若返りの症例写真(若返り)
ドクターが選ぶ BEST SHOT AWARD
症例写真一覧
表示件数:53511件 / 351009件
若返り / ナチュラル脂肪注射コンデンスリッチ No.363229
◆◆美容外科専門医 名倉が叶える 美顔術!! へこみを無くして美しい輪郭へ!! ◆脂肪注入(額)1ヶ月後のお写真
若返り / 眉下リフト(眉下切開) No.363226
◆◆目元切開厳選医師の名倉が叶える -5歳!! 眉下リフト◆◆瞼のたるみでお悩みの方必見!!1ヶ月後のお写真
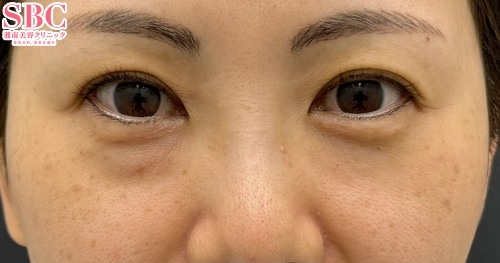
若返り / 目の下の切らないクマ・たるみ(ふくらみ)取り No.363225
◆◆美容外科専門医 名倉が叶える -5歳!! 目の下のたるみ取り+脂肪注入(目の下~ゴルゴ線)◆◆目の下のぷっくり、クマでお悩みの方必見!!◆1ヶ月後のお写真
若返り / プリマリフト No.363224
◆◆美容外科専門医 名倉が叶える小顔術!!糸リフト6年連続全国1位 (2019年~2024年)!※SBC内◆◆プリマリフト+脂肪吸引(頬+顎下)◆ 3ヶ月後のお写真
若返り / 目の下の切らないクマ・たるみ(ふくらみ)取り 他 No.363223
【若返り】【目の下の切らないクマ取り】クマ取りで圧倒的な若返りを!丁寧な術中操作でダウンタイムを最小限に抑えます!
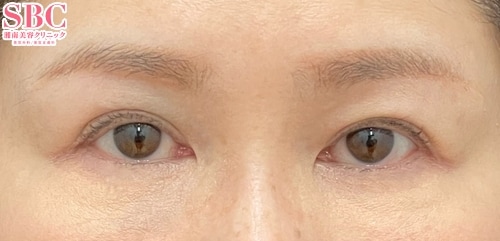
若返り / 裏ハムラ法 No.363214
【若返り】【30代症例】☆症例数第1位!(アイバックリムーブ/2025年上半期/東日本)☆【裏ハムラ】切る・切らない二つの視点からお客様にとって最適な治療を提案します!目の下のたるみ・クマをなくして-5歳に印象チェンジ!【施術後1ヶ月経過】
若返り / 裏ハムラ法 No.363205
目の下の切らないクマ治療、裏ハムラ法で圧倒的若返り体験を!
若返り / 裏ハムラ法 No.363204
目の下の切らないクマ治療、裏ハムラ法で圧倒的若返り体験を!
若返り / ナチュラル脂肪注射コンデンスリッチ No.363202
◆◆美容外科専門医 名倉が叶える 美顔術!! へこみを無くして美しい輪郭へ!! ◆脂肪注入(頬)6ヶ月後のお写真
若返り / 眉下リフト(眉下切開) No.363198
◆◆目元切開厳選医師の名倉が叶える -5歳!! 眉下リフト◆◆瞼のたるみでお悩みの方必見!!3ヶ月後のお写真
若返り / 目の下の切らないクマ・たるみ(ふくらみ)取り No.363197
◆◆美容外科専門医 名倉が叶える -5歳!! 目の下のたるみ取り+脂肪注入(目の下~ゴルゴ線)◆◆目の下のぷっくり、クマでお悩みの方必見!!◆1ヶ月後のお写真
若返り / プリマリフト No.363196
◆◆美容外科専門医 名倉が叶える小顔術!!糸リフト6年連続全国1位 (2019年~2024年)!※SBC内◆◆プリマリフト+脂肪吸引(頬+顎下)◆ 3ヶ月後のお写真
若返り / 裏ハムラ法 No.363176
【若返り】【30代症例】☆症例数第1位!(アイバックリムーブ/2025年上半期/東日本)☆【裏ハムラ】切る・切らない二つの視点からお客様にとって最適な治療を提案します!目の下のたるみ・クマをなくして-5歳に印象チェンジ!【施術後1週間経過】
若返り / 目の下の切らないクマ・たるみ(ふくらみ)取り 他 No.363171
切らずに気になるクマを解消しましょう!
若返り / 目の下の切らないクマ・たるみ(ふくらみ)取り 他 No.363127
【若返り】「インスタ見ました」のご指名多数! Dr.深田のこだわりクマ取り術【切らないクマ取り】
若返り / 裏ハムラ法 No.363114
大阪のクマ取り職人!【クマ取り症例数7年連続関西No.1!(SBC内2019~2025年)】目の下のたるみ・クマを切らずに改善!40代女性 裏ハムラ法 大阪なんば院吉田公人
若返り / ナチュラル脂肪注射コンデンスリッチ No.363112
★脂肪注入全国No.1(2025年)!※SBC内◆◆美容外科専門医 名倉が叶える 美顔術!! へこみを無くして美しい輪郭へ!! ◆脂肪注入(顎)1ヶ月後のお写真
若返り / 眉下リフト(眉下切開) No.363109
◆◆目元切開厳選医師の名倉が叶える -5歳!! 眉下リフト◆◆瞼のたるみでお悩みの方必見!!3ヶ月後のお写真
若返り / 目の下の切らないクマ・たるみ(ふくらみ)取り No.363108
◆◆美容外科専門医 名倉が叶える -5歳!! 目の下のたるみ取り+脂肪注入(目の下~ゴルゴ線)◆◆目の下のぷっくり、クマでお悩みの方必見!!◆1ヶ月後のお写真
若返り / プリマリフト No.363107
◆◆美容外科専門医 名倉が叶える小顔術!!糸リフト6年連続全国1位 (2019年~2024年)!※SBC内◆◆プリマリフト+脂肪吸引(頬+顎下)◆ 7ヶ月後のお写真






























































