若返りの症例写真(若返り)
ドクターが選ぶ BEST SHOT AWARD
症例写真一覧
表示件数:53809件 / 351920件
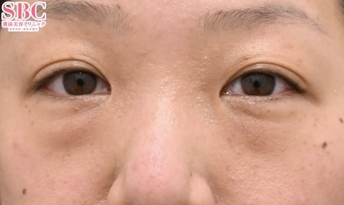
若返り / ナチュラル脂肪注射コンデンスリッチ 他 No.311120
20代女性【目の下の切らないクマ・たるみ取りミニマムダウンタイム式/コンデンスリッチ脂肪注入】【2022年度顧客満足度五つ星★須田医師の多様な若返り術】術後3ヶ月目
若返り / 裏ハムラ法 No.311119
【目の下のクマ治療!裏ハムラ】小児心臓手術を経験してきた繊細で丁寧な外科手技!抗加齢専門医所持の若返りのスペシャリスト!ルークひのき院長にお任せ!
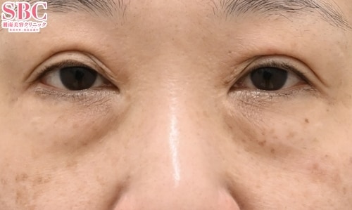
若返り / 裏ハムラ法 No.311105
【クマ取り顧客満足度No.1ドクター2020年SBC内/名古屋院院長】 圧倒的実績のベテランドクター高川のクマ取り術☆【裏ハムラ法】術前→術後1ヶ月後
若返り / 小顔若返りリフト No.311095
【小顔 / 若返り / 糸リフト】SBCグループ技術指導医兼 心斎橋院院長 植田一樹によるパーソナル小顔 糸リフト 術後1ヶ月
若返り / 小顔若返りリフト 他 No.311094
【小顔 / 若返り / 糸リフト】SBCグループ技術指導医兼 心斎橋院院長 植田一樹によるパーソナル小顔 糸リフト 術後1ヶ月
若返り / テスリフト 他 No.311092
【小顔 / 若返り / 糸リフト】SBCグループ技術指導医兼 心斎橋院院長 植田一樹によるパーソナル小顔 糸リフト 術後1ヶ月
若返り / プリマリフト 他 No.311091
【小顔 / 若返り / 糸リフト】SBCグループ技術指導医兼 心斎橋院院長 植田一樹によるパーソナル小顔 糸リフト 術後1ヶ月
若返り / VOV(ボブ)リフト 他 No.311090
【小顔 / 若返り / 糸リフト】SBCグループ技術指導医兼 心斎橋院院長 植田一樹によるパーソナル小顔 糸リフト 術後1週間
若返り / 小顔若返りリフト No.311089
【小顔 / 若返り / 糸リフト】SBCグループ技術指導医兼 心斎橋院院長 植田一樹によるパーソナル小顔 糸リフト 術後1週間
若返り / 小顔若返りリフト No.311088
【小顔 / 若返り / 糸リフト】SBCグループ技術指導医兼 心斎橋院院長 植田一樹によるパーソナル小顔 糸リフト 術後1週間
若返り / 小顔若返りリフト 他 No.311087
【小顔 / 若返り / 糸リフト】SBCグループ技術指導医兼 心斎橋院院長 植田一樹によるパーソナル小顔 糸リフト 術後1週間
若返り / VOV(ボブ)リフト 他 No.311086
【小顔 / 若返り / 糸リフト】SBCグループ技術指導医兼 心斎橋院院長 植田一樹によるパーソナル小顔 糸リフト 術後1週間
若返り / 小顔若返りリフト No.311085
【小顔 / 若返り / 糸リフト】SBCグループ技術指導医兼 心斎橋院院長 植田一樹によるパーソナル小顔 糸リフト 術後1週間
若返り / 小顔若返りリフト No.311084
【小顔 / 若返り / 糸リフト】SBCグループ技術指導医兼 心斎橋院院長 植田一樹によるパーソナル小顔 糸リフト 術後1週間
若返り / SMASフェイスネックリフト No.311079
【形成外科歴30年】フェイスリフト症例数No.1(2021年SBC関西) 元大学教授10年務めたベテラン医師:稲川医師による若返り術<スマスフェイスリフト>術後1ヶ月
若返り / SMASフェイスネックリフト No.311074
【形成外科歴30年】フェイスリフト症例数No.1(2021年SBC関西) 元大学教授10年務めたベテラン医師:稲川医師による若返り術<スマスフェイスリフト>術後1ヶ月
若返り / コンデンスリッチフェイス脂肪注入全顔入れ放題 他 No.311073
若返りの症例写真
若返り / 目の下の切らないクマ・たるみ(ふくらみ)取り 他 No.311068
若返りの症例写真
若返り / 目の下の切らないクマ・たるみ(ふくらみ)取り 他 No.311067
若返りの症例写真
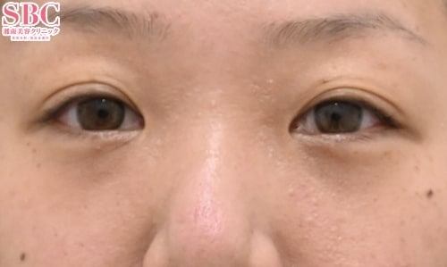
若返り / 目の下の切らないクマ・たるみ(ふくらみ)取り 他 No.311064
【クマ取り+二重埋没】毎日自信の持てるお目元に!悩みだった目の下のふくらみを改善+埋没法でさらに //京大卒●イオン横浜西口院院長 山本真義






























































