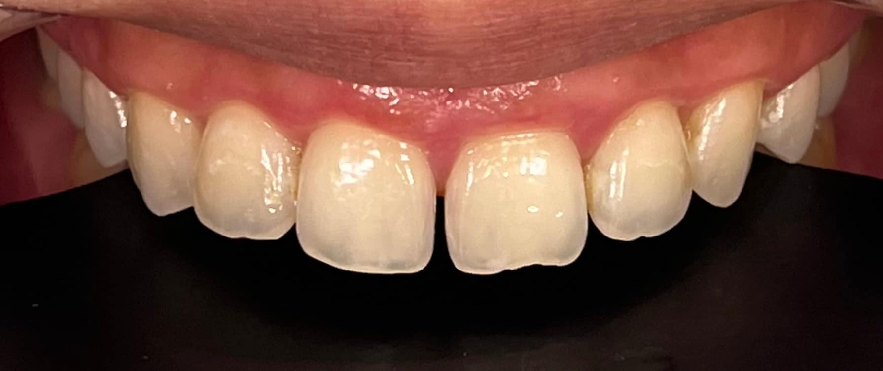
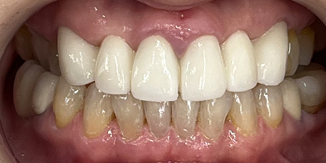
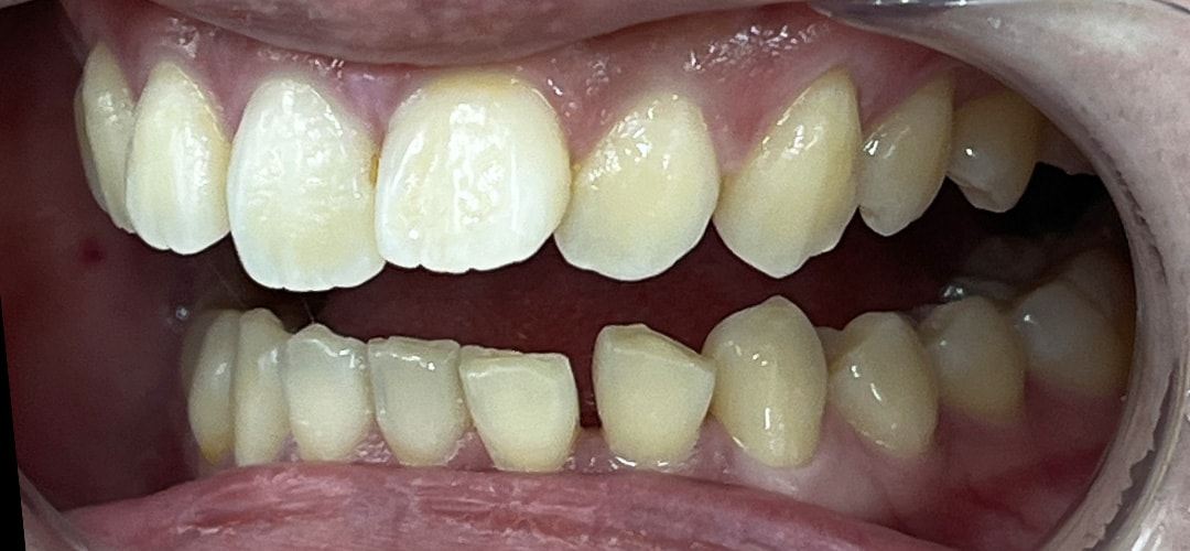
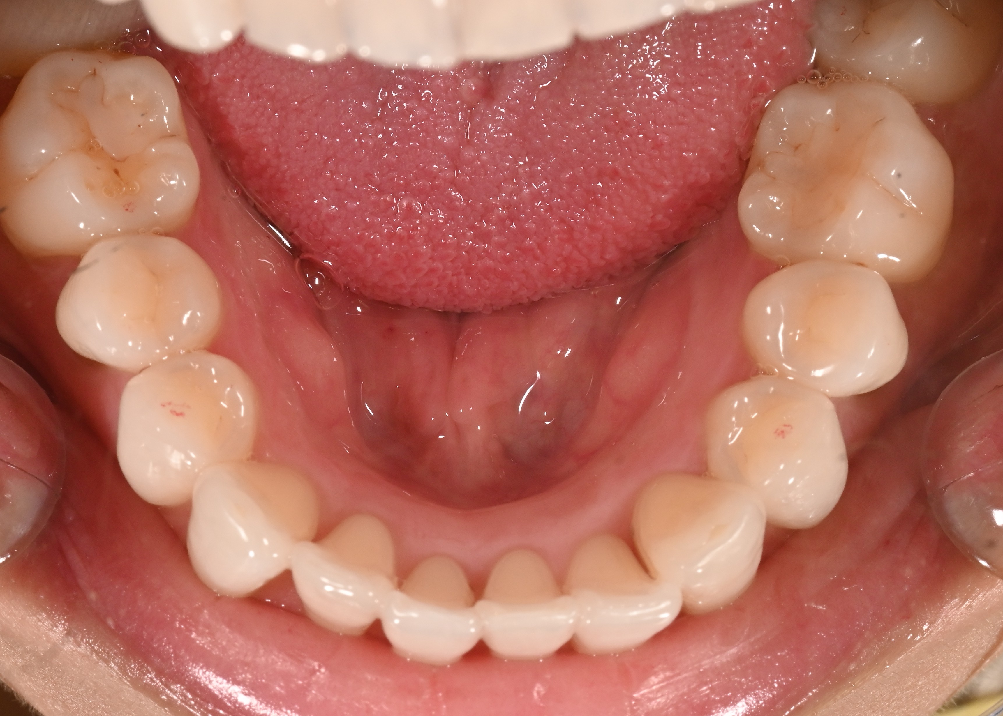
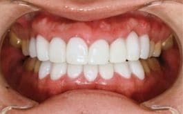
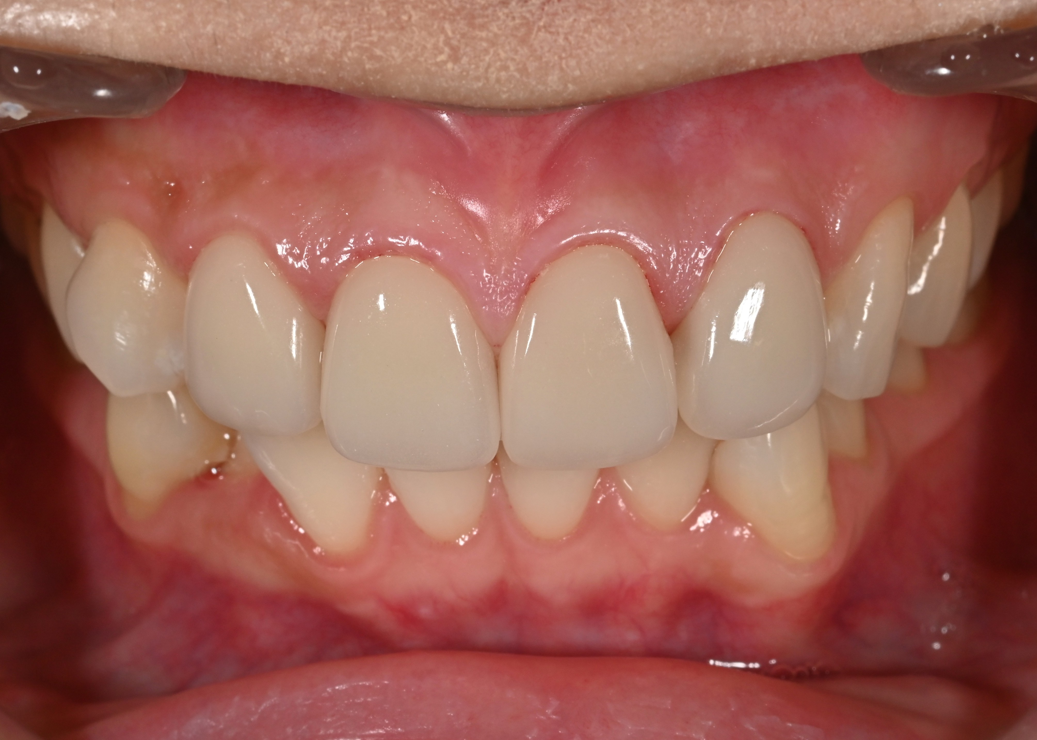
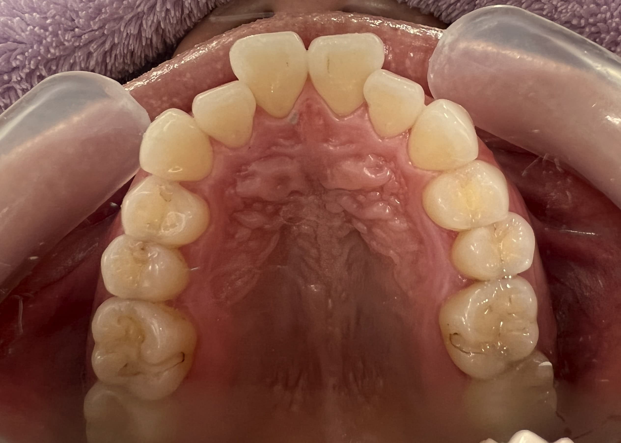
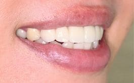
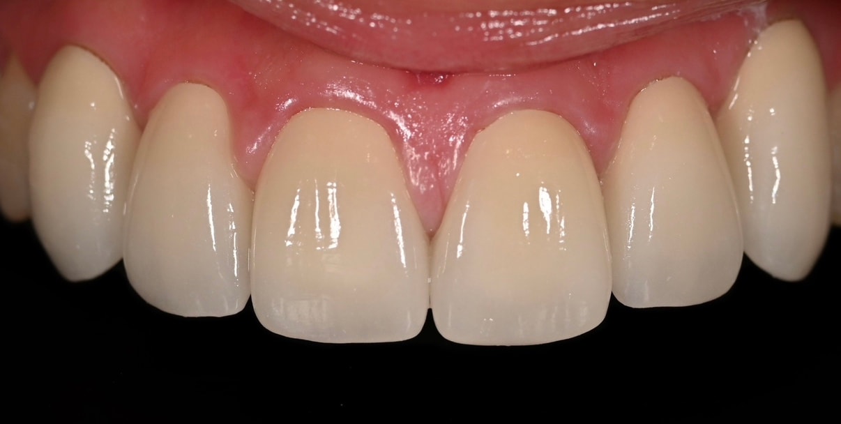
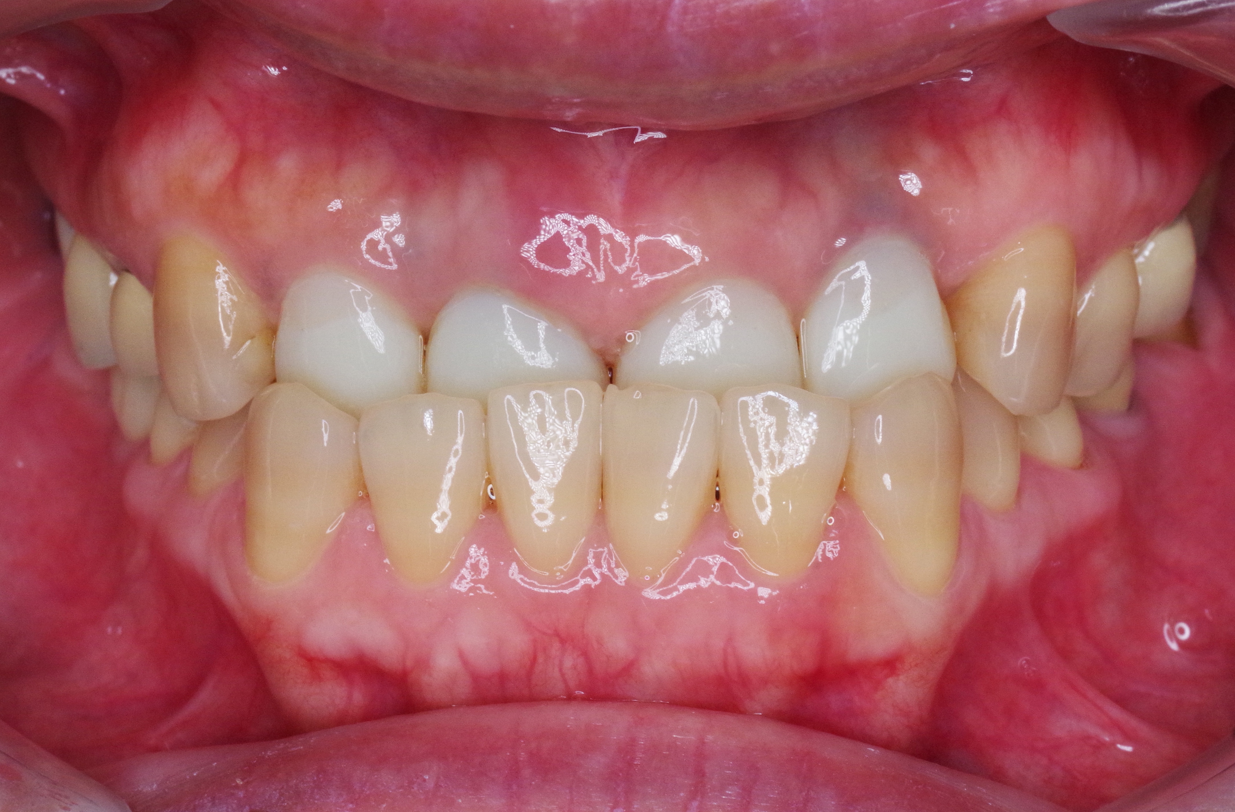
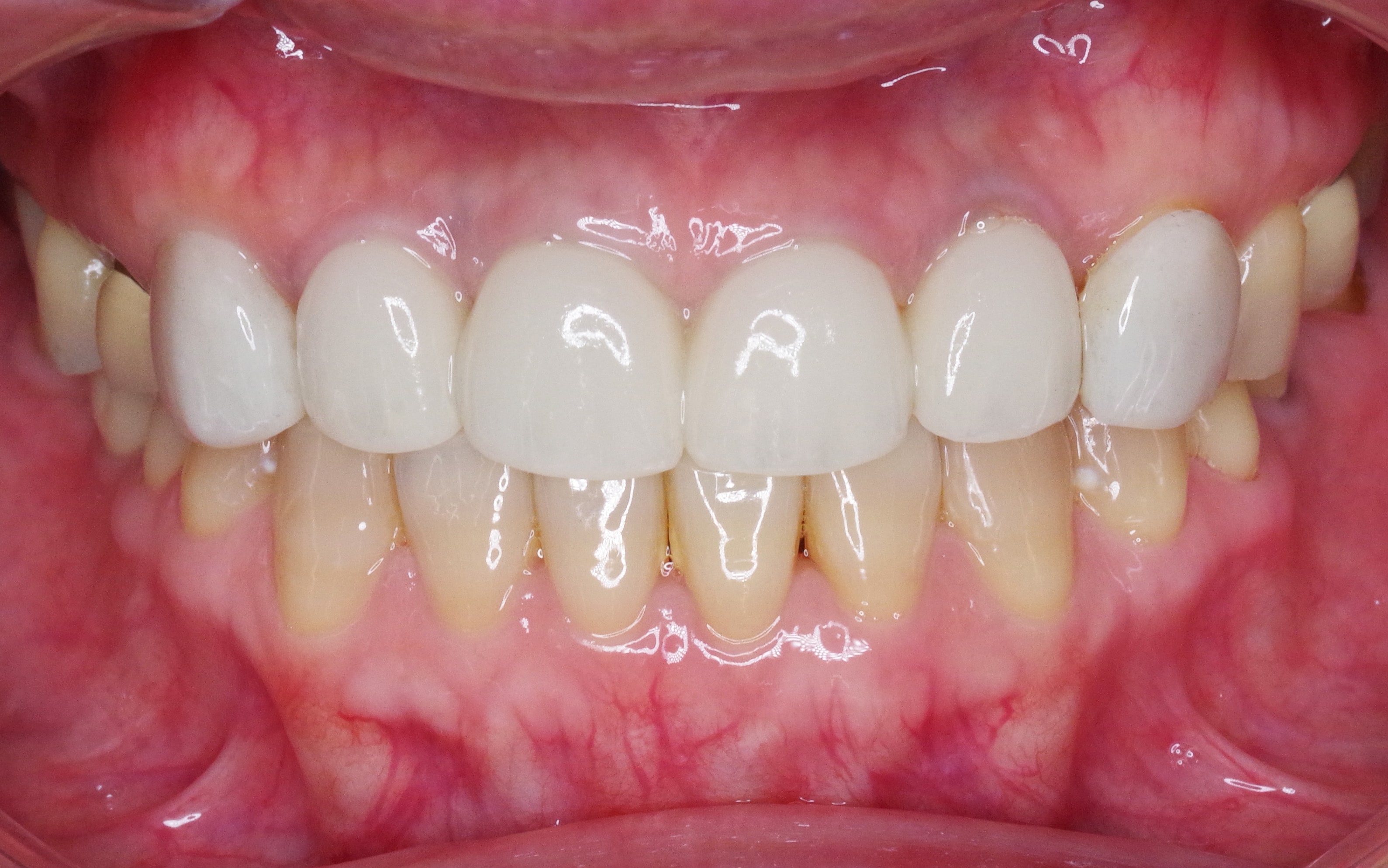
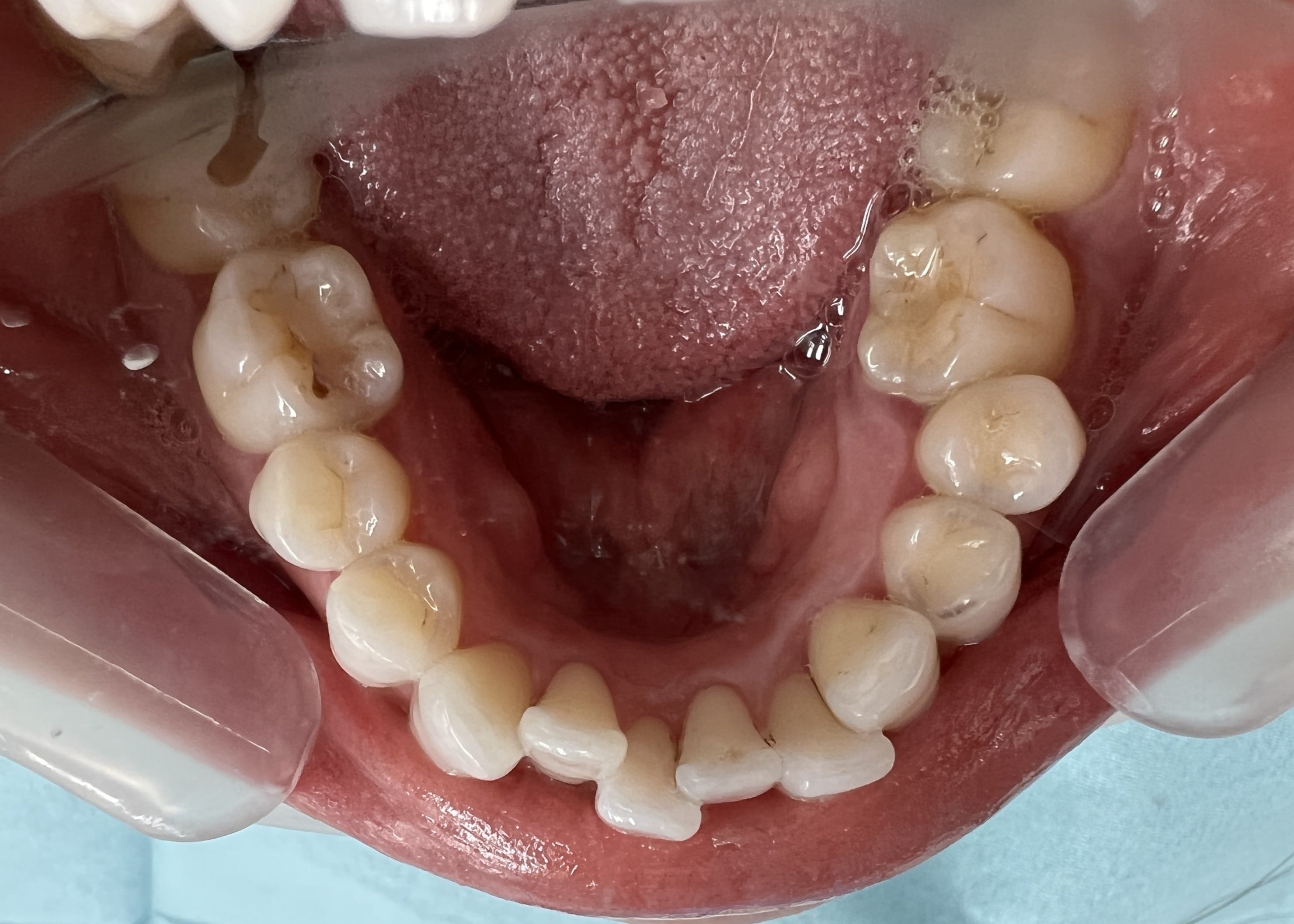
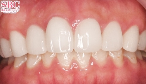
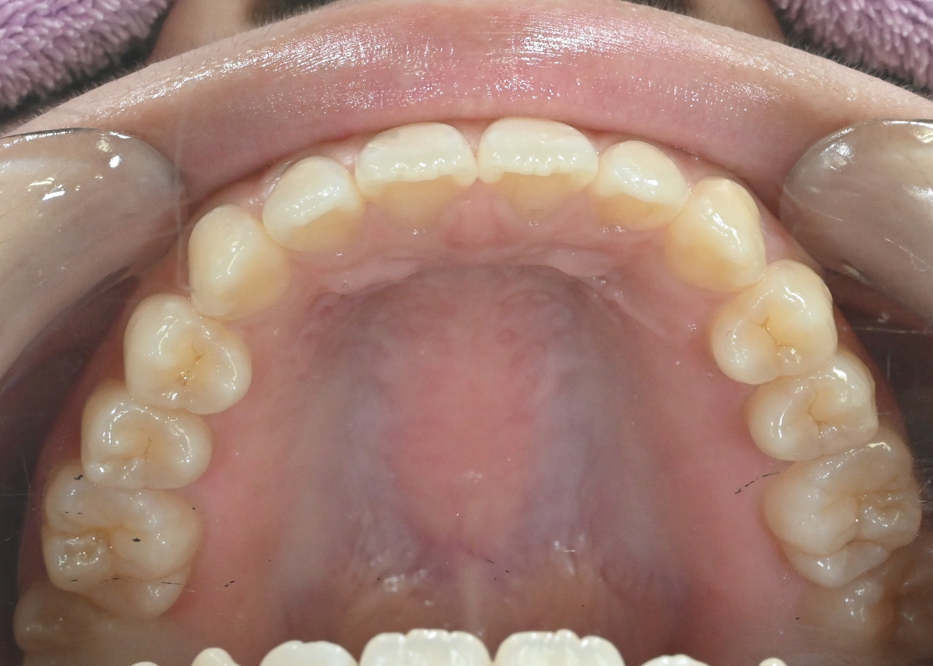
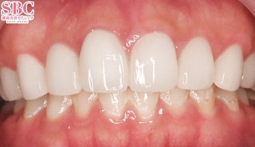
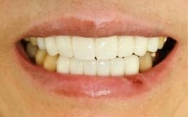
美容歯科 / マウスピース矯正 No.359015
前歯の捻じれとガタツキの劇的変化
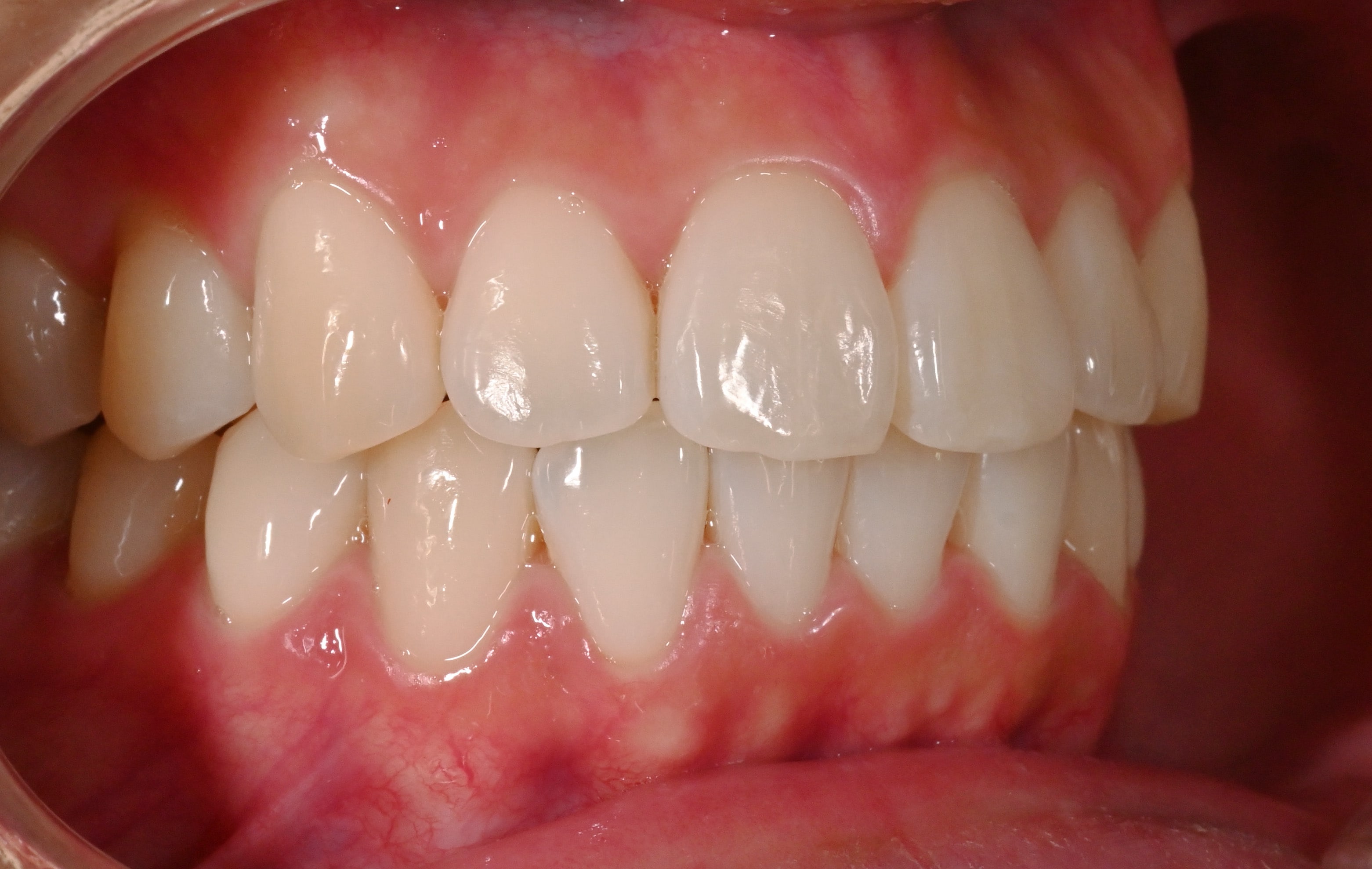
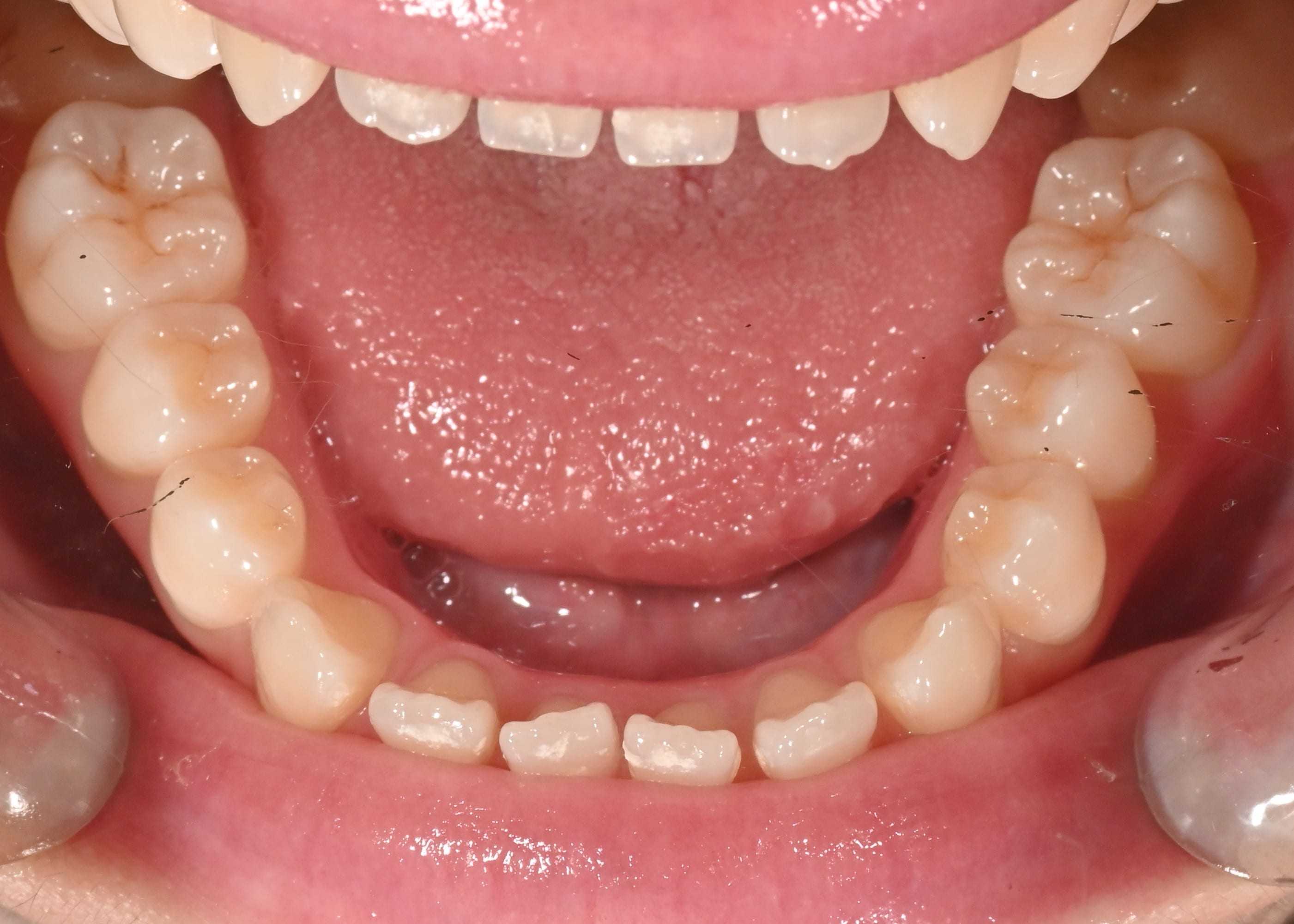
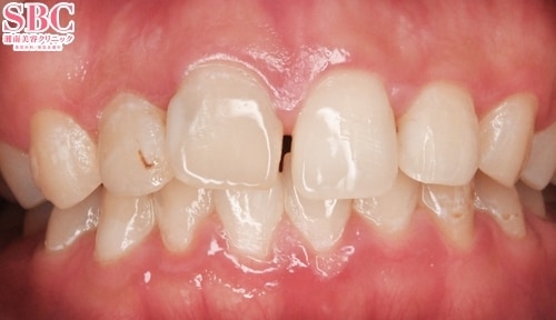
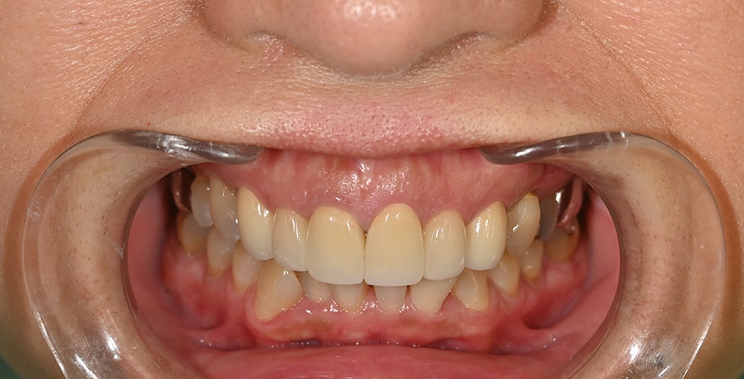
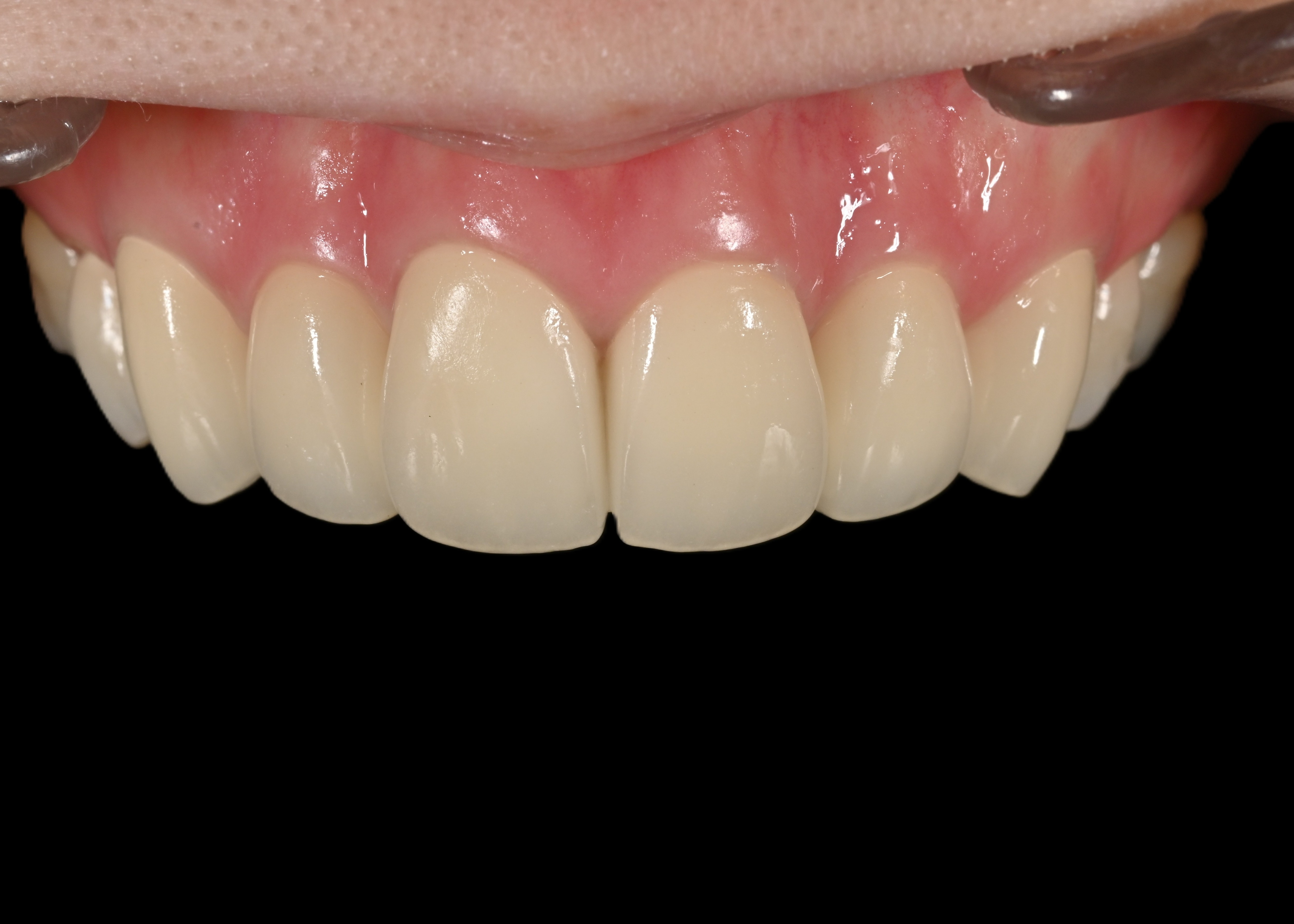
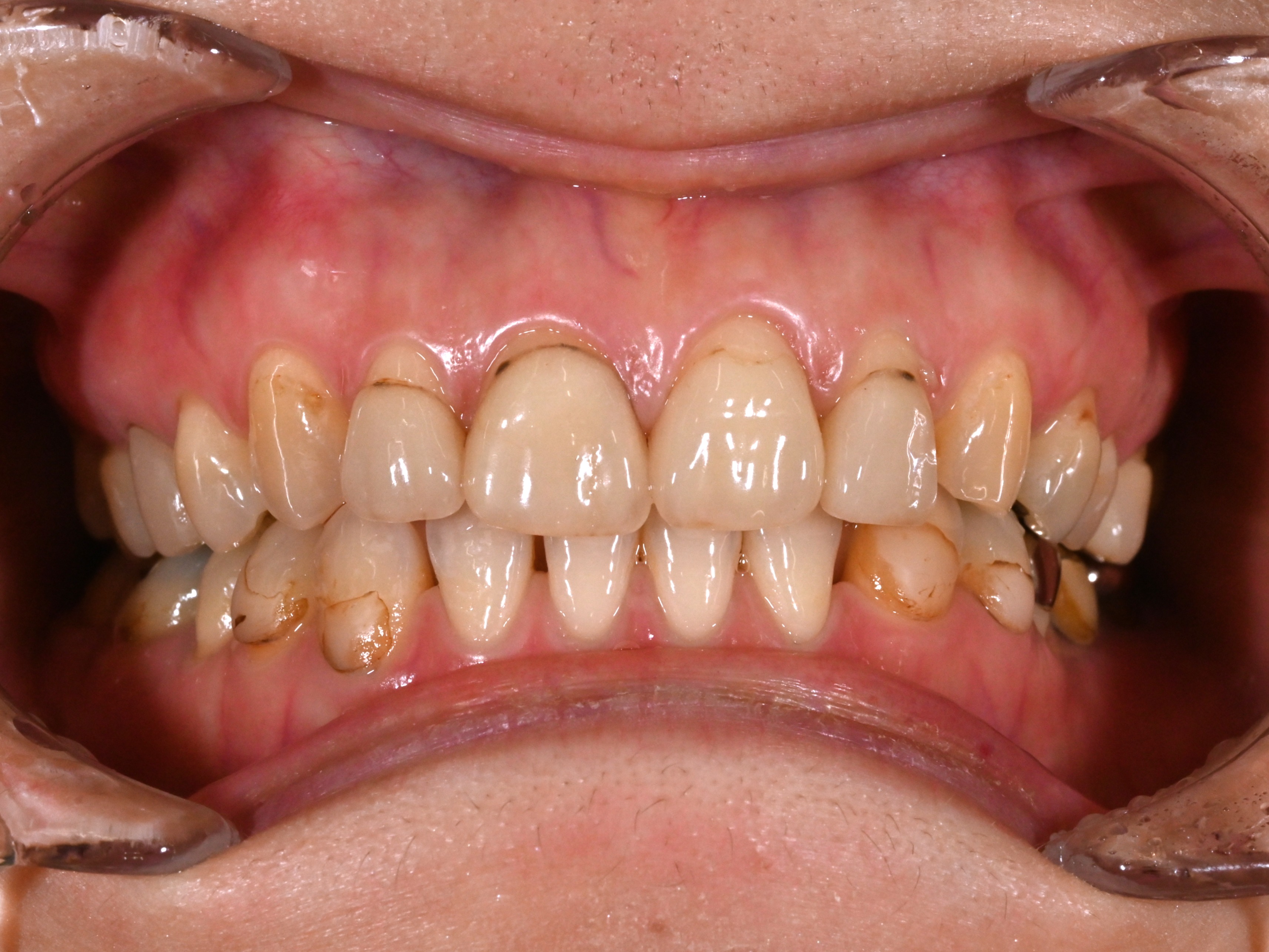
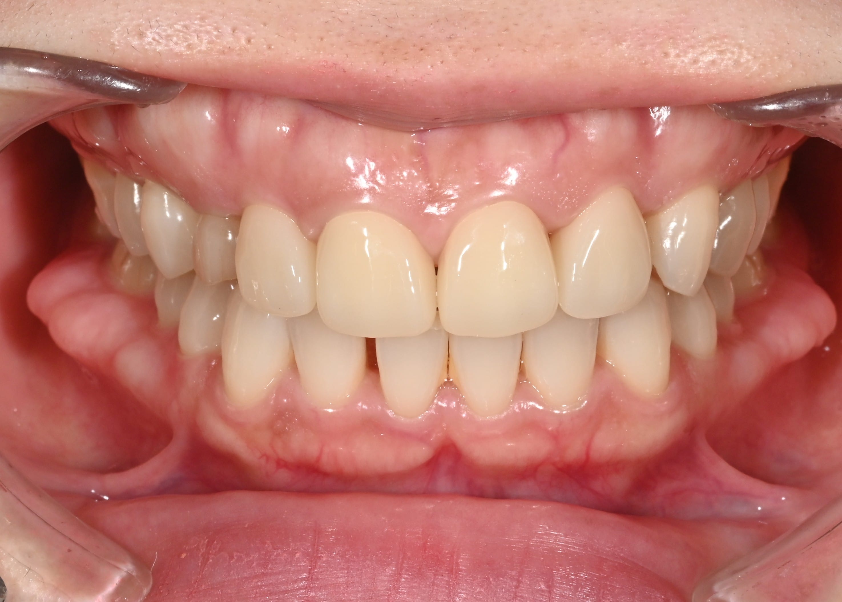
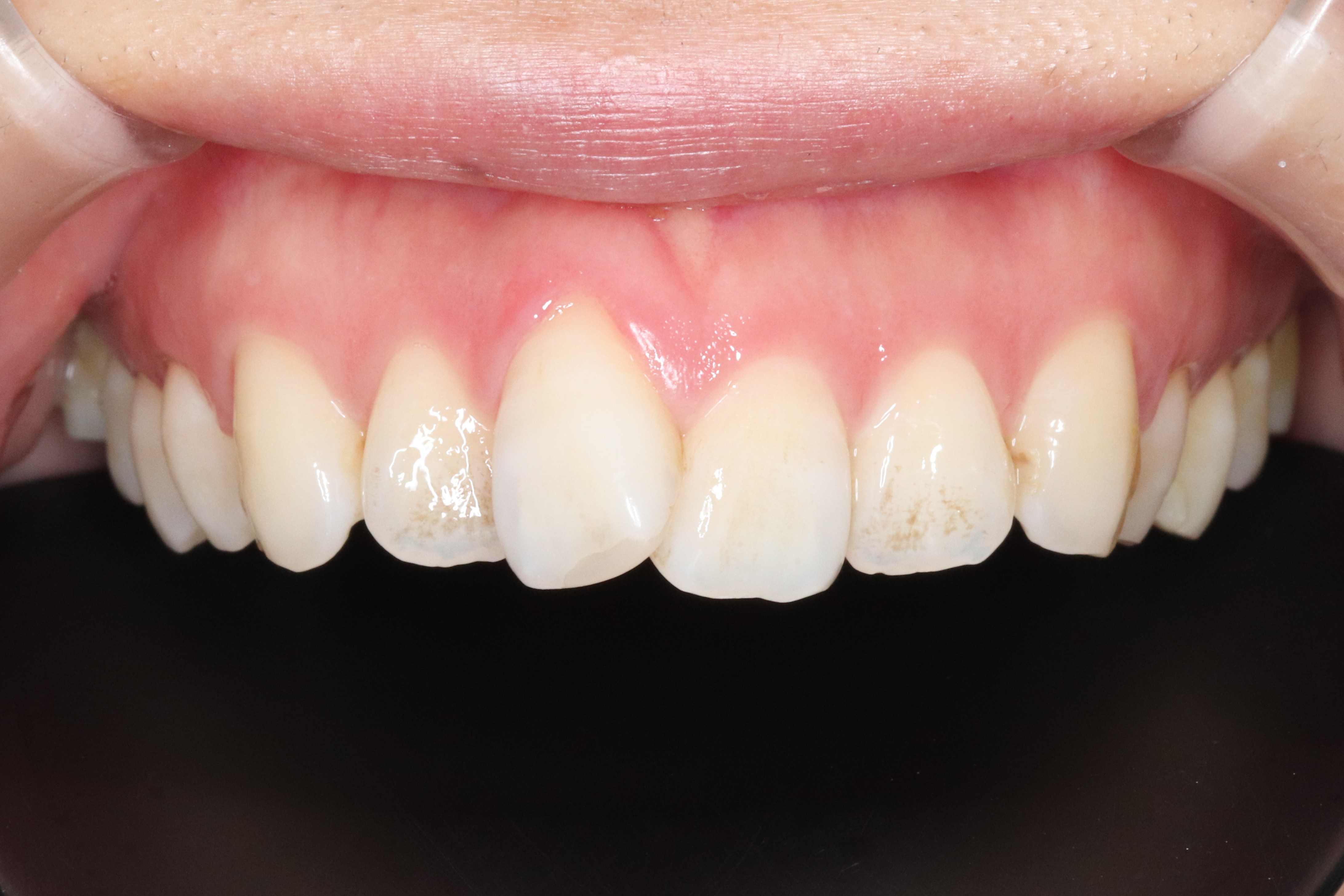
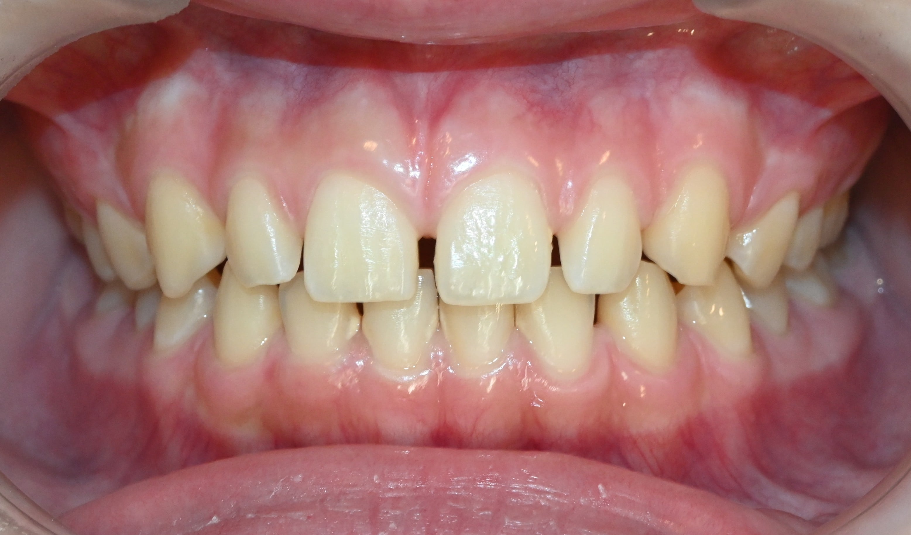
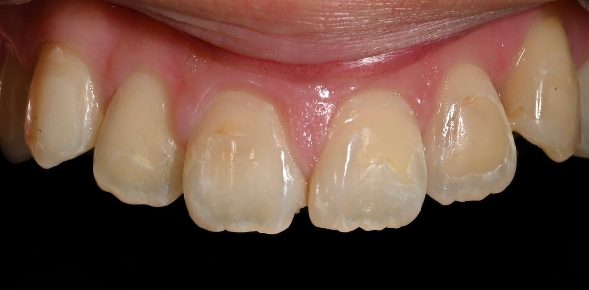
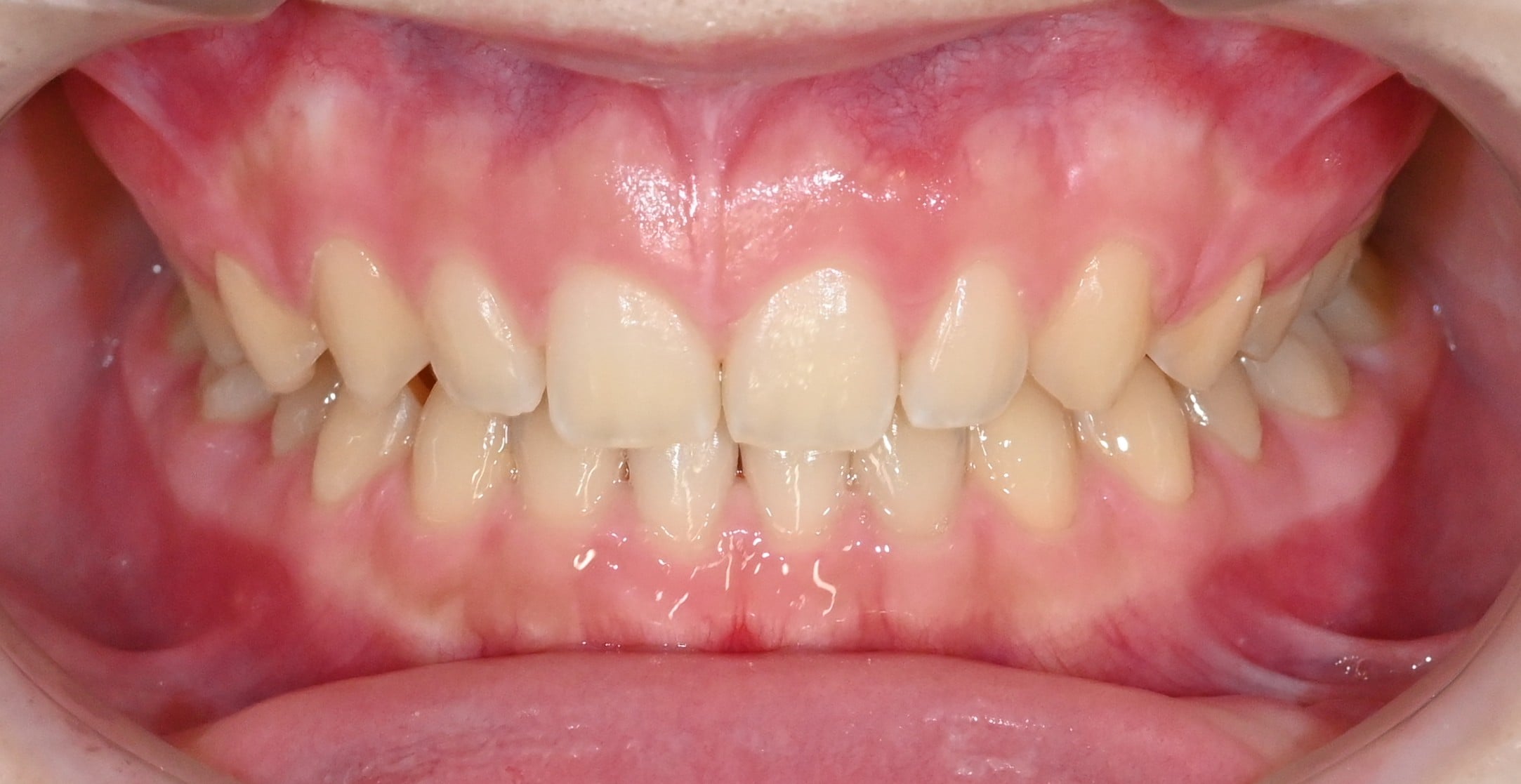
美容歯科 / マウスピース矯正 No.359014
前歯の捻じれとガタツキの劇的変化
AGA薄毛治療 / 毛根再生注射 他 No.359013
毛根再生注射3ヶ月後
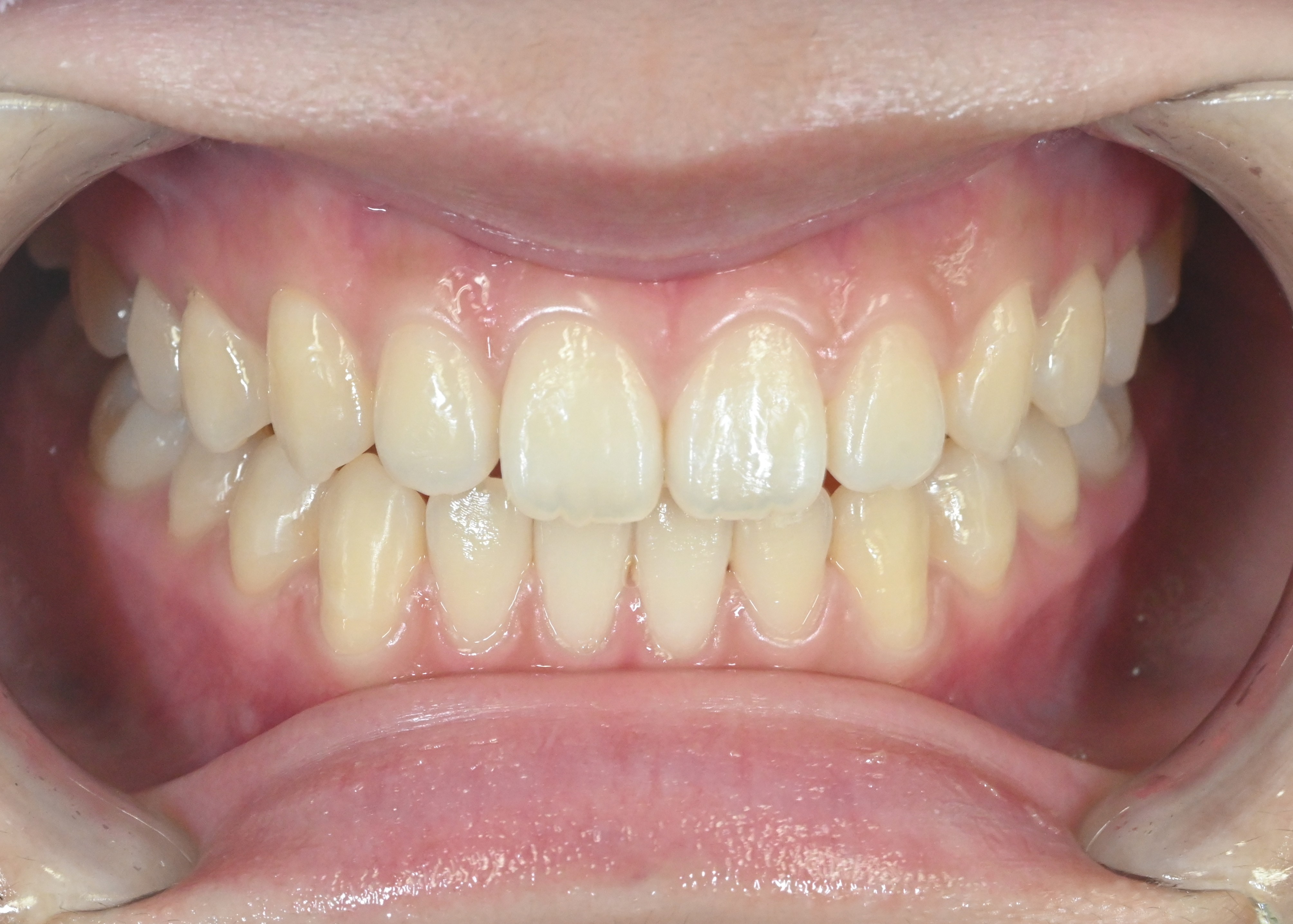
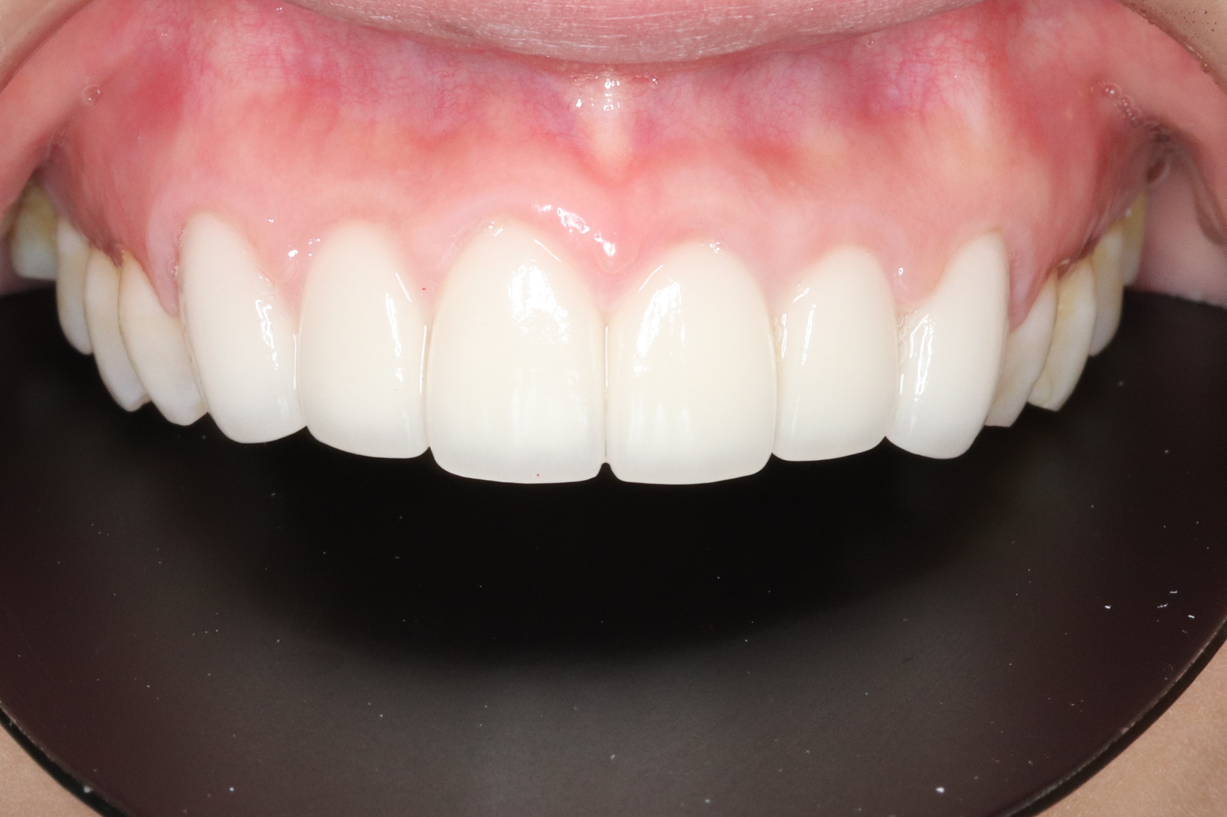
美容歯科 / マウスピース矯正 No.359012
前歯の捻じれとガタツキの劇的変化
美容歯科 / マウスピース矯正 No.359011
前歯の捻じれとガタツキの劇的変化
美容歯科 / マウスピース矯正 No.359010
前歯の捻じれとガタツキの劇的変化
脂肪吸引 / 小顔用脂肪吸引注射 No.359009
【脂肪吸引注射(ホホ・ジョールファット・あご下)+エンブレイスRF】【26歳女性】全国から指名多数!小草医師によるダウンタイム最小、効果最大の脂肪吸引注射【術後3ヶ月】
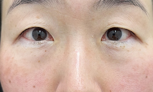
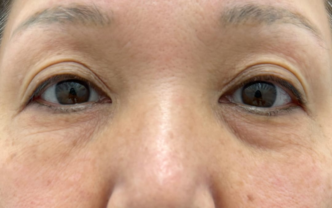
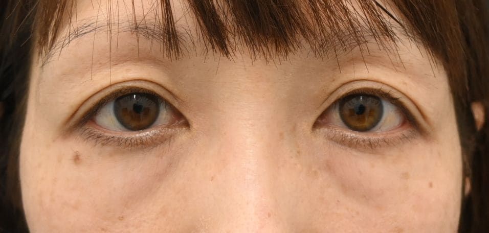
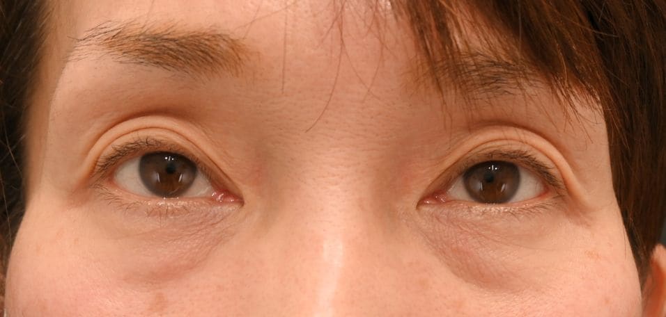
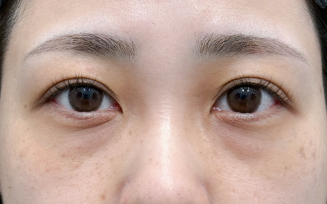
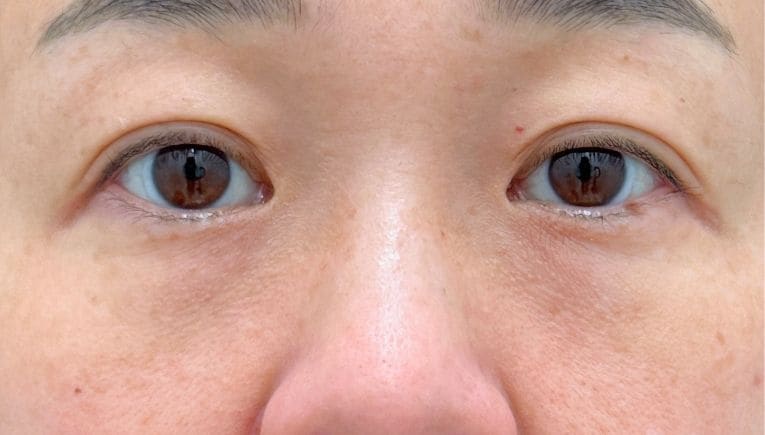
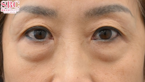
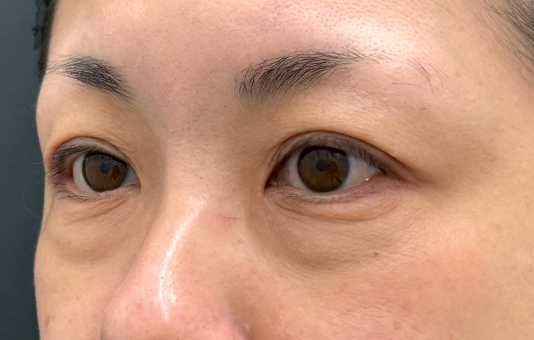
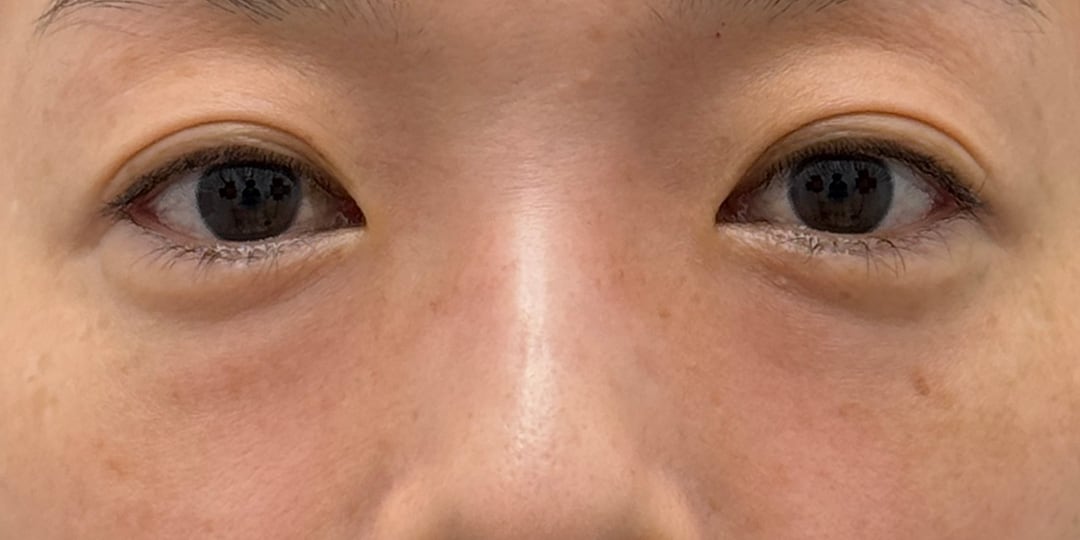
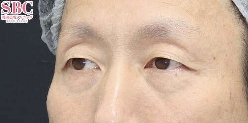
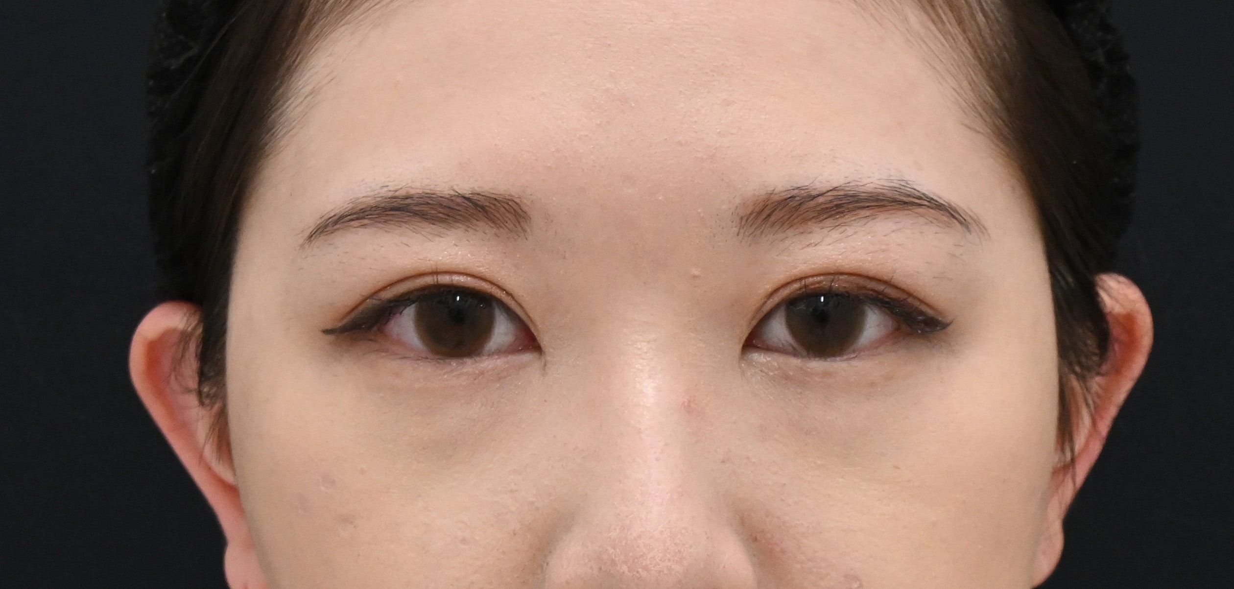
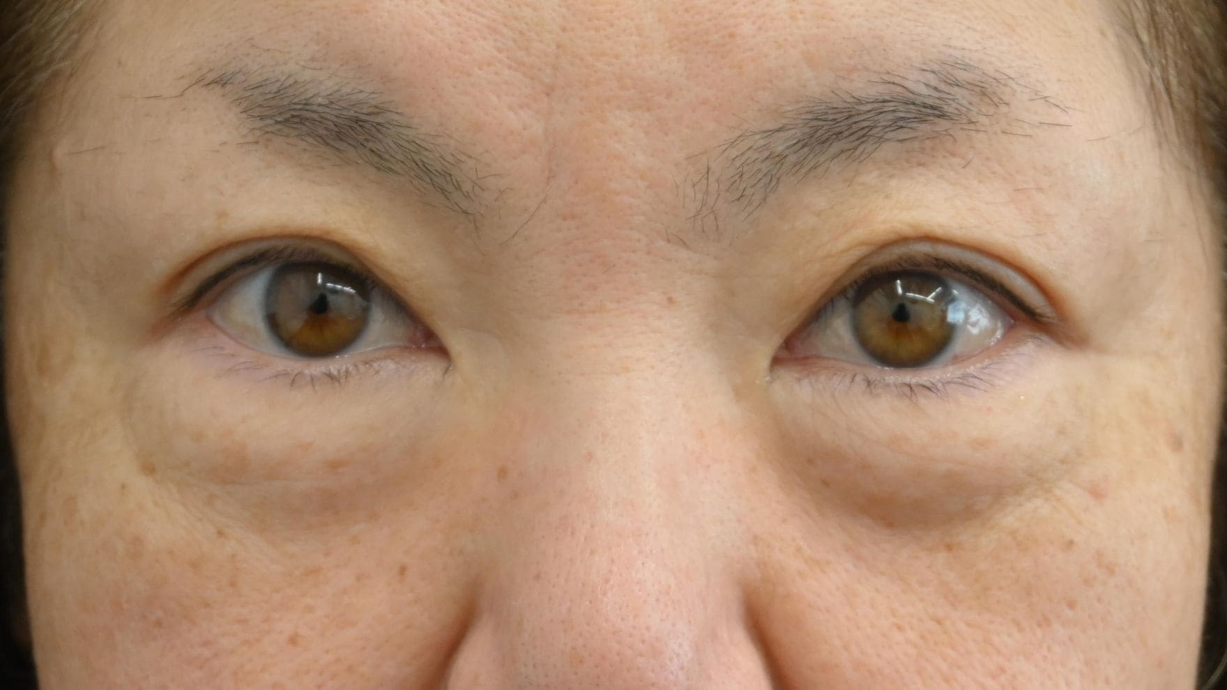
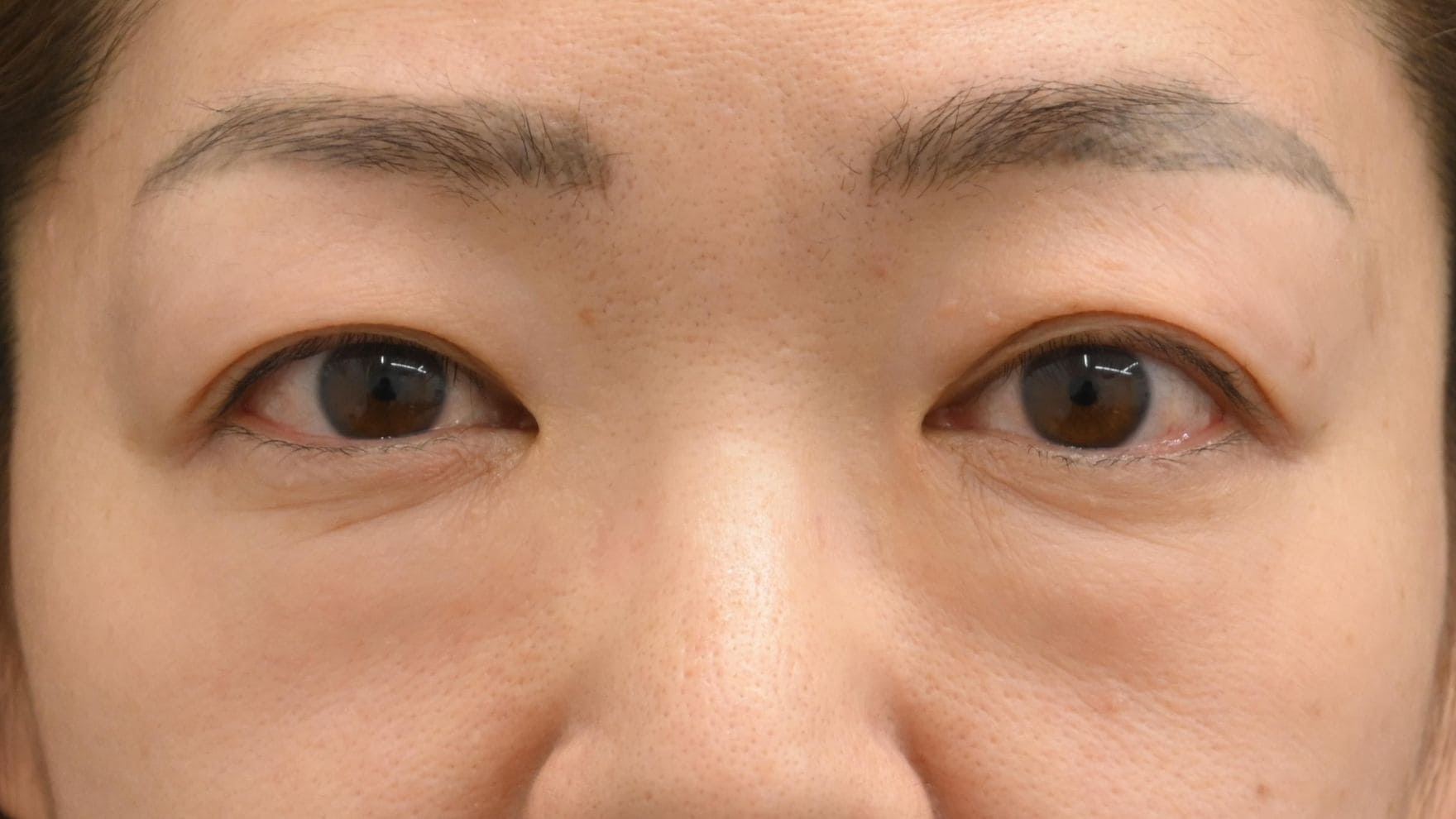
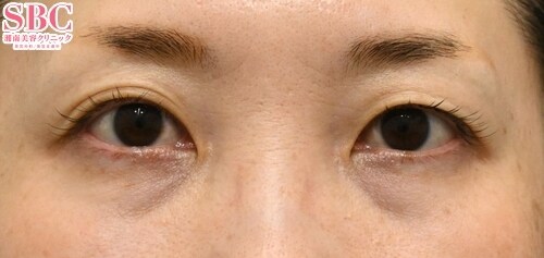
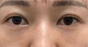
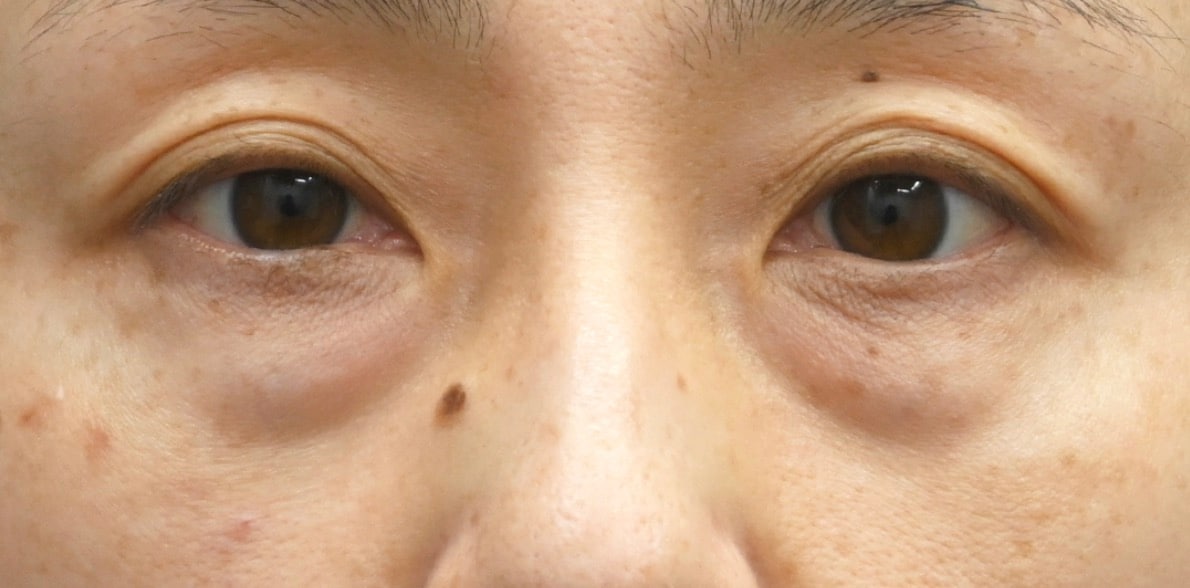
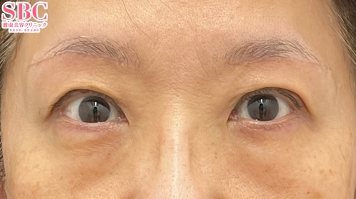
若返り / 目の下の切らないクマ・たるみ(ふくらみ)取り 他 No.359008
【49歳女性】目の下のクマ取り+コンデンスリッチ脂肪注入(目の下・ゴルゴ)+ナノリッチ(目の下)
AGA薄毛治療 / 毛根再生注射 他 No.359007
30代男性、毛根再生注射1回、ジェットメソ(BENEV)3回、デュタステリド、ミノキシジル内服、Fスプレー、3ヶ月後
脂肪吸引 / 根こそぎVASER脂肪吸引 No.359006
【スゴ腕】九州各地・関東からも指名多数!最新ベイザー脂肪吸引!
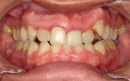
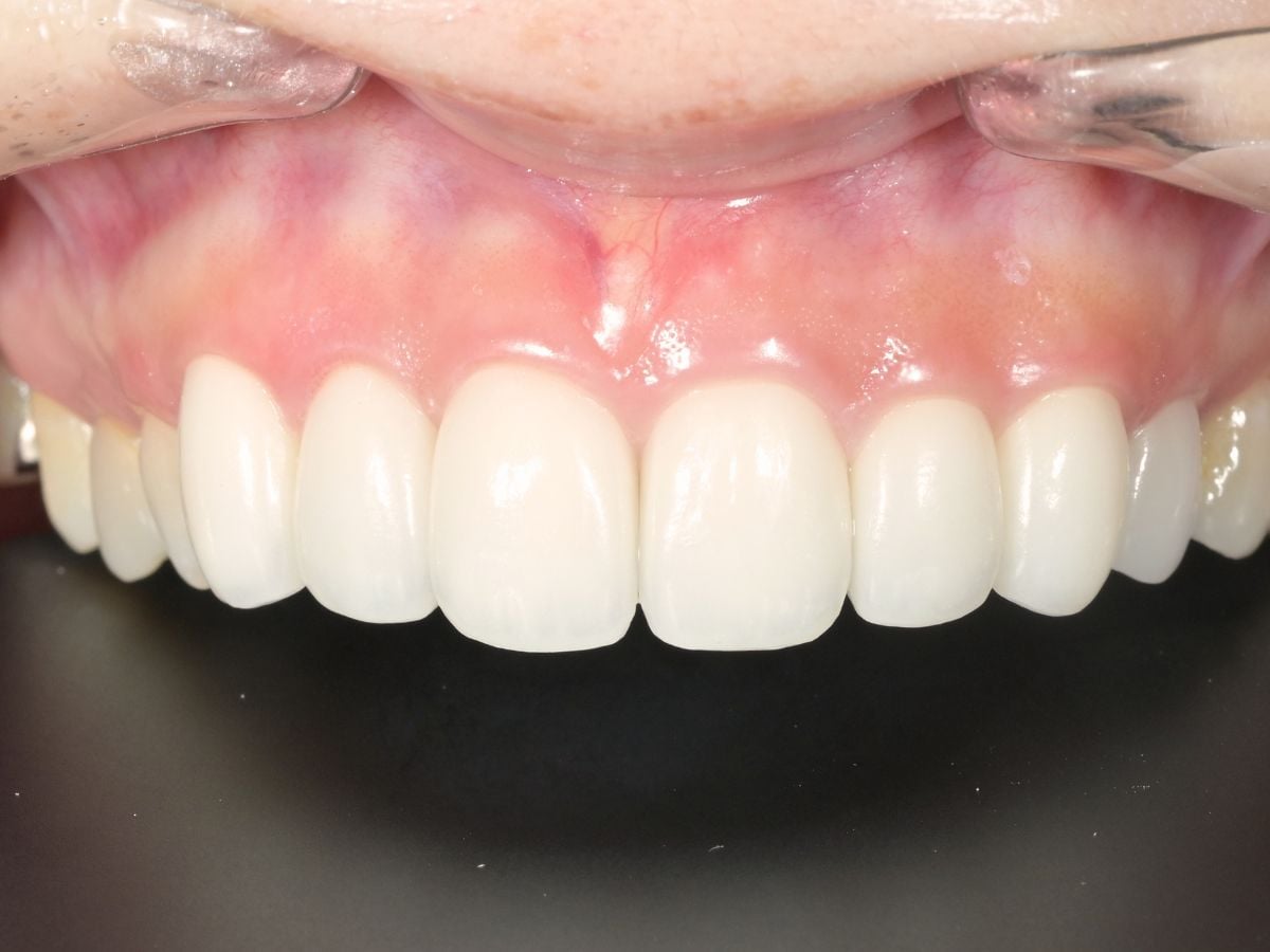
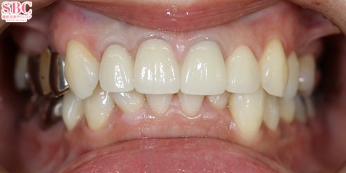
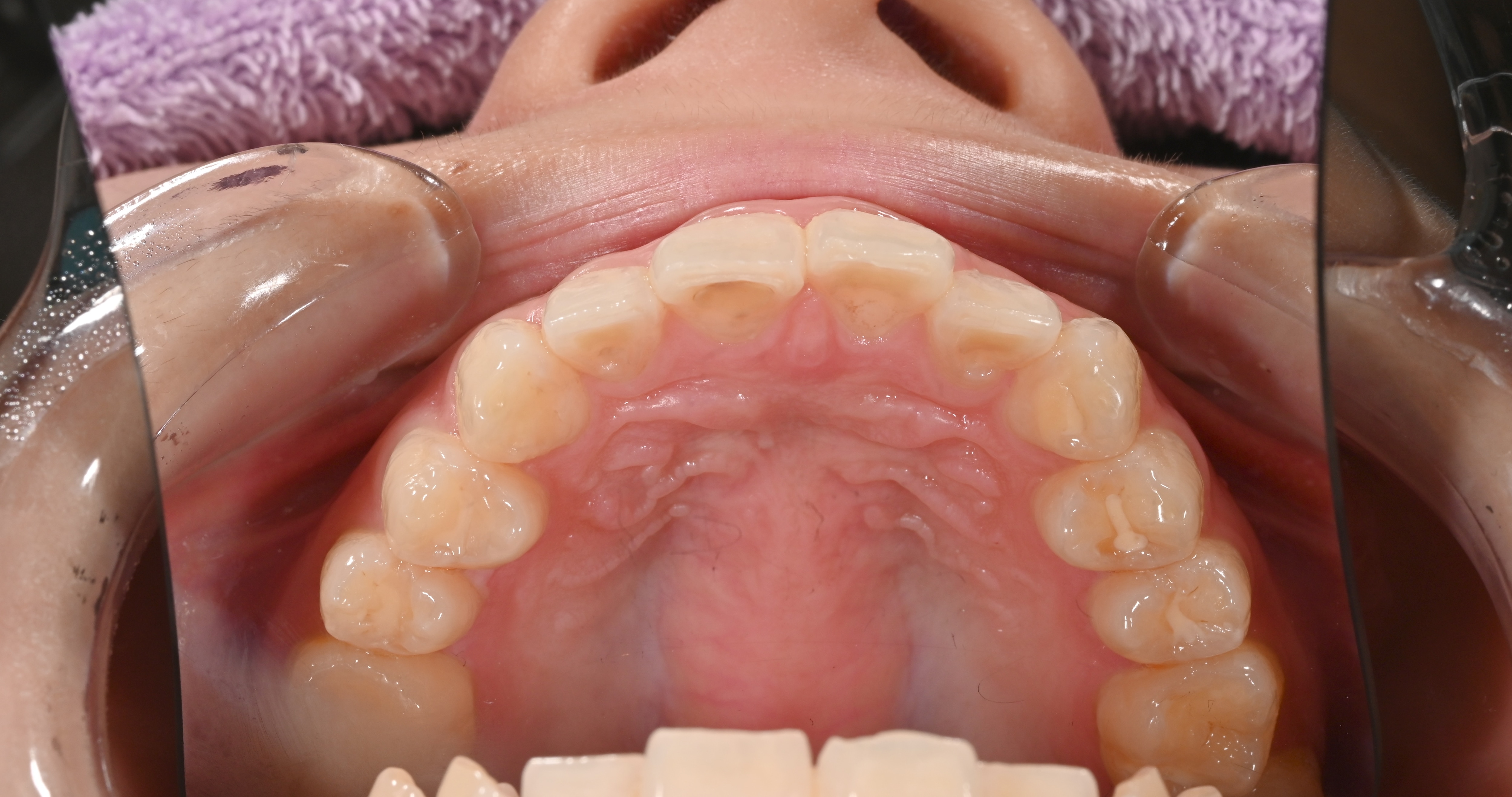
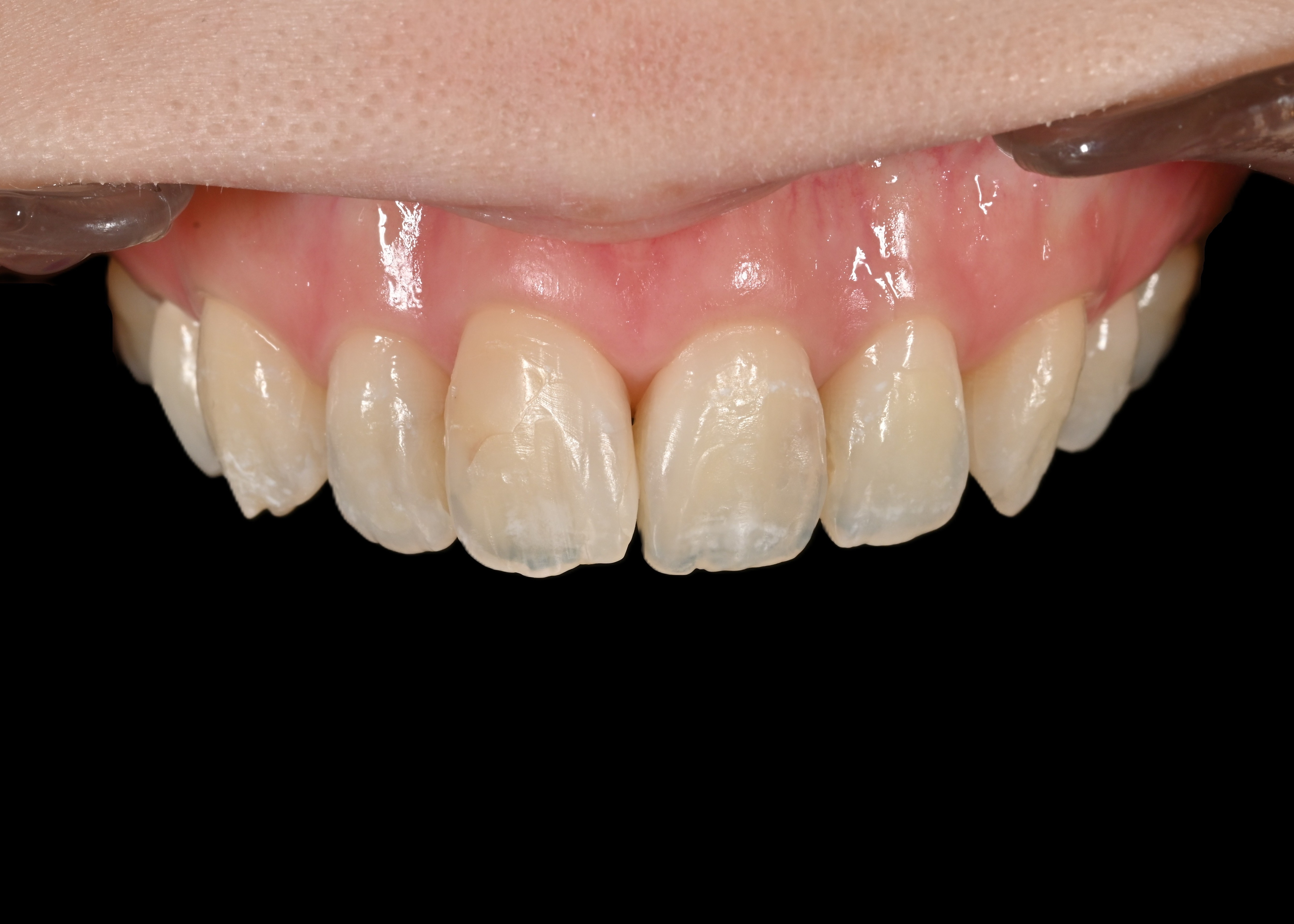
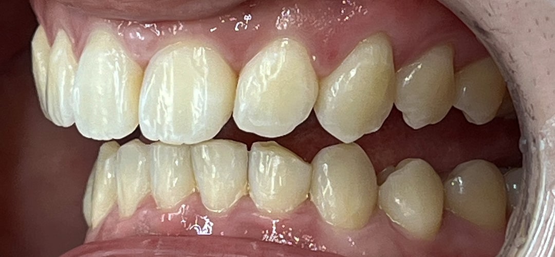
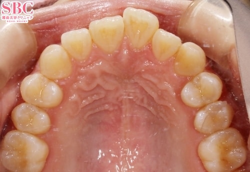
美容歯科 / マウスピース矯正 No.359005
【マウスピース矯正】インビザラインフルで歯のお悩みまとめて解決!
脂肪吸引 / 小顔用脂肪吸引注射 他 No.359004
【脂肪吸引注射(ホホ・ジョールファット・あご下)+エンブレイスRF】【22歳女性】全国から指名多数!小草医師によるダウンタイム最小、効果最大の脂肪吸引注射【術後3ヶ月】
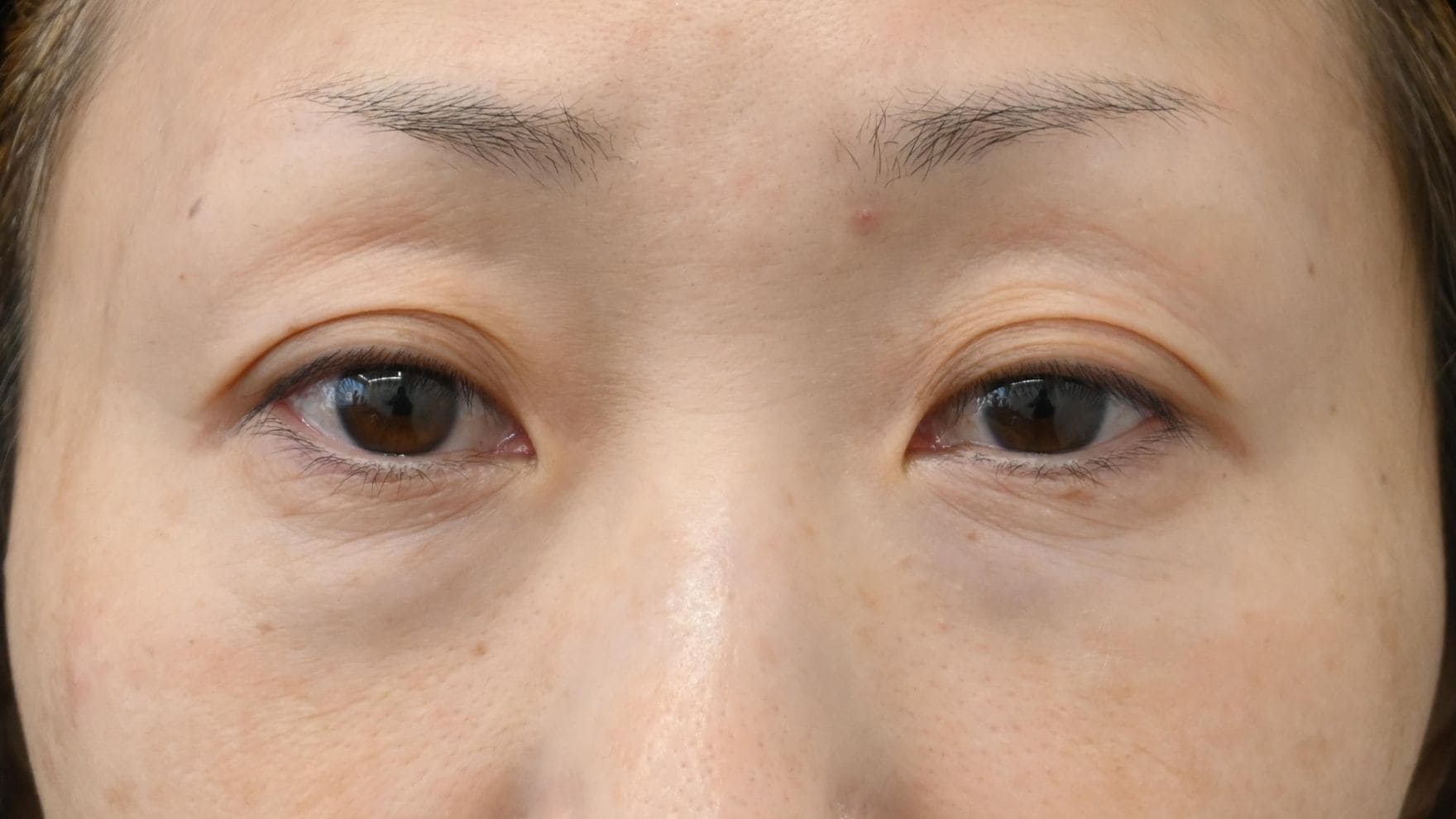
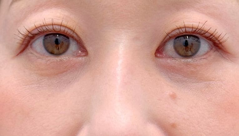
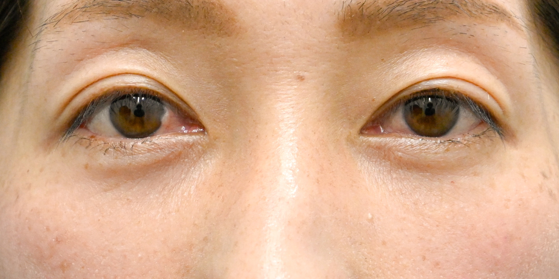
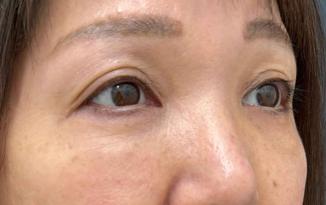
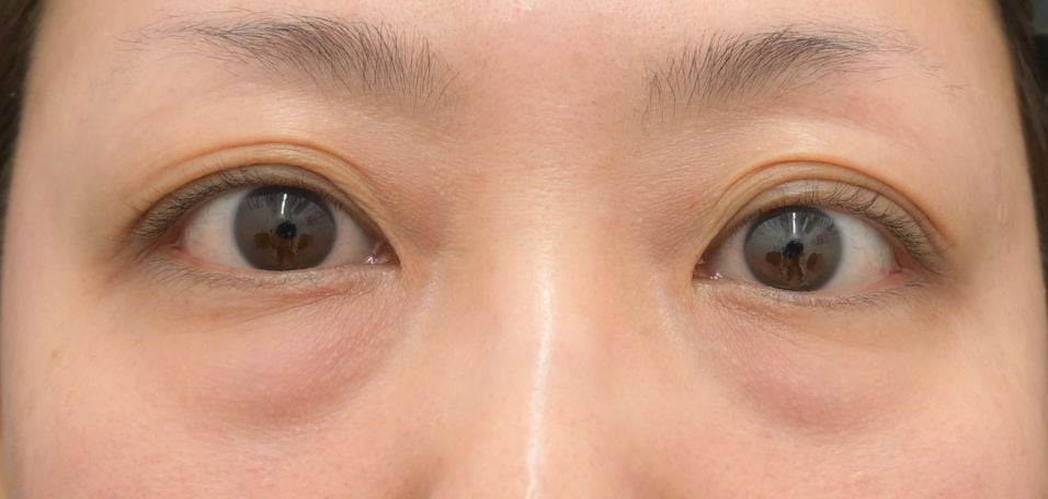
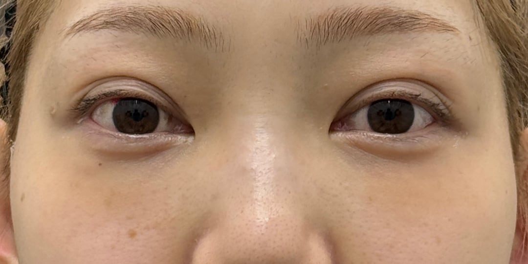
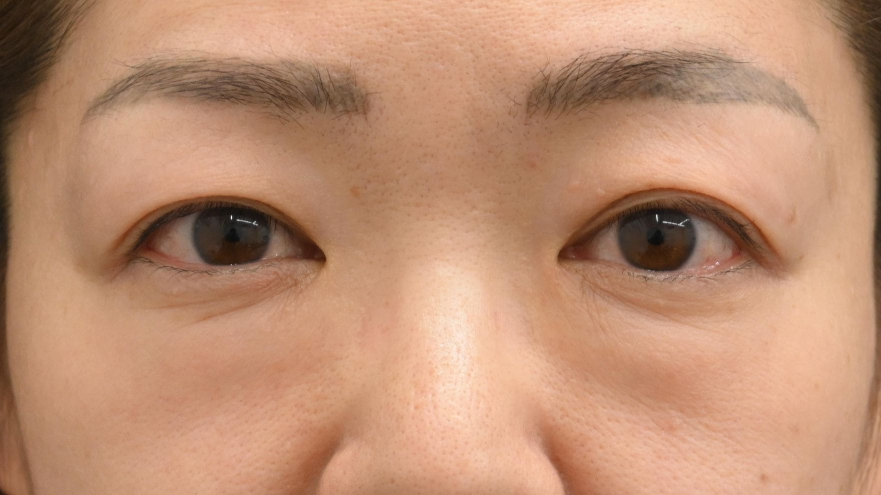
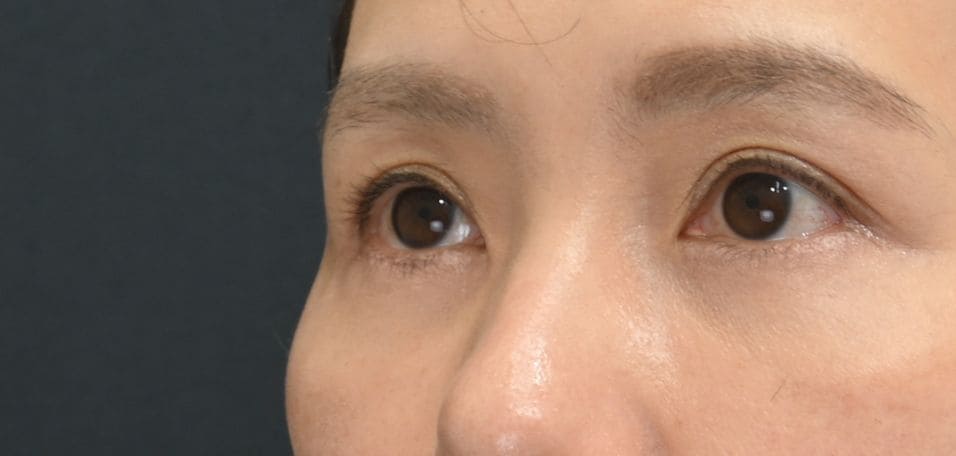
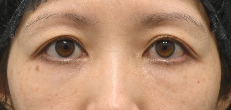
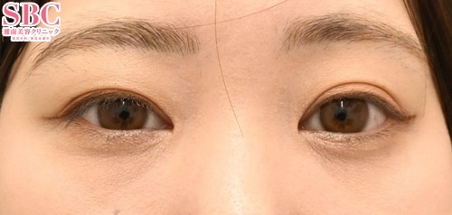
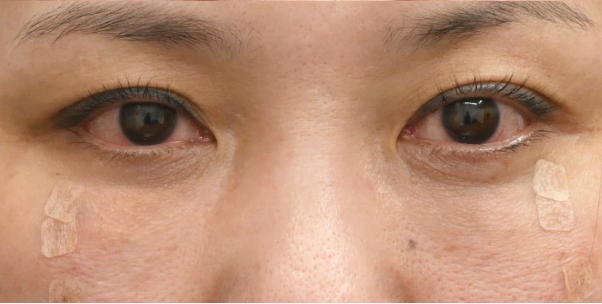
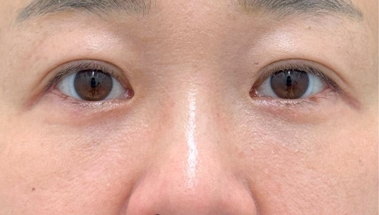
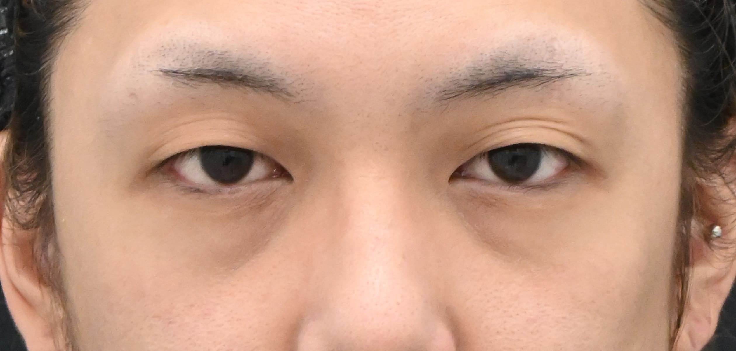
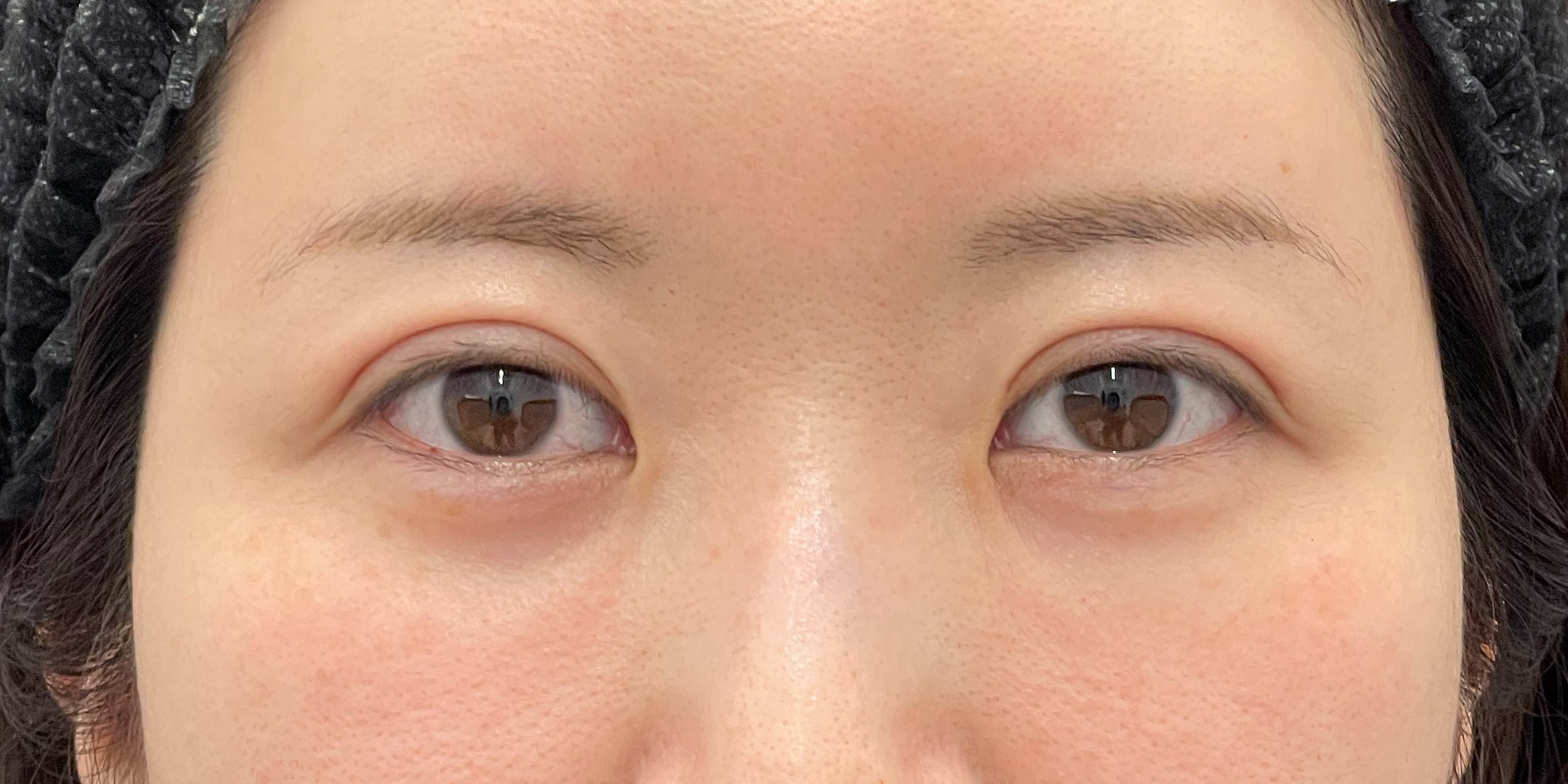
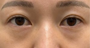
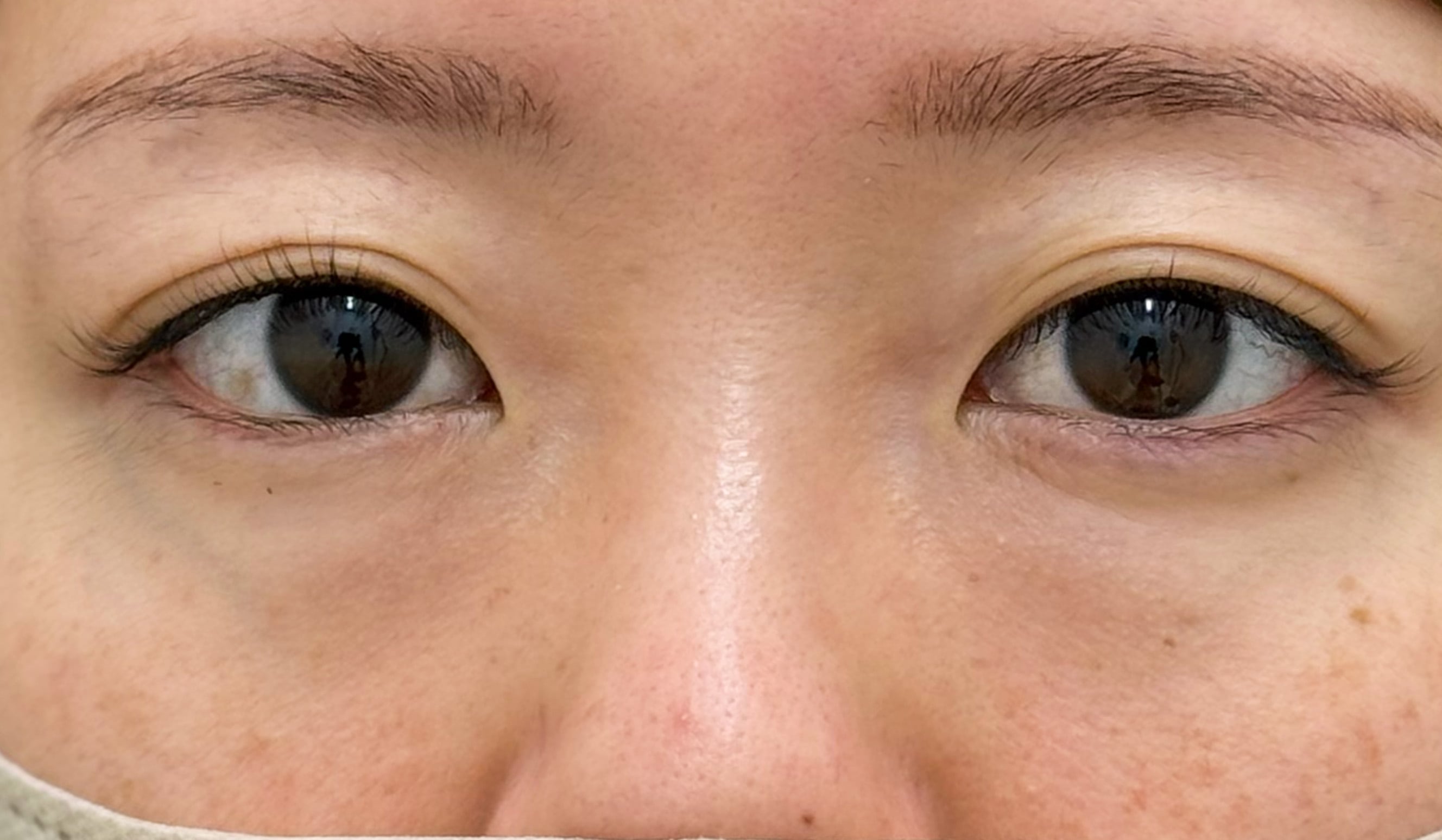
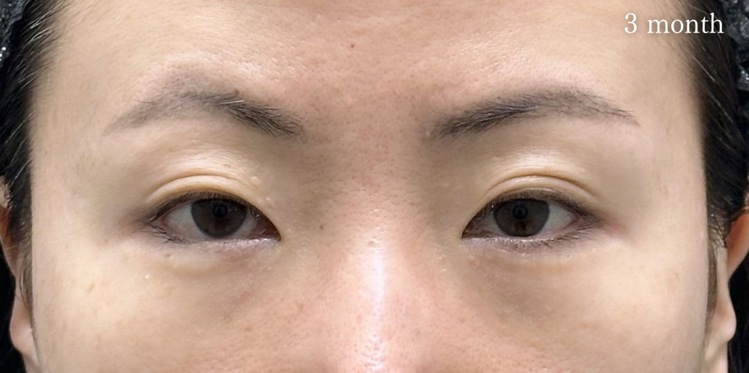
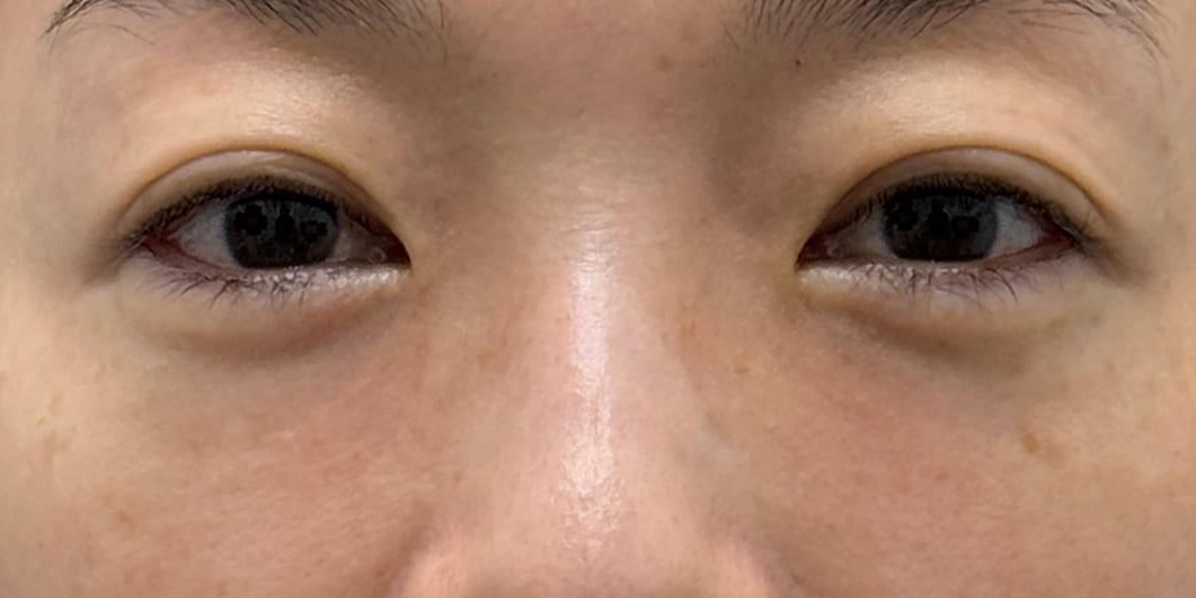
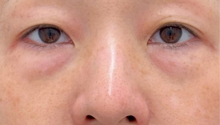
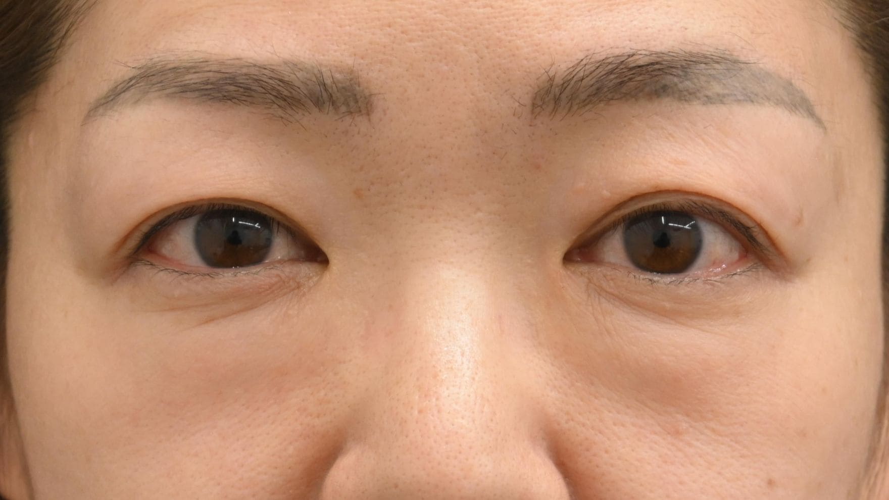
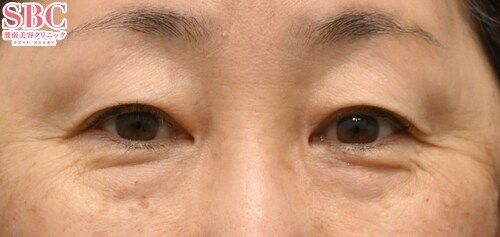
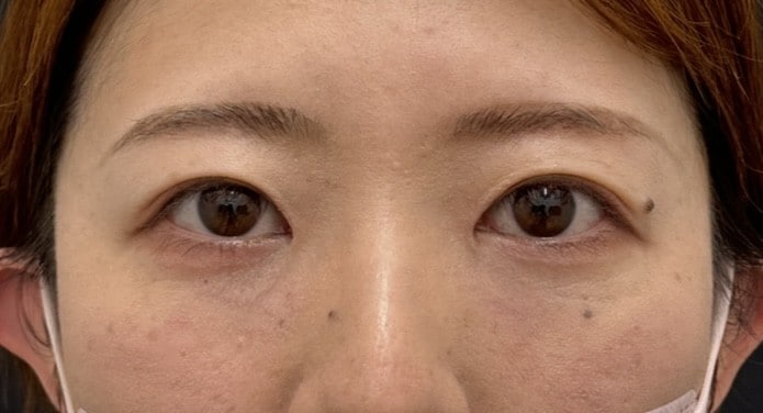
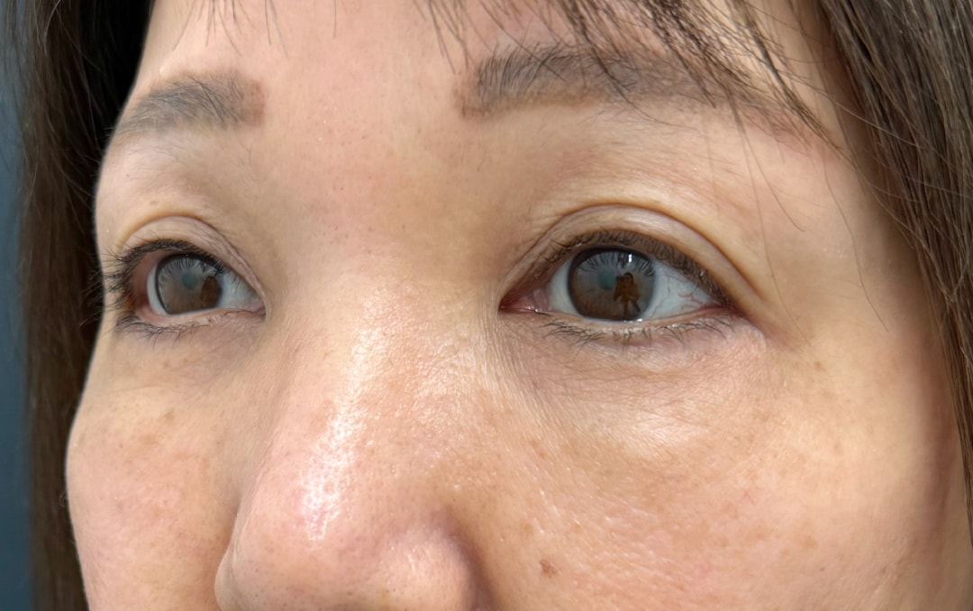
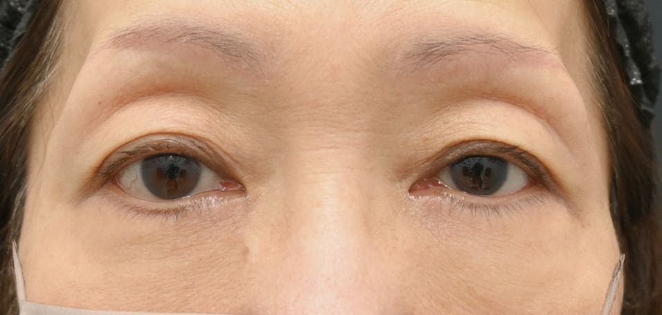
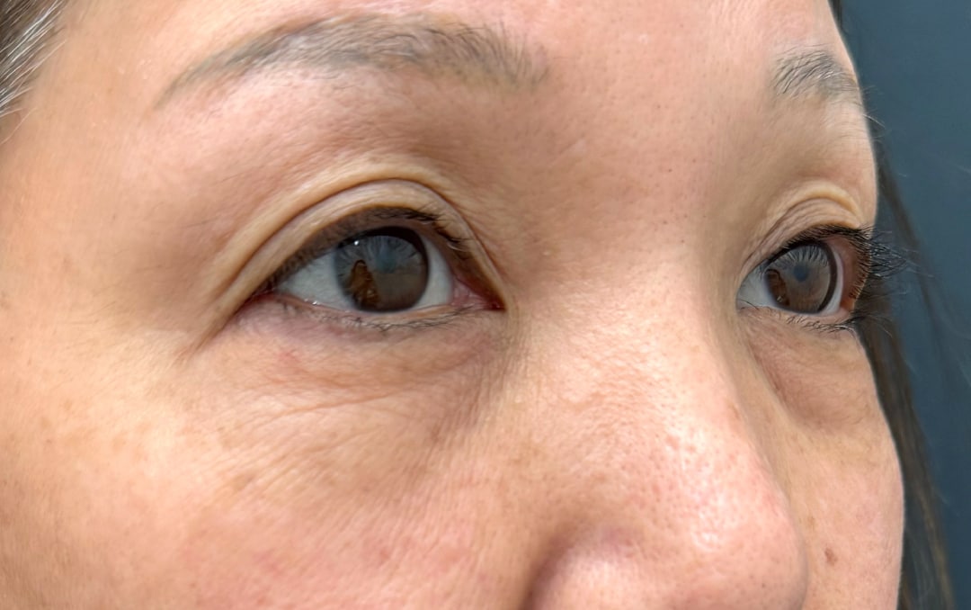
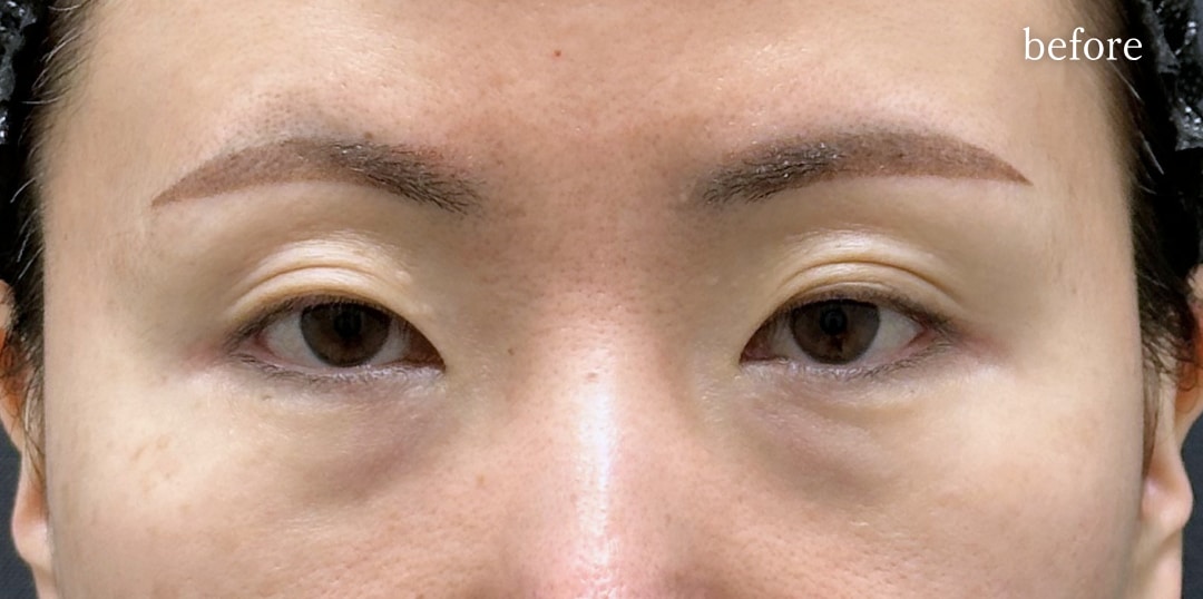
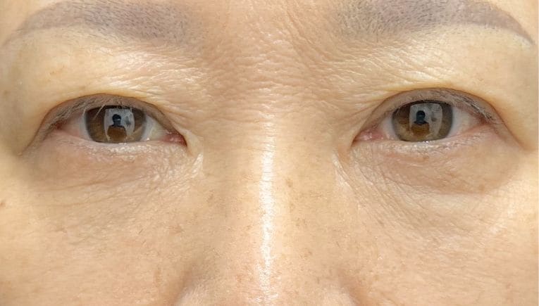
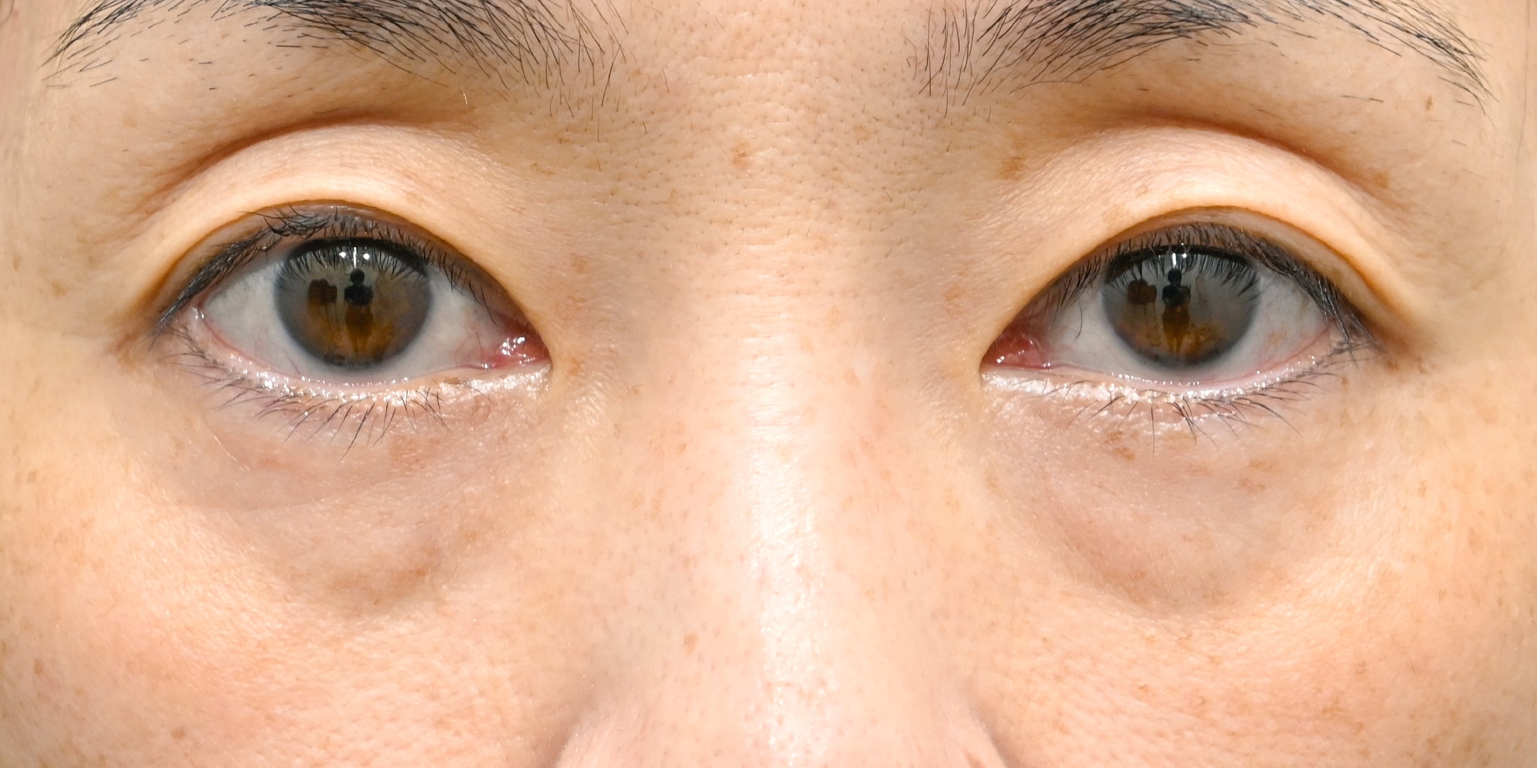
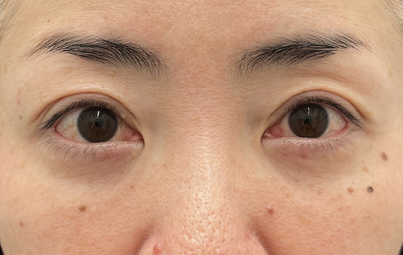
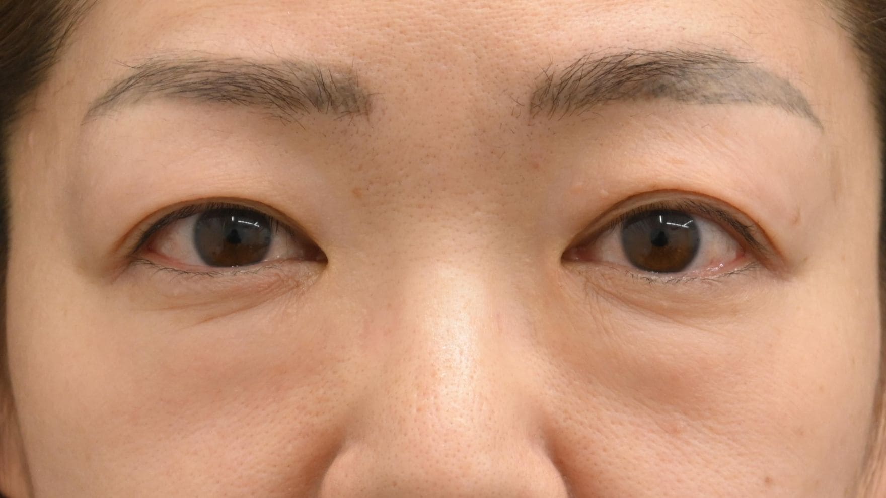
若返り / 目の下の切らないクマ・たるみ(ふくらみ)取り 他 No.359003
【48歳女性】目の下の切らないクマたるみ取り+コンデンスリッチ(目の下・ゴルゴ)+ナノリッチ(目の下)
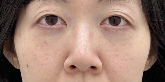
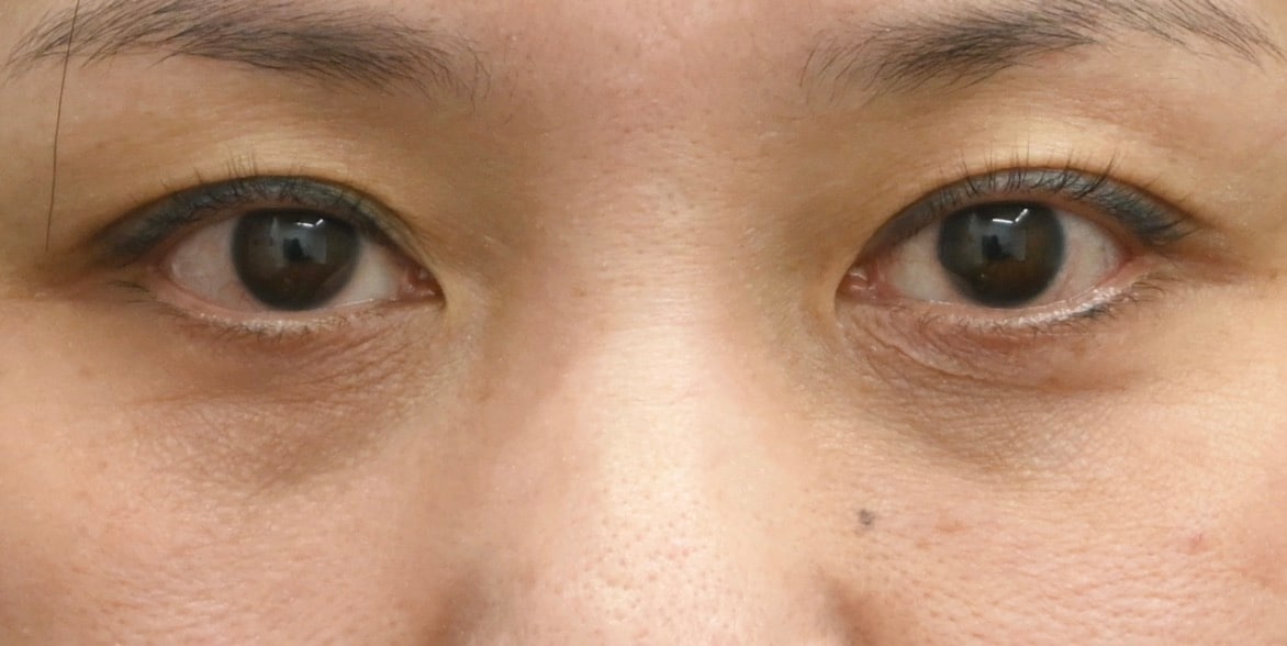
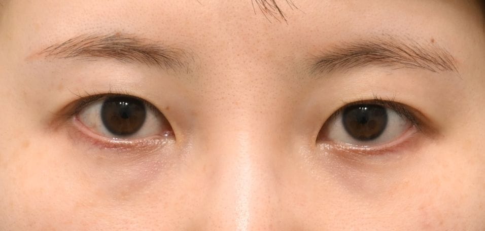
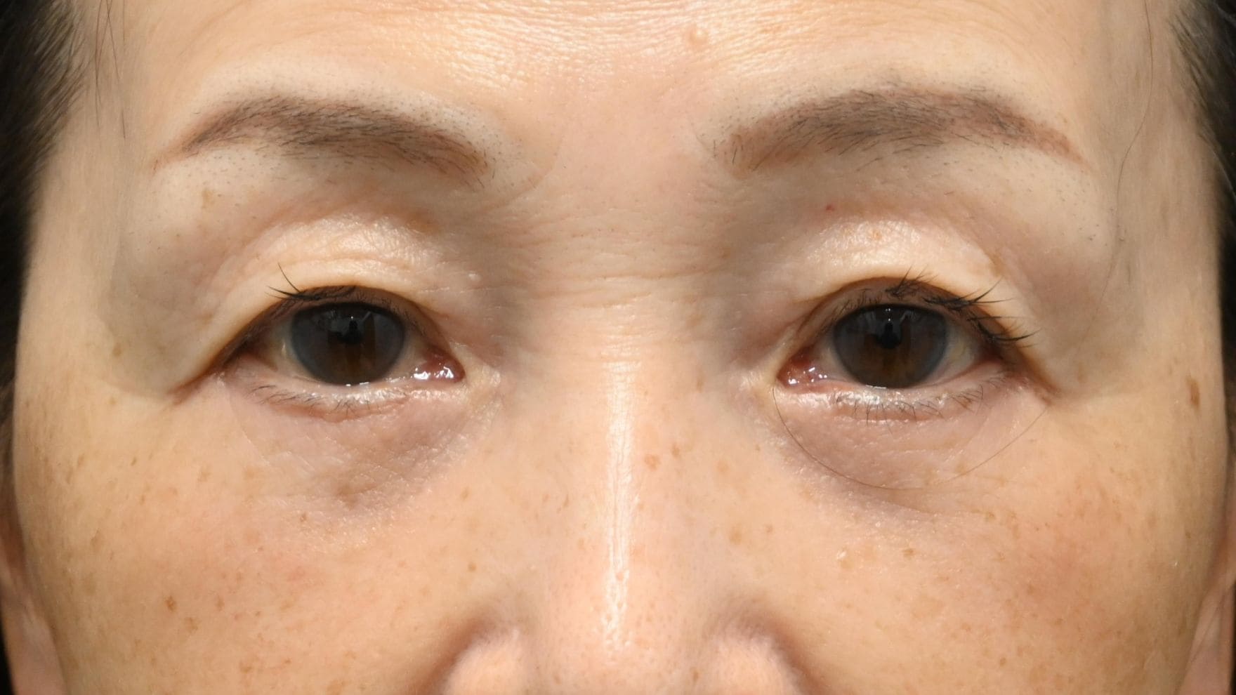
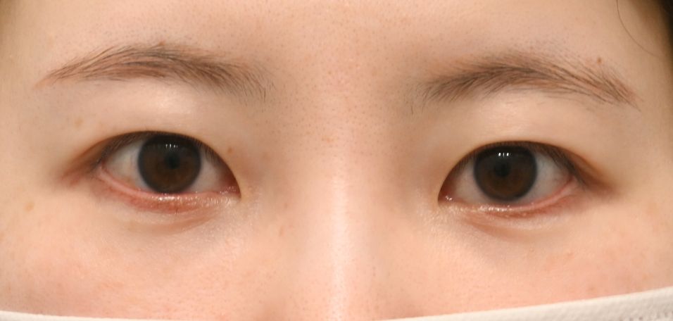
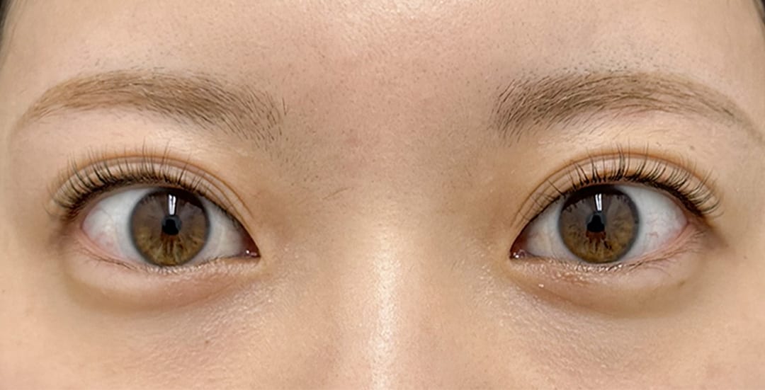
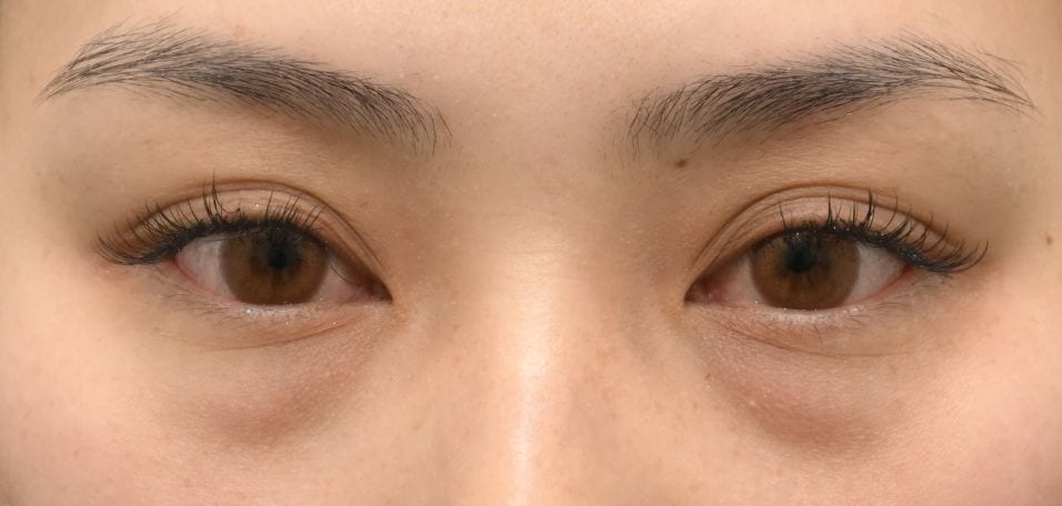
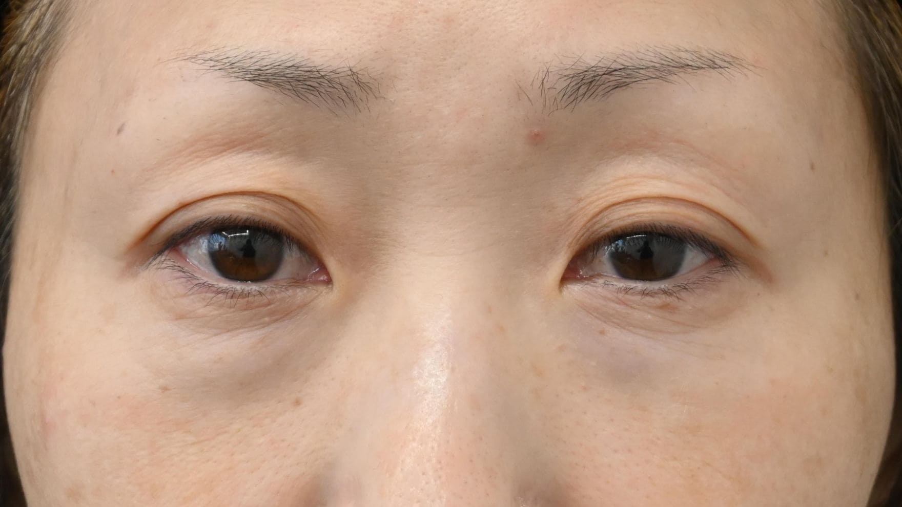
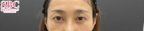
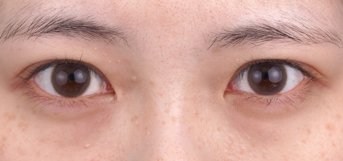
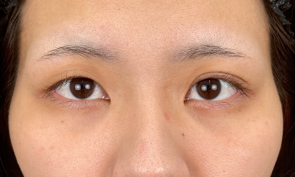
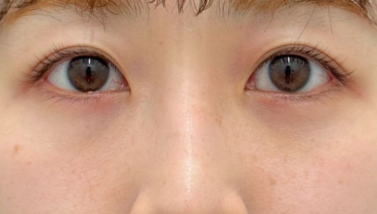
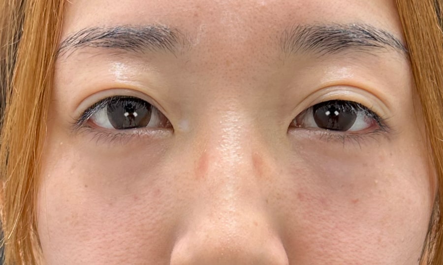
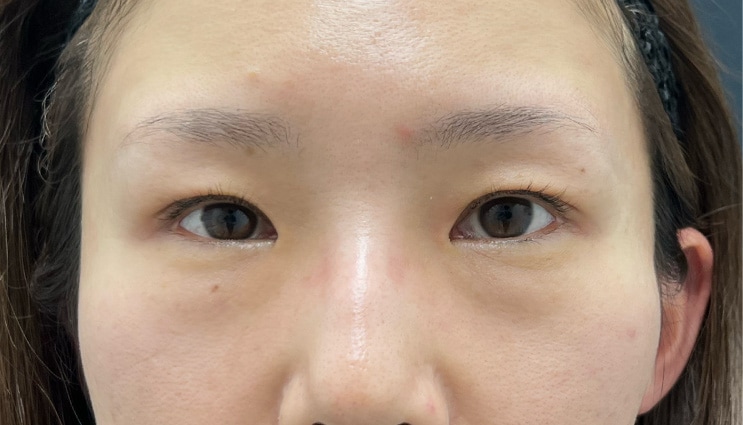
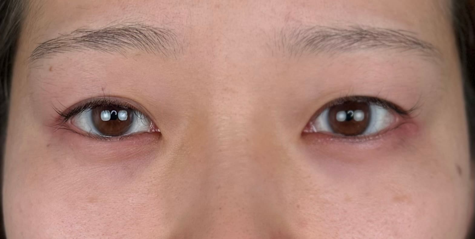
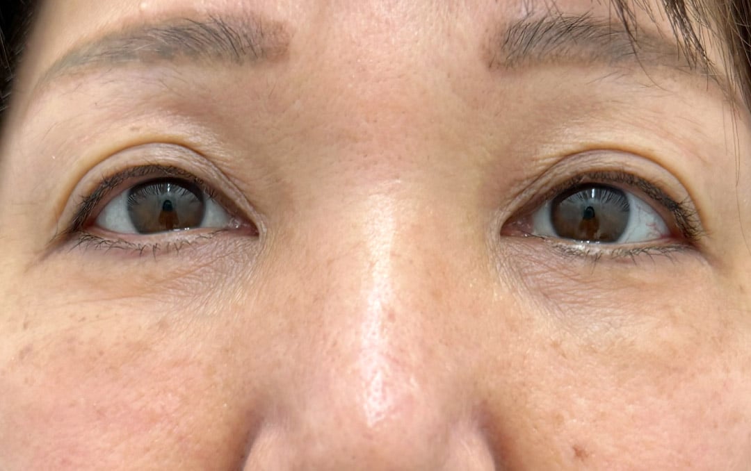
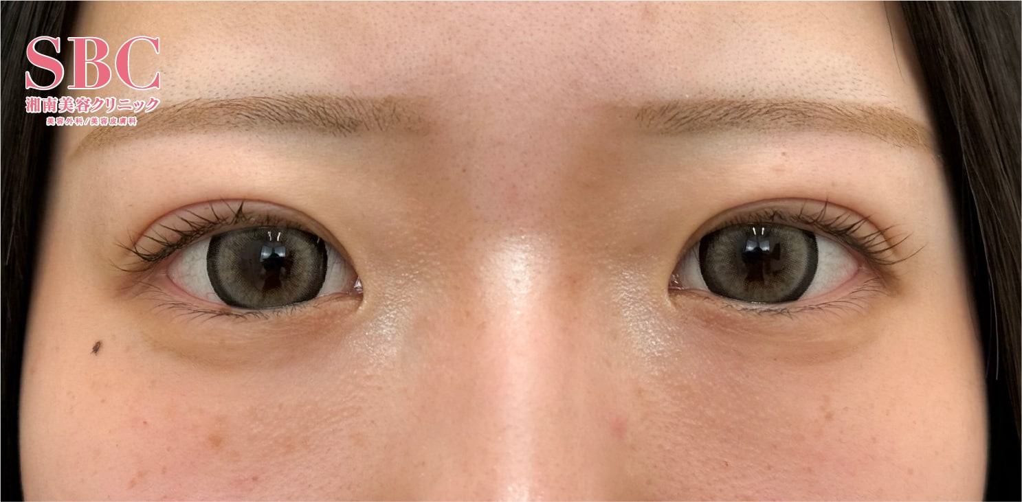
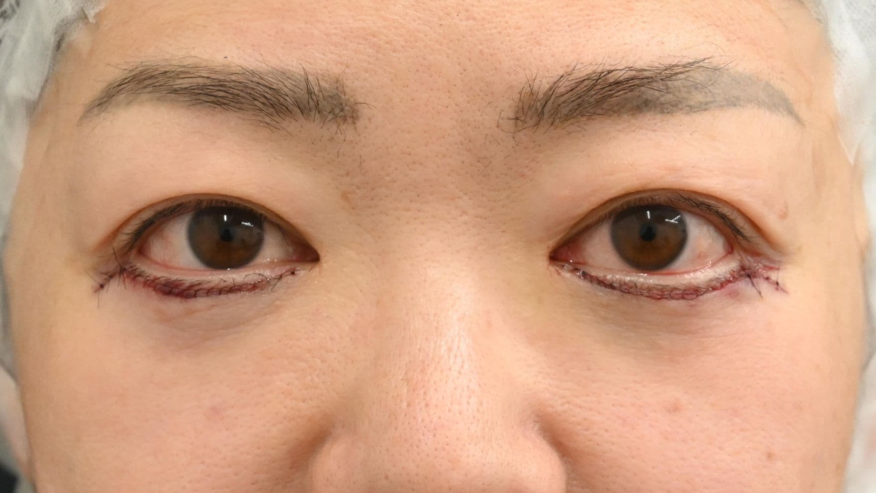
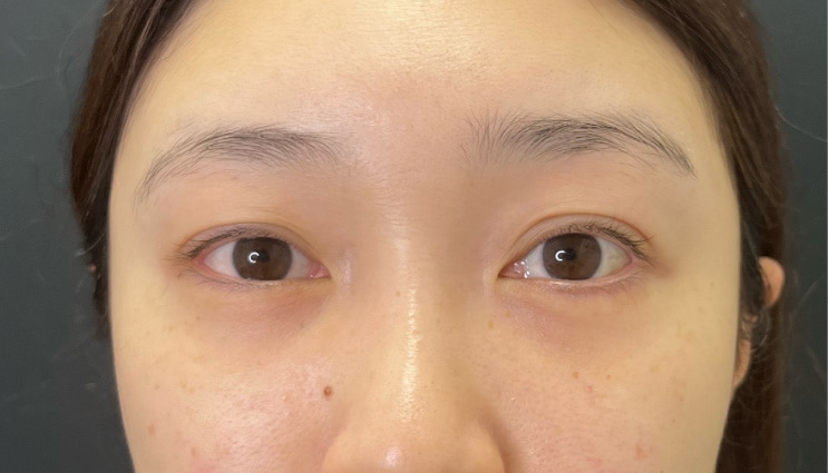
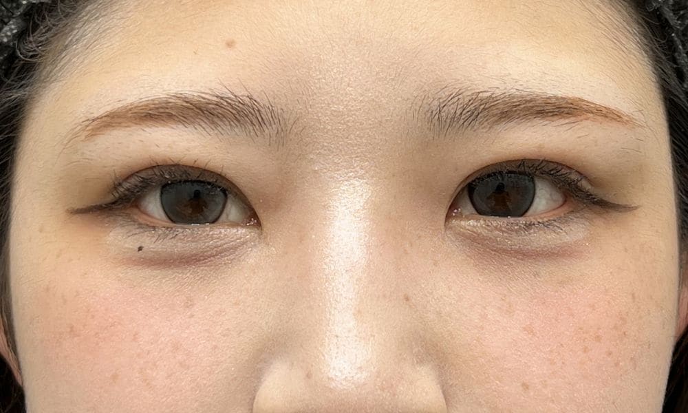
若返り / 目の下の切らないクマ・たるみ(ふくらみ)取り No.359002
【31歳女性】クイックコスメティークダブル+埋没糸抜糸+目の下の切らないクマ取り(脱脂術単体)
豊胸・バストの修正 / ハイブリッド豊胸 他 No.359001
DR.中村の美バスト症例 ≪アキーセル併用ハイブリッド豊胸(Motivaエルゴノミックス2 270cc使用)/術前→3ヶ月目≫
AGA薄毛治療 / 毛根再生注射 他 No.359000
23歳男性、毛髪再生注射+臍帯幹細胞上清液メソ+薬、半年後
AGA薄毛治療 / 毛根再生注射 他 No.358999
30歳男性、毛髪再生注射+臍帯幹細胞上清液メソ+薬、半年後
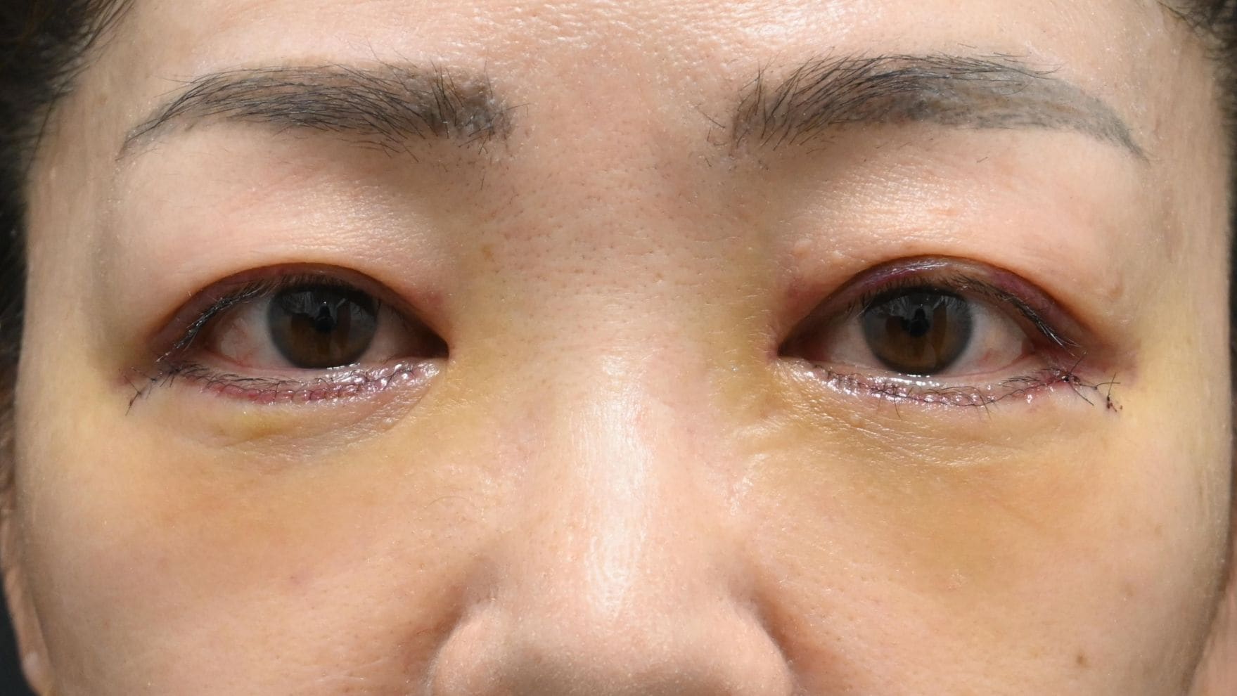
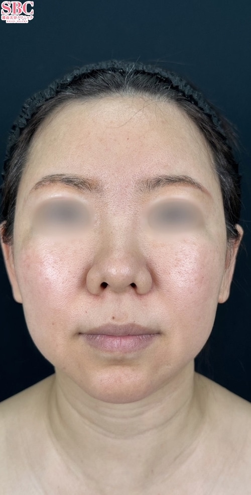
若返り / 裏ハムラ法 他 No.358998
【33歳女性】裏ハムラ+コンデンスリッチ(ゴルゴ)+ナノリッチ(目の下)
AGA薄毛治療 / AGA治療薬 他 No.358997
40代男性、毛根再生注射、臍帯幹細胞上清液メソ 半年後 その�A



















































