若返りの症例写真(若返り)
ドクターが選ぶ BEST SHOT AWARD
症例写真一覧
表示件数:53512件 / 351011件
若返り / プリマリフト No.363107
◆◆美容外科専門医 名倉が叶える小顔術!!糸リフト6年連続全国1位 (2019年~2024年)!※SBC内◆◆プリマリフト+脂肪吸引(頬+顎下)◆ 7ヶ月後のお写真
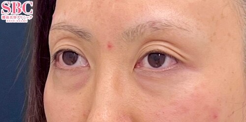
若返り / 裏ハムラ法 No.363103
目の下の切らないクマ治療、裏ハムラ法で圧倒的若返り体験を!
若返り / プリマリフト No.363084
【若返り】【糸リフト】SNSから指名多数!お客様ごとのカスタマイズ治療で完璧な若返りを実現!
若返り / 裏ハムラ法 No.363066
【若返り】【20代症例】☆症例数第1位!(アイバックリムーブ/2025年上半期/東日本)☆【裏ハムラ】切る・切らない二つの視点からお客様にとって最適な治療を提案します!目の下のたるみ・クマをなくして-5歳に印象チェンジ!【施術後\1か月経過】
若返り / 裏ハムラ法 他 No.363059
お疲れ目元改善!土田博之医師による【クマ治療・裏ハムラ法】目元切開で選ばれています!眉下リフト症例数関西No.2(※)(SBC内症例数 2023年上半期)
若返り / 裏ハムラ法 No.363058
目の下の切らないクマ治療、裏ハムラ法で圧倒的若返り体験を!
若返り / 顎下すっきリフト(アンカーDXダブル) 他 No.363052
【土田式ハリウッド糸リフト】京都で切らない若返り・リフトアップならリテスリフト症例数関西No.2(※)の土田博之医師にお任せ!(SBC内症例数 2025年上半期)
若返り / 裏ハムラ法 No.363051
目の下の切らないクマ治療、裏ハムラ法で圧倒的若返り体験を!
若返り / シークレットリフト 他 No.363044
40代男性 糸リフト ヒアルロン酸
若返り / シークレットリフト 他 No.363042
40代男性 糸リフト ヒアルロン酸
若返り / シークレットリフト 他 No.363041
40代男性 糸リフト ヒアルロン酸
若返り / シークレットリフト 他 No.363039
50代女性 糸リフト ヒアルロン酸
若返り / シークレットリフト 他 No.363038
50代女性 糸リフト ヒアルロン酸
若返り / VOV(ボブ)リフト 他 No.363037
40代女性 糸リフト
若返り / 目の下の切らないクマ・たるみ(ふくらみ)取り 他 No.363033
40代女性 目の下の切らないクマ・たるみ取り/ナチュラル脂肪注射コンデンスリッチフェイス(目の上・目の下・ゴルゴ) /ナチュラル脂肪注射ナノリッチ(目の下・ゴルゴ)
若返り / 目の下の切らないクマ・たるみ(ふくらみ)取り 他 No.363032
40代女性 目の下の切らないクマ・たるみ取り/ナチュラル脂肪注射コンデンスリッチフェイス(目の上・目の下・ゴルゴ) /ナチュラル脂肪注射ナノリッチ(目の下・ゴルゴ)
若返り / 目の下の切らないクマ・たるみ(ふくらみ)取り 他 No.363030
40代女性 目の下の切らないクマ・たるみ取り/ナチュラル脂肪注射コンデンスリッチフェイス(目の上・目の下・ゴルゴ) /ナチュラル脂肪注射ナノリッチ(目の下・ゴルゴ)
若返り / 目の下の切らないクマ・たるみ(ふくらみ)取り 他 No.363031
40代女性 目の下の切らないクマ・たるみ取り/ナチュラル脂肪注射コンデンスリッチフェイス(目の上・目の下・ゴルゴ) /ナチュラル脂肪注射ナノリッチ(目の下・ゴルゴ)
若返り / 目の下の切らないクマ・たるみ(ふくらみ)取り 他 No.363028
40代女性 目の下の切らないクマ・たるみ取り/ナチュラル脂肪注射コンデンスリッチフェイス(目の上・目の下・ゴルゴ) /ナチュラル脂肪注射ナノリッチ(目の下・ゴルゴ)
若返り / 目の下の切らないクマ・たるみ(ふくらみ)取り 他 No.363029
40代女性 目の下の切らないクマ・たるみ取り/ナチュラル脂肪注射コンデンスリッチフェイス(目の上・目の下・ゴルゴ) /ナチュラル脂肪注射ナノリッチ(目の下・ゴルゴ)





























































