若返りの症例写真(若返り)
ドクターが選ぶ BEST SHOT AWARD
症例写真一覧
表示件数:53512件 / 351012件
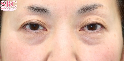
若返り / ナチュラル脂肪注射コンデンスリッチ No.363005
40代女性 目の下の切らないクマ・たるみ取り ナチュラル脂肪注射コンデンスリッチフェイス(目の下・ゴルゴ)
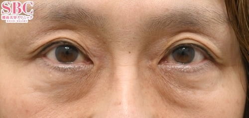
若返り / 目の下の切らないクマ・たるみ(ふくらみ)取り 他 No.363004
40代女性 目の下の切らないクマ・たるみ取り ナチュラル脂肪注射コンデンスリッチフェイス(目の下・ゴルゴ)
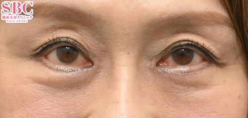
若返り / 目の下の切らないクマ・たるみ(ふくらみ)取り 他 No.363003
40代男性 目の下の切らないクマ・たるみ取り ナチュラル脂肪注射コンデンスリッチフェイス(目の下・ゴルゴ)
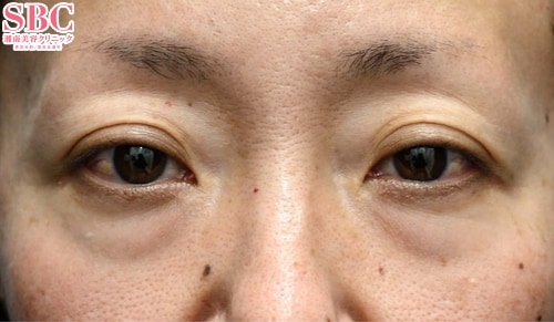
若返り / 切開ハムラ(表ハムラ)法 他 No.362989
【若返り】【60代症例】☆症例数第1位!(アイバックリムーブ/2025年上半期/東日本)☆【切開ハムラ】切る・切らない二つの視点からお客様にとって最適な治療を提案します!目の下のたるみ・クマをなくして-5歳に印象チェンジ!【施術後\1か月経過】
若返り / 裏ハムラ法 No.362961
【目の下のクマ治療】【裏ハムラ】目の下の脂肪を移動させてクマ改善!!レジェンドDr.が認める次世代エース★谷口院長!!
若返り / 裏ハムラ法 他 No.362960
【2019.01〜2024上半期[4年半連続]裏ハムラ法(再発しにくいクマ取り)症例数 全国No.1!(SBC内)】目の下の膨らみを改善!40代後半 裏ハムラ法+結膜ミッドフェイスリフト 術後1ヶ月目 栄院院長中野施術
若返り / ナチュラル脂肪注射コンデンスリッチ No.362958
◆◆美容外科専門医 名倉が叶える 美顔術!! へこみを無くして美しい輪郭へ!! ◆脂肪注入(額)1ヶ月後のお写真
若返り / 眉下リフト(眉下切開) No.362954
◆◆目元切開厳選医師の名倉が叶える -5歳!! 眉下リフト◆◆瞼のたるみでお悩みの方必見!!1ヶ月後のお写真
若返り / 目の下の切らないクマ・たるみ(ふくらみ)取り No.362953
◆◆美容外科専門医 名倉が叶える -5歳!! 目の下のたるみ取り+脂肪注入(目の下~ゴルゴ線)◆◆目の下のぷっくり、クマでお悩みの方必見!!◆1ヶ月後のお写真
若返り / プリマリフト No.362952
◆◆美容外科専門医 名倉が叶える小顔術!!糸リフト6年連続全国1位 (2019年~2024年)!※SBC内◆◆プリマリフト+脂肪吸引(頬+顎下)◆ 6ヶ月後のお写真
若返り / ナチュラル脂肪注射コンデンスリッチ No.362925
◆◆美容外科専門医 名倉が叶える 美顔術!! へこみを無くして美しい輪郭へ!! ◆脂肪注入(頬)3ヶ月後のお写真
若返り / 眉下リフト(眉下切開) No.362922
◆◆目元切開厳選医師の名倉が叶える -5歳!! 眉下リフト◆◆瞼のたるみでお悩みの方必見!!1ヶ月後のお写真
若返り / 目の下の切らないクマ・たるみ(ふくらみ)取り No.362921
◆◆美容外科専門医 名倉が叶える -5歳!! 目の下のたるみ取り+脂肪注入(目の下~ゴルゴ線)◆◆目の下のぷっくり、クマでお悩みの方必見!!◆1ヶ月後のお写真
若返り / プリマリフト No.362919
◆◆美容外科専門医 名倉が叶える小顔術!!糸リフト6年連続全国1位 (2019年~2024年)!※SBC内◆◆プリマリフト+脂肪吸引(頬+顎下)◆ 6ヶ月後のお写真
若返り / 裏ハムラ法 他 No.362903
【クマ取り】【ハムラ法】膨らんだ「眼窩脂肪」を凹みに移動してクマ解消!老け見え解消なら奥医師にお任せ!【施術3ヶ月後】【裏ハムラ法×ナチュラル脂肪注射ナノリッチ/コンデンスリッチ】
若返り / 目の下の切らないクマ・たるみ(ふくらみ)取り 他 No.362851
【若返りmuse】二子玉川院院長の青柳萌花による目の下の切らないクマたるみ取り★若々しい目元に!
若返り / 目の下の切らないクマ・たるみ(ふくらみ)取り 他 No.362849
【クマ取り+脂肪注入】目元の若返りなら田中医師にお任せください!
若返り / 裏ハムラ法 No.362832
目の下のクマを無くす!「疲れ目」から解放されませんか?
若返り / 切開ハムラ(表ハムラ)法 No.362812
【若返り】【60代症例】☆症例数第1位!(アイバックリムーブ/2025年上半期/東日本)☆【切開ハムラ】切る・切らない二つの視点からお客様にとって最適な治療を提案します!目の下のたるみ・クマをなくして-5歳に印象チェンジ!【施術後3か月経過】
若返り / コンデンスリッチフェイス脂肪注入全顔入れ放題 他 No.362794
【顔の脂肪注入】おでこのゴツゴツ感や凹みをナチュラルにふっくら改善!武田有加院長の脂肪注入で自然な若返り

































































