症例写真(美容整形)
症例写真一覧
表示件数:317357件 / 347020件
医療ダイエット / オンダリフト・オンダリフトボディ No.357772
オンダリフトでフェイスラインのもたつきを改善
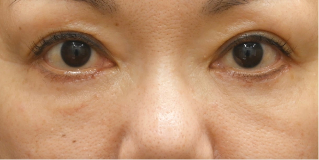
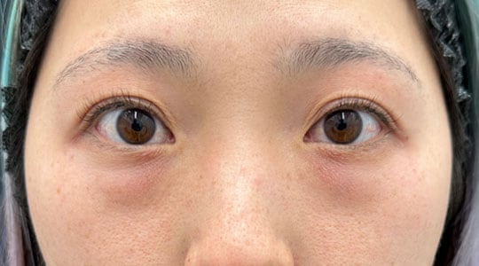
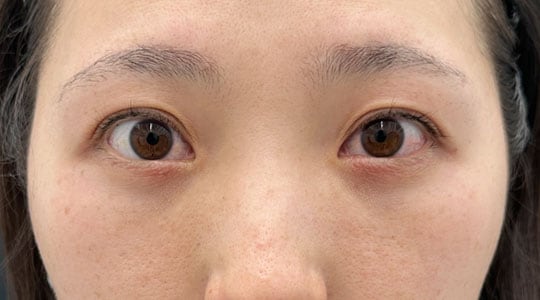
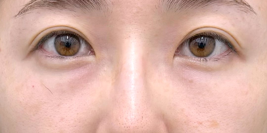
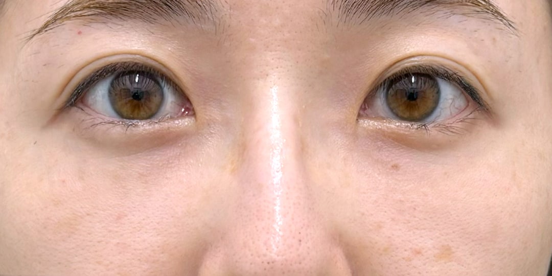
若返り / No.357940
リジュランHBで目の下の小じわ、赤みを改善
美容皮膚科 / ベロテロリバイブ No.359339
ベロテロリバイブでカーテンジワを改善
豊胸・バストの修正 / ハイブリッド豊胸 他 No.354232
【ハイブリッド豊胸】★脂肪注入+シリコンバッグでナチュラル爆乳★臀部・太もも・膝 脂肪吸引【術後1週間】【術後1ヶ月】
脂肪吸引 / Aquicell(アキーセル)脂肪吸引 他 No.358583
【二の腕脂肪吸引】★二の腕脂肪吸引で直角肩の美しい二の腕へ★【二の腕全周+肩+肩甲骨横】【ベイザー併用アキーセル脂肪吸引】【術後3ヶ月】
豊胸・バストの修正 / エルゴノミクス2+コンデンスハイブリッド 他 No.356072
DR.中村の美バスト症例 ≪アキーセル併用ハイブリッド豊胸(Motivaエルゴノミックス2 270cc使用)/術前→3ヶ月目≫
豊胸・バストの修正 / SBC幹細胞脂肪注入豊胸 他 No.357130
DR.中村の美バスト症例 ≪SBC幹細胞脂肪注入豊胸2回目 アキーセル併用 リジェネラ/術前→6ヶ月目≫
豊胸・バストの修正 / コンデンスリッチ(脂肪注入豊胸) No.359072
DR.中村の美バスト症例 ≪コンデンスリッチ豊胸 /術前→3ヶ月目≫
若返り / ヒアルロン酸 No.359332
【アゴヒアル】ヒアルロン酸のみで輪郭形成!インフルエンサー様から指名多数のヒアルロン酸注射
二重・二重整形 / 線留めクロス二重術 他 No.359330
【二重】二重埋没と涙袋ヒアルで瞬間垢抜け美人
鼻整形 / SBCプレミアムソフトプロテーゼ※別途、安心麻酔(静脈麻酔)代がかかります。 No.359325
鼻プロテーゼ単体症例1か月後
鼻整形 / 鼻尖形成/鼻尖形成3D法(だんご鼻解消術) 他 No.359139
【鼻整形症例数 6年連続全国No.1!(2019年〜2025年上期 SBC内)】『整形感ゼロの鼻整形 ~ナチュラル忘れ鼻~』鼻尖形成術3D法+鼻尖部軟骨移植+小鼻縮小術(フラップ法+外側法) 術後3ヶ月 名古屋栄院院長中野達生
脂肪吸引 / 小顔用脂肪吸引注射 No.359324
【小顔脂肪吸引注射×糸リフト】脂肪吸引は注射でも結果がでる
脂肪吸引 / 小顔用脂肪吸引注射 No.359323
【小顔脂肪吸引注射×糸リフト】脂肪吸引は注射でも結果がでる
豊胸・バストの修正 / コンデンスリッチ(脂肪注入豊胸) 他 No.359155
【豊胸・バストの修正】【脂肪注入豊胸】脂肪注入豊胸症例数No.1獲得!(2025年度上半期SBC内北海道・東北)札幌院・院長梶山による【コンデンスリッチ豊胸】
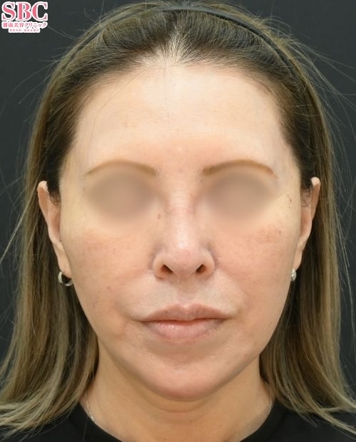
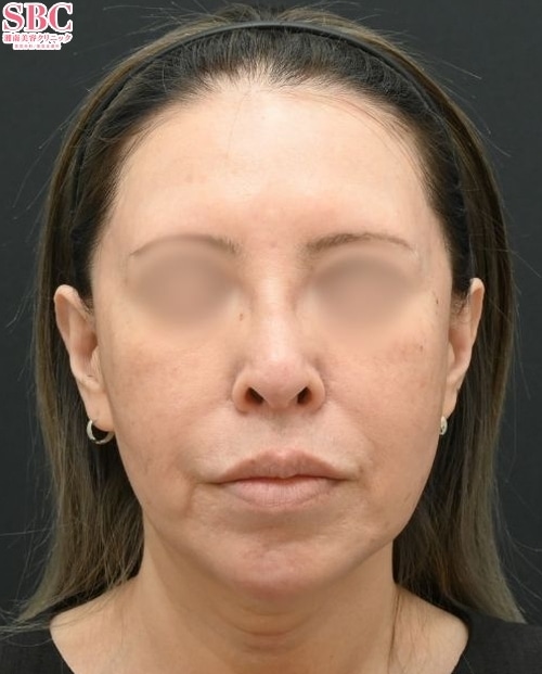
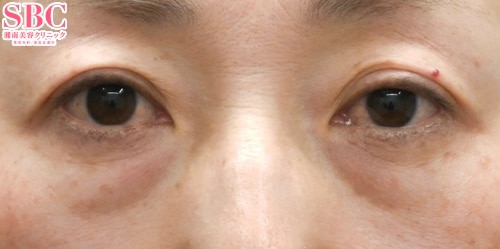
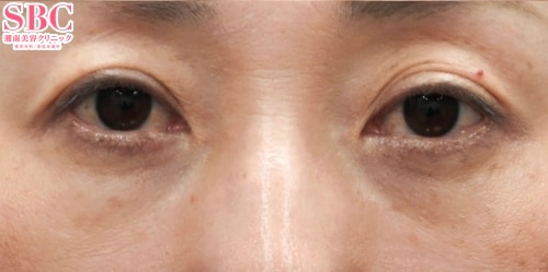
若返り / 裏ハムラ法 No.359258
クマ治療&埋没二重★トータルバランスを考えた、あなたにぴったりの治療をご提案!【術後3ヶ月経過】
AGA薄毛治療 / 自毛植毛 他 No.359287
ノンシェーブン植毛 1200グラフト 30代男性 約1年後
アートメイク / 医療アートメイク 他 No.359285
【AGA横浜院】【メンズMOCCIパウダー技法】
脂肪吸引 / Aquicell(アキーセル)脂肪吸引 他 No.316996
【二重アゴ解消!】頬・顎下 脂肪吸引+ジョールファット/メーラーファット除去+糸リフト★併用治療でさらに理想の小顔に近づく★【全角度の症例が見れます!】ベイザー併用アキーセル脂肪吸引【術後6か月】
若返り / ナチュラル脂肪注射コンデンスリッチ 他 No.359278
【若返りmuse】二子玉川院院長の青柳萌花による目の下の切らないクマたるみ取り★若々しい目元に!





















































