若返りの症例写真(若返り)
ドクターが選ぶ BEST SHOT AWARD
症例写真一覧
表示件数:53511件 / 351009件
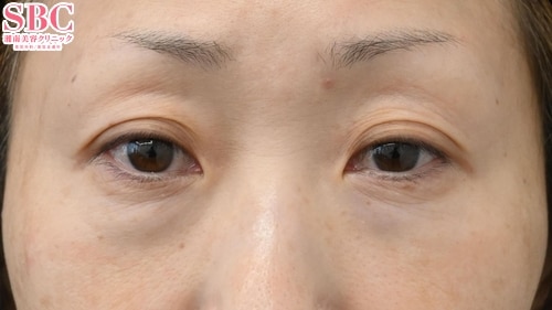
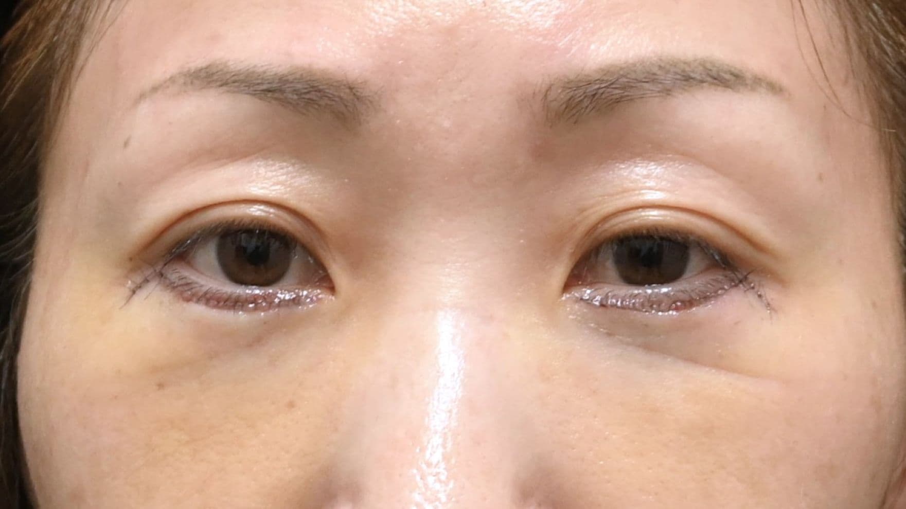
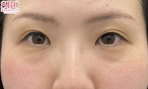
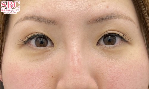
若返り / 裏ハムラ法 No.363315
【若返り】【30代症例】☆症例数第1位!(アイバックリムーブ/2025年上半期/東日本)☆【裏ハムラ】切る・切らない二つの視点からお客様にとって最適な治療を提案します!目の下のたるみ・クマをなくして-5歳に印象チェンジ!【施術後1ヶ月経過】
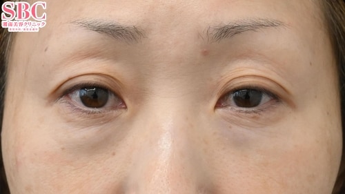
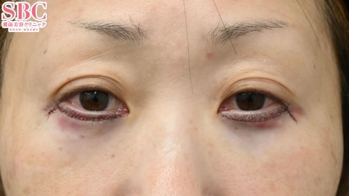
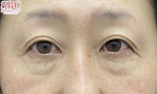
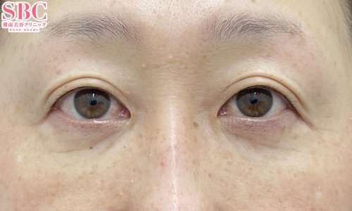
若返り / 裏ハムラ法 No.363300
目の下の切らないクマ治療、裏ハムラ法で圧倒的若返り体験を!
若返り / リジュランHB No.363299
しわのない額に
若返り / 裏ハムラ法 No.363298
目の下の切らないクマ治療、裏ハムラ法で圧倒的若返り体験を!
若返り / 裏ハムラ法 No.363297
目の下の切らないクマ治療、裏ハムラ法で圧倒的若返り体験を!
若返り / シークレットリフト No.363287
憧れの小顔になれる!!Dr吉村の究極の小顔治療『糸リフト』
若返り / 裏ハムラ法 他 No.363283
【調布院】裏ハムラでダウンタイム最小限で目の下のクマがすっきり
若返り / ナチュラル脂肪注射入れ放題 他 No.363281
脂肪注入でふっくら若々しい印象へ★若返りたい方は満安医師にお任せ★
若返り / 切開ハムラ(表ハムラ)法 他 No.363278
【クマ取り/切開(表)ハムラ法症例数全国No.1〈2025年上半期SBC内〉】統括技術指導医/美容外科専門医/プレミアムドクター坂西執刀(横浜東口院)★クマ取りはベテランドクターにお任せください!『切開ハムラ法+ミッドフェイスリフト+貴族ヒアル』
若返り / 切開ハムラ(表ハムラ)法 他 No.363277
【クマ取り/切開(表)ハムラ法症例数全国No.1〈2025年上半期SBC内〉】統括技術指導医/美容外科専門医/プレミアムドクター坂西執刀(横浜東口院)★クマ取りはベテランドクターにお任せください!『切開ハムラ法+ミッドフェイスリフト+貴族ヒアル』
若返り / 切開ハムラ(表ハムラ)法 他 No.363276
【クマ取り/切開(表)ハムラ法症例数全国No.1〈2025年上半期SBC内〉】統括技術指導医/美容外科専門医/プレミアムドクター坂西執刀(横浜東口院)★クマ取りはベテランドクターにお任せください!『切開ハムラ法+ミッドフェイスリフト+貴族ヒアル』
若返り / 切開ハムラ(表ハムラ)法 他 No.363275
【クマ取り/切開(表)ハムラ法症例数全国No.1〈2025年上半期SBC内〉】統括技術指導医/美容外科専門医/プレミアムドクター坂西執刀(横浜東口院)★クマ取りはベテランドクターにお任せください!『切開ハムラ法+ミッドフェイスリフト+貴族ヒアル』
若返り / 切開ハムラ(表ハムラ)法 他 No.363274
【クマ取り/切開(表)ハムラ法症例数全国No.1〈2025年上半期SBC内〉】統括技術指導医/美容外科専門医/プレミアムドクター坂西執刀(横浜東口院)★クマ取りはベテランドクターにお任せください!『切開ハムラ法+ミッドフェイスリフト+貴族ヒアル』
若返り / 切開ハムラ(表ハムラ)法 No.363269
『クマ取り(切開ハムラ法)』若返りプロフェッショナル・Dr中野 灘高卒、元麻酔科医Drによる匠の若返り術
若返り / ナチュラル脂肪注射ナノリッチ 他 No.363268
【裏ハムラ】目の下のクマ取り治療で若返り★目の下のくまが気になる方は、満安医師にお任せ★
若返り / 裏ハムラ法 No.363267
【裏ハムラ】目の下のクマ取り治療で若返り★目の下のくまが気になる方は、満安医師にお任せ★
若返り / ナチュラル脂肪注射入れ放題 他 No.363265
【裏ハムラ】目の下のクマ取り治療で若返り★目の下のくまが気になる方は、満安医師にお任せ★
若返り / ナチュラル脂肪注射コンデンスリッチ No.363256
【元・大学病院形成外科講師】形成外科専門医モリゾーが執刀するコンデンスリッチ脂肪注入(額〜こめかみ)
若返り / 目の下の切らないクマ・たるみ(ふくらみ)取り 他 No.363248
疲れた印象をもたらす目の下のたるみ&影(黒)クマの治療
若返り / 目の下の切らないクマ・たるみ(ふくらみ)取り 他 No.363243
【若返り】『整形感ゼロ』を追求した、所沢院松浦院長による


































































