若返りの症例写真(若返り)
ドクターが選ぶ BEST SHOT AWARD
症例写真一覧
表示件数:53511件 / 351002件
若返り / ナチュラル脂肪注射コンデンスリッチ No.363518
★脂肪注入全国No.1(2025年)!※SBC内◆◆美容外科専門医 名倉が叶える 美顔術!! へこみを無くして美しい輪郭へ!! ◆脂肪注入(顎)1ヶ月後のお写真
若返り / 眉下リフト(眉下切開) No.363515
◆◆目元切開厳選医師の名倉が叶える -5歳!! 眉下リフト◆◆瞼のたるみでお悩みの方必見!!3ヶ月後のお写真
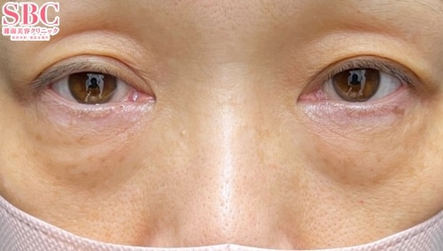
若返り / 目の下の切らないクマ・たるみ(ふくらみ)取り No.363514
◆◆美容外科専門医 名倉が叶える -5歳!! 目の下のたるみ取り+脂肪注入(目の下~ゴルゴ線)◆◆目の下のぷっくり、クマでお悩みの方必見!!◆3ヶ月後のお写真
若返り / プリマリフト No.363512
◆◆美容外科専門医 名倉が叶える小顔術!!糸リフト6年連続全国1位 (2019年~2024年)!※SBC内◆◆プリマリフト+脂肪吸引(頬+顎下)◆ 3ヶ月後のお写真
若返り / 裏ハムラ法 No.363506
【クマ取り】≪全てのクマ治療に対応≫上岡利一先生のクマ取り症例
若返り / 目の下の切らないクマ・たるみ(ふくらみ)取り 他 No.363498
【若返り】【術後3ヶ月経過】池袋東口院 クマ取りのスペシャリスト!高山Drクマ取り治療★
若返り / VOV(ボブ)リフト 他 No.363496
【糸リフト症例数西日本1位*】リピーター続出!名古屋の”糸リフト名医”高川裕也★*2024年下期
若返り / 裏ハムラ法 No.363494
目の下の切らないクマ治療、裏ハムラ法で圧倒的若返り体験を!
若返り / 裏ハムラ法 No.363493
目の下の切らないクマ治療、裏ハムラ法で圧倒的若返り体験を!
若返り / 裏ハムラ法 No.363484
【若返り】【30代症例】☆症例数第1位!(アイバックリムーブ/2025年上半期/東日本)☆【裏ハムラ】切る・切らない二つの視点からお客様にとって最適な治療を提案します!目の下のたるみ・クマをなくして-5歳に印象チェンジ!【施術後1ヶ月経過】
若返り / 切開ハムラ(表ハムラ)法 他 No.363482
【クマ取り/切開(表)ハムラ法症例数全国No.1〈2025年上半期SBC内〉】統括技術指導医/美容外科専門医/プレミアムドクター坂西執刀(横浜東口院)★クマ取りはベテランドクターにお任せください!『切開ハムラ法+ミッドフェイスリフト+眉下リフト+ナノリッチ(目の上/目の下)+…
若返り / 切開ハムラ(表ハムラ)法 他 No.363480
【クマ取り/切開(表)ハムラ法症例数全国No.1〈2025年上半期SBC内〉】統括技術指導医/美容外科専門医/プレミアムドクター坂西執刀(横浜東口院)★クマ取りはベテランドクターにお任せください!『切開ハムラ法+ミッドフェイスリフト+眉下リフト+ナノリッチ(目の上/目の下)+…
若返り / 切開ハムラ(表ハムラ)法 他 No.363479
【クマ取り/切開(表)ハムラ法症例数全国No.1〈2025年上半期SBC内〉】統括技術指導医/美容外科専門医/プレミアムドクター坂西執刀(横浜東口院)★クマ取りはベテランドクターにお任せください!『切開ハムラ法+ミッドフェイスリフト+眉下リフト+ナノリッチ(目の上/目の下)+…
若返り / 切開ハムラ(表ハムラ)法 他 No.363477
【クマ取り/切開(表)ハムラ法症例数全国No.1〈2025年上半期SBC内〉】統括技術指導医/美容外科専門医/プレミアムドクター坂西執刀(横浜東口院)★クマ取りはベテランドクターにお任せください!『切開ハムラ法+ミッドフェイスリフト+眉下リフト+ナノリッチ(目の上/目の下)+…
若返り / ナチュラル脂肪注射コンデンスリッチ No.363463
◆◆美容外科専門医 名倉が叶える 美顔術!! へこみを無くして美しい輪郭へ!! ◆脂肪注入(額)1ヶ月後のお写真
若返り / 眉下リフト(眉下切開) No.363460
◆◆目元切開厳選医師の名倉が叶える -5歳!! 眉下リフト◆◆瞼のたるみでお悩みの方必見!!3ヶ月後のお写真
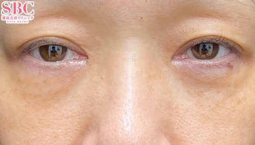
若返り / 目の下の切らないクマ・たるみ(ふくらみ)取り No.363459
◆◆美容外科専門医 名倉が叶える -5歳!! 目の下のたるみ取り+脂肪注入(目の下~ゴルゴ線)◆◆目の下のぷっくり、クマでお悩みの方必見!!◆1ヶ月後のお写真
若返り / プリマリフト No.363458
◆◆美容外科専門医 名倉が叶える小顔術!!糸リフト6年連続全国1位 (2019年~2024年)!※SBC内◆◆プリマリフト+脂肪吸引(頬+顎下)◆ 6ヶ月後のお写真
若返り / 裏ハムラ法 他 No.363442
【クマ取り】≪全てのクマ治療に対応≫上岡利一先生のクマ取り症例
若返り / 目の下の切らないクマ・たるみ(ふくらみ)取り 他 No.363437
『目の下の切らないクマ・たるみ(ふくらみ)取り』若返りプロフェッショナル・Dr中野 灘高卒、元麻酔科医Drによる匠の若返り術































































