若返りの症例写真(若返り)
ドクターが選ぶ BEST SHOT AWARD
症例写真一覧
表示件数:53223件 / 349546件
若返り / プロファイロ No.320158
【Dr.森川による『プロファイロ&頚部ボトックス』縦じわと筋を同時に改善】【1回目1か月後】【渋谷公園通り院】【美容皮膚科】
若返り / プロファイロ 他 No.320153
若返りの症例写真
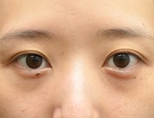
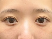
若返り / 目の下の切らないクマ・たるみ(ふくらみ)取り 他 No.320146
【鹿児島中央院 奥院長】クマが消えるとこんなに美人!目元に自信をつけましょう!
若返り / VOV(ボブ)リフト 他 No.320143
【プリンセスラインでリフトアップ!】二子玉川院院長の青柳萌花による糸リフト★リフトアップの女神降臨!
若返り / 目の下の切らないクマ・たるみ(ふくらみ)取り 他 No.320141
【切らないクマ取り】【60代症例】☆症例数第2位!(2022年下半期/東京都のぞく関東)☆ 【目の下の切らないたるみ取り+コンデンスリッチフェイス】年齢は関係なく、お悩みの方がいらっしゃいます。切る・切らない二つの視点からお客様にとって最適な治療を提案します!目の下のたるみ・…
若返り / 裏ハムラ法 No.320137
若返りの症例写真
若返り / 切開ハムラ(表ハムラ)法 他 No.320134
若返りの症例写真
若返り / 裏ハムラ法 No.320132
【クマ取り顧客満足度No.1ドクター2020年SBC内/名古屋院院長】 圧倒的実績のベテランドクター高川のクマ取り術☆【裏ハムラ法】術前→術後3ヶ月後
若返り / 目の下の切らないクマ・たるみ(ふくらみ)取り 他 No.320125
【-10歳も夢じゃない?】切らないクマ取り+脂肪注入の若返り術!
若返り / 目の下の切らないクマ・たるみ(ふくらみ)取り No.320124
【-10歳も夢じゃない?】切らないクマ取りの若返り術!
若返り / コンデンスリッチフェイス法(額・こめかみ脂肪注入) No.320123
若返りの症例写真
若返り / 目の下の切らないクマ・たるみ(ふくらみ)取り 他 No.320122
【-10歳も夢じゃない?】切らないクマ取り+脂肪注入の若返り術!
若返り / 目の下の切らないクマ・たるみ(ふくらみ)取り 他 No.320120
那覇院開院9年目☆沖縄で若返りと言えば吉村にお任せ下さい!
若返り / 目の下の切らないクマ・たるみ(ふくらみ)取り 他 No.320118
【-10歳も夢じゃない?】切らないクマ取り+脂肪注入の若返り術!
若返り / シークレットリフト 他 No.320099
【☆2020顧客満足度全国No1】名古屋で10年以上愛される技術力!高川裕也の最強小顔術★
若返り / 裏ハムラ法 No.320093
若返りの症例写真
若返り / 切開ハムラ(表ハムラ)法 No.320088
【SBC統括技術指導医/新宿南口院】美容外科専門医ベテランドクターによる目の下のクマ治療!症例写真8000枚超☆3年連続!!! SBC award 最優秀賞 受賞ドクター坂西執刀♪『MD式切開ハムラ法』
若返り / SMASフェイスネックリフト 他 No.320081
50代男性・フェイスラインのたるみを改善する『エグゼクティブ・スマスフェイスリフト』1ヶ月後
若返り / SMASフェイスネックリフト 他 No.320080
50代男性・フェイスラインのたるみを改善する『エグゼクティブ・スマスフェイスリフト』1ヶ月後
若返り / SMASフェイスネックリフト 他 No.320079
50代男性・フェイスラインのたるみを改善する『エグゼクティブ・スマスフェイスリフト』1ヶ月後
































































