若返りの症例写真(若返り)
ドクターが選ぶ BEST SHOT AWARD
症例写真一覧
表示件数:53160件 / 349328件
若返り / ナチュラル脂肪注射コンデンスリッチ No.332706
◆◆美容外科専門医 名倉が叶える 美顔術!! へこみを無くして美しい輪郭へ!! ◆脂肪注入(額) ◆1か月後のお写真
若返り / 眉下リフト(眉下切開) No.332702
◆◆目元切開厳選医師の名倉が叶える -5歳!! 眉下リフト◆◆瞼のたるみでお悩みの方必見!!★1ヶ月後のお写真
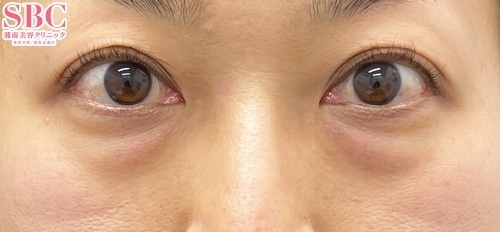
若返り / 目の下の切らないクマ・たるみ(ふくらみ)取り No.332701
◆◆美容外科専門医 名倉が叶える -5歳!! 目の下のたるみ取り+脂肪注入(目の下~ゴルゴ線)◆◆目の下のぷっくり、クマでお悩みの方必見!!◆1か月後のお写真
若返り / プリマリフト No.332700
◆◆美容外科専門医 名倉が叶える小顔術!!糸リフト5年連続全国1位 (2019年~2023年)!◆◆◆美容外科専門医 名倉が叶える小顔術!!糸リフト5年連続全国1位 (2019年~2023年)!◆◆◆美容外科専門医 名倉が叶える小顔術!!糸リフト5年連続全国1位 (2019年…
若返り / 目の下の切らないクマ・たるみ(ふくらみ)取り 他 No.332697
【クマ取り顧客満足度No.1ドクター2020年SBC内/名古屋駅本院院長】 圧倒的実績のベテランドクター高川のクマ取り術☆【目の下の切らないクマ・たるみ取り+SBCプレミアムPRP(ゴルゴライン)】術前→術後1ヶ月後
若返り / テスリフト 他 No.332696
【☆2020顧客満足度全国No1】名古屋で10年以上愛される技術力!高川裕也の最強小顔術★
若返り / 目の下の切らないクマ・たるみ(ふくらみ)取り 他 No.332695
「インスタ見ました」のご指名多数! Dr.平出のこだわりクマ取り術【切らないクマ取り】
若返り / 裏ハムラ法 No.332687
【裏ハムラ】次世代のクマ取りはハムラ!目の下のふくらみを凹みに充填して一度に解決!
若返り / 目の下の切らないクマ・たるみ(ふくらみ)取り 他 No.332675
【切らないクマ取り】【40代症例】☆症例数第2位!(2022年下半期/東京都のぞく関東)☆ 【目の下の切らないたるみ取り+ナノリッチ+コンデンスリッチフェイス】切る・切らない二つの視点からお客様にとって最適な治療を提案します!目の下のたるみ・クマをなくして-5歳に印象チェンジ…
若返り / うるおいコラーゲンリフト No.332674
若返りの症例写真
若返り / 裏ハムラ法 他 No.332669
【藤沢院 クマ取り/裏ハムラ法+ナノリッチ】クマのお悩みでしたら、全てのクマ治療を網羅しているDr.山下にお任せを!
若返り / シークレットリフト 他 No.332662
【☆2020顧客満足度全国No1】名古屋で10年以上愛される技術力!糸リフトなら高川裕也★
若返り / 目の下の切らないクマ・たるみ(ふくらみ)取り 他 No.332661
【クマ取り顧客満足度No.1ドクター2020年SBC内/名古屋駅本院院長】 圧倒的実績のベテランドクター高川のクマ取り術☆【目の下の切らないクマ・たるみ取り+SBCプレミアムPRP(ゴルゴライン)】術前→術後1ヶ月後
若返り / 目の下の切らないクマ・たるみ(ふくらみ)取り 他 No.332660
「インスタ見ました」のご指名多数! Dr.平出のこだわりクマ取り術【切らないクマ取り】
若返り / 女優注射(R)~リジュラン+ボトックス~ No.332657
女優注射(額・眉間・目の下・目尻)
若返り / プロファイロ 他 No.332651
【Dr.森川による『女優注射+プロファイロ+ウルセラ】【渋谷公園通り院】【美容皮膚科】
若返り / プロファイロ No.332649
【若返り】手の甲のプロファイロ イオン横浜西口院院長 山本真義
若返り / 裏ハムラ法 No.332648
若返りの症例写真
若返り / 目の下の切らないクマ・たるみ(ふくらみ)取り 他 No.332637
若返りの症例写真
若返り / 目の下の切らないクマ・たるみ(ふくらみ)取り 他 No.332632
若返りの症例写真

































































